Differenzialdiagnose der Gingivahyperplasie
Ein 69-jähriger Patient wurde zur Zahnextraktion mehrerer Zähne überwiesen. Klinisch imponierte eine ausgeprägte Gingivahyperplasie an den zahntragenden Kieferabschnitten mit deutlichen Entzündungserscheinungen, parodontaler Destruktion und Halitosis.
Die Mundhygiene war ungenügend und fast alle Zähne nicht erhaltungswürdig. Der Patient konnte keine Angaben zum Krankheitsbeginn und Verlauf machen. Die letzte zahnärztliche Konsultation lag über 15 Jahre zurück.
Des Weiteren fiel der Patient durch Blässe, Hämatome am Handrücken und Unterarmen sowie einen deutlich reduzierten Allgemeinzustand auf. Beim Hausarzt war nach einer Blutbilduntersuchung der Verdacht auf ein myelodysplastisches Syndrom gefallen, das aber, da sich der Patient weiterer Diagnostik und Therapie verweigerte, nie abgeklärt werden konnte. An weiteren Vorerkrankungen bestand eine arterielle Hypertonie sowie ein stattgehabter Apoplex vor zehn Jahren. Die Hypertonie wurde mit Amlodipin fünf Milligramm, Enalapril fünf Milligramm und Valsartan 80Milligramm täglich behandelt. Seit dem Apoplex bestand zudem eine Dauertherapie mit Clopidogrel 75mg/d.
In Zusammenschau aller Befunde bestand zunächst der Verdacht auf eine Gingivahyperplasie im Rahmen einer Leukämie bei dem vermuteten myelodysplastischen Syndrom. Die Ergebnisse der Blutbildanalyse passten zu einem myelodysplastischen Syndrom, jedoch nicht zu einer Leukämie. Somit bestand der Verdacht auf eine Amlodipininduzierte Gingivahyperplasie.
Das Therapiekonzept beinhaltete die stationäre Aufnahme zur Abklärung einer möglichen malignen Grunderkrankung, die Extraktion der meisten Zähne und die Exzision der hyperplastischen Gingiva mit der Intention normale Mundschleimhautverhältnisse zur Inkorporation neuen Zahnersatzes zu schaffen. Im Bereich der zu extrahierenden Zähne wurde vor der Extraktion die hyperplastische Gingiva durch Keilexzision soweit reduziert, dass nach Kürettage eine spannungsfreie Anlagerung der Wundränder möglich war. Die Gingiva der drei belassenen Zähne wurde ebenfalls durch kombinierte interne und externe Gingivektomie auf Höhe der Pseudotaschen reduziert und durch Interdentalnähte fixiert.
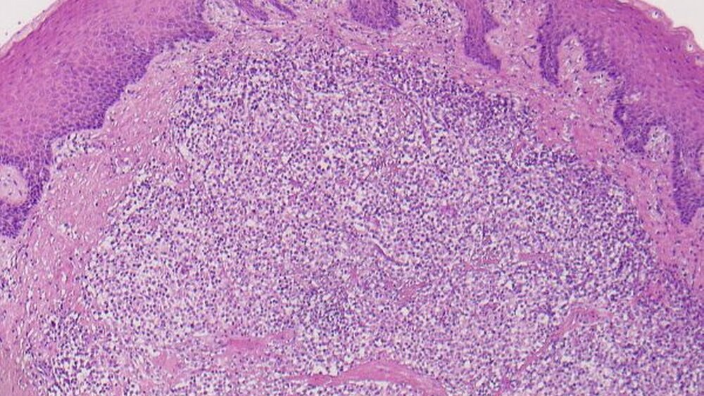
Die histopathologische Aufarbeitung des Resektats ergab eine floride chronisch unspezifische Gingivitis mit reaktiver Schleimhaut ohne Anhalt für Malignität.
Das Fehlen leukämischer Infiltrate im Resektat schließt eine mögliche Leukämie prinzipiell aber nicht aus. Unter Optimierung der Mundhygiene mit Chlorhexamedspülungen und Umstellung der antihypertensiven Medikation durch den Hausarzt zeigte sich beim Kontrolltermin fünf Wochen postoperativ die komplette Remission ohne Rezidivneigung. Zur Behandlung der Grunderkrankung wurde ein Alternativpräparat durch den Hausarzt verordnet.
Gingivahyperplasien können sowohl medikamentös oder hereditär bedingt sein (Heriditäre Gingivafibromatose) als auch Symptome eines generalisierten Krankheitsbildes wie zum Beispiel Leukämien sein.
Bei dem anamnestisch vorhandenen Myelodysplastischen Syndrom handelt es sich um eine potentiell maligne Störung der Hämatogenese mit Knochenmarkshyperplasie und morphologischen Veränderungen einer, zweier oder aller drei der myelopoetischen Zellreihen. Nach der WHO-Klassifikation [Vardiman, Thiele et al. 2009] werden die myelodysplastischen Syndrome in fünf Untergruppen unterteilt, die mit unterschiedlicher Progredienz und Wahrscheinlichkeit in eine akute myeloische Leukämie übergehen. Intraorale Anzeichen einer Leukämie (AML, CML, ALL, CLL) können Blutungen der Mukosa, Petechien, Ulzera und eben die Gingivahyperplasie sein. Die Häufigkeiten oraler Manifestationen einer Leukämie liegen bei 15 bis 80 Prozent und sind in akuten Fällen häufiger als bei der chronischen Leukämie (65 Prozent versus 30 Prozent) [Bodey 1971; Lynch and Ship 1967)]. In fünf Prozent aller Fälle von AML waren die intraoralen Anzeichen die ersten Symptome der Grunderkrankung [Vinckier and Declerck 1989].
Zu den allgemein bekannten Arzneimittelgruppen, die für die Entwicklung einer Gingivahyperplasie bekannt sind, zählen das Immunsuppressivum Cyclosporin A, das Antikonvulsivum Phenytoin und Kalziumkanalblocker wie Nifedipin. Weniger bekannt ist, dass auch denen verwandter Amlodipin zu einer Wucherung der Gingiva führen kann.
Den größten Anteil medikamentös induzierter Gingivahyperplasien hat das Antiepileptikum Phenytoin (50 Prozent aller Patienten mit Langzeitbehandlung) [Rothmeier and Froscher 1989]. Bei Dauertherapie mit Cyclosporin, das überwiegend bei organtransplantierten Patienten aber auch bei der Therapie von Autoimmunerkrankungen eingesetzt wird, kommt es in 30 bis 70 Prozent aller Fälle zu einer Gingivahyperplasie [Angelopoulos and Goaz 1972]. Unter den Kalciumkanalblockern wurde diese Nebenwirkung am häufigsten bei Nifedipin beobachtet, aber auch bei Verapamil [Pernu, Oikarinen et al. 1989; Miller and Damm 1992], Felopidin [Young, Turiansky et al. 1998] Diltiazem [Bullon, Machuca et al. 1995], Isradipin, Nitrendipin [Brown, Sein et al. 1990], Nimodipin, Nicardipin und eben Amlodipin [Seymour, Ellis et al. 1994; Jorgensen 1997; van der Vleuten, Trijbels-Smeulders et al. 1999; Lafzi, Farahani et al. 2006]. Die Inzidenz von Gingivahyperplasien unter Nifedipin-Medikation wird mit 6,3 Prozent [Ellis, Seymour et al. 1999], die Prävalenz bei Amlodipin-Einnahme ohne ausreichende Signifikanz mit 3,3 Prozent angegeben [Ellis, Seymour et al. 1993; Jorgensen 1997]. Gingivahyperplasie unter Amlodipin-Medikation wird in der Roten Liste als Nebenwirkung mit seltener Häufigkeit (0,01 bis 0,1 Prozent) angegeben.
Amlodipin ist ein Kalziumantagonist aus der Gruppe der Dihydropyridine. Der Pathomechanismus ist momentan noch unzureichend untersucht, beruht jedoch auf einem multifaktoriellen Geschehen, an dem Dauer und Dosierung der Medikation, Alter [Wei 1989], Geschlecht [Ellis, Seymour et al. 1999] und maßgeblich unzureichende Mundhygiene mit Plaque-Akkumulation beteiligt sind. Männer sind dreimal häufiger betroffen als Frauen [Ellis, Seymour et al. 1999].
Gingivahyperplasien sind wegen der Bildung von Pseudotaschen dringend behandlungsbedürftig, da sie die Plaque-Kontrolle erschweren und parodontale Destruktion befördern. Die Wucherungen erschweren die Mastikation und sind ästhetisch und beim Sprechen sehr beeinträchtigend. Bei Kindern kann zudem der Zahndurchbruch behindert werden.
Die parodontologische Arbeitsgruppe von Camargo et al. empfiehlt zunächst ein konservatives Vorgehen zur Behandlung einer durch Kalziumantagonisten induzierten Gingivahyperplasie. Tritt die Spontanremission unter Medikationsänderung und begleitender Parodontitistherapie in der Zeit von sechs bis zwölf Monaten [Hernandez, 2000, Tacrolimus] nicht ein, ist die chirurgische Therapie zusätzlich indiziert [Camargo, Melnick et al. 2001]. Bei der Medikationsänderung muss ein Päparat verschrieben werden, das nicht der Gruppe der Calziumkanal-Antagonisten angehört. Die Gingivektomie als alleinige Maßnahme sollte dabei nur Anwendung finden, wenn das Operationsgebiet sechs Zähne nicht übersteigt, keine großen Attachmentverluste vorliegen und ausreichend befestigte Gingiva vorhanden ist. In allen anderen Fällen empfiehlt sich die Lappenbildung mit Reinigung und Glättung der Wurzeloberfläche unter Sicht und Möglichkeit der simultanen regenerativen Parodontalchirurgie.
Im besprochenen Fall war bei nicht gegebener Erhaltungswürdigkeit der meisten Zähne die Indikation zur primär chirurgischen Therapie mit simultaner Extraktion und Gingivektomie gegeben. Die Umstellung der Medikation sichert langfristig Rezidivfreiheit.
Fazit
Gingivahyperplasien stärkeren Ausmaßes sind selten rein entzündlich bedingt. Als Ursachen kommen Medikamente (Kalziumkanalblocker, Antepileptika, Immunsupressiva), leukämische Erkrankungen und die Hereditäre Gingivahyperplasie in Betracht.




