Ein echtes polypöses Fibrom
Im August 2017 stellte sich eine 63-jährige Patientin nach Überweisung durch ihren niedergelassenen Hauszahnarzt in der Klinik und Poliklinik für Mund-, Kiefer- und Plastische Gesichtschirurgie der Universitätsmedizin Rostock mit einer Gewebeveränderung der palatinalen Schleimhaut links vor.
Anamnese und Befund
Bei der klinischen Untersuchung zeigte sich ein schmerzloser, 2 cm x 1,7 cm x 0,3 cm großer, polypös-prall-elastischer, nach regio 26 gestielter Lokalbefund (Abbildung 1 links).
Auf die Nachfrage, wie lange ihr der Befund bereits bekannt sei, berichtete die Frau von einer etwa 20-jährigen Bestehensdauer, jedoch mit einer spür- und sichtbaren Größenprogredienz während der letzten zwei Jahre. Sie hatte ein subjektiv zunehmendes Fremdkörpergefühl sowie Probleme bei der Nahrungsaufnahme. Aus der allgemeinen Krankenanamnese ging eine im Jahr 2013 durchgeführte Lebertransplantation bei hepatozellulärem Karzinom hervor, die am ehesten auf das Vorliegen einer chronischen Hepatitis-C-Infektion nach erfolgter Bluttransfusion in der Kindheit zurückzuführen war.
Die Patientin hatte daher eine ausgesprochen große Angst vor einer möglichen zweiten Malignität. Weitere Nebendiagnosen waren eine chronische Niereninsuffizienz, eine Hypothyreose sowie ein medikamentös eingestellter arterieller Hypertonus. Seit 2013 nahm die Patientin zur Abstoßungsprophylaxe nach Organtransplantation eine immunsuppressive Dauermedikation mit Tacrolimus (Prograf®) und Everolimus (Certican®) ein.
Zur Komplettierung der Diagnostik und zur Darstellung der Tiefenausdehnung des intraoralen Befunds in die angrenzenden Nachbarstrukturen erfolgte ein Kontrastmittel-gestütztes CT der Kopf-Hals-Region (Abbildungen 2a und 2b).
Therapie
Nach Auswertung des Bildmaterials und Vervollständigung der präoperativen Aufklärungen konnte die Exzision des Befunds problemlos unter ambulanten Bedingungen in Intubationsnarkose durchgeführt werden (Abbildung 1 rechts und Abbildung 3).
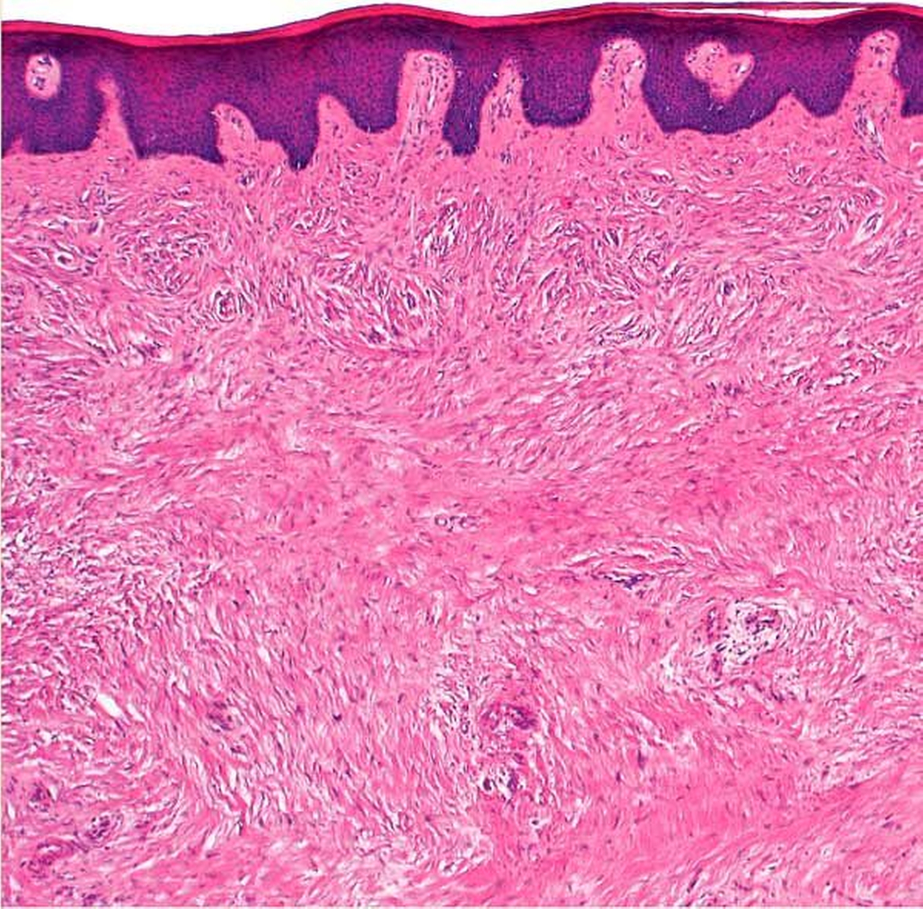
Die histopathologische Nachuntersuchung des Gewebeexzidats ergab den Befund eines echten polypösen Schleimhautfibroms ohne Anhalt für Malignität (Abbildungen 4a und 4b). Während der klinischen Nachsorge zeigte sich die per secundam ablaufende Wundheilung unter Zuhilfenahme einer Verbandsplatte und der täglichen Anwendung von 0,12-prozentiger Chlorhexidin-Mundspüllösung unter weiter bestehender immunsuppressiver Medikation und starkem Nikotinabusus zwar zeitverzögert, aber insgesamt unauffällig (Abbildung 5).
Diskussion
Das Schleimhautfibrom gehört zu den am häufigsten beobachteten Veränderungen der Mundschleimhaut [Naderi et al., 2012; Mishra et al., 2017], wobei es sich hierbei grundsätzlich um einen benignen Tumor des fibrösen Bindegewebes handelt [Kinoshita et al., 2016]. Unterteilen lässt sich das orale Schleimhautfibrom entsprechend seinem Entstehungsmechanismus in eine reaktiv-hyperplastische Form als Folge chronisch lokaler Irritationen sowie in eine „echte“ Form mit unklarem Entstehungsmechanismus im Sinne einer benignen Neoplasie [Kinoshita et al., 2016].
Beiden gemeinsam ist letztlich die umschriebene Zunahme von submukosalem Bindegewebe und hierbei hauptsächlich die der Kollagentypen I und III, die erstmalig 1846 beschrieben und als faserreicher Polyp klassifiziert wurde [Tomes, 1846]. Während das Reizfibrom bei Erwachsenen mit einer Prävalenz von bis zu 1,2 Prozent auftritt, stellt hingegen das „echte“ Fibrom, wie im hier gezeigten Fallbeispiel, eine Rarität im klinischen Alltag dar [Barker and Lucas, 1967]. Klinisch-palpatorisch zeigt sich das orale Fibrom wie im oben beschriebenen Fallbericht häufig als schmerzlose, solitär-umschriebene, feste Struktur [Miettinen and Fetsch, 1998; Kinoshita et al., 2016].
Das makroskopische Erscheinungsbild kann, ätiologisch bedingt, hinsichtlich Form, Farbe, Größe, Pigmentierung und Oberflächenbeschaffenheit variieren, so dass eine sichere Diagnose einzig durch die histopathologische Nachuntersuchung erbracht werden kann [Mishra and Pandey, 2016]. Die meisten der beschriebenen oralen Fibrome erreichen hierbei eine Größe von weniger als einem Zentimeter. Aufmerksamkeit sollte unbedingt der Krankengeschichte und hierbei insbesondere der Frage nach der Befund-Bestehensdauer sowie der Wachstumsgeschwindigkeit geschenkt werden.
In den meisten Fällen handelt es sich um ein sehr langsames Wachstumsverhalten mit einer langen Bestehensdauer über mehrere Jahre [Mishra et al., 2017]. Im Zusammenhang mit dem oben genannten Fallbeispiel kann ein das Wachstum stimulierender Einfluss durch die synchrone immunsuppressive Dauertherapie und eine dabei akzeleriert ablaufende chronische Entzündungsreaktion nicht ausgeschlossen werden. Mikroskopisch zeigen Reizfibrome neben einem faserreichen Stroma mit einer entweder radiären oder zirkulären Kollagenfaseranordnung, zahlreichen spindelzelligen Fibroblasten und hyperkeratotischen Veränderungen regelmäßig Entzündungszeichen mit einer Invasion inflammatorischer Zelltypen [Mishra et al., 2017].
Echte Fibrome weisen im Vergleich eine eher ungeordnete Kollagenstruktur, eine scharfe Abgrenzung zu umliegenden Nachbarstrukturen sowie eine bindegewebige Kapsel auf [Patil et al., 2014]. Klinisch nicht immer eindeutig abzugrenzen, aber differenzialdiagnostisch zu berücksichtigen, sind zum einen gutartige Veränderungen wie das periphere Riesenzellgranulom, das periphere odontogene Fibrom, die fibröse Hyperplasie oder das peripher verknöchernde Fibrom sowie Läsionen wie das pleomorphe Adenom der kleinen Speicheldrüsen [Saka et al., 2014], die proliferative verruköse und die verrukiforme Leukoplakie.
Ausgeschlossen werden müssen jedoch insbesondere maligne Veränderungen wie beispielsweise Formen des oralen Plattenepithelkarzinoms, Adenokarzinome der kleinen und großen Speicheldrüsen sowie Mukoepidermoidkarzinome [Kämmerer, 2017]. Bei den hier genannten Läsionen handelt es sich jedoch nur um einen Auszug aus der Liste der zahlreichen exophytisch imponierenden Schleimhautveränderungen [Santosh et al., 2015], so dass eine Überweisung zum Fachspezialisten bei Unklarheit stets angestrebt werden sollte.
Weiter ist die Durchführung schnittbildgebender Verfahren (Kontrastmittel-CT oder MRT) ein wichtiges Diagnostikum, um eine Infiltration von Nachbarstrukturen auszuschließen, was wiederum das therapeutische Vorgehen beeinflusst [Kinoshita et al., 2016]. Im Fall des polypösen Mundschleimhautfibroms ist eine Spontanremission nicht zu erwarten, so dass die lokale Exzisionstherapie ohne Sicherheitsabstand mit histopathologischer Nachuntersuchung das Verfahren der Wahl darstellt [Mishra and Pandey, 2016].
Fazit für die Praxis
Alle länger als zwei Wochen bestehenden Schleimhautveränderungen sollten bis zum histologischen Ausschluss als malignomsuspekt angesehen werden.
Unklare Schleimhautveränderungen sollten durch einen Fachspezialisten abgeklärt werden.
Orale Reizfibrome sind die häufigste exophytische Schleimhautläsion beim Erwachsenen.
Irritationsauslösende Faktoren wie schlechtsitzender Zahnersatz oder individuelle orale Habits sollten ausgeschlossen und wenn möglich beseitigt werden.
Echte Fibrome stellen eine seltene Entität dar.
Dr. Daniel G.E. Thiem
Klinik und Poliklinik für Mund-, Kiefer- und Gesichtschirurgie
Universitätsmedizin Rostock
Schillingallee 3518057 Rostock
Prof. Dr. Andreas Erbersdobler
Universität Rostock
Medizinische Fakultät, Institut für Pathologie
Strempelstr. 1418055 Rostock
PD Dr. mult. Peer W. Kämmerer, MA, FEBOMFS
Stellvertretender Klinikdirektor/Leitender Oberarzt der
Klinik und Poliklinik für Mund-, Kiefer- und Gesichtschirurgie der Universitätsmedizin Mainz
Augustusplatz 255131 Mainz
peer.kaemmerer@unimedizin-mainz.de
Literaturverzeichnis
Barker, D. S. and R. B. Lucas. „Localised fibrous overgrowths of the oral mucosa.“ Br J Oral Surg 5(2): 86–92, (1967)
Kämmerer, P. W. „Der besondere Fall mit CME: Epidermoidkarzinom des Gaumens.“ Zahnärztliche Mitteilungen 107: 78–81, (2017)
Kinoshita, H., T. Ogasawara, T. Toya, R. Makihara, R. Hirai and E. Kawahara. „Slow-Growing Large Irritation Fibroma of the Anterior Hard Palate: A Case Report Using Immunohistochemical Analysis.“ J Maxillofac Oral Surg 15(Suppl 2): 253–257, (2016)
Miettinen, M. and J. F. Fetsch. „Collagenous fibroma (desmoplastic fibroblastoma): a clinicopathologic analysis of 63 cases of a distinctive soft tissue lesion with stellate-shaped fibroblasts.“ Hum Pathol 29(7): 676–682, (1998)
Mishra, A. and R. K. Pandey. „Fibro-epithelial polyps in children: A report of two cases with a literature review.“ Intractable & Rare Diseases Research 5(2): 129–132, (2016)
Mishra, R., T. S. Khan, T. Ajaz, M. Agarwal and N. Marwah. „Pediatric Palatal Fibroma.“ International Journal of Clinical Pediatric Dentistry 10(1): 96–98, (2017)
Naderi, N. J., N. Eshghyar and H. Esfehanian. „Reactive lesions of the oral cavity: A retrospective study on 2068 cases.“ Dent Res J (Isfahan) 9(3): 251–255, (2012)
Patil, S., R. S. Rao, S. Sharath and A. Agarwal. „True fibroma of alveolar mucosa.“ Case Rep Dent 2014: 904098, (2014)
Saka, B., P. W. Kämmerer, F. Ori and A. Erbersdobler. „Der besondere Fall mit CME: Gaumenschwellung durch pleomorphes Adenom.“ Zahnmedizinische Mitteilungen 20, (2014)
Santosh, A. B., D. Boyd and K. K. Laxminarayana. „Proposed Clinico-Pathological Classification for Oral Exophytic Lesions.“ J Clin Diagn Res 9(9): ZE01–08, (2015)
Tomes, J. (1846). A course of lectures on dental physiology and surgery (lectures I-XV). A course of lectures on dental physiology and surgery (lectures I-XV). A. J. D. Sc.: 1–68.













