Die Katzenkratzkrankheit
Keyvan Sagheb, Elisabeth Goetze, Wiltrud Coerdt, Christian Walter
Ein 13-jähriges Mädchen wurde zur Abklärung einer unklaren, schmerzhaften, perimandibulären Schwellung links vorstellig. Nach Angaben der Mutter sei diese vor circa zwei Wochen zum ersten Mal aufgetreten und seitdem bezüglich Größe und Beschwerdesymptomatik progredient (Abbildung 1). Da eine hausärztliche Abklärung sowie eine orale Antibiose bis dahin ohne Erfolg waren, wurde die Patientin überwiesen.
Bei der klinischen Untersuchung präsentierte sich eine weiche, jedoch deutlich druckdolente Lymphknotenschwellung submandibulär linksseitig. Korrespondierend zum klinischen Befund waren in der B-Mode-Sonografie mehrere vergrößerte Lymphknoten nachweisbar, im Sinne eines verbackenen Lymphknotenpakets (Abbildung 2). Die enorale Untersuchung zeigte bei ansonsten unauffälligem Befund einen nur noch gingival fixierten Zahn 75 ohne akute Entzündungszeichen. Auch in der Panoramaschichtaufnahme gab es keinen Hinweis auf einen potenziell ursächlichen dentogenen Fokus (Abbildung 3).
Aufgrund der bis dato negativen laborchemischen Untersuchungsergebnisse und aufgrund fehlender Besserung nach oraler Antibiose wurden zur weiteren Abklärung die auffälligen Lymphknoten exzidiert.
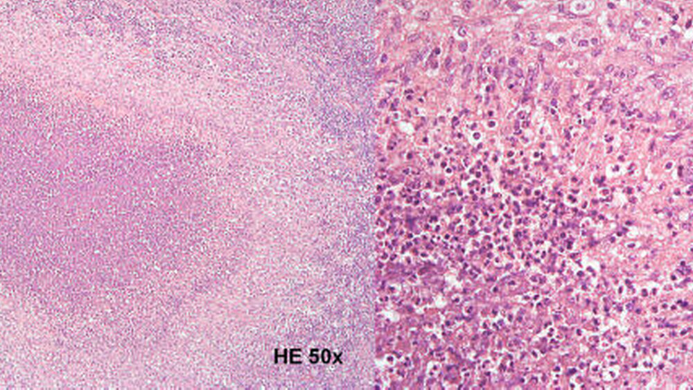
Intraoperativ zeigte sich ein stark verbackenes Lymphknotenkonglomerat mit mehreren putriden Lymphknotenabszessen (Abbildung 4). Die histopathologische Aufbereitung und die immunologische Abklärung erbrachten den Nachweis von Bartonella henselae Erregern und ergaben somit die Diagnose der Katzenkratzkrankheit. Nach der Entfernung der abszedierenden Lymphknoten und keimadaptierter antibiotischer Therapie zeigte sich eine rasche Besserung der jungen Patientin. Nachträglich konnte anamnestisch ein enger körperlicher Kontakt mit einer neuen Hauskatze als potenzieller Überträger erhoben werden.
Diskussion
Lymphknotenschwellungen im Kopf-Hals-bereich sind ein häufiges Symptom, die jedoch aufgrund der mannigfaltigen Ursachen eine besondere differenzialdiagnostische Herausforderung darstellen. Differenzialdiagnostisch müssen neben den häufigen infektiösen oder neoplastischen Erkrankungen auch die seltenen autoimmunologischen sowie die stoffwechselbedingten Erkrankungen erwogen werden. Die Katzenkratzkrankheit stellt hierbei unter den infektiösen Ursachen eine seltene, jedoch wichtige Erkrankung dar. Erstmals wurde dieses Krankheitsbild 1889 durch Parinaud beschrieben [Zimmermann et al., 1997]. Der Erregernachweis erfolgte jedoch erst 100 Jahre später [English et al., 1988]. Die Infektion wird durch das
gramnegative Bakterium Bartonella henselae
hervorgerufen, wobei die Katze als Über- träger fungiert. Neben Kratz- und Biss- verletzungen als Übertragungsweg werden Stiche durch Flöhe und Zecken, die als Vektor dienen, diskutiert. Bis zu 50 Prozent der Katzen sind Träger dieses Erregers, ohne selber von diesem Krankheitsbild betroffen zu sein [Klotz et al., 2011].
Die Katzenkratzkrankheit tritt zu 80 Prozent bei unter 21-jährigen [Margileth, 1992] auf mit einer leichten Präferenz für das weibliche Geschlecht. Die Inzidenz wird mit unter 1/100 000 pro Jahr angegeben [Zimmermann et al., 1997].
Klinisch präsentiert sich typischerweise im Bereich der Kratzverletzung (Inokulationsstelle) eine Pustelbildung, gefolgt von einer Lymphknotenschwellung proximal der Verletzung nach circa ein bis zwei Wochen. Neben diesem typischen Erscheinungsbild sind weitere Symptome bei vorliegender Katzenkratzkrankheit beschrieben, wie zum Beispiel Fieber, Mattigkeit, Splenomegalie oder Pharyngitis [Zimmermann et al., 1997; Margileth, 1992].
Bei immunkompetenten Patienten mit unkomplizierten Heilungsverläufen kommt es zu einer spontanen Rückbildung der Lymphadenopathie nach zwei bis sechs Monaten. In 25 Prozent der Fälle kommt es jedoch zu Abszedierung der Lymphknotenpakete, die meist einer chirurgischen Intervention bedürfen. Immunsupprimierte Patienten hingegen weisen meist einen schweren Krankheitsverlauf mit generalisiertem Befall der Organe auf.
Die Diagnose der Katzenkratzkrankheit ergibt sich meist aus der Zusammenschau von Anamnese, Klinik und Histologie beziehungsweise der laborchemischen Blutuntersuchung. In den meisten Fällen ist eine antibiotische Therapie ausreichend. Abszedierungen, wie im vorliegenden Fall, bedürfen einer chirurgischen Intervention.
Allgemein gilt zu beachten, dass bei Vorliegen eines pathologisch vergrößerten, therapieresistenten Lymphknotens eine Lymphknoten-Exzisionsbiopsie notwendig wird, wenn die laborchemische und klinische Diagnostik nicht aussagekräftig ist.
Dr. Dr. Keyvan SaghebDr. Elisabeth GoetzePD Dr. Dr. Christian WalterKlinik für MKGUniversitätsmedizin der Johannes Gutenberg-UniversitätAugustusplatz 255131 Mainzwalter@mkg.klinik.uni-mainz.de
Dr. Wiltrud CoerdtInstitut für PathologieUniversitätsmedizin der Johannes Gutenberg-Universität MainzLangenbeckstr. 155131 Mainz
Fazit für die Praxis
• Lymphknotenschwellungen im Kopf-Halsbereich sind ein häufiges Symptom basierend auf unterschiedlichen differenzialdiagnostischen Erkrankungen.
• Unklare Lymphknotenschwellungen im Kopf-Halsbereich, die nach zwei Wochen keine Rückbildungstendenz aufweisen, bedürfen stets einer Abklärung.
• Die Katzenkratzkrankheit ist eine seltene, aber wichtige Differenzialdiagnose bei den infektiösen Lymphadenopathien.
• Die Diagnose ergibt sich meist aus der Trias Anamnese, Klinik und Histologie.
• Bei immunkompetenten Patienten ist häufig eine spontane Rückbildung der Lymphadenopathie zu beobachten. Komplikationen mit Abszedierung der Lymphknoten bedürfen meist einer chirurgischen Therapie.




