Adhäsivbrücken
Unter Adhäsiv- oder Klebebrücken versteht man festsitzende Brücken mit einem Metall- oder Keramikgerüst, die mittels Befestigungskunststoffen an die säuregeätzte Schmelzoberfläche von Pfeilerzähnen geklebt werden.
Indikation und Kontraindikation
Der Schwerpunkt der Anwendung von Adhäsivbrücken liegt in der Versorgung von Einzelzahnlücken, die in der Regel von karies- und füllungsfreien Nachbarzähnen begrenzt sind, insbesondere, wenn Einzelzahnimplantate nicht angewendet werden können oder sollen. Durch eine Adhäsivbrücke sollten im Seitenzahnbereich und im Oberkiefer-Frontzahnbereich nicht mehr als ein Zahn, im Unterkiefer-Frontbereich höchstens vier Schneidezähne ersetzt werden. Im Seitenzahnbereich wird die Brücke in der Regel auf je einem, die Lücke begrenzenden Pfeilerzahn abgestützt. Einzelne Frontzähne können über einen Klebeflügel als zweigliedrige Anhängerbrücke verankert werden [2, 5, 12]. Im Regelfall sind die vitalen Pfeilerzähne karies- und füllungsfrei und weisen keine beziehungsweise nur geringe Schmelzabrasionen auf. Sie müssen ausreichende, für die Klebung nutzbare Schmelzflächen aufweisen. Kleine Füllungen, die sich mit dem Gerüst vollständig bedecken lassen, können einbezogen werden.
Während im Seitenzahn- und Unterkiefer- Frontzahnbereich Bisslage und Okklusion für die Indikationsstellung in der Regel von untergeordneter Bedeutung sind, bestimmen sie im Oberkiefer-Frontzahnbereich die Indikation. Bei einem vertikalen Frontzahnüberbiss von mehr als drei Millimetern (mm) mit physiologischen Okklusionskontakten muss der notwendige Platz für Gerüst und Klebefuge von etwa 0,8mm durch kieferorthopädische Protrusion und/oder Schmelzpräparation geschaffen werden, wobei dann keine ausgeprägte Schmelzabrasion vorliegen sollte. Ungünstige ästhetische Ergebnisse sind bei Zahnfehlstellungen und bei Lücken zu erwarten, die breiter oder schmaler als die fehlende( n) Zahnkrone(n) sind.
Eine Altersgrenze für die Behandlung mit verblockten zweiflügeligen Adhäsivbrücken besteht nur bei Jugendlichen: der früheste Zeitpunkt wird in der Regel vom abgeschlossenen Durchbruch der Zähne der kieferorthopädischen Stützzone, das heißt der bleibenden Eckzähne und Prämolaren des jeweiligen Kiefers bestimmt. Nicht verblockte einflügelige Adhäsivbrücken zum Ersatz fehlender Frontzähne, zum Beispiel bei traumatischem Zahnverlust, können auch schon bei Kindern und Jugendlichen im Wechselbiss eingegliedert werden.
Werden im Rahmen einer kieferorthopädischen Behandlung die Voraussetzungen für einen prothetischen Lückenschluss angestrebt, so muss zwischen Abschluss der kieferorthopädischen Behandlung und Beginn der prothetischen Therapie eine sichere Retention der Zähne erfolgen. Parafunktionelle Belastungen im Bereich der Adhäsivbrücke erhöhen das Misserfolgsrisiko und müssen bei der Indikationsstellung und Behandlung berücksichtigt werden.
Klinische Bewährung
Es wird dringend empfohlen, den Patienten über das Risiko eines Misserfolgs und die Gefahren des Verschluckens beziehungsweise der Aspiration bei Lösen der Brücke aufzuklären, da die meisten Studien davon ausgehen, dass sich nach fünf Jahren etwa 25 Prozent der Brücken mit Metallflügeln an mindestens einem Pfeiler gelöst haben. Adhäsivbrücken haben sich in vielen Studien als weniger zuverlässig erwiesen als herkömmliche Brücken [6, 8, 11]. Einige Studien konnten allerdings inzwischen zeigen, dass bei konsequenter Anwendung von retentiven Präparationsformen und adäquatem klinischen Vorgehen die Überlebensrate metallkeramischer Adhäsivbrücken auf 95 Prozent nach sechs Jahren [9] beziehungsweise zehn Jahren [1] gesteigert werden konnte, was der Bewährung von herkömmlichen Brücken entspricht [7]. Weiterhin wurde gezeigt, dass einflügelige Adhäsivbrücken nach bis zu fünf Jahren eine ähnliche gute Bewährung aufweisen können [2]. Nicht randomisierte Studien, die sowohl ein- als auch zweiflügelige Adhäsivbrücken beinhalteten, weisen sogar tendenziell für die einflügeligen Brücken eine geringere Verlustrate auf als für mehrflügelige [3, 4]. Das Risiko einer Kariesentstehung unter einem gelösten Adhäsivflügel, wie es bei mehrflügeligen Adhäsivbrücken besteht, ist bei einflügeligen Brücken deutlich minimiert.
Die Verlustraten von Adhäsivbrücken werden deutlich von der verwendeten Methodik beeinflusst. Leider liegen keine randomisierten prospektiven klinischen Studien vor, die die Auswirkung einzelner Faktoren untersucht haben. Nicht randomisierte, aber kontrollierte Studien weisen die Überlegenheit eines retentiven Präparationsdesigns gegenüber einem nicht retentiven Design bei metallkeramischen Adhäsivbrücken eindeutig nach [1, 9]. Aufgrund einer unzureichenden Datenlage wird die Anwendung von kombiniert geklebt-zementierten Restaurationen („Zwitterbrücken“) kritisch beurteilt.
Löst sich eine Adhäsivbrücke, so besteht die Möglichkeit, dass sie verschluckt wird oder sogar in die Atemwege gelangt. Die in der Literatur publizierten Komplikationen lassen das Risiko der Aspiration allerdings äußerst gering erscheinen. Kontrolluntersuchungen in Zeiträumen von sechs bis zwölf Monaten sind trotzdem unbedingt anzuraten. Bei mehrflügeligen Adhäsivbrücken ist ein besonderes Augenmerk auf die zum Teil schwer erkennbare Lösung einzelner Klebeflügel zu richten. Die Compliance des Patienten und eine geregelte Nachsorge durch die Praxis sind wichtige Vorbedingungen für die Behandlung mit Adhäsivbrücken.
Klinisches Vorgehen und Werkstoffe
Die erforderlichen Präparationsmaßnahmen unterscheiden sich in Abhängigkeit von der Brückenlokalisation und der Werkstoffauswahl. Aufgrund bisher publizierter Daten kann Metallkeramik für Front- und Seitenzahnbrücken verwendet werden, während Vollkeramik bisher noch auf den Frontzahnbereich begrenzt bleiben sollte.
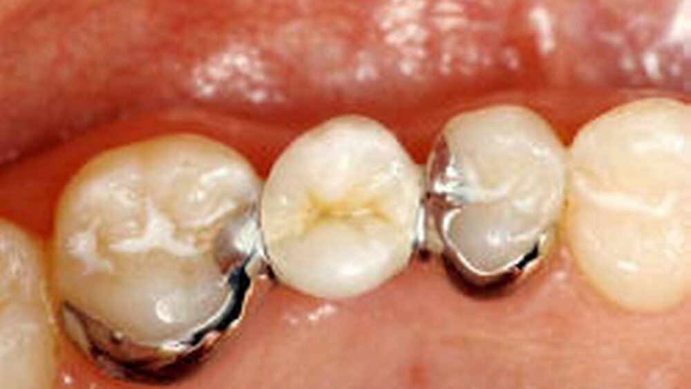
Metallkeramik
Präparationsmaßnahmen an den Pfeilerzähnen zur Erzielung einer mechanischen Retention des Gerüstes sind notwendig, beschränken sich aber auf den Zahnschmelz. Ihre Ziele sind: Erschließen nutzbarer Schmelzklebeflächen, okklusales Platzschaffen für das Brückengerüst und Gestalten einer Widerstandsform zwecks größtmöglicher mechanischer Gerüstretention (zum Beispiel durch feine Retentionsrillen im Schmelz).
Klebeflügel aus Metall benötigen eine retentive Versteifung, um ein Verbiegen und Abschälen der relativ elastischen Klebeflügel zu verhindern [1, 2, 9]. Das Brückengerüst muss daher passgenau sein und eindeutige mechanische Retention aufweisen. Die pro Pfeilerzahn angestrebte, größtmögliche Ausdehnung des Gerüstes wird durch ästhetische, karies- und parodontalprophylaktische und okklusale Anforderungen eingeschränkt. Als Werkstoffe für Gerüste sind aufbrennfähige Nichtedelmetall-(NEM)-Legierungen auf Kobalt-Chrom und Nickel- Chrom-Basis wegen ihres hohen Elastizitätsmoduls und der guten Verklebbarkeit besser als Edelmetalllegierungen geeignet [8]. Bei Unverträglichkeit gegen Bestandteile von NEM-Legierungen ist die Verarbeitung hochgoldhaltiger Aufbrennlegierungen angezeigt. Keramik- ist Kunststoff-Verblendung vorzuziehen. Bei der Farbauswahl müssen die Einflüsse von Gerüst und Klebstoff auf Transparenz und Zahnfarbe berücksichtigt werden. Für die Konditionierung der Metallklebefläche sind mechanochemische Verbundsysteme, wie die Silikatisierung mit anschließender Silanisierung oder die Anwendung von Klebern mit speziellen adhäsiven Monomeren nach Korundstrahlung besonders geeignet.
Vollkeramik
Für den Ersatz von Frontzähnen können mittel- und hochfeste Gerüstkeramiken, wie Lithiumdisilikat-, Aluminiumoxid- oder Zirkonoxidkeramiken verwendet werden. Die längsten Erfahrungen liegen mit glasinfiltrierter Aluminiumoxidkeramik vor [5]. Einflügelige vollkeramische Adhäsivbrücken im Frontzahnbereich bewähren sich besser als zweiflügelige, da Stressbelastungen durch unterschiedliche Funktionsauslenkungen der Pfeilerzähne wegfallen [5, 10]. Einflügelige Adhäsivbrücken sollten aber keine dynamischen Okklusionskontakte auf dem Brückenzwischenglied aufweisen. Aufgrund der Rigidität keramischer Adhäsivflügel werden in Analogie zu keramischen Verblendschalen keine retentiven Pfeilerzahnpräparationen benötigt, sondern es reicht das Anlegen zweier seichter Mulden, um eine eindeutige Positionierung der Brücke sicherzustellen. Für die Konditionierung der Keramikklebefläche sind mechanochemische Verbundsysteme besonders geeignet. Bei silikatfreien Oxidkeramiken kommen die Silikatisierung mit anschließender Silanisierung oder die Anwendung von Klebern mit speziellen adhäsiven Monomeren nach Korundstrahlung in Frage. Lithiumdisilikatkeramik hingegen kann nach Flusssäureätzung silanisiert werden.
Adhäsive Befestigung
Die Säureätzung des Zahnschmelzes entspricht dem Vorgehen bei der adhäsiven Füllungstechnik. Zur Befestigung stehen speziell für die Technik entwickelte, modifizierte Befestigungskunststoffe zur Verfügung. Für die Befestigung von metallkeramischen Adhäsivbrücken sollten opake Kleber verwendet werden, die ein Durchschimmern des Metallgerüsts im inzisalen Zahndrittel weitestgehend verhindern. Vollkeramische Adhäsivbrücken können mit transluzenten zahnfarbenen Klebern eingesetzt werden.
Die Eingliederung sollte in der Regel unter Kofferdam erfolgen. Überschüsse des Befestigungskunststoffes müssen so entfernt werden, dass die Klebefuge nicht beschädigt wird. Gelöste, unbeschädigte Brücken können wiederbefestigt werden, sofern der Retentionsverlust verfahrens- und nicht indikations- oder herstellungsbedingt ist. Wiederbefestigte Brücken haben etwas geringere Erfolgsaussichten als Ersteinklebungen.
Prof. Dr. Matthias Kern, Kiel,Prof. Dr. Thomas Kerschbaum, Köln
Mit freundlicher Genehmigung aus dzz 9/07




