Das Myxofibrom
Peter Schulz, Christian Walter
Eine 53-jährige Patientin stellte sich mit einer Raumforderung im Bereich der rechten Kieferhöhle, die als Zufallsbefund in einer Panoramaschichtaufnahme aufgefallen war, vor (Abbildung 1). Des Weiteren litt die Patientin an Diabetes mellitus Typ II und gab das Vorliegen einer Allergie gegen Penicillin an. Klinisch lagen keine Symptome, wie Schwellungen, Druckgefühl oder Schmerzen, vor.
In der Panoramaschichtaufnahme zeigt sich im Bereich des Os zygomaticum rechts, distal der Linea innominata eine unregelmäßig, aber scharf begrenzte Raumforderung in der rechten Kieferhöhle mit seifenblasenartiger, inhomogener Binnentextur. In der weiterführenden digitalen Volumentomografie erkennt man, dass die Raumforderung die distalen Bereiche der Kieferhöhle einnimmt und partiell in Kontakt zur Kieferhöhlenwandung steht, diese aber nicht zerstört (Abbildung 2).
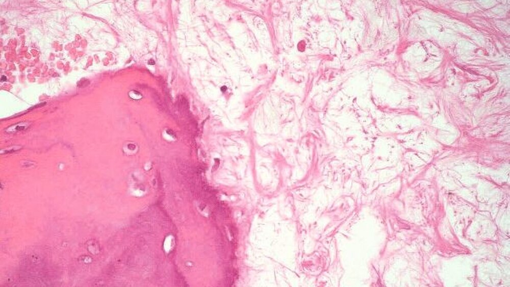
Nach Fensterung der anterioren Kieferhöhlenwand (Abbildung 3) wurde eine grauweißglasige Raumforderung kürretiert und entfernt. Die histopathologische Aufbereitung ergab die Diagnose eines Myxofibroms mit Nachweis hyperostotisch proliferierender kortikaler Knochenstrukturen (Abbildung 4).
Aufgrund der hohen Rezidivgefahr wurde die Patientin in ein Recall aufgenommen, in dem sich bis jetzt kein Rezidiv zeigte.
Diskussion
Das odontogene Myxom wird bei höherem Kollagenanteil auch als Myxofibrom bezeichnet. Es ist nach dem keratozystisch odontogenen Tumor, dem Ameloblastom und dem Odontom der vierthäufigste odontogene Tumor, ist insgesamt jedoch eine relativ selten anzutreffende Entität. Das Myxofibrom manifestiert sich gehäuft in der zweiten bis vierten Lebensdekade und liegt zu zwei Dritteln im Unter- und zu einem Drittel im Oberkiefer. Ausnahme scheinen Kleinkinder zu sein, bei denen Myxofibrome fast ausschließlich paranasal im Bereich der Maxilla beschrieben wurden [Kansy et al.].
Im Allgemeinen finden sich Myxofibrome mit 65 bis 74 Prozent meist im Prämolaren- und im Molarenbereich [Reichart et al., 2004].
Aufgrund des asymptomatischen Wachstums handelt es sich meist um Zufallsbefunde. Erst in fortgeschrittenen Stadien fällt der Tumor durch die Gewebszunahme auf, wobei es zur Perforation der Kortikalis des Knochens kommen kann. Bei Myxofibromen im Bereich des Oberkiefers kommt es häufig zur Obliteration des Sinus maxillaris.
Die radiologischen Zeichen sind sehr unspezifisch. Typisch sind multilokuläre, seltener unilokuläre seifenblasen- oder honigwabenartige Osteolysen mit feinen dazwischen liegenden Trabekeln. Die Begrenzung ist meist gut nachvollziehbar. Im Bereich liegende Zähne können verdrängt sein, Wurzelresorptionen wurden beschrieben.
Histologisch ist diese benigne, intraossäre Neoplasie durch stern- und spindelförmige Zellen eingebettet in reichlich myxoider Matrix charakterisiert. Aufgrund der fehlenden klaren Abgrenzung zum benachbarten Gewebe mit Wachstum in die umliegenden Markräume erklärt sich die Therapie, wonach eine Enukleation oder Kürettage nur bei kleineren Befunden sowie im Kindesalter, ansonsten eine Resektion empfohlen wird, mit Sicherung der kompletten Entfernung mittels Schnellschnittuntersuchungen [Reichart und Philipsen, 2004]. Hierunter kommt es zu Rezidivraten von bis zu 33 Prozent, so dass eine Nachkontrolle empfohlen wird. Eine maligne Entartung stellt die Ausnahme dar [Kansy et al.].
Differenzialdiagnostisch kommt praktisch jeder odontogene Tumor in Betracht. Im vorliegenden Fall lag aufgrund des vermeintlich großen soliden Anteils in der Bildgebung die Diagnose eines Myxofibroms nicht unbedingt nahe, so dass hier nochmals auf die Wichtigkeit der histologischen Sicherung des Befunds hingewiesen werden soll.
Peter Schulz
PD Dr. Dr. Christian Walter
Klinik für Mund-, Kiefer- und Gesichtschirurgie – plastische Operationen
Universitätsmedizin der Johannes Gutenberg-Universität Mainz
Augustusplatz 2
55131 Mainz
walter@mkg.klinik.uni-mainz.de
Literatur1. Reichart PA, Philipsen HP (2004): Odontogenic Tumors and Allied Lesionsed. London: Quintessence.2. Kansy K, Juergens P, Krol Z et al.: Odontogenic myxoma: Diagnostic and therapeutic challenges in paediatric and adult patients – A case series and review of the literature. J Craniomaxillofac Surg.
Info
Fazit für die Praxis
- In der Regel wird das Myxofibrom erst durch seine Größe auffällig und ist meistens wegen des symptomfreien Wachstums ein Zufallsbefund.- Therapie der Wahl ist die komplette Entfernung des Tumors.- Aufgrund der hohen Rezidivgefahr gebietet sich eine entsprechende Nachsorge.




