Prostata-Metastase statt Kieferfraktur
Die Anamnese
Der Patient klagte über eine Hypästhesie im Bereich des Versorgungsgebiets des Nervus infraorbitalis rechts als Folge seines Sturzes auf das Gesicht sechs Wochen zuvor. Allgemeinanamnestisch erhielt er als Medikation Torasemid, Allopurinol, Spironolacton, Pantoprazol, Betahistin und Eliquis. Als vorbestehende Erkrankung war ein Prostata-Karzinom (elf Jahre zuvor erstmalig diagnostiziert) bekannt.
Die klinische Untersuchung ergab eine Hypästhesie im Bereich des rechten Nervus infraorbitalis. Doppelbilder wurden nicht angegeben. Es bestanden keine kaufunktionellen Probleme, die Mundöffnungsfähigkeit war über 40 mm Inzisalkantenabstand der Schneiderzähe der Prothese.
Palpatorisch zeige sich eine geringgradige nicht druckschmerzhafte knöcherne Verdickung im Bereich der Crista zygomatico-alveolaris der rechten Seite. Ein Hämatom war nicht zu erkennen. Es wurde ein CT des Gesichtsschädels angefertigt.
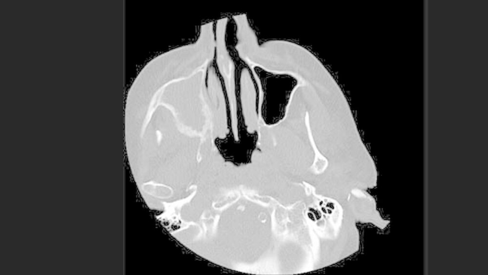
Auf dem Bild zeigte sich keine Fraktur, jedoch eine verbreiterte und unruhige Struktur der Maxilla rechtsseitig, die sich über die gesamte Wand der rechten Kieferhöhle, mit Ausnahme des Kieferhöhlendachs/Orbitabodens sowie den angrenzenden Processus pterygoideus des Os sphenoidale (Keilbein) erstreckte. Zudem war die rechte Kieferhöhle komplett verschattet (Abbildungen 1 und 2).
Aufgrund der Anamnese wurde die Indikation zur Biopsie gestellt, mit der Frage, ob ein Zusammenhang mit dem bekannten Prostatakarzinom, eine möglicherweise therapieassoziierte Kiefernekrose oder ein davon unabhängiger Prozess bestand.
Die Therapie
Eine knöcherne Probe wurde aus dem Bereich des Alveolarkamms (regio 45 bis 47) entnommen, außerdem eine Probe des darüber liegenden submukösen Weichgewebes.
Immunhistologische Färbungen des Knochenpräparats erbrachten eine schwache Positivität für PSA (Prostata-spezifisches Antigen), so dass die pathohistologische Diagnose einer ossären Infiltration im Rahmen eines Prostata-Carcinoms gestellt wurde.
Diskussion
Ossäre Metastasen sowohl des Oberkiefers als auch des Sinus maxillaris werden immer wieder beschrieben [Muth 1953, Grätz et al. 1990, Piattelli et al. 1999, Prescher und Brors 2001, Lopez et al.2016].
Im Rahmen der Therapie eines Prostata-Karzinoms werden Bisphosphonate und Denosumab zur Behandlung ossärer Metastasen eingesetzt. Dadurch kann aus einer ossären Metastase eine Osteonekrose entstehen. Osteonekrosen des Kiefer können jedoch auch ohne Metastasenbefall entstehen [Bornstein et al. 2006, Ristow et al. 2014].
Ob eine Metastase oder eine Osteonekrose die entsprechende Symptomatik verursacht, kann klinisch nicht immer mit Sicherheit beurteilt werden.
Fazit für die Praxis
Bei entsprechender Anamnese ist daher sowohl an eine ossäre Metastase als auch an das Resultat nach Therapie einer ossären Metastase zu denken und eine Biopsie sinnvoll. Im Rahmen des Tumorboards der Klinik wurde eine konservative Therapieempfehlung aufgrund des fortgeschrittenen Krankheitsstadiums ausgesprochen und an den betreuenden Onkologen/Urologen weitergeleitet.
Dr. Dr. Dr. Rainer Ebid
Facharzt für Mund-Kiefer-Gesichtschirurgie, plastische Operationen, Sportmedizin
Oberarzt der Klinik für Mund-, Kiefer- und Plastische Gesichtschirurgie
HELIOS Klinikum München West
Steinerweg 5, 81241 München
rainer.ebid@helios-kliniken.de
Priv.Doz. Dr. med. Dr .med. dent. Denys Loeffelbein
Chefarzt der Klinik für Mund-, Kiefer- und Plastische Gesichtschirurgie
HELIOS Klinikum München West
Steinerweg 5, 81241 München
denys.loeffelbein@helios-kliniken.de
Literatur
Ein eindrucksvoller Fall von Prostata-Ca-Metastase im Oberkiefer, MUTH O., Dtsch Zahnarztl Z. 1953 Jul 15;8(14):787-9
Ossäre Metastasen in Ober- und Unterkiefer, Grätz KW, Sailer HF, Makek M., Dtsch Z Mund Kiefer Gesichtschir. 1990 Mar-Apr;14(2):122-31.
Gingival metastasis from a prostate adenocarcinoma: report of a case. Piattelli A, Fioroni M, Rubini C., J Periodontol. 1999 Apr;70(4):441-4.
Die Metastasenabsiedelung in die Nasennebenhöhlen: Fallmitteilung und LiteraturübersichtPrescher A, Brors D., Laryngorhinootologie. 2001 Oct;80(10):583-94.
Metastases to nasal cavity and paranasal sinuses. López F, Devaney KO, Hanna EY, Rinaldo A, Ferlito A., Head Neck. 2016 Dec;38(12):1847-1854. doi: 10.1002/hed.24502. Epub 2016 May 24. Review
Bisphosphonat-assoziierte Nekrose der Maxilla. Ein Fallbericht mit Literaturübersicht Bornstein MM, Oberli K, Stauffer E, Buser D., Schweiz Monatsschr Zahnmed. 2006; 116(10):1035-47. Review. French, German
Does regular zoledronic acid change the bone turnover of the jaw in men with metastatic prostate cancer: a possible clue to the pathogenesis of bisphosphonate related osteonecrosis of the jaw? Ristow O, Gerngroß C, Schwaiger M, Hohlweg-Majert B, Ristow M, Koerdt S, Schuster R, Otto S, Pautke C. J Cancer Res Clin Oncol. 2014 Mar;140(3):487-93.





