Die infizierte odontogene Zyste als diagnostisches Dilemma
Eine 13-jährige Patientin kam in Begleitung ihrer Mutter mit einer seit drei Tagen progredienten Schwellung des linken Unterkiefers in unsere Klinik. Zuvor war durch den niedergelassenen Zahnarzt nach initialer Bildgebung bei Verdacht auf Vorliegen einer infizierten follikulären Zyste (Abbildung 1) eine enorale Inzision mit Einlage einer Drainage zur Entlastung durchgeführt worden.
Im Lokalbefund zeigte sich eine stark druckdolente perimandibuläre Schwellung des linken Unterkiefers (Abbildung 2), wobei die junge Patientin aufgrund der Schmerzen ihren Speichel nicht mehr schlucken wollte. Zur Feststellung der Ausdehnung und Abgrenzung gegenüber Nachbarstrukturen erfolgte die weiterführende 3-D-Diagnostik mittels DVT (Abbildung 3). Aufgrund der klinisch ausgeprägten Beschwerdesymptomatik sowie radiologisch nicht eindeutigem Bild (follikuläre Zyste ausgehend von Zahn 38 beziehungsweise odontogene Keratozyste) erfolgten eine Probeexzision der Zystenwand sowie eine Erweiterung der Drainage in Intubationsnarkose. Der bereits vorhandene Schnitt wurde auf regio 35–37 vestibulär ausgeweitet und der subperiostale Knochen dargestellt.
Das Knochenfenster der regio 37/38 konnte ohne Beschädigung der Zystenwand abgehoben werden (Abbildung 4). Nach der Biopsie-Entnahme entleerte sich ein grießiges Material aus der Zyste. Es erfolgte eine ausgiebige Spülung, dann die Einlage einer neuen Drainage sowie eine postoperative i.v.-antibiotische Therapie mittels Ampicillin/Sulbactam (Unacid®).
Der weitere Verlauf gestaltete sich komplikationslos, so dass die Patientin nach einem dreitägigen stationären Aufenthalt in die ambulante Weiterbetreuung entlassen werden konnte. Die histologische Begutachtung der entnommenen Probe ergab in den überwiegenden Anteilen ein subepithelial gemischtes Entzündungsinfiltrat. Das dortige Plattenepithel zeigte sich mit ausgezogenen Retezapfen, intraepithelialen Entzündungszellen und einer Spongiosa deutlich entzündlich verändert. In anderen Abschnitten ließ sich ein flach strukturiertes Plattenepithel ohne Abfaltungen der Epitheltapete oder Tochterzysten erkennen. Wenige Bereiche imponierten mukoid mit einem proteoglycanreichen Stroma ohne Epitheltapete. Histopathologisch war dieser Befund mit einer durch eine Entzündung kaschierten follikulären Zyste vereinbar, wobei differenzialdiagnostisch eine orthokeratinisierte odontogene Zyste [Goedecke et al., 2017] nicht auszuschließen war.
Somit erfolgte die Indikationsstellung zur Zystektomie. Hier wurde die Raumforderung komplett in Einzelteilen aus der Knochenkavität gelöst, wobei sich am Boden des Defekts der retinierte und verlagerte Zahn 38 darstellte (Abbildung 5). Der nach Enukleation des Zystenbalgs kurzstreckig freiliegende Nervus alveolaris inferior wurde nicht touchiert und nach inspektorischer Kontrolle und Spülung der Wundhöhle durch Einlage einer Kollagenmembran geschützt. Die anschließende Augmentation der Kavität erfolgte mittels der gewonnenen Beckenkammspongiosa (Abbildung 6). Über den eingelegten Schmerzkatheter am Becken wurde intraoperativ die erste Dosis 0,5-prozentiges Bupivacain verabreicht.
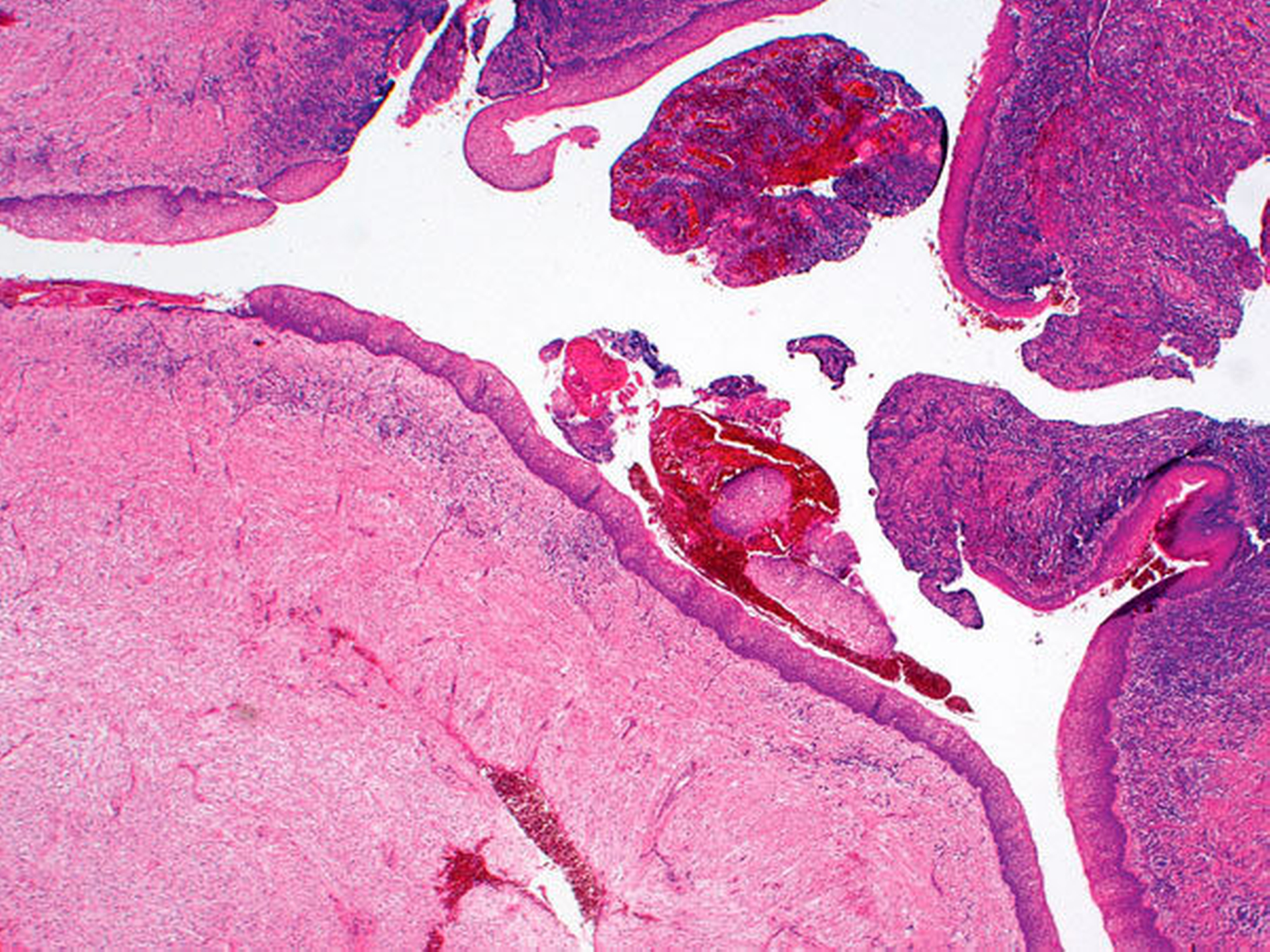
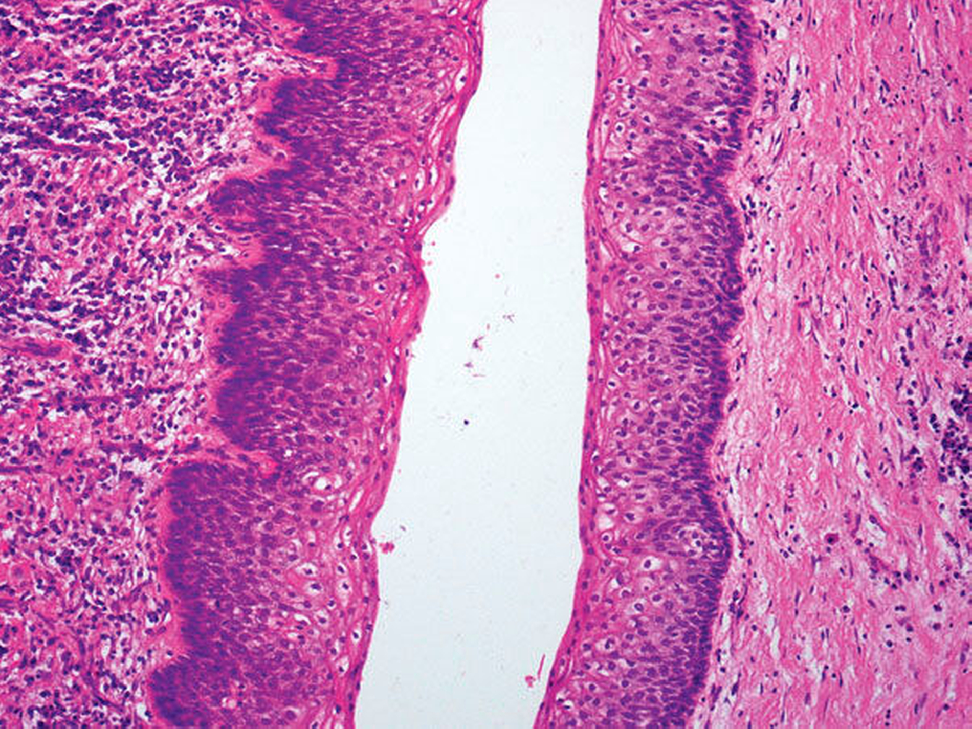
Die histopathologische Begutachtung des Resektionsmaterials zeigte eine plattenepithelial ausgekleidete Zyste mit herdförmiger chronischer Entzündung des Unterkiefers regio 36 bis 38 (Abbildungen 7 und 8).
Dieser Befund war in erster Linie verdächtig auf eine odontogene Keratozyste, wobei eine ungewöhnlich große follikuläre Zyste nicht auszuschließen war. Anhand der unbeschädigten Außenwand der Zyste konnte eine vollständige Entfernung der Zyste angenommen werden. Der postoperative Heilungsverlauf gestaltete sich bei reizlosen Wundverhältnissen komplikationslos, die Patientin konnte am dritten postoperativen Tag in die ambulante Nachsorge entlassen werden.
Eine initial bestehende leichte Hypästhesie des Nervus alveolaris inferior bildete sich im Verlauf der ersten Woche vollständig zurück. Engmaschige Kontrolltermine wurden vereinbart.
Diskussion
Eine Zyste stellt einen in sich geschlossenen, meist mit Epithel ausgekleideten pathologischen Hohlraum im Hart- oder Weichgewebe dar. Im Kiefer sind häufig die Frontzahnregion des Oberkiefers und die Seitenzahnregion des Unterkiefers betroffen. Die follikuläre Zyste gehört zu der Gruppe der odontogenen entwicklungsbedingten Kieferzysten. Sie entsteht im Bereich der Krone retinierter Zähne und stellt somit eine Fehlbildung der Zahnanlage dar. Mit einem Anteil von 14 bis 20 Prozent ist die follikuläre Zyste nach der radikulären Zyste [Kämmerer und Walter, 2011] die zweithäufigste Zystenform im Bereich des Kiefers und betrifft bevorzugt die regio 38/48, seltener auch maxilläre dritte Molaren und Eckzähne [Motamedi und Talesh, 2008; Srinivasa Prasad et al., 2007], wobei sich radiologisch eine scharf begrenzte unilokuläre Aufhellung mit sklerosiertem Randsaum und Verbindung zur Krone eines retinierten Zahnes zeigt [Ko et al., 1999].
Histologisch stellt sich die follikuläre Zyste mit einschichtigem, nicht keratinisiertem Plattenepithel und einer dünnen bindegewebigen Wand mit odontogenen Epithelresten dar. Die 2005 aktualisierte Auflage der WHO-Klassifikation der Kopf-Hals-Tumoren nannte die bis zum diesem Zeitpunkt als „odontogene Keratozyste“ beschriebene Entität aufgrund ihrer neoplastischen Eigenschaften erstmals als „keratozystisch odontogenen Tumor“ (KCOT) [Barnes et al., 2005]. Diese Nomenklatur wurde jedoch in der aktuellen Neuauflage der Klassifikation von 2017 wieder verlassen, wonach der KCOT wieder als odontogene Keratozyste bezeichnet wird [Soluk-Tekkesin und Wright, 2017; Baumhoer, 2017].
Definitionsgemäß versteht man unter einer odontogenen Keratozyste einen benignen uni- oder multizystischen Tumor odontogenen Ursprungs mit einer Auskleidung aus parakeratotisch verhornendem Plattenepithel und einem potenziell infiltrativ aggressivem Wachstum. Etwa die Hälfte aller Keratozysten entsteht im Mandibularbogen [Shear und Singh, 1978]. Mit einem multiplen Auftreten dieser Tumore ist bei Mutation des PTCH-1-Gens auf Chromosom 9 und Ausprägung des Gorlin-Goltz-Syndroms (Basalzellnävus-Syndrom) zu rechnen [Barnes et al., 2005].
Keratozysten wachsen potenziell lokal destruktiv und stellen sich radiologisch als runde oder ovale, scharf begrenzte Osteolysen mit bogenförmigem Rand und longitudinalem Wachstum dar [Menon, 2015]. In der Histopathologie ist in der Regel ein fünf bis acht Schichten umfassendes parakeratinisiertes Plattenepithel ohne Retezapfen erkennbar. Die Basalzellschicht besteht aus palisadenförmig angeordneten, kubischen Zellen mit apikal-ständigen, basophilen Nuklei, die die Keratozyste von anderen keratinisierten Zysten des Kiefers abgrenzt. Suprabasal können Mitosefiguren oder Epitheldysplasien beobachtet werden.
Die Differenzialdiagnostik zystischer Veränderungen im Kieferbereich gestaltet sich im klinischen Alltag schwierig. Follikuläre und Keratozysten weisen ein epidemiologisch vergleichbares Vorkommen mit einem Erkrankungsgipfel zwischen dem 20. und dem 30. Lebensjahr auf, wobei Männer im Durchschnitt häufiger betroffen sind als Frauen; somit passt der vorliegende Fall nicht in dieses Schema. Klinisch können sich beide Formen durch Schmerzen und eine Schwellung der betroffenen Region äußern, stellen aber häufig einen Zufallsbefund dar. Das radiologische Bild zeigt scharf begrenzte Osteolysen, vorzugsweise mit Lokalisation im posterioren Mandibularbereich. Auch histopathologisch ist die Unterscheidung – wie im vorliegenden Fall – nicht eindeutig, da sich inflammatorisch veränderte follikuläre Zysten trotz ihres primär nicht keratinisierten Plattenepithels wie Keratozysten darstellen können [Bilodeau, 2017].
Die Abgrenzung von benignen Läsionen zu neoplastischen Veränderungen stellt eine Herausforderung im klinischen Alltag dar, ist jedoch aufgrund der hohen Rezidivrate und eines potenziell infiltrativen Wachstums bei seltener dysplastischer Transformation der Keratozysten umso entscheidender, da sich die Radikalität einer operativen Therapie und die Nachsorge gegenüber follikulären Zysten unterscheiden. Insbesondere bei der odontogenen Keratozyste ist aufgrund der hohen Rezidivrate (2,5 Prozent bis 62 Prozent ), einem potenziell infiltrativen Wachstum und der Tendenz zu multilokulären Tochterzysten die vollständige Entfernung und die sorgfältige Nachsorge des Patienten von großer Bedeutung.
Diana Heimes, cand. med.
Universitätsmedizin Rostock
Schillingallee 35
18057 Rostock
Prof. Dr. Andreas Erbersdobler
Universität Rostock
Medizinische Fakultät
Institut für Pathologie
Strempelstr.. 14
18055 Rostock
PD Dr. mult. Peer W. Kämmerer, MA, FEBOMFS
Stellvertretender Klinikdirektor/Leitender Oberarzt der Klinik und Poliklinik für Mund-, Kiefer- und Gesichtschirurgie der Universitätsmedizin Mainz
Augustusplatz 2
55131 Mainz
peer.kaemmerer@unimedizin-mainz.de
Fazit für die Praxis
Bei zystischen Raumforderungen im Kieferbereich ist die histopathologische Aufbereitung der Präparate obligat.
Die Abgrenzung von malignen Entitäten ist entscheidend.
Die Therapie der zystischen Läsionen richtet sich nach dem histologischen Befund.
Die odontogene Keratozyste bedarf einer kompletten Entfernung.
Literaturverzeichnis
1. Goedecke, M., Prall, F. und Kämmerer, P. W. (2017). „Der besondere Fall mit CME: Zufallsbefund orthokeratinisierte odontogene Zyste.“ Zahnärztliche Mitteilungen 107(9): 50-53.
2.
2. Kämmerer, P. W. und Walter, C. (2011). „Großflächige radikuläre Zyste des Oberkiefers.“ Zahnärztliche Mitteilungen 101(4): 46-48.
3.
3. Motamedi, M. H. K. und Talesh, K. T. (2008). „Management of extensive dentigerous cysts.“ Br Dent J 198(4): 203-206.
4.
4. Srinivasa Prasad, T., Sujatha, G., Niazi, T. M. und Rajesh, P. (2007). „Dentigerous cyst associated with an ectopic third molar in the maxillary sinus: a rare entity.“ Indian J Dent Res 18: 141-143.
5.
5. Ko, K. S. C., Dover, D. G. und Jordan, R. C. K. (1999). „Bilateral dentigerous cysts—report of an unusual case and review of the literature.“ J Can Dent Assoc 65: 49-51.
6.
6. Barnes, L., Eveson, J. W., Reichart, P. und Sidransky, D. (2005). Pathology and genetics of head and neck tumours. Lyon, IARC Press.
7. Soluk-Tekkesin, M. und Wright, J. M. (2017). „The World Health Organization Classification of Odontogenic Lesions: A Summary of the Changes of the 2017 (4th) Edition.“ Turk Patoloji Derg.
8. Baumhoer, D. (2017). „[Odontogenic tumours and bone tumours of the jaw : Changes in the new WHO classification].“ Pathologe.
9. Shear, M. und Singh, S. (1978). „Age-standardized incidence rates of ameloblastoma and dentigerous cyst on the Witwatersrand, South Africa.“ Community Dent Oral Epidemiol 6: 195-199.
10.
10. Menon, S. (2015). „Keratocystic Odontogenic Tumours: Etiology, Pathogenesis and Treatment Revisited.“ J Maxillofac Oral Surg 14(3): 541-547.














