Intraossäres Plattenepithelkarzinom
Eine 53-jährige Patientin mit altersentsprechendem Allgemeinzustand und anamnestisch bekannten funktionellen Herzbeschwerden, dazu Nichtraucherin, stellte sich in der Klink für Mund-, Kiefer- und Gesichtschirurgie wegen einer paramandibulären schmerzhaften Schwellung der Regio 35 – 36 vor. Klinisch imponierte zu diesem Zeitpunkt eine unspezifische entzündliche Reaktion bei Zustand nach Extraktion der Zähne 35 und 36 (Abbildung 1). Anamnestisch wurde die Patientin alio loco über zwei Monate antibiotisch anbehandelt und bei rezidivierenden, submukösen Abszessen in dieser Region mehrfach inzidiert bis schließlich die nicht erhaltungswürdigen, parodontal geschädigten Zähne 35 und 36 extrahiert wurden.
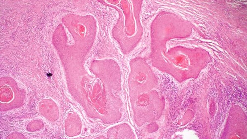
In einer neu angefertigten Panoramaschichtaufnahme zeigte sich eine unscharfe, unregelmäßige Aufhellung ohne Sklerosesaum in Regio 35 und 36 (Abbildung 2). Palpatorisch fielen submandibulär beidseits mehrere Lymphknoten auf, die sonographisch reaktiv verändert erschienen und eine klare Hiluszeichnung aufwiesen. Eine in regio 35/36 entnommene Probe erbrachte schließlich das Ergebnis eines gut bis mäßig differenzierten, intraossären, verhornenden Plattenepithelkarzinoms. Ein präoperativ angefertigtes Computertomogramm ergab keine Anzeichen für das Vorliegen von Lymphknotenmetastasen, so dass in der folgenden Operation eine Unterkieferkontinuitätsresektion von Regio 33 bis zum Kieferwinkel der linken Seite (Abbildung 3) sowie eine supraomohyoidale Lymphknotenausräumung des Halses ipsilateral durchgeführt wurde. Der entstandene Defekt wurde mittels einer Überbrückungsplatte und eines mikrovaskulär anastomosierten Radialislappens rekonstruiert. In der abschließenden pathohistologischen Beurteilung wurde die Diagnose eines primär intraossären Plattenepithelkarzinomes gestellt (Abbildung 4).
Diskussion
Synonym für den Begriff des primär intraossären Plattenepithelkarzinoms wird der Terminus intraalveoläres Epidermoidkarzinom gebraucht. Es handelt sich um zentral liegende Kieferkarzinome ausgehend von Überresten odontogenen Gewebes, so dass sie den odontogenen Tumoren zugerechnet werden und daher nur für den Ober- und Unterkiefer beschrieben wurden. Unterteilt werden sie nach der WHO in
1. solide Tumore, die die Markzwischenräume infiltrieren und knöcherne Resorptionen induzieren,
2. Plattenepithelkarzinome ausgehend von odontogenen Zysten oder
3. Karzinome von anderen odontogenen Tumoren her rührend [1,2]. Das durchschnittliche Erkankungsalter liegt bei 55 Jahren, Männer sind doppelt so häufig betroffen wie Frauen.
Die für Plattenepithelkarzinome typischen Risikofaktoren, wie zum Beispiel Rauchen in Kombination mit Alkoholkonsum, sind für die Entstehung der primär intraossären Plattenepithelkarzinome weniger von Relevanz [1]. Es wird vermutet, dass ein reaktiver, inflammatorischer Stimulus zu einer Proliferation der Epithelreste mit Entartung führt. Bevorzugt befallen ist der distale Unterkiefer, ein Befall des Oberkiefers ist extrem selten [3].
Klinische Symptome sind selten, wodurch es sich häufig um radiologische Zufallsbefunde handelt. Neben Schwellungen werden bei Infiltration des Nervus alveolaris inferior auch Parästhesien beschrieben. Es können aber auch zum Beispiel Symptome einer Parodontalerkrankung vorliegen, so dass es zur Diagnosenverschleppung kommen kann [4].
Es gibt keine spezifischen histologischen Merkmale, die eine Differenzierung zu metastatischen Prozessen eines Plattenepithelkarzinoms erlaubt, so dass eine zweifelsfreie Diagnose in der Regel nur bei Entstehen des Prozesses im Bereich einer odontogenen Zyste definitiv gesichert werden kann. Eine häufig vorliegende sekundäre Ulzeration der Mukosa, erschwert die zweifelsfreie Diagnose [2].
Im vorliegenden Fall wurde zunächst ebenfalls von einem dentalen Problem ausgegangen. Erst rezidivierende Entzündungen mit Schwellung bei abschließend nicht abheilenden Extraktionsalveolen führten zur Überweisung der Patientin.
Für die zahnärztliche Praxis soll nochmals darauf hingewiesen werden, dass auch hinter vermeintlich parodontalen Erkankungen Malignome stehen können und dass bei Ausbleiben einer adäquaten Wundheilung nach Extraktionen eine Probeexzision zum Ausschluss eines Malignoms durchgeführt werden muss.
Dr. med. Dr. rer. nat. Thomas ZiebartDr. Dr. Christian WalterProf. Dr. Dr. Wilfried WagnerKlinik für Mund-, Kiefer- und GesichtschirurgieJohannes Gutenberg-UniversitätAugustusplatz 255131 Mainzziebart@mkg.klinik.uni-mainz.de




