Odontom im Sinus maxillaris
Eine 27-jährige Patientin ohne allgemeinmedizinische Vorerkrankungen wurde zur operativen Entfernung eines ektopen Weisheitszahnes 18 überwiesen. In der Vorgeschichte hatte die Patientin über mehrere Tage Druckschmerz im Bereich der Wange und der Jochbogenregion empfunden. Vor der radiologischen Diagnostik des ektopen Zahnes waren die Schmerzempfindungen der Patientin als kraniomandibuläre Dysfunktion interpretiert worden und eine Schienentherapie eingeleitet worden, die das Beschwerdebild allerdings bislang nicht beseitigen konnte. Nach der Diagnose des hoch in der Kieferhöhle liegenden Gebildes war die Patientin schließlich unter dem Verdacht auf eine Sinusitis maxillaris zur operativen Entfernung und Kieferhöhlenrevision überwiesen worden.
In der klinischen Untersuchung fanden sich zum Zeitpunkt der Aufnahme allerdings keine Hinweise auf eine Sinusitis maxillaris oder ein dentogen verursachtes entzündliches Geschehen. Nativ-radiologisch zeigte sich im OPG (Abbildung 1) in der rechten Kieferhöhle ein scharf begrenzter, in sich aber inhomogener Hartgewebsbezirk, der den Weisheitszahn nahezu vollständig einfasste. Zur genauen Lagebestimmung wurde die Bildgebung um ein CT ergänzt, in dem sich nun sowohl der Zahn 18 als auch das umgebende, Hartsubstanz enthaltende Gewebe im cranialen Anteil der Kieferhöhle darstellte. Sowohl das OPG als auch die CT-Darstellung zeigten somit die typische Morphologie eines komplexen Odontoms in der Kieferhöhle.
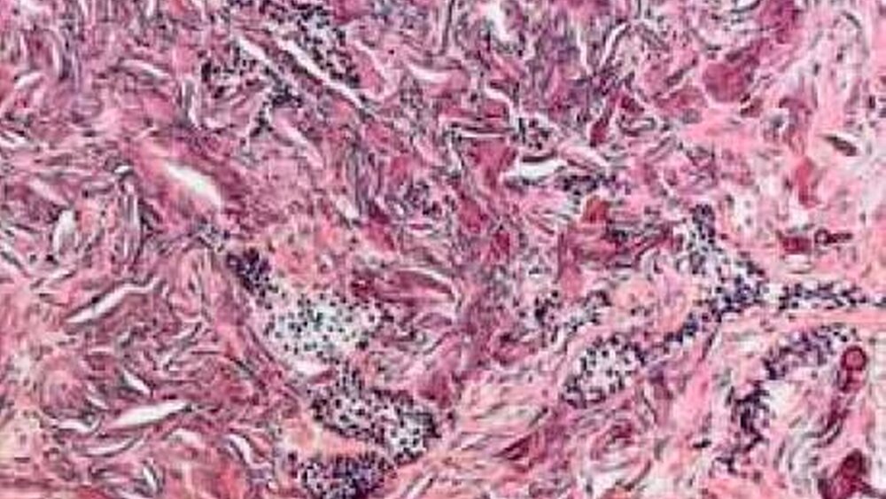
Die Entfernung des Gebildes erfolgte über einen transfazialen Zugang unter Anlage eines Knochendeckels. Abbildung 3 zeigt den Blick auf den von glatter Schleimhaut bedeckten Befund unmittelbar nach der Entnahme des Knochendeckels. Entsprechend der guten Begrenzung ließ sich das Gebilde ohne großen Aufwand auslösen und in toto entnehmen. Der Zahn 18 war von einer Gewebemanschette umgeben, die klinisch sehr fest und im Anschnitt als eine von Hartgewebsanteilen durchsetzte fibröse Matrix erschien (Abbildung 4). Histologisch zeigte sich die typische Morphologie eines komplexen Odontoms, in dem sowohl Anteile von tubulärem Dentin als auch Aggregate von Schmelz und Schmelzmatrix und auch Pulpengewebe vorkamen (Abbildung 5). Typische kleine zahnähnliche Gebilde, wie beim zusammengesetzten Odontom, fanden sich nicht. Die histologischen Präparate wurde freundlicherweise durch Dr. Hansen (Institut für Pathologie, Direktor: Prof. Dr. J.C. Kirkpatrick) zur Verfügung gestellt.
Diskussion
Obwohl die Odontome traditionell in vielen Systematiken unter den „odontogenen Tumoren“ geführt werden, handelt es sich nach heute ganz überwiegender Auffassung um Fehldifferenzierungen von Keimgewebe, das heißt sogenannte Hamartome [Chen et al., 2005; Neville et al., 2002; Sciubba et al., 2001]. Die revidierte Fassung der WHO zu dieser Gruppe von Läsionen spricht daher nicht mehr nur von „odontogenen Tumoren“, sondern von „Neoplasien und tumorähnlichen Veränderungen, die aus dem odontogenen Apparat entstehen“ [Barnes et al., 2005]. Konkret werden die Odontome hier unter der Gruppe der Läsionen auf der Basis „odontogenen Epithels mit odontogenem Ektomesenchym mit oder ohne Zahnhartsubstanzbildung“ aufgeführt. In diesem Zusammenhang ist es interessant, dass neuerdings einige ameloblastische Fibro-Odontome als Vorläuferläsionen des Odontoms und damit ebenfalls als Hamartome diskutiert werden [Chen et al., 2005].
Die beiden Unterformen, komplexe Odontome und Verbund-Odontome, unterscheiden sich sowohl hinsichtlich ihrer Morphologie als auch bis zum gewissen Grade in der bevorzugten Lokalisation. Während die Verbund-Odontome aus kleinen kompakten Einzelstrukturen bestehen, die an Zähne erinnern und tendenziell eher im Frontzahnbereich lokalisiert sind, besteht das komplexe Odontom aus einer kompakteren Masse von Schmelz-, Dentin- und wenigen Zementanteilen in einer Matrix und ist etwas häufiger im Molarenbereich zu finden [Neville et al., 2002; Yeung et al., 2003].
Klinisch beziehungsweise radiologisch stehen Odontome oft in unmittelbarem Zusammenhang mit Zähnen der zweiten Dentition und sind recht häufig die Ursache von Zahndurchbruchsstörungen. Insgesamt ist die Klinik der Odontome aber gering und so werden sie oftmals erst in Folge von Zahnfehlstellungen und Verzögerung des Zahnwechsels als Zufallsbefunde in der Bildgebung entdeckt [Hisatomi et al., 2002; Tomizawa et al., 2005].
Auch im vorliegenden Fall stand das Odontom in direkter Verbindung mit einem retinierten Zahn 18. In der Zusammenschau der klinischen Befunde und des Verlaufes fand sich aber keine Erklärung für einen ursächlichen Zusammenhang zwischen den patientenseitig geschilderten Schmerzepisoden und dem Odontom. Weder klinisch noch histologisch ergab sich ein Hinweis auf eine begleitende inflammatorische Reaktion. Insofern kann die ursprünglich angenommene Schmerzursache „kraniomandibuläre Dysfunktion“ hier durchaus zutreffend gewesen sein.
Abschließend führt der dargestellte Fall auch noch einmal vor Augen, dass odontogene Tumoren oder tumorähnliche hamartomatöse Läsionen nicht auf die unmittelbare Kieferregion begrenzt bleiben, sondern auch in ektoper Lage auftreten können.
Dr. Maximilian MoergelProf. Dr. Dr. Martin KunkelKlinik für Mund-, Kiefer- und GesichtschirurgieKlinikum der Johannes Gutenberg-UniversitätAugustusplatz 255131 Mainz




