Stabilität im Kauorgan bei 50 plus
Jeder weiß es: Bei alten Leuten werden die Ohren immer größer, die Nase immer länger (Abbildung 1) und auch sonst sind die Alterungsvorgänge im Gesicht [Götz, 2006; Götz, 2007; Radlanski und Wesker, 2012; Götz, 2014; Radlanski, 2016] und auch im Mund unübersehbar [Götz, 2007]. Das bis ins hohe Lebensalter stattfindende Wachstum der Ohrmuscheln und der Nasenspitze ist auf das Verhalten der Knorpelzellen und auf die anatomische Konfiguration der Knorpelanteile zurückzuführen [Götz, 2012; Radlanski und Wesker, 2012]. Auch das Gesichtsskelett, so zeigen Untersuchungen [Behrents, 1985] lässt über die Jahrzehnte hinweg ein deutlich sichtbares Wachstum erkennen, das durchaus fünf Millimeter betragen kann (Abbildung 2).
Zumindest wird die allgemeine Regel eingehalten, dass Implantate erst bei „Erwachsenen“ eingesetzt werden sollten [Heij et al., 2006]. Doch wenn zwar das Wachstum des Gesichts in der Jugend beschleunigt stattfindet, aber lebenslang nicht zum Stillstand kommt, was bedeutet das für das Gebiss? Werden die Zahnreihen von den lebenslang wachsenden zahntragenden Anteilen des Gesichtsschädels davongetragen? Passt dann noch die Okklusion? Inzwischen gibt es – aufgrund der Erfolge der Zahn-, Mund- und Kieferheilkunde – durchaus viele betagte Patienten, die voll bezahnt sind. Dieser Wandel vollzog sich innerhalb der vergangenen drei Jahrzehnte: Meine Kinder sind (wie heute viele) kariesfrei, ich selbst habe Füllungen, meine Mutter trug eine Teilprothese, meine Großmutter zeigte mir ihre Vollprothese. Noch vor etwa 30 Jahren war der Verlust der Zähne bei den gerade erst 50-Jährigen weit verbreitet, es gab sogar in den Staatsexamina noch genügend Patienten, die eine Totalprothese brauchten. Dies ist heute die Ausnahme geworden.
Für die Zahn-, Mund- und Kieferheilkunde bedeutet dies, dass die Patienten nun drei Jahrzehnte länger voll bezahnt begleitet werden müssen. Jetzt können langfristige Veränderungen der Zahnstellung, der Okklusion, des Parodonts, der Weichgewebe und des Kiefergelenks, die damals noch oft durch das frühe Tragen von Vollprothesen verborgen geblieben oder anders ausgeprägt waren, beobachtet werden. Sprechen wir zunächst vor dem Hintergrund unseres strukturbiologischen Grundlagenwissens über die Stabilität der Zahnstellung, danach nochmals über das Wachstum des Gesichts.
Zähne stehen nicht mehr stabil im Zahnbogen
Erwachsene Patienten, die zur kieferorthopädischen Beratung kommen, haben oft festgestellt, dass ihre Zähne gewandert sind. Tatsächlich ist in der Kieferorthopädie bekannt, dass die Zähne nicht stabil im Zahnbogen stehen [Rudzki und Kirschneck, 2017], auch dann, wenn sie kieferorthopädisch gerichtet worden sind [Berg et al., 2008; Berg et al., 2008; Stenvik et al., 2011]. Gerade, weil diese Zahnbewegungen über lange Zeit und so langsam ablaufen, werden sie oft unterschätzt. Zähne, die vor Jahren einmal „gerade“ standen, werden von den Patienten als „schief“ stehend beurteilt, oder Zähne, die einst nur moderat eng standen, werden nach einiger Zeit als deutlich eng stehend wahrgenommen.
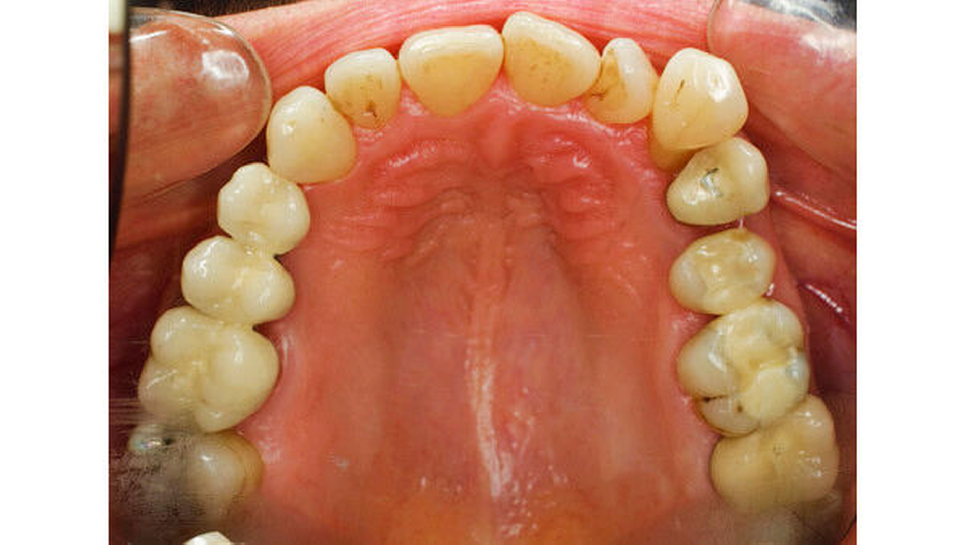
Auch wenn manche Patienten und auch einige Kollegen die Stellung der Zähne im Zahnbogen als „stabil“ bezeichnen oder wahrnehmen, zeigen Langzeitbeobachtungen in der Kieferorthopädie, dass Zähne langfristig wandern. Es müssen nicht immer Rezidive nach einer kieferorthopädischen Behandlung sein [Rudzki und Kirschneck, 2017], die die Patienten beunruhigen, es können auch ganz andere, neue Zahnwanderungen stattfinden (Abbildungen 3a bis 3c)
Immerhin gibt es morphologische Beweise für die instabile Stellung der Zähne im Zahnbogen. In den Schichten des Wurzelzements verlaufen die Sharpey-Fasern in immer wieder verschiedenen Richtungen (Abbildung 4). So sind die Zustände der verschiedenen Achsneigungen oder Rotationen der Zähne gleichsam eingemauert konserviert. Es ist auch allgemein bekannt, dass der Knochenumbau in der Alveoleninnenkortikalis (Abbildungen 5a bis 5c) ständig stattfindet [Jäger, 1996]. Jeder Kliniker kennt zudem Schlifffacetten, die zeitweise inaktiv sind: Ihre glatten Flächen lassen sich mit Okklusionsfolie nicht markieren, müssen aber zu anderen Zeiten einmal in Okklusion gestanden haben [Motsch, 1978]. Stabilität im Kauorgan ist also selten anzutreffen. Die Zähne schaukeln vielmehr in ihren Alveolen, wobei auch die nicht ortstabil sein müssen. Zusätzlich wirken Kräfte auf sie ein, die von den Weichgeweben (Zunge, Lippe, Wange) ausgeübt werden [Proffit, 1978; van der Linden and Proffit, 2005; Proffit and Frazier-Bowers, 2009].
Odontogene Mobilität folgt ihren Gesetzen
Wenn durch parodontale Abbauprozesse, auch im Zusammenhang mit altersbedingten Allgemeinerkrankungen [Götz, 2014], die Höhe des Limbus alveolaris abnimmt, können sich die Hebelverhältnisse zwischen den intra- und den extraossären Anteilen der Zähne so ändern, dass die Zahnbewegungen beschleunigt ablaufen. Dann werden sie auch von den Patienten wahrgenommen – zumindest dann, wenn die Zähne (noch) nicht im Engstand stehen, kann allein schon aufgrund der größeren Zahnkronen im Vergleich zum Wurzelquerschnitt mehr Knochen zwischen den Zähnen vorhanden sein. Eine Zahnwanderung in Richtung Engstand hat zwangsläufig interdentalen Knochenverlust zur Folge.
Heute sehen wir in den kieferorthopädischen Praxen immer mehr Patienten, die deutlich älter als 50, 60 oder gar 70 Jahre alt sind, deren Zähne so weit aus dem Zahnbogen herausgewandert sind, dass wir sie wieder „einfangen“ müssen (Abbildung 3a, Abbildungen 6a bis 6d).
Mit der Mesialdrift wird immer wieder auch die interdentale Abrasion genannt. Dies ist von prähistorischen Gebissen oder von den Zähnen bestimmter Naturvölker bekannt [Alt and Türp, 1996; Alt et al., 1998]. In ihrem Ausmaß entspricht die interdentale Abrasion aber heute oft nicht der Zahnwanderung nach mesial. Möglicherweise wären die Engstände noch deutlicher sichtbar, wenn sie gar nicht stattfinden würde. Jedenfalls wird beobachtet, dass bei einer stark eng stehenden Unterkieferfrontzahngruppe durchaus eine Mesialbewegung der Seitenbezahnung stattgefunden haben kann. Wenn die Okklusionsbeziehungen im Seitenzahnbereich gut sind, kann daraus gefolgert werden, dass auch die Seitenzähne im Oberkiefer im gleichen Takt nach mesial gewandert sind (Abbildungen 6c und 6d). Ein entsprechender Engstand in der Frontzahngruppe im Oberkiefer wird aber nicht in jedem Fall vorgefunden. In solchen Fällen ist davon auszugehen, dass im Bereich der Frontzähne des Oberkiefers in verschiedener Ausprägung ebenfalls eine gewisse interdentale Abrasion stattfindet, aber nicht im Unterkiefer: Dort haben sich die schmalen Zahnkronen durch Rotation einer interdentalen Abrasion entzogen (Abbildung 6b). Dieses Szenario wird oft beobachtet, aber es besteht durchaus noch Forschungsbedarf, um die Zusammenhänge zu verstehen.
Sanierte Gebisse im Lebensbogen
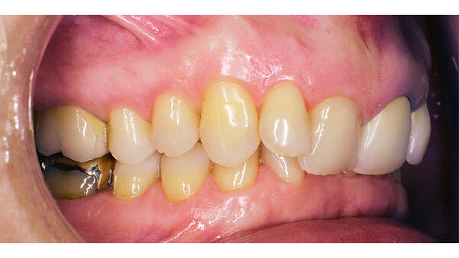
Vor diesem Hintergrund ist es interessant zu verfolgen, wie sich ein mit vielen verschiedenen Methoden der Zahnheilkunde saniertes Gebiss, in dem intraossär stehende Implantatversorgungen neben parodontal verankerten Wurzeln stehen (Abbildung 7), langfristig verhält. Möglicherweise werden interdentale Abrasionen und okklusale Attritionen zu einem gewissen Maß instabile Zahnstellungen kompensieren. Langzeitstudien, die hochbetagte Patienten einbeziehen, stehen hierzu jedoch noch aus.
Weil die Zähne heute langfristig im Mund stehen, kommt dem Zusammenspiel zwischen der Zahnstellung und der Kiefergelenksfunktion mit allen anhängenden Strukturen eine viel größere Bedeutung zu als noch zur Zeit meiner Großeltern: Dentale Ursachen eines retralen Zwangsbisses mit den Folgen einer Craniomandibulären Dysfunktion wurden damals durch den Verlust der Zähne gleich mit beseitigt und die Totalprothese konnte an die Kiefergelenksfunktion angepasst werden. Heute müssen und können Zähne kieferorthopädisch so aufgestellt werden [Freesmeyer, 1993; Ernst und Freesmeyer, 2008; Radlanski, 2009], dass sie die Funktion der Kiefergelenke nicht mehr stören (Abbildungen 8a bis 8e). Aber auch hier ist weiterer Forschungsbedarf nötig, denn nicht jede steil stehende Frontzahngruppe führt zwangsläufig zu Fehlfunktionen und Schäden im Kiefergelenk [Freesmeyer, 1993; Köneke, 2010]. Immerhin haben wir jetzt die Möglichkeit, retrudiert stehende Frontzähne länger zu beobachten, da sie nicht mehr regelmäßig einer frühzeitigen vollprothetischen Versorgung geopfert werden.
Ausblick
Es wird noch interessanter und komplizierter, wenn wir die eingangs zugrunde gelegte Beobachtung aufgreifen, nach der das Wachstum des Gesichts niemals aufhört [Behrents, 1985]. Werden die Zahnreihen von den lebenslang wachsenden zahntragenden Anteilen des Gesichtsschädels tatsächlich davongetragen? Oder sind es gerade die andauernd ablaufenden Zahnwanderungen, die hier auch dafür sorgen können, dass die Okklusion doch noch nach Jahrzehnten passt?
In der Konsequenz wird der Kieferorthopädie langfristig eine noch größere Bedeutung zukommen, begleitend zu den allgemeinzahnärztlichen Maßnahmen beizutragen, zumindest so lange, wie die betroffenen Zähne im Mund stehen. Unbestritten jedoch besteht die Notwendigkeit, einer Wanderung der Zähne mit festsitzenden Retainern (Abbildung 9) und mit Retentionsschienen (Abbildung 8e) entgegenzuwirken [Berg et al., 2008; Berg et al., 2008; Stenvik et al., 2011; Rudzki und Kirschneck, 2017].
Prof. Dr. med. dent. Dr. med. habil. Ralf J. Radlanski
Assmannshauser Str. 4–6, 14197 Berlin
ralfj.radlanski@charite.de



