Zahnstein so weit das Auge reicht
Als Zahnärztin mit dem Tätigkeitsschwerpunkt AltersZahnMedizin habe ich mehrfach Berührungen mit unglaublich unhygienischen Zuständen gerade bei Pflegebedürftigen.
Patientenfall 1
Da reicht eine Notfallbehandlung im Altenheim: Zahnextraktion 26 – der Zahn ist so mit Zahnstein ummantelt, dass er nicht in die Zange passt. Der Patient ist allerdings total glücklich und stolz, dass er die Mundhygiene mit 89 Jahren noch selber durchführt.
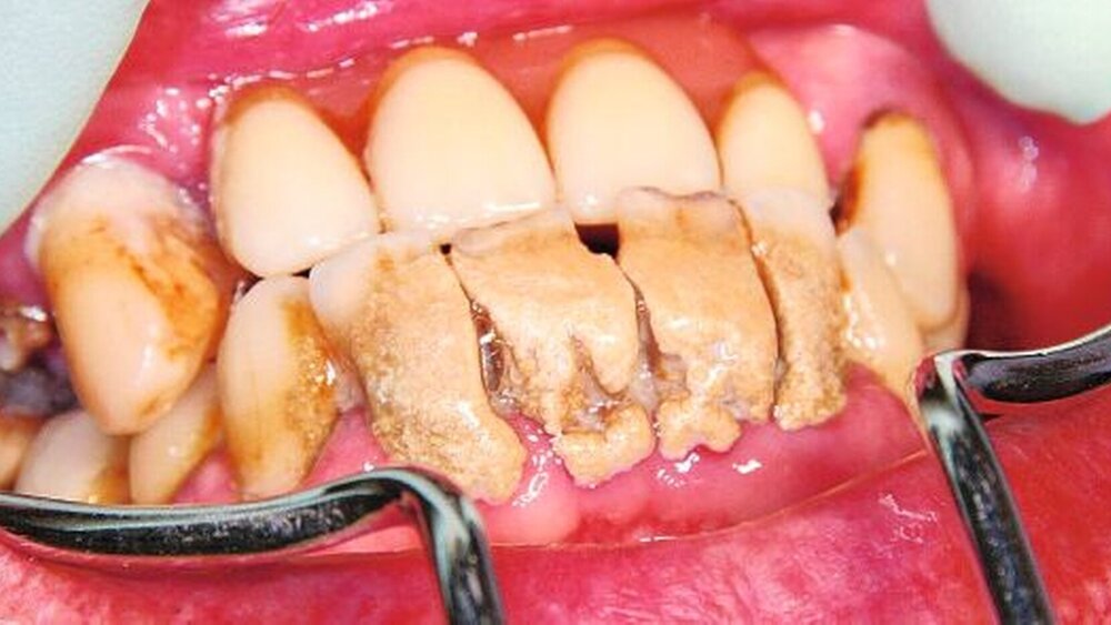
Patientenfall 2
Der letzte Besuch dieses Patienten beim Zahnarzt liegt fast 40 Jahre zurück: Der Patient wurde zum 05.01.1970 zur Bundeswehr eingezogen. Da die Zähne im Oberkiefer defekt waren, ließ er sich im Dezember 1969 diesen Zahnersatz anfertigen. Vermutlich ist der Zahnstein ebenso alt.
Ziel der Bemühungen unserer Praxis ist es, diese Pflegebedürftigen nach der Hygienisierung der Mundhöhle in ein Prophylaxe-Recall zu führen. Das Pflegepersonal wird regelmäßig zur Mundhygiene geschult und angeleitet.
Dr. Ina J. MeißnerUffhäuser Straße 236251 Bad Hersfeldpraxis@hef-zahn1.dewww.hef-zahn1.de




