Anästhesie im Innervationsgebiet
Eine 19jährige Patientin wurde uns mit einer Anästhesie im Versorgungsgebiet des N. mentalis links vom niedergelassenen zahnärztlichen Kollegen überwiesen. Anamnestisch war zu eruieren, dass aufgrund einer Karies profunda mit Pulpeneröffnung eine endodontische Therapie des Zahnes 35 in Lokalanästhesie (Leitungsanästhesie des N. alveolaris inferior) durchgeführt worden war. Als Wurzelfüllmaterial war Endomethasone N in Verbindung mit Gutta - percha verwendet worden. Die Patientin gab nach dem zahnärztlichen Eingriff und dem Abklingen der Leitungsanästhesie eine persistierende Anästhesie im Versorgungsgebiet des ipsilateralen N. mentalis an. Am folgenden Tag stellte sich die Patientin daher erneut bei ihrem behandelnden Zahnarzt vor. In der veranlassten Röntgenkontrolle mittels Einzelzahnfilm zeigte sich über den Apex des Zahnes 35 ragendes radioopakes Material, welches sich in den Canalis mandibularis projizierte. Der Kollege überwies die Patientin daraufhin in unsere Klinik mit der Bitte um Wei - terbehandlung.
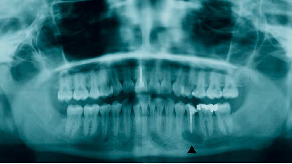
Bei der intraoralen Inspektion zeigte sich der Zahn 35 perkussionsnegativ, die Vitalitätsprobe der Zähne 35 bis 31 war ebenfalls negativ. An den Zähnen 36 und 37 fiel sie positiv aus. Die Mucosa der vestibulären Umschlagfalte von regio 35 bis 32 wies eine Anästhesie auf. Im Versorgungsgebiet des N. lingualis ließen sich keine Ausfälle dokumentieren. Bei der extraoralen Untersuchung waren die Spitz-Stumpf-Diskrimination und die Zweipunktdiskrimination der Kinnregion sowie der Unterlippe linksseitig im Sinne einer vollständigen Anästhesie erloschen. Im Versorgungsgebiet des N. mentalis der Gegenseite fand sich ein regelrechter Befund. In dem zusätzlich durchgeführten Orthopantomogramm (Abbildung 1) verstärkte sich der Verdacht, dass Sealermaterial in den Canalis mandibularis gelangt war und zu einer Schädigung des N. alveolaris inferior geführt hatte. Es wurde entschieden, eine Inspektion des Nervus alveolaris inferior links mit Entfernung des überstopften Fremdmaterials und eine Wurzelspitzenresektion am Zahn 35 in Intubationsnarkose durchzuführen.
Es erfolgte zunächst die Darstellung des Austrittspunktes des Nervus mentalis am Foramen mentale über eine vestibuläre Schnittführung (Abbildung 2). Von dort aus wurde die vestibuläre Wand des Canalis mandibularis abgetragen und der N. alveolaris inferior dargestellt (Abbildung 3). Auf Höhe des Apex des Zahnes 35 konnte der traumatisierte Nerv inspiziert werden. Es zeigte sich, dass es zu keiner äußeren Kompression des Nerven gekommen war, sondern dass das Füllungsmaterial in das Epineurium eingedrungen war und zwischen den Nervenfaszikeln lag (Abbildung 4).
Das Material wurde aus dem Nerv präpariert und die geplante Wurzelspitzenresektion des Zahnes 35 durchgeführt (Abbildung 5). Nach dichtem Wundverschluss und postoperativer Überwachung von zwei Tagen konnte die Patientin in die ambulante Nachsorge entlassen werden. Während des stationären Aufenthaltes erfolgten eine intravenöse Medikation mit Glukokorticoiden und eine antibiotische Infektionsprophylaxe. Die postoperative Röntgenkontrolle konnte einen minimalen radioopaken Rückstand des überpressten Wurzelfüllmaterials nachweisen. Es erfolgt daher eine Revision, in der es gelang, auch die verbliebenen Reste des Füllmaterials zu entfernen (Abbildung 6).
Diskussion
Die endodontische Aufbereitung eines Zahnes birgt aufgrund der nur begrenzten Übersichtlichkeit verschiedene Risiken. In der Unterkieferregion ist der N. alveolaris inferior aufgrund seiner engen topographischen Beziehungen zu den Radices besonders exponiert [Denio et al. 1992]. Bereits das einmalige Überinstrumentieren eines Instrumentes mit direkter Traumatisierung des Nerven oder eine chemische Reizung durch Aufbereitungsmedien kann eine irreversible Schädigung des Nerven nach sich ziehen [Denio et al. 1992]. Der Patient sollte über diese Risiken aufgeklärt werden.
In der Literatur sind bei Überstopfung von Wurzelfüllmaterial folgende vier Wege der periapikalen Ausbreitung im Unterkiefer beschrieben worden: direkt in den Nervenkanal, die systemische Ausbreitung über eine periapikale Vene, der Abfluss über ein lokales Lymphgefäß und das Eindringen in den Parodontalspalt [Alantar et al. 1994]. In der beschriebenen Kasuistik war eine Variante des erstgenannten Falls durch zusätzliches Eindringen des Materials in das Epineurium des aus mehreren Faszikeln bestehenden Nerven aufgetreten. Es musste mit einer direkten Schädigung des Nerven durch Kompression über das eingebrachte Fremdmaterial und einer zusätzlichen indirekten Schädigung durch ein reaktives Ödem des neuralen Gewebes oder ein Begleithämatom gerechnet werden. Eine aus der Kompression resultierende Störung der Mikrozirkulation kann schließlich zur Ischämie mit konsekutivem Untergang der Nervenfasern führen [Schmalz 2009].
Wird ein thermoplastisches Verfahren angewandt, so kann es neben einer mechanischen Schädigung durch Überstopfung zu zusätzlichen Läsionen des neuralen Gewebes durch thermische Effekte kommen, falls das Material in den Canalis mandibularis eindringt [Blanas et al. 2004]. Abhängig vom verwendeten Material muss auch mit zytotoxischen Effekten gerechnet werden. Insbesondere formaldehydhaltige Pasten mit langanhaltender Formaldehyd-Freisetzung sowie phenolhaltige Materialien führen zu zellulären Reaktionen [Scolozzi et al. 2004]. Für eugenolhaltige Medikamente (Endomethasone, Zinkoxideugenol) konnte ebenfalls eine deutliche Zytotoxizität durch Hemmung oxidativer Prozesse und Lyse der Zellmembran nachgewiesen werden [Ersev et al. 1999, Knowles 2003, Yaltirik 2002]. Daneben wurde in vitro eine reversible Beeinflussung der Reizleitung durch Eugenol nachgewiesen [Schmalz 2009]. Das heute favorisierte AH-plus gilt als allgemein unbedenkliches Material, da nur für die initiale Abbindereaktion eine kurzfristige Formaldehydfreisetzung beschrieben wird [Leyhausen et al. 2002].
In dem vorliegenden Fall war die Inspektion mit mechanischer Entlastung des Nervus alveolaris inferior und Entfernung des überpressten Wurzelfüllmaterials nach Abtragung der vestibulären Lamelle durchgeführt worden. Durch die rasche Intervention sollten weitere Langzeitschäden durch Mikrozirkulationsstörung im neuralen Gewebe sowie direkte von der Expositionsdauer abhängige zytotoxische Wirkungen des Fremdmaterials verhindert werden [Brkic et al. 2009, Neaverth 1989]. Als Alternative zur im beschriebenen Fall angewandten vestibulären Fensterung wird in der Literatur die sagittale Spaltung des Unterkiefers diskutiert, bei der das Risiko einer Nervschädigung insbesondere im Molarengebiet geringer sein soll [Scolozzi et al. 2004]. Um eine zusätzliche Kompression des Nerven durch ein reaktives Ödem zu verhindern, kann eine systemische Glukokorticoidgabe erfolgen [Brkic et al. 2009, Schmalz G 2009].
Bislang sind die Langzeitfolgen bei der Patientin nicht absehbar. Denkbar ist die vollständige Wiederherstellung bis zur dauerhaften Persistenz der beschriebenen Symptome [Giuliani et al. 2001].
Dr. Markus HullmannDr. Dr. Martin GosauProf. Dr. Dr. Torsten ReichertKlinik und Poliklinik für Mund-, Kiefer- undGesichtschirurgieUniversität RegensburgFranz-Josef-Strauss-Allee 1193053 Regensburgmarkus.hullmann@klinik.uni-regensburg.de
Dr. Nina-Kristina LinkPoliklinik für Zahnerhaltung undParodontologieUniversität RegensburgFranz-Josef-Strauss-Allee 1193053 Regensburg




