Primäres Angiosarkom der Gingiva
Ein 47-jähriger, sonst gesunder Patient wurde mit der Bitte um Weiterbehandlung mit einer lingualseitig in regio 31 bis 32 im Bereich der fixierten Gingiva gelegenen, drei bis vier Millimeter großen, vorbiopsierten Raumforderung vorstellig.
Die Veränderung war dem Patienten zwei Monate zuvor unter anderem durch Blutungen bei leichten mechanischen Reizen aufgefallen, weswegen beim Zahnarzt eine Probebiopsie durchgeführt wurde.
Zum Zeitpunkt der Erstvorstellung (Abbildung 1) zeigte sich ein kleiner, exophytisch gewachsener Befund, unmittelbar am Parodontalspalt gelegen, mit einer in den cra-nialen Anteilen ulzerierten Schleimhaut und einer Rotfärbung in den basalen Anteilen der Schleimhaut. Vestibulärseitig gab es keine Auffälligkeiten in der korrespondie-renden Region.
Die Probebiopsie hatte die Diagnose eines Angiosarkoms ergeben, so dass aus diesem Grund neben einer Panoramaschichtaufnahme (Abbildung 2) weitere Staginguntersuchungen veranlasst wurden. Weder in der Computertomographie der Kopf-Hals-Region noch thorakoabdominell gab es Hinweise auf metastatische Absiedlungen des Angiosarkoms, so dass sich die Therapie auf die lokale Resektion beschränkte. Hierbei wurde unter Wahrung eines Sicherheitsabstands eine Kastenresektion (Abbildung 3) unter Mitentfernung der benachbarten Zähne 33 bis 41 (Abbildung 4) durchgeführt.
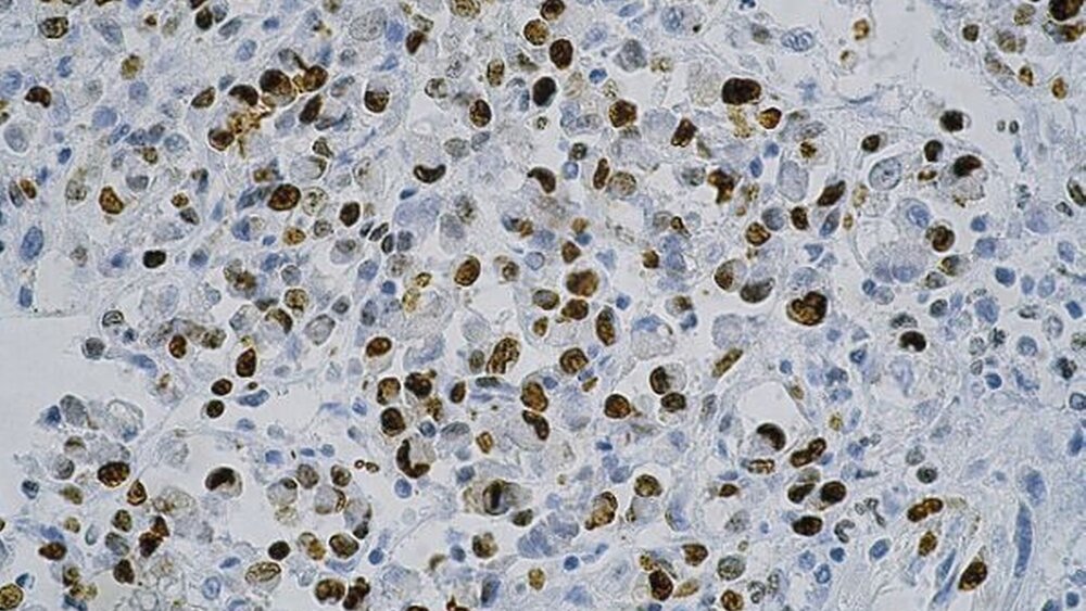
Die histopathologische Aufbereitung bestätigte die Diagnose eines Low-grade-Angio-sarkoms (Abbildungen 5 bis 8).
Prospektiv ist bei Rezidivfreiheit die kaufunktionelle Rehabilitation des Patienten mit Unterkieferdistraktion oder Beckenkammaugmentation und anschließender implantologischer Versorgung geplant.
Diskussion
Das Angiosarkom, das synonym auch als Lymphangiosarkom, Hämangiosarkom oder malignes Hämangioendotheliom bezeichnet wird, macht insgesamt nur ein bis zwei Prozent aller Sarkome aus. Bei fehlenden Differenzierungsmerkmalen entdifferenzierter Endothelzellen gilt die Unterscheidung zwischen Hämangiosarkomen und Lymphangiosarkomen inzwischen als obsolet [1]. Meist handelt es sich um Befunde der Haut und deutlich seltener um primäre Weichgewebsangiosarkome, die auch multifokal auftreten können. Häufigste Lokalisationen sind tiefer liegende Muskelpartien der unteren gefolgt von den oberen Extremitäten, dem Rumpf und schließlich der Kopf-Hals-Region. Unter letzteren kommen wiederum nur vier bis fünf Prozent im Bereich der Kieferhöhlen, dem Pharynx oder enoral vor [2]. Primär enorale Angiosarkome beschränken sich dabei in der Literatur auf einzelne Fallberichte oder kleinere Fallserien [2,3].
Klinisch manifestieren sich Angiosarkome als an Größe zunehmende Raumforderungen die bis zum Diagnosezeitpunkt mehrere Zentimeter an Größe besitzen können und oft als expansive, unscharf begrenzte hämorrhagische Tumore, die chronische Hämatome imitieren können, imponieren. Bei einem Drittel aller Patienten ist das Angiosarkom mit weiteren Symptomen vergesellschaftet, wie Koagulopathien, Anämien, persistierenden Hämatomen oder einer erhöhten Neigung zur Hämatomentwicklung [4].
Typische Symptome enoraler Angiosarkome sind Schmerzen, spontane Blutungen aus rundlich, ovalen, rotbläulichen, relativ festen Raumforderungen, die häufig Ulzerationen der bedeckenden Schleimhäute aufweisen können [2].
Ein Drittel aller Angiosarkome geht aus präexistierenden Veränderungen hervor wie Neurofibromatose-assoziierten benignen oder malignen Nervscheidentumoren, aus der Nachbarschaft von Gefäßprothesen oder Fremdkörpern, aus Hämangiomen oder tritt bei Patienten mit Klippel Trenaunay oder Maffucci-Syndromen oder auch bei Zustand nach Radiatio auf [4].
Zur definitiven Diagnose bedarf es der histopathologischen Abklärung, wobei hier die Immunhistochemie an Bedeutung gewonnen hat. Angiosarkome zeigen partiell auch im selben Befund ein sehr breites Differenzierungsspektrum von hochdifferenziert, hämangiomähnlich bis zu anaplastisch [1].
Die Therapie beinhaltet die radikale, chirurgische Entfernung, wobei Patienten von einer adjuvanten Radio-Chemotherapie nicht profitieren müssen [2]. Die Prognose dieses hoch aggressiven Tumors ist schlecht und äußert sich in einer Zehn-Jahres-Überlebensrate bei Angiosarkomen der Kopf-Hals-Region von 21 Prozent [5]. Häufig kommt es zu lokalen Rezidiven und metastatischen Absiedlungen in Lunge, Lymphknoten, Knochen und Weichgeweben. Die Prognose negativ beeinflussende Faktoren sind ein erhöhtes Patientenalter, die Tumorgröße, eine retroperitoneale Lage bei Angiosarkomen in der entsprechenden Region und eine erhöhte Proliferationsrate (Ki-67 als immunhistochemischer Marker) [4].
Die von dem Patienten dargestellte Symp-tomatik mit Blutungen bei inadäquaten Traumen ist typisch für das enorale Angiosarkom. Besonders wegen der Lage des Befunds hätte in diesem Fall differentialdiagnostisch eine der früher unter dem Begriff der Epulitiden zusammengefassten Diagnosen oder ein Reizfibrom vorliegen können. Die Entscheidung zur frühzeitigen Probebiopsie führte in diesem Fall zu einer zeitnahen operativen Versorgung des Patienten bei noch nicht ausgedehntem Befund, so dass nochmals darauf hingewiesen werden soll, dass alle neu aufgetretenen Veränderungen zum Ausschluss eines Malignoms einer histopathologischen Abklärung bedürfen.
Dr. Dr. Christian WalterProf. Dr. Dr. Wilfried WalterKlinik für Mund-, Kiefer- und GesichtschirurgieJohannes Gutenberg-Universität MainzAugustusplatz 2walter@mkg.klinik.uni-mainz.de
Priv.-Doz. Dr. Torsten HansenInstitut für Pathologie der Universitätsmedizin der Johannes Gutenberg-Universität Mainz




