Manifestation einer Metamizol-induzierten Agranulozytose im Mundraum
Ein 81-jähriger Patient wurde der Klinik aufgrund eines Ulkus im Molarenbereich des linken Unterkiefers vorgestellt. Klinisch zeigte sich hier eine spontane, schmerzlose Knochenexposition von Regio 36 bis nach retromolar. Der parodontal geschädigte Zahn 37 lag im Zentrum der Läsion (Ab- bildung 1). Die klinische Morphologie war nicht richtungsweisend, insbesondere fanden sich keine umgebenden Vorläufer- läsionen, kein Randwall und keine pathologischen Gefäßektasien als typische Stigmata einer malignen Läsion, aber auch keine Hinweise auf eine traumatisch-irritative oder infektiöse Ursache. Sowohl 37 als auch die Prämolaren des linken Unterkiefers reagierten auf Kälte-Provokation sensibel.
Trotz multipler Vorerkrankungen (monoklonale Gammopathie vom Typ IgA-lambda, Ulkuserkrankung, Entzündungsbestrahlung der Tonsillen vor 60(!) Jahren) ergab sich aus den Grunderkrankungen kein konkreter Hinweis auf die Ursache der Knochenexposition, insbesondere waren keine Bisphosphonate eingenommen worden.
Allerdings hatte der Patient kurz zuvor eine Medikamenten-induzierte Agranulozytose nach der Einnahme von Metamizol durchgemacht und war nachfolgend durch eine neutropene Sepsis in ein Multiorganversagen (Nierenversagen und disseminierte, intravasale Gerinnung, schwere Mukositis) gekommen. Unter antibiotischer und supportiver Therapie hatte sich der Zustand des Patienten und insbesondere die Leukozytenzahl wieder stabilisiert, enoral war jedoch eine ausgedehnte Ulzeration verblieben, so dass zunächst auch eine neoplas- tische Ursache erwogen werden musste.
In der erweiterten Bildgebung mittels Sonographie und Computertomographie ergab sich nachfolgend aber kein Hinweis auf eine enossale oder perimandibuläre Raumforderung und auch die regionären Lymphknoten zeigten keinen metastasentypischen Befund. In der Zusammenschau der anamnestischen Angaben und der Morphologie war daher die Läsion am ehesten als spon-tane Schleimhautdehiszenz und Knochenexposition in der Folge einer ulzerierenden Mukositis bei Agranulozytose zu werten.
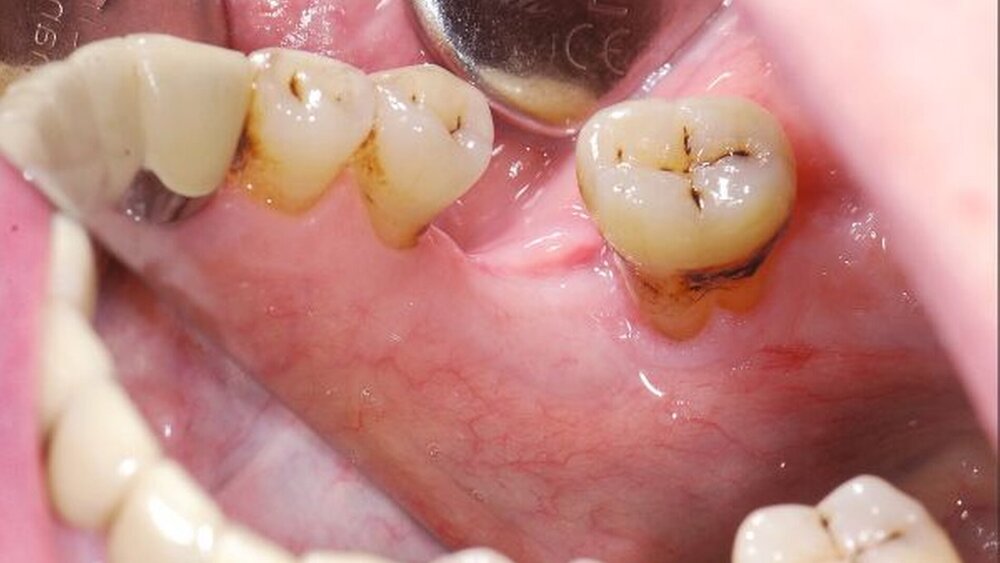
Damit war eine kausale Lokaltherapie nicht erforderlich, sondern es konnte die spontane Rückbildung nach der vollständigen hämatologischen Remission abgewartet werden. Zur histologischen Absicherung bei dieser „nicht chirurgischen“ Therapie wurden Biopsien aus der Ulkuszone gewonnen. Hierbei ergab sich lediglich Entzündungs-gewebe mit Plattenepithelhyperplasien und nekrotischem Knochengewebe. Im Verlauf bildete sich die Läsion allein unter lokaler Wundpflege spontan zurück (Abbildung 2) und heilte schließlich innerhalb von neun Wochen vollständig ab (Abbildung 3).
Diskussion
Die Medikamenten-induzierte Agranulo- zytose (Synonym: Idiosynkratische Agranulozytose) ist ein schweres, lebensbedrohliches Krankheitsbild, das bereits in den Dreißigerjahren des vergangenen Jahrhunderts im Zusammenhang mit Aminopyrin, einem Antiphlogistikum, beobachtet wurde.
Es handelt sich um eine plötzlich eintretende dramatische Verminderung der Granulozyten (Neutropenie) im peripheren Blut. Der massive Granulozytenabfall kann anschließend durch Verlust der zellulären Abwehrfähigkeit zu lebensbedrohlichen Infektionen führen.
Die Pathogenese der Medikamenten-induzierten Agranulozytose ist bis heute nicht abschließend geklärt. Traditionell wurden toxische oder immunologische Wirkungen angenommen, allerdings haben sich in den letzten zehn Jahren eine Vielzahl ganz unterschiedlicher Mechanismen darstellen lassen, so dass heute unter dem Oberbegriff der Idiosynkratischen Agranulozytose ganz unterschiedliche Krankheitskonzepte sub-sumiert werden.
So wird beispielsweise angenommen, dass die in der Metabolisierung zahlreicher Medikamente bedeutsamen Sauerstoffradikale (ROS= reactive oxygen species) den oxidativen Stoffwechsel der Granulozyten stören, zu einer ATP-Depletion führen und daneben auch eine T-Zell-vermittelte Immunreaktion gegen Granulozyten selbst auslösen. Außerdem scheinen zahlreiche genetische Vari-anten (wie NADPH Gen-Polymorphismen, HLA-Polymorphismen) eine individuelle Krankheitsdisposition zu verursachen. Daneben werden verschiedenen immuno- logische Mechanismen (Haptenbildung, Immunkomplexierung, Autoantikörper) beschrieben, wobei die Antikörper-vermittelte Erkrankung eher bei der Medikamenten- induzierten Thrombozytopenie als bei der Agranulozytose eine Rolle spielt [Tesfa et al., 2009].
Klinisch bedeutsam ist, dass Erkrankungen, die selbst Einfluss auf das Immunsystem nehmen (wie Rhematoide Arthritis, HIV) auch häufiger zu einer Medikamenten- induzierten Agranulozytose führen können. Interessant ist in diesem Zusammenhang, dass der Patient unseres Falles eine monoklonale Gammopathie aufwies, deren Relevanz aber bislang nicht geklärt ist.
Die Agranulozyose ist vor allem eine Erkrankung des fortgeschrittenen Lebensalters ( 65. Lebensjahr), wobei bislang nicht geklärt ist, ob es sich hier um ein wirklich altersabhängiges Phänomen handelt oder einfach nur um den Effekt der intensiveren Medikation im höheren Lebensalter.
Leitsymptome sind hohes Fieber und Schüttelforst, oft mit Schluckbeschwerden und Halsschmerzen verbunden. Häufig findet man eine nekrotisierende Stomatitis und Periodontitis [Ohishi M. et al., 1988; S. Tewari et al., 2009] sowie Tonsillitis und Pharyngitis. Innerhalb kürzester Zeit kommt es zusätzlich zu Nekrosen und tiefgreifenden Ulzerationen mit flächenhafter Ausbreitungstendenz vor allem an der oropharyngealen Schleimhaut. Der Zusammenbruch der Immunabwehr mündet unbehandelt beim Vollbild einer Sepsis.
Für die zahnärztliche Praxis soll dieser Fall auf die Problematik schwerwiegender Medikamenten-Nebenwirkungen hinweisen, da auch einige der in der Zahnheilkunde ein-gesetzten Medikamente eine Agranulo- zytose verursachen können. Tabelle 1 gibt eine Übersicht zu wichtigen potentiell Agranulozytose-auslösenden Medikamenten [Andersohn F. et al., 2007]. Bedeutsam in der Zahnheilkunde ist vor allem das Me-tamizol (wie Novalgin®, Novaminsulfon®). Hier wird die Inzidenz für eine Angranulozytose zwischen 0,2 und 2 pro 1 000 000 Tagesanwendungen angegeben. Allerdings finden sich auch Angaben bis zu 1:1 700 Patienten [Ibanez L. et al., 2005]. Insofern sollte zumindest an die Möglichkeit einer solchen Komplikation gedacht werden, wenn ungewöhnliche Schleimhautläsionen oder plötzliche unklare Fieberzustände nach der Anwendung von Metamizol auftreten.
Dr. Cristian T. RäderProf. Dr. Dr. Martin KunkelKlinik für Mund-, Kiefer- und plastische Gesichtschirurgie Ruhr-Universität BochumKnappschaftskrankenhaus Bochum-Langendreer In der Schornau 23-2544892 Bochumcristian.raeder@rub.demartin.kunkel@rub.de
\n
Substanzgruppe
Wirkstoffe
\n
Analgetika, Antiphlogistika, Antirheumatika
Metamizol (Dipyron); Diclofenac
\n
Antiarrhythmika
Procainamide (In Europa außer Handel)
\n
Antibiotika
Oxacillin, Penicillin G
\n
Thyreostatika
Carbimazol; Propylthiouracil
\n
Thrombozytenaggregationshemmer
Ticlopidin, Clopidogrel
\n
Neuroleptika
Clozapin
\n
onkologische Immuntherapeutika
Rituximab
\n




