Regionale Odontodysplasie des Unterkiefers beim Kleinkind
Eine dreijährige Patientin wurde vom Kinderzahnarzt aufgrund einer putride sezernierenden Fistel vestibulär im Unterkiefermolarenbereich links überwiesen. Anamnestisch berichteten die Eltern über eine unauffällige Schwangerschaft und eine bis dato unauffällige Entwicklung des Mädchens. Allgemeinerkrankungen lagen nicht vor.
Bei der klinischen Untersuchung zeigte sich eine intakte periphere Durchblutung, Sensibilität und Motorik waren normal. Einzige Auffälligkeit war ein dezenter Nävus flammeus submandibulär links, der sich während der Entwicklung des Kindes nicht verändert hatte (Abbildung 1). Enoral bestand eine Schwellung des Vestibulums in Regio 74 und 75. Auf Druck entleerte sich putrides Sekret aus einer Fistel zwischen dem ersten und dem zweiten Milchmolaren.
Ausschließlich die Zähne des gesamten dritten Quadranten zeigten neben kariösen Läsionen eine gelb-bräunliche Verfärbung der Zahnkronen. Die Kronen der Zähne 71 und 72 waren tief kariös zerstört, Zahn 73 schien nicht richtig eruptiert zu sein, denn in dieser Region konnte ein durch die Schleimhaut schimmernder Zahn ausgemacht werden. Die Milchmolaren 74 und 75 zeigten ebenfalls einen hohen kariösen Zerstörungsgrad (Abbildung 2). Im vierten Quadranten lag ein altersentsprechendes Gebiss mit intakten Kronen vor. Vitalitäts- und Perkussionstestung waren aufgrund des jungen Alters der Patientin schlecht durchführbar und nicht aussagekräftig.
In der Panoramaschichtaufnahme sind isoliert im dritten Quadranten extrem hypo-mineralisierte Milchzähne und bleibende Zähne zu erkennen. Der Knochen zeigte crestal und periapikal der Zähne 74 und 75 eine auffällige Radioluzenz von etwa 1 cm x 2 cm (Abbildung 3).
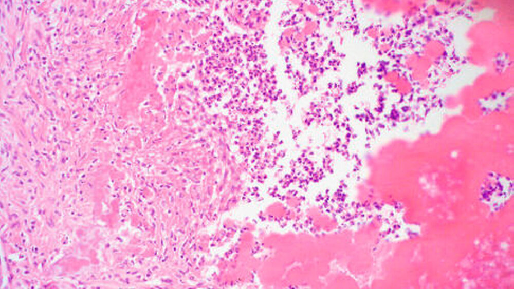
Nach antibiotischer Vorbehandlung wurden die Zähne 74 und 75 extrahiert, das zystische, entzündlich veränderte Gewebe der Region wurde entfernt (Abbildung 4).
Die histopathologische Aufbereitung ergab das Vorliegen einer radikulären Zyste, bei Zahnresten mit nekrotischer Pulpitis und Parodontitis und dem Vorliegen eines ausgeprägten Bakterienrasens.
Die junge Patientin befindet sich nun seit einem Jahr in zahnärztlicher, MKG-chirurgischer und kieferorthopädischer Betreuung. Bei der letzten radiologischen Kontrolle zeigten sich die Zahnkeime der Zähne 36 und 37, die allerdings beim Vergleich mit der Gegenseite einen ebenfalls hypomineralisierten Eindruck hinterließen.
Da aufgrund der fehlenden Zähne und Zahnanlagen im Lauf der Entwicklung mit einer Elongation der Dentition im zweiten Quadranten und einer mandibulären Mittellinienverschiebung nach links zu rechnen ist, befindet sich die Patientin zurzeit in engmaschiger kieferorthopädischer Beobachtung, um gegebenenfalls zeitnah eine Frühbehandlung einzuleiten. Eine Störung der orofazialen Funktion durch eine asymmetrische Zungeneinlagerung soll durch logopädische Übungen vermieden werden. Nach dem Durchbruch aller bleibenden Zähne muss dann ein interdisziplinäres Konzept erstellt werden.
Diskussion
Die regionale Odontodysplasie ist eine seltene Zahnbildungsstörung, die oft die Zähne eines Quadranten betrifft. Es handelt sich um eine nicht hereditäre Störung mit Beteiligung des ektodermalen und des mesenchymalen Gewebes der Zahnleiste [Thimma Reddy et al., 2010]. Der Oberkiefer ist häufiger betroffen; selten überschreitet die Fehlbildung die Mittellinie [Magalhaes et al., 2007]. Meist sind sowohl die Zähne der Milch- als auch die der bleibenden Dentition betroffen, nur selten sind isoliert die bleibenden Zähne involviert. Fallberichte zeigen eine Assoziation der Fehlbildung mit unter anderen vaskulären Nävi [Magalhaes, et al. 2007; Walton et al., 1978].
Der Erste, der die Entität beschrieben hat, war Hitchin im Jahr 1934. Odontogenesis imperfecta war einer der früher verwendeten Begriffe, er wurde jedoch durch den Begriff der Odontodysplasie abgelöst, den als Erster Zegarelli im Jahr 1963 [Zegarelli et al., 1963] prägte. Den Beinamen „regional“ fügte später Pindborg hinzu, der feststellte, dass die Erkrankung häufig nur einen Quadranten betrifft. Es existieren zahlreiche weitere Synonyme, vor allem in der angloamerikanischen Literatur, wie „ghost teeth“, „unilateral dental malformation“, „familial amelodentinal dysplasia“, „amelogenesis imperfecta nonhereditary segmentalis“ und „localized arrested tooth development“ [Thimma Reddy et al., 2010].
Die Ätiologie der Fehlbildung ist unklar, diskutiert werden lokale Traumen, lokale Durchblutungsstörungen, Infektionen, teratogene Medikamente, eine Rh-Inkompatibilität, Röntgenstrahlung, neuronale Schäden, Hyperpyrexie, metabolische und nutritive Störungen und Vitaminmangel-Zustände [Magalhaes et al., 2007].
Das klinische Bild präsentiert sich als dysmorphe Zahnkrone mit irregulärer, gelb-bräunlich verfärbter Zahnoberfläche, durchsetzt mit Furchen und Grübchen. Der Schmelz ist bei Sondierung weich und fragil [Thimma Reddy et al., 2010; Tervonen et al., 2004]. Radiologisch zeigt sich die Hypokalzifizierung als deutliche Transluzenz der betroffenen Zähne im Vergleich zur gesunden Zahnhartsubstanz. Das Pulpenkavum stellt sich vergrößert dar, der Kontrast zwischen Schmelz und Dentin ist deutlich vermindert. Dieses Aussehen prägte den in der Literatur verwendeten Begriff der „ghost teeth“ [Thimma Reddy et al., 2010,Tervonen et al., 2004].
Die Behandlung der regionalen Odontodysplasie basiert auf der engen Zusammenarbeit von Kinderzahnärzten, Kieferorthopäden und Kieferchirurgen. Zunächst steht die konservierende Behandlung der betroffenen Zähne zum Aufrechterhalten der normalen Kaufunktion, Phonetik und Ästhetik in Vordergrund. Bei Abszedierung und anderen odontogenen Entzündungszuständen sollten die verursachenden Zähne extrahiert werden. Bei Gefahr der Elongation der Antagonisten oder Kippung der Nachbarzähne kann ein prophetischer Zahnersatz eingegliedert werden. Probleme oder das Ausbleiben der Zahneruption sind ebenfalls beschrieben worden [Thimma Reddy et al., 2010].
Typisch ist, dass apikale Parodontitiden, Fisteln und andere abszedierende Prozesse auch ohne erkennbare Karies entstehen können, da durch die weiche Schmelz-Dentin-Masse die Bakterienpenetration besonders leicht vonstattengeht [Mehta et al. 2011].
Eine radikuläre Zyste, wie im dargelegten Fall, ist ein selteneres Bild. Da der Knochen von der Fehlbildung nicht betroffen ist, ist nach Abschluss des Kieferwachstums die kaufunktionelle Rehabilitation mittels enossalen Implantaten und gegebenenfalls Augmentationen möglich [Thimma Reddy et al., 2010]. Im vorgestellten Fall liegt eine klinisch und radiologisch typische regionale Odontodysplasie vor. Ein Nävus flammeus und andere vaskuläre Nävi sind ebenfalls bekannte koexistierende Befunde, wie sie auch im vorliegenden Fall bestanden.
Dr. Irina Bolm
Univ.-Prof. Dr. Dr. Bilal Al-Nawas
PD Dr. Dr. Christian Walter
Klinik und Poliklinik für Mund-, Kiefer- und Gesichtschirurgie – plastische Operationen
Universitätsmedizin der Johannes Gutenberg-Universität Mainz
Augustusplatz 2
55131 Mainz
walter@mkg.klinik.uni-mainz.de
Dr. Susanne Wriedt
Poliklinik für Kieferorthopädie
Universitätsmedizin der Johannes Gutenberg-Universität Mainz
Augustusplatz 2
55131 Mainz




