Alterszahnmedizin in der Praxis: So machen Sie sich fit!
Deutschland ist eine Gesellschaft des längeren Lebens. Da die Pflegequote mit zunehmendem Alter steigt, nimmt auch die Zahl pflegebedürftiger Menschen in Deutschland stetig zu [Destatis, 2017].
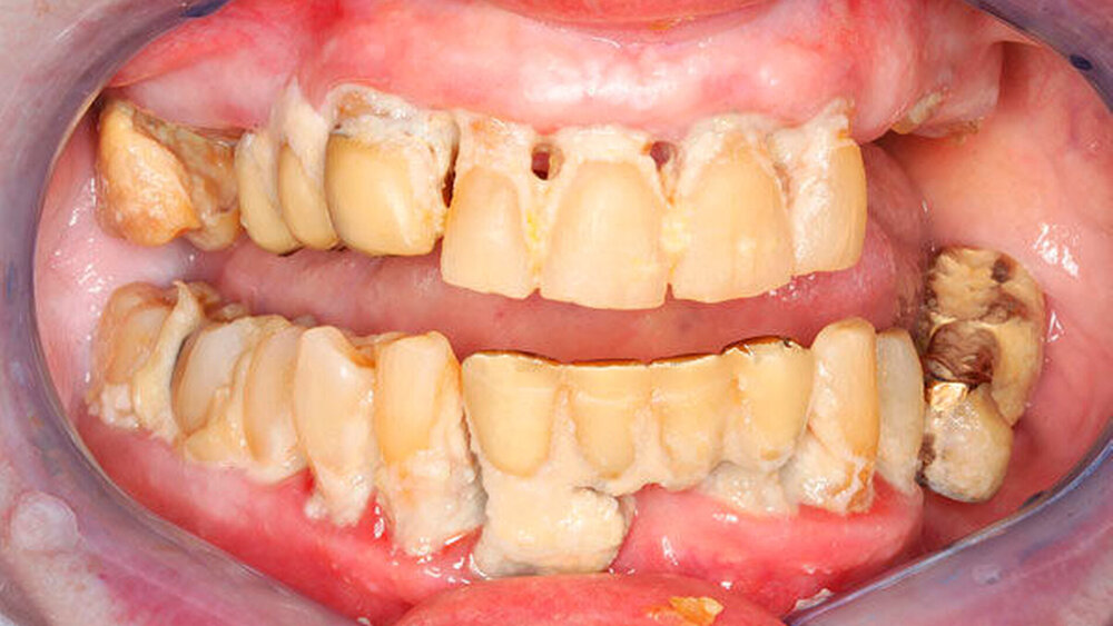
Dabei haben immer mehr dieser immer älteren Menschen immer mehr eigene Zähne, technisch aufwendigen Zahnersatz oder Implantate. Bei pflegebedürftigen Menschen verschlechtert sich der Mundhygienestatus aufgrund eingeschränkt möglicher Hygienemaßnahmen, aufgrund des häufigen Konsums kariogener Speisen und nicht zuletzt auch wegen der vielen Medikamente, die den Speichelfluss reduzieren [Dohlus, 2011; Fitzpatrick, 2000; Nitschke, 2000; Nitschke, 2012].

Herausforderung Alterszahnmedizin
Die Ergebnisse der fünften Deutschen Mundgesundheitsstudie (DMS V) belegen: 1997 waren 22,6 Prozent der jungen Senioren zahnlos – 2016 nur noch 12,4 Prozent. Pflegebedürftige ältere Senioren haben mehr Karies und Zahnfleischbluten und sie nehmen den Zahnarzt seltener kontrollorientiert in Anspruch [IDZ, 2016].
Beläge und Entzündungen in der Mundhöhle beeinträchtigen die Lebensqualität nicht nur im Sinne von Schmerzen und Mundgeruch, sondern zum Beispiel auch durch ein erhöhtes Risiko für Lungenentzündungen [Müller, 2017]. In Pflegeeinrichtungen sind Lungenentzündungen mit 13 bis 48 Prozent die zweithäufigste Infektionserkrankung, mit 8,8 bis 28 Prozent die häufigste Todesursache und der häufigste Grund für eine Krankenhauseinweisung [El-Solh, 2011; Kreissl, 2008]. Insgesamt weisen Parodontitis-Patienten ein über fünffach erhöhtes Risiko für Lungenentzündungen auf [Awano, 2008]. Die wechselseitige Beeinflussung von Parodontitis und Diabetes sowie mit kardio- und zerebrovaskulären Störungen ist inzwischen ebenfalls gut belegt [Deschner, 2018; Dörfer, 2007; Tonetti, 2007; Taylor, 2008].
„Zähne waren meiner Mutter immer wichtig!“ Äußerungen wie diese (von Angehörigen) belegen zudem das verstärkte Verlangen nach einer bedarfsgerechten Zahn- beziehungsweise Mund- und Zahnersatzpflege sowie nach einer verstärkten zahnmedizinischen Betreuung.
Wichtige Weichen sind bereits gestellt
Immobilität, eine eingeschränkte Kooperationsfähigkeit sowie die reduzierte Selbststeuerung der Zahn-, Mund- und Zahnersatzpflege stellen eine Herausforderung für professionell Pflegende, pflegende Angehörige und das zahnärztliche Team dar. Da bei multimorbiden Menschen die invasive und aufwendige Sanierung – gegebenenfalls sogar in Narkose – immer mit großen Risiken auch für die Allgemeingesundheit verbunden ist, sollten präventive Maßnahmen, wie sie von der Zahnärzteschaft bereits im Juni 2010 im Konzept „Mundgesund trotz Handicap und hohem Alter“ [BZÄK/KZBV/DGAZ/BDO, 2010] vorgestellt wurden, im Fokus stehen.
Der Gesetzgeber hat in der Folge mit dem Versorgungsstrukturgesetz, dem Pflegeneuausrichtungsgesetz und aktuell dem Versorgungsstärkungsgesetz wichtige Weichen gestellt, damit die präventionsorientierte zahnärztliche Betreuung pflegebedürftiger Menschen gelingen kann. Und die Zahnärzteschaft entwickelt bereits seit 20 Jahren mithilfe der Erfahrungen engagierter Kolleginnen und Kollegen Konzepte aus der Praxis für die Praxis. Dabei steht neben der zahnärztlichen Betreuung und Versorgung mit Augenmaß, das heißt unter besonderer Berücksichtigung der individuellen Umstände, die Stärkung der Nachsorgekompetenz im Mittelpunkt. Aufgrund der hochindividuellen und vielseitigen Versorgungssituation pflegebedürftiger Menschen mit Zähnen, technisch aufwendigem Zahnersatz beziehungsweise Implantaten müssen im Einzelfall die geeigneten Pflegemittel sowie ganz konkret auch die praktische Durchführung der Zahn-, Mund- und Zahnersatzpflege besprochen und angeleitet werden.
Auf der einen Seite geschieht dies für die Pflegekräfte im Rahmen einer zeitgemäßen Pflegeausbildung. Hier wirken die Deutsche Gesellschaft für AlterszahnMedizin (DGAZ e. V.) sowie die Bundeszahnärztekammer in der aktuell geplanten Novellierung der Pflegeausbildung mit und stellen bereits seit 2013 ein in der Zwischenzeit weiter überarbeitetes Konzept zur Verfügung [Ludwig, 2013].
Auf der anderen Seite muss sich auch die zahnärztliche Profession selbst weiter auf die besonderen Herausforderungen einstellen. Einer repräsentativen Umfrage aus dem Jahr 2005 zufolge gaben fünf Prozent der befragten Zahnärzte an, aufgrund der Belastung durch die Konfrontation mit dem Altern und dem Tod nicht in Pflegeeinrichtungen tätig werden zu wollen. Über 50 Prozent jedoch argumentierten mit den schwierigen Arbeitsbedingungen vor Ort [Nitschke, 2005].
Heute bieten die DGAZ, die Bundeszahnärztekammer, die Kassenzahnärztliche Bundesvereinigung sowie die Zahnärztekammern und Kassenzahnärztlichen Vereinigungen der Bundesländer in Deutschland zum Teil sehr umfangreiche Unterstützungsmöglichkeiten an (Eine Übersicht hierzu finden in der Online-Version des Artikels auf zm-online.de.).
Tipps für eine geräuscharme zahnärztliche Betreuung
Nachfolgend seien einige Punkte aufgeführt, deren Beachtung die Effizienz der zahnärztlichen Betreuung von Menschen mit Unterstützungsbedarf spürbar steigert und eine „geräuscharme“ Betreuung von Menschen mit Unterstützungsbedarf ermöglicht. Das Beste: Nicht nur Sie selbst profitieren davon, auch die Pflegekräfte, die gesetzlichen Betreuungspersonen, die Angehörigen und vor allem die pflegebedürftigen Menschen selbst werden es Ihnen danken.
Telefon: Schon beim ersten Kontakt Zeit sparen
Erfolgt in der Praxis ein Anruf mit einer Frage zu einer pflegebedürftigen Person, sollten lediglich kurz Name und Telefonnummer notiert und der zeitnahe Rückruf durch den Zahnarzt vereinbart werden. Ruft der Zahnarzt zurück, kann er schnell und zielgerichtet das Problem fokussieren und zur Abklärung der näheren Umstände einen Hausbesuch vereinbaren.
Hausbesuche: Ein Gewinn in jeder Hinsicht!
Der Hausbesuch erlaubt ohne großen Aufwand die Abwägung, ob überhaupt und – wenn ja – wo und wie eine Behandlung durchgeführt werden sollte. Vor Ort lassen sich bereits viele Fragen klären und kleinere Behandlungsmaßnahmen wie das Entfernen von Druckstellen oder die Unterfütterung von Prothesen ohne einen aufwendigen und belastenden Transport durchführen. Die Berufsordnung regelt klar, dass medizinisch nicht vertretbare Behandlungen nicht durchgeführt werden müssen. Holt man einen Patienten mit großem Aufwand in die Praxis, neigt man dazu, auch solche Behandlungen vorzunehmen, die nach Abwägung der allgemeinmedizinischen Risiken selbst im Setting der Praxis nicht sicher durchgeführt werden können. Ist ein Transport angezeigt, gilt die seit Mai 2016 geänderte Richtlinie zur Krankenbeförderung.

Anamnese – muss ich gleich alles wissen?
Wie in der Zahnarztpraxis üblich, möchten viele von uns auch bei pflegebedürftigen Menschen von Anfang an alle Informationen bezüglich Allgemeinerkrankungen und Medikamenteneinnahme – unabhängig davon, ob nur eine Klammer an der Prothese aktiviert oder eine invasive Behandlung geplant werden muss. Weniger belastend für alle Beteiligten ist es, die notwendigen Informationen gestuft und nach Bedarf zu erfassen.
Barrieren – eine Frage der Perspektive?
Barrierefreiheit beginnt im Kopf und ist viel mehr als nur der schwellenlose Zugang zur Praxis. Grundsätzlich sollten Patienten nur dann in die Praxis geholt werden, wenn der Aufwand und die Invasivität des Eingriffs dies erforderlich machen. Gerade bei zunehmender Gebrechlichkeit sind solche Eingriffe kritisch zu hinterfragen. Denn mehr als die instrumentelle Ausstattung und Arbeitsumgebung ist der allgemeinmedizinische Zustand des betroffenen Patienten ausschlaggebend dafür, ob eine Behandlung durchgeführt werden kann. Wenn es sinnvoll und geboten ist, lassen sich aber selbst Treppenstufen elegant überwinden.
Kompetenz: Konflikte und Notfälle vermeiden!
Kompetenz im Zugang und Umgang mit demenziell erkrankten Menschen (Validation) ist die Grundvoraussetzung, um Konflikte und Notfälle zu vermeiden. Die Basis ist dabei eine ruhige, eher von unten gerichtete Ansprache im Blickfeld des Patienten mit eher tiefer Stimmlage und zurückhaltendem Körperkontakt. Kurze einfache Sätze, Lob, immer wieder den Namen des Patienten nennen und dabei ein freundliches Gesicht – dies sind die wesentlichen Merkmale guter Kommunikation. Aktuelle Bedürfnisse und Stimmungen dürfen, ja sollen sogar erspürt und gerne angesprochen werden – demenziell erkrankte Menschen fühlen sich dadurch besser verstanden. „Warum“-Fragen sollten vermieden werden, weil diese Konflikte provozieren können.
In der Praxis sollten die betroffenen Menschen begleitet und einzelne Schritte angeleitet werden. Die Einbindung von vertrauten Dingen beziehungsweise Menschen spendet Sicherheit. Grundsätzlich gilt: Nichts erzwingen! Pausen oder gar die Beendung einer Behandlung führen manchmal schneller zum Ziel. Bei Terminvereinbarungen sollten die Wünsche der Patienten Beachtung finden. So kann nahezu jede Behandlung ohne großen Widerstand gelingen.
Bei multimorbiden Menschen ist das Wissen um allgemeinmedizinische Erkrankungen besonders wichtig. Bei Herz-Kreislauf-Erkrankungen ist beispielsweise allein eine behutsame Lagerung in Teilschritten manchmal schon ausreichend, um Notfallsituationen vorzubeugen. Vor allem bei Gebrechlichkeit treten vermehrt Schluckstörungen mit Aspirationsgefahr auf, weshalb hier auf eine eher aufrechte Lagerung zu achten ist.
Polypharmazie – keine Angst vor Medikamenten!
Pflegebedürftige Menschen nehmen in der Regel viele Medikamente ein – seit Oktober 2016 haben gesetzlich Versicherte, wenn diese für mehr als 28 Tage drei oder mehr systemisch wirksame Medikamente erhalten, diesbezüglich Anspruch auf die Ausstellung eines bundeseinheitlichen Medikationsplans. Trotz allem bestehen bei der Vielzahl an Medikamenten mitunter Unsicherheiten im Hinblick auf die zahnärztlich relevanten Neben- und Wechselwirkungen. Hier stellt das MIZ-Programm (Medikamenten-Info für Zahnärzte – www.mizdental.de) ein sehr hilfreiches Instrument für die zahnärztliche Praxis dar.

Aufklärung und Notfall: wann, wen und wo?
Aufklärungspflichten hinsichtlich Einwilligungsfähigkeit und Geschäftsfähigkeit bestehen bei Pflegebedürftigkeit unverändert fort. Gerade bei Schmerzen ist man gewohnt, im Einvernehmen mit dem Patienten sofort zu handeln. Besteht eine Betreuung oder Vollmacht, ist man auf der sicheren Seite, wenn man zunächst den Betreuer beziehungsweise den Bevollmächtigten aufklärt. Juristisch gesehen wird nur in einer akut lebensbedrohlichen Situation von einer mutmaßlichen Einwilligung ausgegangen – diese liegt im zahnärztlichen Bereich in aller Regel nicht vor. Patienten mit Abszessgeschehen, bei denen Gefahr für Leib und Leben besteht, sollten direkt in eine Fachklinik eingewiesen werden. Grundsätzlich kann sich nicht nur ein Patient, sondern genauso auch ein Betreuer gegen eine geplante Behandlungsmaßnahme entscheiden. Der (mutmaßliche) Wille des betroffenen Menschen steht immer im Vordergrund. Zu beachten ist weiterhin, ob und wenn ja, für welchen Aufgabenkreis (Gesundheitssorge, Vermögen, Aufenthalt, Rente, Wohnung) eine Betreuung beziehungsweise Vollmacht besteht.
Geräuschloses Arbeiten mit Flyern und Formularen
Für die Kommunikation mit Pflegeeinrichtungen und pflegenden Angehörigen sind Flyer und Formulare eine große Hilfe. Entscheidend ist dabei, zum richtigen Zeitpunkt die jeweils notwendigen Informationen zu vermitteln und zu bekommen. InfoFlyer, Aufnahmebogen, Überleitungsbogen, Dokumentationsblatt für Besuche und eine Pflegeampel – diese Instrumente für eine geräuschlose Kommunikation in der zahnärztlichen Betreuung pflegebedürftiger Menschen hat die Landeszahnärztekammer Baden-Württemberg erarbeitet und in den letzten Jahren immer weiter entwickelt (siehe Kasten).
Koffer packen – weniger ist mehr!
Bei pflegebedürftigen Menschen ist die Behandlungsindikation aufgrund der allgemeinmedizinischen Einschränkungen besonders streng zu stellen. Egal, wie umfangreich wir uns instrumentieren und ausstatten: Der kompromittierte Patient ist der eigentliche limitierende Faktor. Je besser man ausgestattet ist, um so mehr neigt man zu risikobehafteten Eingriffen (oder wird darum gebeten) und umso mehr steigt das Risiko einer Komplikation bei invasiver Behandlung.
Deshalb gilt: Weniger ist mehr! In jedem Fall hat sich für einen Hausbesuch eine Materialcheckliste für den Praxisalltag bewährt.
PZR light – lieber öfter, dafür kürzer
Um die Mundhygiene zu erhalten bei pflegebedürftigen Menschen, die in die Praxis kommen können, empfiehlt es sich, das Recall-Intervall zu verkürzen. Dabei bietet es sich an, auch die Dauer des Termins zu reduzieren und damit an die Belastbarkeit des Patienten anzupassen. Begleitpersonen zeigen für diese Strategie meist auch mehr Verständnis und können bei dieser Gelegenheit in gegebenenfalls notwendige Pflegemaßnahmen „eingelernt“ werden.
Den Rücken schonen, Aspiration vermeiden
Um die Mundgesundheit nachhaltig zu verbessern, reicht ein gutes Ausbildungskonzept für die Pflege allein nicht aus. Schulungen der Pflegekräfte in regelmäßigen Abständen (zum Beispiel 1x pro Jahr) steigern die Sensibilisierung für die Notwendigkeit guter Mundhygiene. Neben theoretischen Lerninhalten ist vor allem aber der Praxisbezug für den Pflegealltag etwa im Hinblick auf rückenschonendes Arbeiten unerlässlich.
Neben Informationen auf Landeszahnärztekammer-Ebene bietet die DGAZ verschiedene Schulungsmittel auf ihrer Homepage (www.dgaz.org) an. Die Bundeszahnärztekammer hat das Handbuch der Mundhygiene neu aufgelegt (www.bzaek.de – Für Zahnärzte – Alters- und Behindertenzahnmedizin) und zudem kurze Pflegefilmsequenzen zusammen mit dem Zentrum für Qualität in der Pflege (ZQP) entwickelt.
Kooperationsvertrag – nach wie vor mehr Chancen als Risiken!
Auch wenn seit dem 01.07.2018 der Mundgesundheitsstatus und der individuelle Mundgesundheitsplan sowie die Mundgesundheitsaufklärung nicht mehr an einen Kooperationsvertrag gebunden sind, so ist und bleibt der Kooperationsvertrag dennoch ein sinnvolles und wichtiges Element einer koordinierten und kooperativen zahnärztlichen und pflegerischen Versorgung von pflegebedürftigen Menschen in stationären Pflegeeinrichtungen.
Zusammenfassung
Die zahnmedizinische Betreuung pflegebedürftiger Menschen ist schon in naher Zukunft Aufgabe nahezu jeder allgemeinzahnärztlichen Praxis. Dies geschieht aber nicht von allein und schon gar nicht erfolgreich, wenn man sich dieser Aufgabe nicht aktiv stellt.
Dr. Elmar Ludwig
Zahnarzt, niedergelassen in Gemeinschaftspraxis in Ulm mit Kooperationsvertrag seit 1. April 2014
Landesbeauftragter der Deutschen Gesellschaft für Alterszahnmedizin e.V.
Referent der Landeszahnärztekammer Baden-Württemberg sowie stellvertretender Vorsitzender des Ausschusses für Alterszahnmedizin der BZÄK
elmar_ludwig@t-online.de
Leitfäden, Checklisten, Flyer, ...
Die Landeszahnärztekammer Baden-Württemberg hat auf ihrer Homepage verschiedene Materialien bereitgestellt:
einen gemeinsam mit der KZV Baden- Württemberg entwickelten Leitfaden zu Transportscheinen: www.lzk-bw.de/zahnaerzte/alters-und-behindertenzahnheilkunde/barrierefreiheit -> Leitfaden zur Verordnung einer Krankenbeförderung
eine Abhandlung über rechtliche Aspekte: www.lzk-bw.de/zahnaerzte/alters-und-behindertenzahnheilkunde/recht-abrechnung -> Rechtliche Aspekte im Behandlungsverhältnis ...
Materialien zur Kommunikation mit den Pflegeeinrichtungen: www.lzk-bw.de/zahnaerzte/alters-und-behindertenzahnheilkunde/flyer-formulare/
eine Checkliste für Hausbesuche: www.lzk-bw.de/zahnaerzte/alters-und-behindertenzahnheilkunde/barrierefreiheit -> Materialcheckliste für zugehende Betreuung
Materialien zur Schulung der Pflegekräfte: www.lzk-bw.de/zahnaerzte/alters-und-behindertenzahnheilkunde/vortrags-und-filmkommentierungen/
eine Seite zu Kooperationsverträgen: www.lzk-bw.de/zahnaerzte/alters-und-behindertenzahnheilkunde/kooperationsvertrag/
Literaturliste
1. Awano S, Ansai T, Takata Y, Soh I, Akifusa S, Hamasaki T, Yoshida A, Sonoki K, Fujisawa K, Takehara T. Oral health and mortality risk from pneumonia in the elderly. J Dent Res 87:334-339 (2008).
2. BZÄK/KZBV/DGAZ/BDO. Mundgesund trotz Handicap und hohem Alter – Konzept zur vertragszahnärztlichen Versorgung von Pflegebedürftigen und Menschen mit Behinderungen (2010).
3. Deschner J, Interaktionen zwischen Parodontitis und Systemerkrankungen. Der Freie Zahnarzt 62: 68-76 (2018).
4. DESTATIS. Statistisches Bundesamt: Pflegestatistik - Pflege im Rahmen der Pflegeversicherung - Deutschlandergebnisse - 2015, elektronische Publikation S. 5-7 Wiesbaden (2017).
5. Dörfer CE, Parodontitis und Allgemeingesundheit. zm 97: 3242-3250 (2007).
6. Dohlus B. Nur jede vierte Prothese frei von riskantem Zahnstein. prophylaxe impuls:15;190-192 (2011).
7. El-Solh AA. Assoziation zwischen Lungenentzündung und Mundpflege in Pflegeheim Einwohner. Lung 189 (3): 173–180 (2011).
8. Fitzpatrick J. Oral health care needs of dependent older people: responsibilities of nurses and care staff. J Adv Nurs 32:1325-1332 (2000).
9. J Dent Res. Mar;94(3 Suppl):28S-36S (2015).
10. Institut der Deutschen Zahnärzte (IDZ). Fünfte Deutsche Mundgesundheitsstudie. Köln (2016).
11. Kreissl ME, Eckardt R, Nitschke I. Mundgesundheit und Pneumonie – Der Mund als Keimreservoir für Pneumonien bei pflegebedürftigen Senioren. Quintessenz 59: 1089-1096 (2008).
12. Ludwig E. Zahn-, Mund und Zahnersatzpflege in der Altenpflegeausbildung. SZM – Zeitschrift für Senioren-Zahnmedizin; 1 (2): 1–9 (2013).
13. Müller F. Reduziert eine gute Mundhygiene das Pneumonie-Risiko? zm: 910-915 (2017).
14. Nitschke I. Fundamentals of dentistry for geriatric rehabilitation – an introduction to geriatric dentistry. Z Gerontol Geriatr 33:45-49 (2000).
15. Nitschke I, Ilgner A, Muller F. Barriers to provision of dental care in long-term care fa- cilities: the confrontation with ageing and death. Gerodontology 22:123-129 (2005).
16. Nitschke I. Zur Mundgesundheit von Pflegebedürftigen und Menschen mit Behinderungen in Deutschland – eine systematische Übersicht (Review) auf der Grundlage aktueller Einzelstudien (2000–2012). Institut der Deutschen Zahnärzte (IDZ-Information 3.12, 2012).
17. Taylor GW, Borgnakke WS. Periodontal disease: associations with diabetes, glycemic control and complications. Review. Oral Dis 14:191-203 (2008).
18. Tonetti MS, D'Aiuto F, Nibali L, Donald A, Storry C, Parkar M, Suvan J, Hingorani AD, Vallance P, Deanfield J. Treatment of periodontitis and endothelial function. N Engl J Med. 356:911-920 (2007).






