Juveniles Fibrom mit peripherem Riesenzellgranulom
In der alio loco angefertigten Panoramaschichtaufnahme (Abbildung 2) und in der zur erweiterten Diagnostik angefertigten digitalen Volumentomografie (Abbildung 3) erkennt man eine zentrale etwa 1cm x 1cm x 1cm große radioopake Masse mit transluzentem Randsaum, in den auch die Wurzelspitzen des Zahnes 37 hineinragen.
Eine alio loco aus dem knöchernen Bereich entnommene histopathologische Probe aus dieser Region ergab die Diagnose eines ossifizierendes Fibroms. Operativ erfolgte daraufhin die Exzision des pathologisch veränderten Weichgewebes und des ossifizierenden Fibromes (Abbildung 4) mittels Kürettage unter Darstellung und Schonung des Nervus alveolaris inferior. Der Zahn 37 konnte leider nicht gehalten werden.
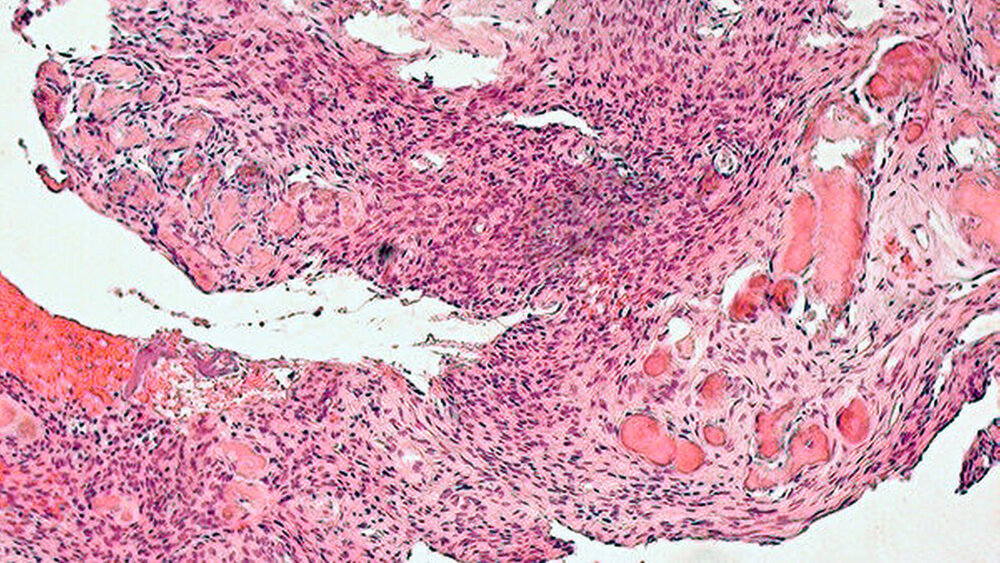
Die histopathologische Aufbereitung (Abbildung 5) ergab die Diagnose eines juvenilen psammomatoiden ossifizierenden Fibroms mit einem synchronen peripheren Riesenzellgranulom der darüber liegenden Schleimhaut. Parathormon, Calcium und Phosphat zeigten im Serum keine Auffälligkeiten, so dass ein Hyperparathyreoidismus ausgeschlossen werden konnte. Die angebotenen Nachsorgetermine wurden durch die Patientin in der Folge leider nicht wahrgenommen.
Diskussion
Beim ossifizierenden Fibrom handelt es sich um eine scharf umschriebene Läsion, bestehend aus fibrozellulärem Gewebe mit einem unterschiedlich großen Anteil mineralisierten Gewebes. Neben dem Begriff des ossifizierenden Fibroms werden noch weitere veraltete Synonyme gebraucht, wie zementbildendes Fibrom oder zementoossifizierendes Fibrom [Barnes L et al., 2005].
Auf Basis klinischer und histologischer Eigenschaften unterscheidet man zwei weitere Läsionen, das juvenile trabekuläre ossifizierende Fibrom (JTOF) und das juvenile psammomatoide ossifizierende Fibrom (JPOF), das im vorliegenden Fall diagnostiziert wurde. Das durchschnittliche Alter bei der Diagnose eines JTOF liegt bei zehn Jahren, beim JPOF bei 20 Jahren und für die allgemeinen ossifizierenden Fibrome zwischen dem zweiten und dem vierten Jahrzehnt [Barnes L et al., 2005].
Typische Lokalisationen für das ossifizierende Fibrom sind der Molarenbereich des Unterkiefers, während das JPOF in der Regel in den Nasennebenhöhlen auftritt und das JTOF im Oberkiefer [Barnes L et al., 2005]. Für das ossifizierende Fibrom zeigt sich in den meisten Studien eine deutliche Bevorzugung des weiblichen Geschlechts mit einer Ratio von 1 zu 3,2 bis 1 zu 4,3 für das weibliche Geschlecht. Ethnische Unterschiede scheint es keine zu geben [Reichart P, Philipsen HP, 2004].
###more### ###title### Kleinere Tumore meist monolokulär ###title### ###more###
Kleinere Tumore meist monolokulär
Ossifizierende Fibrome sind symptomarm. Und wenn Symptome vorhanden sind, sind diese unspezifisch und äußern sich in etwa der Hälfte der Fälle mit schmerzlosen bukolingualen Auftreibungen der Kiefer [Barnes L et al., 2005; Reichart P, Philipsen HP, 2004], so dass es sich in vielen Fällen um Zufallsbefunde handelt.
Unbehandelt wachsen sie weiter und können so schließlich zu kosmetischen und zu funktionellen Beeinträchtigungen führen. Radiologisch erkennt man meist demarkierte Läsionen mit radio- luzenten und radioopaken Strukturen in Abhängigkeit vom Mineralisationsgrad. Größere Tumore haben häufiger einen multilokulären Charakter, wohingegen kleinere meist monolokulär erscheinen [Reichart P, Philipsen HP, 2004].
Das juvenile psammomatoide ossifizierende Fibrom ist durch ein fibroblastäres Stroma gekennzeichnet, in das kleine Ossikel, das heißt knöcherne Partikel, eingelagert sind. Mit eingelagert in das fibroblastäre Stroma sind vielkernige Riesenzellen, die auch als Charakteristikum des peripheren Riesenzellgranuloms angesehen werden und die ebenfalls durch die Pathologie diagnostiziert wurden.
Das periphere Riesenzellgranulom, früher auch als Riesenzellepulis bezeichnet, ist eine nicht neoplastische, reaktive Hyperplasie findet sich typischerweise im Bereich der Gingiva und geht vermutlich von Geweben des Parodontalspalts aus. Meist findet sich die Veränderung im Bereich der Molaren und imponiert – wie im vorliegenden Fall – als bläuliche, breitbasig aufsitzende Schwellung, die allerdings auch gestielt sein kann.
Der darunter befindliche Knochen kann arrodiert sein [Klöppel G et al., 2009]. Eine histologische Abgrenzung zum zentralen Riesenzellgranulom beziehungsweise zum braunen Tumor ist schwierig, so dass bei Affektion des Knochens eine Bestimmung von Kalzium, Phosphat und Parathormon durchgeführt werden sollte, um den braunen Tumor als Folge eines Hyperparathyreoidismus differenzialdiagnostisch ausschließen zu können.
###more### ###title### Spindelzellen im Verdacht ###title### ###more###
Spindelzellen im Verdacht
Die Besonderheit des vorliegenden Falles liegt im synchronen Vorliegen eines ossifizierenden Fibroms mit einem darüber liegenden peripheren Riesenzellgranulom, so dass es sich entweder um zwei verschiedene Entitäten oder um eine sogenannte Hybrid-Läsion handelt.
Die Durchsicht der Fallberichte von Hybrid-Läsionen des Kiefers zeigt das Vorliegen meist gutartiger Tumoren oder tumorartiger Läsionen in Kombination mit einem zentralen Riesenzellgranulom. Die Autoren jener Artikel vermuten, dass es Spindelzellen sind, die in der Lage sind, die Differenzierung von Monozyten in Osteoklasten und Riesenzellen zu induzieren. Ein Einfluss durch einen bis jetzt unbekannten Mediator wird vermutet [Kaplan I et al., 2007].
Nach der Zusammenschau aller Befunde und nach multidisziplinärer Diskussion, wird im vorliegenden Fall das Vorliegen einer Hybrid-Läsion favorisiert.
Dr. Irina BolmPD Dr. Dr. Christian WalterKlinik und Poliklinik für Mund-, Kiefer- und Gesichtschirurgie - plastische OperationenUniversitätsmedizin der Johannes Gutenberg-Universität MainzAugustusplatz 2, 55131 Mainz
Dr. Dr. Peer KämmererKlinik und Poliklinik für Mund-, Kiefer- und Plastische Gesichtschirurgie der Universitätsmedizin RostockSchillingallee 35, 18057 Rostock




