HIV in der zahnärztlichen Praxis
Die Behandlung chronischer Parodontalerkrankungen mit hoch akuten Erkrankungsschüben, nur schwer beherrschbare orale Viruspapillome, aber auch die Beachtung möglicher Wechselwirkungen der antiretroviralen Medikamente mit zahnärztlichen Arzneimitteln sind neben den Nebenwirkungen der HIV-Medikamente in der Mundhöhle die wichtigsten Aspekte. Die steigenden Neuinfektionszahlen auch in Deutschland [Robert Koch-Institut, 2008] erfordern für den betreuenden Zahnarzt aktuelles Wissen zum Zusammenhang von HIV und der Mundhöhle.
HIV-assoziierte orale Manifestationen werden in den Classification and Diagnostic Criteria for Oral Lesions in HIV Infection nach ihrer Assoziation zur zugrunde liegenden Virusinfektion eingeteilt (Tabelle). Neben den klassischen HIV-assoziierten parodontalen Erkrankungen, wie Nekrotisierende Ulzerierende Gingivitis (NUG) beziehungsweise Nekrotisierende Ulzerierende Parodontitis (NUP) oder Lineares Gingivaerythem, zählt die chronische Parodontitis nach Auffassung der American Academy of Periodontology ebenso zu den möglichen Begleiterkrankungen [Burt et al., 1996]. Parodontalerkrankungen kommt daher weiterhin – wenn auch in veränderter Form – bei der konsiliarischen Infektionsüberwachung eine besondere Bedeutung zu.
Auswirkungen des HI-Virus auf das Parodont
Der pathogenetische Zusammenhang zwischen HI-Virus und parodontalen Erkrankungen liegt offensichtlich in verschiedenen Veränderungen immunologischer Reaktionen auf den bakteriellen Angriff, der in allen Phasen der Wirtsabwehr manifest wird:
• Bereits im asymptomatischen Infektionsstadium ist die antimikrobielle und chemotaktische Potenz polymorphkerniger neutrophiler Granulozyten eingeschränkt, wohingegen die Phagozytosefähigkeit erhalten bleibt [Gabrilovich et al., 1991].
• Die Aktivität der nachfolgenden Monozyten und Makrophagen ist deutlich limitert [Perno et al., 1998] und
• Die Differenzierung zu Plasmazellen auf mitogene Reize ist durch ein ausgeprägtes Missverhältnis von Lymphozyten im gingivalen Gewebe gestört, so dass die Bildung von Immunglobulinen verzögert abläuft [Steidley et al., 1992]. Die dramatische Beeinträchtigung der Wirtsabwehr umfasst somit beide Arme der Immunabwehr, den zellulären wie den humoralen.
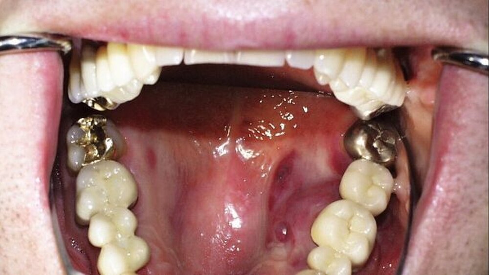
Weil die chronische Parodontitis neben der Zahnkaries die orale Haupterkrankung darstellt und somit auch bei Patienten ohne systemisch-pathologische Hintergründe in hoher Prävalenz auftritt, scheint vordergründig keine besondere Assoziation zur HIV-Infektion zu bestehen. Vor dem Hintergrund der oben beschriebenen immunologischen Alterationen weist sie jedoch besondere Merkmale auf, mit klinischen Implikationen hinsichtlich einer besonders engmaschigen Kontrolle und eines spezialisierten Betreuungskonzeptes. Besonders seit der Entwicklung antiretroviraler Therapieoptionen und der damit verbundenen gesunkenen Mortalität von HIV-Patienten treten die akuten Parodontalerkrankungen zugunsten chronischer Verlaufsformen in den Hintergrund [Jordan et al., 2007]: Eigene Untersuchungen konnten zeigen, dass eine konservative Behandlung der chronischen Parodontitis mit anschließender engmaschiger Erhaltungstherapie und überdurchschnittlicher häuslicher Plaquekontrolle im Vergleich zu einer HIV-seronegativen Kontrollgruppe zu vergleichbaren langfristigen Ergebnissen führen kann. Auch das Behandlungskonzept der One-stage Full-mouth Disinfection führte bei diesen Patienten zu keinen signifikanten Anstiegen in der postoperativen Körpertemperatur im Sinne einer Shwartzman-Reaktion, bedingt durch die massive Bakteriämie infolge der kurzzeitigen Abfolge der Wurzeloberflächenbearbeitung. Mikrobiologische Untersuchungen auf zehn parodontalpathogene Keime bis zu sechs Monate nach systematischer Parodontitistherapie stellten außerdem keine atypischen Verteilungsmuster dar [Jordan, 2005]. Allerdings wurden verstärkt kombinierte klinische Bilder durchlaufener NUG/NUP-Phasen im Zusammenhang mit ansonsten chronischer Parodontitis beobachtet, deren kosmetische Rekonstruktion kompliziert ist (Abbildung 1). Die unkompliziert verlaufende chronische Parodontitis bei HIV-Patienten kann vom parodontologisch tätigen Zahnarzt problemlos behandelt werden, wenn die grundsätzlichen Empfehlungen zur Infektionsprophylaxe zur Vermeidung einer Hepatitis-B-Infektion garantiert sind.
Operatives Infektionsrisiko
Das Risiko für tödliche Berufserkrankungen liegt bei Zahnärzten im Bereich von Bibliothekaren damit an unterster Stelle [Mandel, 1993]. Dennoch glauben Zahnärzte, dass sie einem beträchtlichen HIV-Infektionsrisiko ausgesetzt sind [Coulter et al., 2000]. Daraus resultierende Ängste stehen im Gegensatz zu den verfügbaren Daten, in denen das Infektionsrisiko untersucht wurde. Scully und Porter [Scully et al., 1991] stellten in einer Literaturübersicht dar, dass das Risiko einer HIV-Übertragung auf Gesundheitspersonal extrem gering ist. Bis Juni 1990, etwa zehn Jahre nach den ersten Veröffentlichungen zu AIDS-Erkrankungen in den Vereinigten Staaten, war weltweit lediglich bei 19 Personen eine berufliche HIV-Übertragungen von Patienten auf medizinisches Personal gesichert. Es gibt keinen nachgewiesenen Fall einer beruflichen Übertragung von HIV auf zahnärztliches Personal. Das im Vergleich zum Hepatitis-B-Virus deutlich geringere Infektionsrisiko wird vor allem durch die sehr viel niedrigere Viruskonzentration im Blut HIV-seropositiver im Vergleich zu HBV-seropositven (Hepatitis B-Virus) Personen erklärt. Wenigstens 100 Millionen infektiöse Viruspartikel pro Milliliter Serum (und das Fehlen von Infektionsschutzmaßnahmen) sind erforderlich, um eine chronische HIV-Infektion auszulösen. Die meisten therapierten Patienten und damit überwiegend jene, die von ihrer Infektion wissen, haben Konzentrationen im Bereich unter 100 infektiöser Viruspartikel pro Milliliter Serum. Diese geringe Konzentration macht eine Übertragung selbst bei perkutanem Kontakt mit HIV-infiziertem Blut (Nadelstichverletzung) unwahrscheinlich [Jordan, 2007a].
Unerwünschte Arzneimittelwirkungen
Unerwünschte Arzneimittelwirkungen antiretroviraler Medikamente auf die Mundhöhle lassen sich nur unzulänglich auf bestimmte Wirkstoffgruppen reduzieren, insbesondere aufgrund der synergistischen Wirkungen bei obligater Kombinationstherapie. Die bekannten Symptome umfassen orale Ulzera, Geschmacksveränderungen, Speicheldrüsenerkrankungen, Papillome, (peri)orale Parästhesien und die aphthöse Stomatitis [Jordan, 2007b]:
•
Orale Ulzera:
Die Entwicklung oraler Ulzera bei der Einnahme von Abacavir erfordert ein unverzügliches Konsil, da sie in fünf Prozent sogenannte häufig vorkommende unerwünschte Arzneimittelwirkungen ein mögliches Überempfindlichkeitssymptom mit lebensbedrohlichem Blutdruckabfall und Tod bedeuten können [Stekler et al., 2006].
Dies gilt ebenso für alle Kombinationspräparate, in denen der Wirkstoff enthalten ist (Kivexa ® und Trizivir® sowie Ziagen® als Einzelpräparat).
•
Speicheldrüsenerkrankungen:
Zu dieser Gruppe gehören die Hypersekretion, die Hypertrophie der Glandula parotis sowie die Xerostomie.
•
Papillome:
In der analytischen Epidemiologie weitgehend ungeklärt ist der Zusammenhang zwischen der signifikanten Zunahme von oralen HPV-Infektionen und antiretroviralen Therapien der HAART-Ära, die ohne intensive kurative Maßnahmen rasch in der gesamten Mundhöhle disseminieren und dann nur mit Mühe beherrschbar sind. Dennoch zeigte sich die Prävalenz bei der Einnahme antiretroviraler Therapiekombinationen inklusive Protease-Inhibitor (PI) doppelt erhöht im Vergleich zu PI-freien Regimen und um das Sechsfache erhöht im Vergleich zu therapiefreien Patienten [Greenspan et al., 2001] (Abbildung 2).
•
Geschmacksveränderungen:
Sie sind im Zusammenhang mit antiretroviralen Therapien mit einer Prävalenz von bis zu zehn Prozent die häufigsten unerwünschten Arzneimittelwirkungen [Ammassari et al., 2001]. Insbesondere die Wirkstoffgruppen Protease-Inhibitor und Nukleosidanaloga sowie deren geläufige Kombinationen scheinen mit metallischen Dysgeusien assoziiert zu sein.
Wechselwirkungen mit Zahn-Medikamenten
Neben der immunrekonstituierenden Wirkung der HIV-Medikamente sind weitreichende Veränderungen des hämatopoetischen Systems [Gill et al., 1997] inklusive zahnmedizinisch relevanter Thrombozytopenie mit verlängerter Blutungszeit bei invasiven Eingriffen bekannt. Dies scheint jedoch in der Regel keine klinische Relevanz bei zahnärztlich-chirurgischen Eingriffen zu haben [Veiga et al., 2008] Besondere Wechselwirkungen mit in der Zahnheilkunde angewandten Präparaten wurden bei Protease-Inhibitoren und nicht nukleosidalen Reverase-Transkriptase-Hemmern beobachtet, die als Leitmedikamente überwiegend den hoch aktiven antiretroviralen Therapien angehören. Sie sind maßgeblich begründet in der kompetitiven Hemmung des Cytochrom P450-Isoenzyms CYP3A4.
Vier medikamentöse Hauptgruppen sind von Bedeutung: Psychopharmaka, Antimykotika, Kortikoide und Antiinfektiva.
•
Psychopharmaka:
Sedativa aus der Gruppe der Benzodiazepine, die als Prämedikation und zur Analgosedierung bei Zahnbehandlungsphobie Einsatz finden, werden ebenfalls über das P450-Isoenzym CYP3A4 verstoffwechselt. Die resultierende kompetitive Hemmung der Metabolisierung kann zu einem Anstieg der Plasmakonzentration dieser Arzneimittel mit schwerwiegender Atemdepression und Verlängerung der Sedierung führen.
•
Antimykotika:
Da nach eigenen Untersuchungen das Auftreten einer Candida-Infektion unter dem Einfluss einer potenten antiretroviralen Therapie unwahrscheinlich ist [Jordan et al. 2007], kann sie insbesondere bei oesophagealer Ausbreitung als klinisches Zeichen auf eine versagende antiretrovirale Therapie hinweisen [Crommentuyn et al. 2004]. Veränderungen in der Pharmakokinetik für Imidazole und deren Derivate erfordern eine maximale Tagesdosis unterhalb von 200 mg.
•
Kortikoide:
In der zahnmedizinischen Schmerzbehandlung werden im topischen Einsatz die antiinflammatorischen Wirkungen von Glukokortikoiden in der Endodontie und Parodontologie genutzt. Die über das P450-Isoenzym CYP3A4 metabolisierten Glukokortikoide erhöhen das Risiko systemischer kortikosteroider Wirkungen einschließlich Morbus Cushing und Suppression der Nebennierenfunktion [Nocent et al. 2004]. Obwohl dies bekannten Wechselwirkungen bei systemischer Anwendung bekannt sind, ermöglicht der Einsatz von Alternativpräparaten eine vergleichbare Akuttherapie und sollte bei Menschen mit therapierter HIV-Infektion vorgezogen werden.
•
Antiinfektiva:
Nitroimidazol-Derivate, wie das lokal und auch im sogenannten Van-Winkelhoff-Cocktail [van Winkelhoff et al. 1989] systemisch eingesetzte Metronidazol, können bereits unter geringem Alkoholeinfluss zu starken Unverträglichkeitsreaktionen führen, die auf der Blockierung des Enzyms Aldehyddehydrogenase beruhen. Die Metabolisierung von Alkohol durch die Alkoholdehydrogenase bleibt dann auf der Stufe von Acetaldehyd stehen, so dass sich die Symptome einer Aldehydintoxikation zeigen. Dieser Mechanismus wird als disulfiramartige Reaktion bezeichnet und leitet sich von dem Alkoholentwöhnungsmittel Tetraethylthiuramdisulfid ab. Verschiedene antiretrovirale Kapseldarreichungen enthalten Ethanol, wie Ritonavir, das zum Boostering in modernen Protease-Hemmer-enthaltend Therapien eine weite Verbreitung findet; diese Wechselwirkung ist jedoch ausschließlich für Tipranavir beschrieben.
Zusammenfassung
Moderne antiretrovirale Therapieregime haben das frühe Bild von HIV und AIDS deutlich verändert (Abbildung 3). Auch in der zahnärztlichen Praxis ergeben sich daraus therapeutische Konsequenzen, vornehmlich in der Parodontologie. Unerwünschte Arzneimittelwirkungen auf orale Strukturen sowie zu beachtende Wechselwirkungen von zahnärztlichen Medikamenten sind neue Aspekte der zwar kontrollierten, aber lebenslang bestehenden Virusinfektion. In veränderter Form kommt dem Zahnarzt dabei noch immer eine wichtige konsiliarische Tätigkeit in der Langzeitbetreuung von HIV-Patienten zu, die zudem die Lebensqualität besonders begünstigen kann.
Dr. med. dent. Rainer A. Jordan, MSc.
Oberarzt der Abteilung für Zahnerhaltung
und Präventive Zahnmedizin
Universität Witten/Herdecke
Fakultät für Zahn-, Mund- und
Kieferheilkunde
Alfred-Herrhausen-Straße 50
58448 Witten
EC-Clearinghouse-Klassifikation oraler Läsionen bei der HIV-Infektion
Gruppe 1
Läsionen, streng mit der HIV-Infektion assoziiert
Candidiasis, erythematös oder pseudomembranös
orale Haarleukoplakie
Kaposi Sarkom
Non-Hodgkin Lymphom
Parodontalerkrankungen: LGE oder NUG/P
Gruppe 2
Läsionen, weniger häufig mit der HIV-Infektion assoziiert
bestimmte bakterielle oder virale Infektionen
melanotische Hyperpigmentation
Speicheldrüsenerkrankungen
thrombozytopenische Purpura
nekrotisierende Stomatitis
Ulzera, NOS
Gruppe 3
Läsionen, die bei der HIV-Infektion auftreten
bestimmte bakterielle, virale oder mykotische (außer Candida) Infektionen
Medikamenteninteraktionen
bestimmte Neuropathien
rekurrierende, aphtöse Ulzera
epitheloide Angiomatose
Cat-scratch disease




