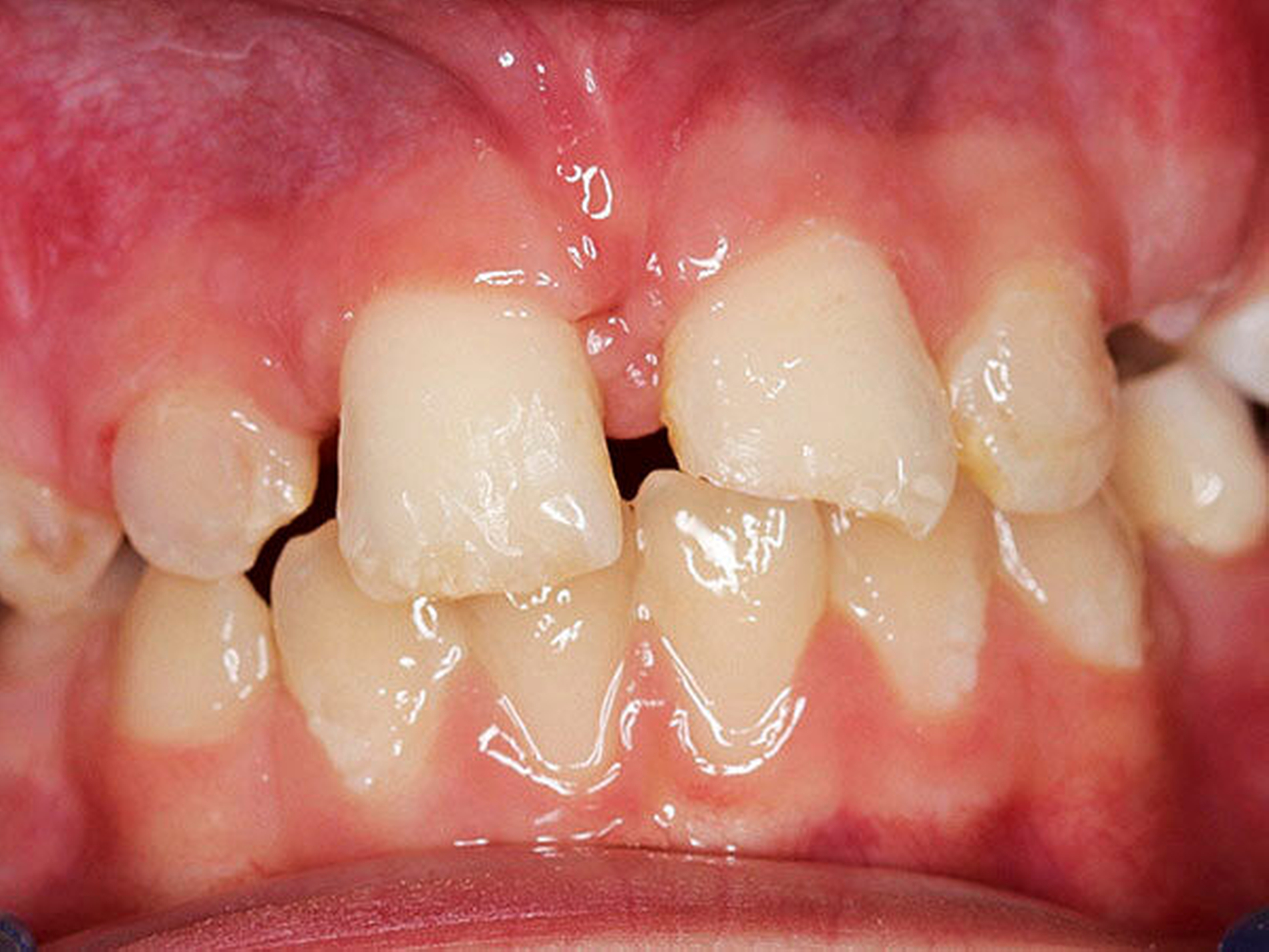
Junge Zähne erhalten bei Pulpa aperta, Trauma und MIH
Neben deutschen Referenten präsentierten auch internationale Experten den Stand von Wissenschaft und Praxis. So gilt es für Prof. Dr. Monty Duggal (Singapur) bei jedem Traumapatienten zunächst einmal Ruhe zu bewahren und biologisch zu denken: Was ist mit der Pulpa passiert, was mit dem parodontalen Ligament? Bei Wurzelfrakturen im apikalen Drittel überlebt die Pulpa fast immer [Welbury et al., 2002]. Im gingivalen Drittel sinkt die Quote nach zwei Jahren auf nur noch 40 Prozent, abhängig auch vom Entwicklungsstadium des Zahns.
„Denken Sie biologisch“ – was genau ist passiert?
Nach Duggal, der lange an der renommierten Abteilung für Kinderzahnheilkunde der Universität Leeds (England) lehrte, wird ein horizontaler Frakturspalt in vielen Fällen bindegewebig oder knöchern überbrückt. Das apikale Fragment kann bei fehlender Verbindung zur Mundhöhle in situ verbleiben, bei Vitalitätsverlust im koronalen Fragment wird die apikale Öffnung mit MTA verschlossen und die Wurzel mit Standardmethoden gefüllt (20 bis 44 Prozent der Fälle). Eine zeitnahe endodontische Behandlung verbessert die Prognose.
Um Frakturen zu identifizieren, empfiehlt Duggal, zwei um 15 Grad versetzte Zahnfilme aufzunehmen. Bei positivem Befund sollte die Krone durch Beschleifen aus der Funktion genommen und für vier Wochen mit einer Schiene immobilisiert werden, wobei die Schiene eine physiologische Zahnbeweglichkeit gewährleisten soll. Vorsicht bei erhöhter apikaler Transluzenz auf dem Zahnfilm: Diese könne heilungsbedingt und damit vorübergehend sein. Wichtig sei neben dem zeitnahen das längerfristige Monitoring.
Lateral luxierte bleibende Zähne können häufig unter Lokalanästhesie reponiert und dann geschient werden. Ist die Apexifikation bereits abgeschlossen, werden die Zähne meist avital. Bei kombinierter Dislokation und Fraktur gilt das nach Untersuchungen an der Universität Kopenhagen für 95 Prozent aller Zähne [Andreasen et al., 2007]. Wird das Wurzelzement beschädigt, kommt es zu Resorptionen.
Intrudierte bleibende Zähne haben in Bezug auf die Vitalität eine schlechte Prognose, bei abgeschlossenem Wurzelwachstum gibt es keine Chance. Bei Bedarf sollte laut Duggal immer versucht werden, diese orthodontisch oder chirurgisch zu extrudieren [British Society of Paediatric Dentistry, 2012; Nazzal et al., 2014]. Auf diese Weise ließen sich auch bei schlechter dentaler Langzeitprognose der Alveolarknochen und das zugehörige Weichgewebe für spätere Implantationen erhalten.
Mehrere Referenten wiesen in Dortmund auf ein systematisches Review aus Duggals Arbeitsgruppe hin, demzufolge eine längerfristige Kalziumhydroxid-Einlage bei Apexifikationen die Frakturgefahr unreifer Zähne erhöht [Duggal et al., 2017]. Stattdessen sollte – analog zum Vorgehen bei avitalen koronalen Wurzelfragmenten – eine Woche mit Kalziumhydroxid desinfiziert und dann ein apikaler MTA-Verschluss mit konventioneller Wurzelfüllung erfolgen. Regenerative Techniken zur Wiederbesiedlung mit Pulpagewebe sind nach derselben Publikation aktuell nur in Ausnahmefällen indiziert [Duggal et al., 2017].
Die traditionellen Vitalitätstests sind unzuverlässig
Problematisch erscheint, dass nach einem Trauma die Vitalität ohne Trepanation nicht zuverlässig feststellbar ist. Nach übereinstimmender Meinung der Referenten in Dortmund gilt das einerseits für traditionelle Kältetests, die schon wegen des ängstlichen, durch Schmerzen beeinträchtigten Kindes unzuverlässig sind (van Waes), als auch für aufwendigere Methoden wie die Laser-Doppler-Durchblutungsmessung oder elektrische Tests, die ebenfalls nicht eindeutig seien [Ghouth et al., 2018]. Nach Dr. Hubertus van Waes (Universität Zürich) könnte dies daran liegen, dass die langsam leitenden C-Fasern auch bei unterbrochener Blutversorgung oder degenerierter Pulpa reagieren und eine Sensibilität vortäuschen.
Ist bei noch vitaler Pulpa die Blutversorgung wiederhergestellt, könne zugleich die Innervation fehlen (falsch-negatives Ergebnis). Van Waes empfiehlt einen Vergleich mit den Nachbarzähnen. Auch Duggal zufolge sollte eine endodontische Behandlung nie ausschließlich auf Vitalitätstests gestützt werden, zusätzlich seien klinische Zeichen wie Abszesse oder Fisteln zu beachten [Duggal et al., 2017]. Bei aufkommenden Zweifeln an der Vitalität müsse für eine gute Prognose jedoch zügig trepaniert werden.
Für Dr. Hani Nazzal (Katar) ist bei freigelegter Pulpa bleibender Zähne die partielle Pulpotomie Methode der Wahl [Aguilar et al., 2011]. Zähne mit unvollendetem Wurzelwachstum hätten hier eine signifikant bessere Prognose als solche mit abgeschlossenem Wurzelwachstum. Als Amputationsmaterial zeige Kalziumhydroxid ebenso gute Ergebnisse wie MTA, bei der ebenfalls möglichen Pulpaüberkappung ist MTA erfolgreicher [Aguilar et al., 2011]. Laut Nazzal sind aber wichtige erfolgsrelevante Fragen noch offen, etwa ein Grenzwert für die Größe der Pulpeneröffnung.
Eine exponierte Kronenpulpa lässt sich auch bei Milchzähnen in vielen Fällen erfolgreich amputieren. Biologie, aber auch Behandlung und Materialien sind laut Dr. Richard Steffen (Universitäres Zentrum für Zahnmedizin, Basel) grundsätzlich dieselben wie bei bleibenden Zähnen. Die Amputation erfolgt wegen des geringeren Odontoblastentraumas mit schnell laufenden Diamantschleifern und Spraykühlung [Sluka et al., 1981]. Die Wurzelpulpa bleibt laut Steffen häufig lange entzündungsfrei. Erkennbar sei dies an der hellroten Blutung aus den Wurzeln, die nach ein bis zwei Minuten sistieren sollte (Wattepellet, NaOCl-Lösung).
Die Wunde wird nach Steffens Literaturrecherche am besten mit einem hydraulischen Silikatzement versorgt, zum Beispiel einem weiterentwickelten MTA-Material (Mineral Trioxide Aggregate) oder Kalziumsilikat-Zement (Biodentine). Letzteres bindet im Gegensatz zu MTA auch unter sauren Bedingungen ab.
Die Therapiemöglichkeiten von Milchzähnen nach endodontischer Behandlung hängen nach Prof. Dr. Katrin Bekes (Wien) unter anderem von der Kooperationsfähigkeit und dem Gebisszustand des Kindes, aber auch von der Kompetenz des zahnärztlichen Teams ab. Wichtig sei – wie bei bleibenden Zähnen – eine dichte, mechanisch dauerhafte Restauration. Die beste Prognose haben nach Bekes Stahlkronen und je nach Defektgröße adhäsive Kompositfüllungen [Chisini et al., 2018; Maupome et al., 2017].
Bei bleibenden Zähnen führt laut PD Dr. Kerstin Bitter (Berlin) vor allem ein Substanzverlust dazu, dass nach endodontischer Behandlung Frakturen auftreten. Entsprechend seien substanzschonende Restaurationen indiziert, im Seitenzahnbereich mit Höckerüberkappung oder als Endokrone. Wird gegen Scherkräfte ein Wurzelstift verwendet, gebe es keine klaren Daten für ein bestimmtes Material. Eine substanzschonende Präparation und die korrekte Adhäsivtechnik seien auch bei Wurzelstiften von großer Bedeutung für den Erfolg.
Wie im Rahmen eines separaten Symposiums der DGKiZ erläutert wurde, sollte die immer häufiger zu beobachtende Molaren-Inzisiven-Hypomineralisation (MIH) symptom- und defektbezogen behandelt werden. Ein Beispiel ist das abgestufte Würzburger Konzept [Bekes et al., 2016]:
Prävention mit guter Mundhygiene, Fluoriden, CPP/ACP
Versiegelung freiliegenden Dentins mit MDP-haltigen Adhäsiven (Schmelzhaftung wegen MIH problematisch [Krämer et al., 2018])
Direkte Restauration mit Glasionomeren oder adhäsiven Kompomeren und Kompositen (Restaurationsrand im Gesunden)
Versorgung Seitenzahnbereich: konfektionierte Stahl- oder individuell hergestellte Komposit- oder keramische Kronen (möglichst als Teilkronen, konventionell oder CAD/CAM)
Versorgung Frontzahnbereich: adhäsives Komposit, Non-Prep-Veneers (erst nach Durchbruch der Eckzähne)
Extraktion (Einordnung zweiter Unterkiefermolaren mit dem Kieferorthopäden abklären)
Die Ätiologie von MIH ist laut Prof. Dr. Jan Kühnisch (München) noch immer ungeklärt. Weiter zu erforschende Hinweise gebe es jedoch beim Thema Antibiotika. Diese stehen im Verdacht, das Kristallitwachstum zu beschleunigen, ohne dass eine reife und damit belastbare Schmelzstruktur entstehen kann. Für eine ätiologische Rolle spricht laut Kühnisch eine größere MIH-Häufigkeit bei Kindern mit Atemwegs- und anderen Erkrankungen, die vermehrt mit Antibiotika behandelt wurden [Kühnisch et al., 2014; Wuollet et al., 2016].
Eine Reihe weiterer Vorträge zur restaurativen Zahnerhaltung gab es in Dortmund bei parallelen Veranstaltungen von Fachgesellschaften und Sponsoren. So betonte Prof. Dr. Bart van Meerbeek (Leuven, Belgien) beim „3. Tag der Wissenschaft und Universitäten“ der DGZ, dass MDP als antibakterieller Wirkstoff in Adhäsiven funktioniert, eine Remineralisation aber schwierig zu erreichen sei. Der Forscher präsentierte ein eindrucksvolles Video, in dem mithilfe spezieller REM-Techniken der adhäsive Verbund – einschließlich klinisch relevanter undichter Bereiche – dreidimensional dargestellt wird. Van Meerbeek empfiehlt, beim Kauf von Adhäsiven auf langfristige klinische Dokumentation zu achten (bis zu 13-Jahres-Daten verfügbar).
Die biomechanischen Eigenschaften direkter Restaurationen dürfen auch bei neuen, sogenannten bioaktiven Kompositen nicht beeinträchtigt werden. Prof. Dr. Roland Frankenberger aus Marburg forderte, die Themen Box Elevation, Füllungsreparaturen und Exkavation weitergehend zu erforschen. Hierfür seien Multizenterstudien hilfreich, da einzelne Zentren keine ausreichenden Fallzahlen generieren könnten.
Bei Caries profunda und noch intakter Pulpa ist eine Remineralisierung aus der Pulpa möglich. Wie Prof. Dr. Wolfgang Buchalla (Regensburg), Präsident der Deutschen Gesellschaft für Restaurative und Regenerative Zahnheilkunde (DGR2Z), im Symposium der DGZ-Gliederung erläuterte, sterben jedoch bei 0,25 mm verbleibender Dentinschichtstärke bereits 40 Prozent der angeschnittenen Odontoblasten, mit entsprechend erhöhter Nekrosegefahr der Pulpa. Die Fluoreszenz-unterstützte, pulpanah selektive Kariesexkavation kann den Zahn in den meisten Fällen vital erhalten. Zur Abdeckung eignen sich auch hier MTA, Biodentine oder Kalziumhydroxid.
Die parodontal- und kariespräventive Wirkung probiotischer Mikroorganismen wurde bereits in mehreren klinischen Studien nachgewiesen. Prof. Dr. Ulrich Schlagenhauf (Würzburg) erläuterte im Symposium der Deutschen Gesellschaft für Präventivzahnmedizin (DGPZM) den Einfluss einer probiotischen Therapie auf die gingivale Entzündung, die Anzahl pathogener Mikroorganismen und den Plaque-Index. Er verwies auf die große Bedeutung dieses Ansatzes für künftige Präventionskonzepte.
Menschen mit Behinderung brauchen Vertrauen
Der Dortmunder Kongress fand gemeinsam mit der Arbeitsgemeinschaft Zahnmedizin für Menschen mit Behinderung oder besonderem medizinischem Unterstützungsbedarf (AG ZMB) statt. Letztere bereicherte die Tagung mit allgemeinmedizinischen, verhaltensbezogenen und präventiven Aspekten.
Laut Prof. Dr. Andreas Schulte (Witten/Herdecke), 1. Vorsitzender der AG ZMB, ist der Vertrauensaufbau mit Patienten aus dieser heterogenen Gruppe von zentraler Bedeutung. Unabhängig vom Alter benötigen vor allem Menschen mit geistiger Behinderung zusätzliche Zeit, um sich auf die zahnärztliche Umgebung einzustellen. Besonderheiten der zahnmedizinischen Betreuung sollten im gesamten Team besprochen werden. Es kann auch sinnvoll sein, für die zahnärztliche Behandlung von Wohnheimgruppen bestimmte Zeiten zu reservieren.
PD Dr. Katharina Bücher (München) betonte, dass Patienten mit besonderem Betreuungsbedarf im Durchschnitt eine signifikant schlechtere orale Gesundheit haben. Vor restaurativen oder anderen invasiven Maßnahmen sei daher zu klären, inwieweit die Patienten hygienefähig sind. Meist müssten die betreuenden Personen instruiert werden und es sei ein entsprechender Hygieneplan notwendig. Diese Leistungen sind seit Kurzem über die Bema-Positionen 174a und 174b abrechenbar.
In einem parallelen Symposium wurden Besonderheiten von Patienten mit Autismus erläutert. Diese können sich nicht in andere hineinversetzen, wie Prof. Oliver Fricke (Witten/Herdecke) ausführte, und benötigen zum Beispiel eine direkte verbale Ansprache ohne emotionale Botschaften. Hilfreich seien auch Bildkarten, auf denen der Therapieverlauf erkennbar ist, ergänzte Dr. Wendy Bellis (London) in ihrem Vortrag.
Fazit: Der Dortmunder Kongress war durch die enge und effektive Zusammenarbeit der beteiligten Fachgesellschaften gekennzeichnet. Dies war besonders beim Schwerpunktthema Trauma und Endodontie bei jungen Patienten erkennbar – mit zahlreichen praxisrelevanten Informationen. Eine Bereicherung waren zweifellos die Referenten aus dem Ausland, die einen Einblick in die Klinik und Forschung ihrer Heimatländer boten. Nicht zuletzt eröffnete die Veranstaltung spannende interdiszplinäre Diskussionen und Ausblicke.
Dr. med. dent. Jan H. Koch, Dentaljournalist
Herausforderung Trauma-Leitlinie
Für den Präsidenten der DGKiZ, Prof. Dr. Norbert Krämer, ist die aktuelle, chirurgisch geprägte S2k-Leitlinie zum Thema Zahntrauma bleibender Zähne „ein großes Problem“ [DGZMK, DGMKG, 2015]. Das für Apexifikationen empfohlene Kalziumhydroxid sei aus Sicht der europäischen Kinderzahnmedizin und aufgrund endodontologischer Forschung nicht mehr indiziert [Duggal et al., 2017]. Zudem würden in der Leitlinie als grundlegende Diagnostik bekanntermaßen ungenaue Vitalitätstests empfohlen. Diese neuen Erkenntnisse müssen nach Auffassung von DGKiZ und DGZ in der für nächstes Jahr geplanten Überarbeitung berücksichtigt werden.
Neuer DGZ-Vorstand
Im Rahmen der DGZ-Jahrestagung wurde ein neuer Vorstand gewählt. Prof. Dr. Christian Hannig (Dresden) rückt als bisheriger Präsident-elect an die Spitze der DGZ. Als sein Nachfolger wurde Prof. Dr. Rainer Haak (Leipzig) gewählt. Prof. Dr. Matthias Hannig bleibt als Past-Präsident weiterhin im Vorstand. Als neue Vizepräsidentin tritt apl. Prof. Dr. Marianne Federlin (Regensburg) die Nachfolge von Prof. Dr. Birger Thonemann (Düsseldorf) an.
Literatur
1. DGZMK, DGMKG. Dentales Trauma bleibender Zähne, Therapie. S2k-Leitlinie, Registernummer 083-004, Stand: 31.05.2015 , gültig bis 30.05.2019: www.awmf.org/leitlinien/detail/ll/083-004.html. AWMF, 2015.
2. Welbury R, Kinirons MJ, Day P, Humphreys K, Gregg TA. Outcomes for root-fractured permanent incisors: a retrospective study. Pediatr Dent 2002;24:98-102.
3. Andreasen JO, Andreasen FM, Adersson L. Textbook and Color Atlas of Traumatic Injuries to the Teeth. 4th ed.: Blackwell Munksgaard, 2007.
4. British Society of Paediatric Dentistry BSPD. Treatment of avulsed permanent teeth in children. In: Day P, Gregg TA (eds). guideline, 2012.
5. Nazzal H, Dhaliwal HK, Littlewood SJ, Spencer RJ, Day PF. Interdisciplinary management of severe intrusion injuries in permanent incisors: a case series. British dental journal 2014;217:517-523.
6. Duggal M, Tong HJ, Al-Ansary M, Twati W, Day PF, Nazzal H. Interventions for the endodontic management of non-vital traumatised immature permanent anterior teeth in children and adolescents: a systematic review of the evidence and guidelines of the European Academy of Paediatric Dentistry. European archives of paediatric dentistry : official journal of the European Academy of Paediatric Dentistry 2017;18:139-151.
7. Ghouth N, Duggal MS, BaniHani A, Nazzal H. The diagnostic accuracy of laser Doppler flowmetry in assessing pulp blood flow in permanent teeth: A systematic review. Dent Traumatol 2018;34:311-319.
8. Aguilar P, Linsuwanont P. Vital pulp therapy in vital permanent teeth with cariously exposed pulp: a systematic review. J Endod 2011;37:581-587.
9. Sluka H, Lehmann H, Elgun Z. [Comparative experiments on treatment technics in vital amputation in view of the preservation of the remaining pulp]. Quintessenz 1981;32:1571-1577.
10. Chisini LA, Collares K, Cademartori MG, de Oliveira LJC, Conde MCM, Demarco FF, et al. Restorations in primary teeth: a systematic review on survival and reasons for failures. Int J Paediatr Dent 2018;28:123-139.
11. Maupome G, Yepes JF, Galloway M, Tang Q, Eckert GJ, Downey T, et al. Survival analysis of metal crowns versus restorations in primary mandibular molars. J Am Dent Assoc 2017;148:760-766.
12. Bekes K, Steffen R. Das Würzburger MIH-Konzept, Teil : Der MIH-Treatment-Need-Index (MIH-TNI). Oralprophylaxe und Kinderzahnheilkunde 2016;39:1-6.
13. Kramer N, Bui Khac NN, Lucker S, Stachniss V, Frankenberger R. Bonding strategies for MIH-affected enamel and dentin. Dent Mater 2018;34:331-340.
14. Kühnisch J, et al. Respiratory diseases are associated with molar-incisor hypomineralizations. Results from a long-term prospective cohort study. Swiss Dental Journal 2014;124:286-293.
15. Wuollet E, Laisi S, Salmela E, Ess A, Alaluusua S. Molar-incisor hypomineralization and the association with childhood illnesses and antibiotics in a group of Finnish children. Acta odontologica Scandinavica 2016;74:416-422.














