„All-on-4“ oder Zahnerhalt? Die klinische Lösung des Falls
Die beschriebene ethische Falldiskussion fußt auf einem realen Fall. In diesem Fallbericht wird in detaillierten Schritten beschrieben, welche Art der Versorgung tatsächlich durchgeführt wurde und wie die Patientin auf diese Versorgung reagiert hat.
Somit ergänzt dieser Fallbericht die ethische Fallanalyse in plastischer Weise und lässt die dort getroffenen Abwägungen in einem neuen Licht erscheinen.
Anamnese
Im Januar 2013 stellte sich die damals 63-jährige Patientin erstmalig in der Klinik für Zahnärztliche Prothetik und Biomaterialien vor. Sie wies einen guten allgemeinen Gesundheitszustand auf und nahm keine Medikamente ein.
Die beiden bisher konsultierten Zahnärzte hatten ihr für den Oberkiefer (implantat)prothetische Versorgungen auf der Grundlage der Extraktion aller verbliebenen Zähne vorgeschlagen und die geplante Reihenextraktion als alternativlos bezeichnet. Der Wunsch der Patientin war demgegenüber ein festsitzender Zahnersatz (ZE) unter Einbezug aller erhaltungswürdigen Zähne. Die Patientin hörte zufällig ein Radio-Interview mit Prof. Dr. Wolfart, dem Direktor der Klinik für Zahnärztliche Prothetik in Aachen, in dem dieser sich (unter anderem) gegen eine vorschnelle Extraktion grundsätzlich erhaltungswürdiger Zähne aussprach. Vor diesem Hintergrund fasste sie den Entschluss, sich in Aachen vorzustellen.
Ausgangsbefunde und Diagnosen
In der Erstuntersuchung ergab sich ein unauffälliger extraoraler Befund. Die Untersuchung der Lippen, der Zunge und der Mundschleimhaut zeigte keine pathologischen Veränderungen. Die dentale und parodontale Untersuchung ergab multiple insuffiziente Kronen, moderat bis teilweise stark erhöhte Sondierungswerte an mehreren Zähnen und unter anderem eine apikale Aufhellung am endodontisch insuffizient versorgten Zahn 23, der zudem noch bis auf Gingivaniveau kariös war. Der Zahn 12 war im zervikalen Bereich stark verfärbt (Rezession) und laut Röntgenanalyse mit einem Stiftaufbau versorgt. Beide Oberkiefermolaren wiesen einen hohen Attachmentverlust und einen Furkationsgrad von II-III auf. Insgesamt war der Zahnersatz ungefähr 15 Jahre alt.
Aufgrund der Anamnese sowie der klinischen und der radiologischen Befunde ergaben sich folgende Diagnosen:
Extraoral: unauffällig, guter Allgemein- und Ernährungszustand
Intraoral: unauffällig
Dental: konservierend insuffizient versorgtes adultes Gebiss
Parodontal: leichte (12, 11, 22, 23, 35, 47) und moderate bis schwere lokalisierte, chronische Parodontitis an 16, 21, 36, 44, 46, 26; Furkationsgrad II-III an 16, 26
Prothetisch: prothetisch insuffizient versorgtes adultes Gebiss: insuffizienter Kronen- und Brücken-ZE an 16, 13, 23, 26, 36, 37, 44–47
Röntgenologisch: generalisierter, leichter, horizontaler Knochenabbau mit teilweise schweren vertikalen Defekten an 16, 26, 36, 44, 46; Sekundärkaries an 13,23; insuffiziente Wurzelkanalfüllungen an 23 und 47
Prognose: nicht erhaltungswürdig für die Zähne 16, 26; zweifelhaft für die Zähne 13, 23, 47

Planung
Aufgrund der hoffnungslosen Prognosen kamen beide Oberkiefermolaren 16 und 26 nicht mehr als Pfeilerzähne in Betracht. Bis auf die Zähne 13, 12 und 23 erschienen die Oberkiefer-Frontzähne erst einmal sicher, so dass der Patientin signalisiert werden konnte, dass nicht alle Oberkieferzähne gezogen werden müssen.
In Anbetracht der guten Mundhygiene, einer hohen Adhärenz und einer weit überdurchschnittlichen Motivation der Patientin wurde gemeinsam beschlossen, den Erhalt der fraglichen, jedoch strategisch wichtigen Zähne anzustreben. So wurde zunächst die Krone an Zahn 13 entfernt, um die Restzahnhartsubstanz nach Kariesexkavation beurteilen zu können. An Zahn 23 sollte nach Kronenentfernung eine endodontische Behandlung vorgenommen werden. Bei erfolgreichem Verlauf sollte anschließend im Rahmen einer Implantatversorgung in beiden Seitenzahnbereichen eine chirurgische Kronenverlängerung (ARF) an dem Wurzelstamm des Zahnes 23 durchgeführt werden – mit dem Ziel, diesen später als sicheren Pfeiler mit einer Krone versorgen zu können. An Zahn 47 wurde ebenfalls eine Revision der Wurzelfüllung durchgeführt. Die Behandlungsmaßnahmen ergaben im weiteren Verlauf eine Erhaltungsmöglichkeit aller drei betroffenen Pfeilerzähne.

Nachdem für die Patientin zu Beginn der Behandlung der Zahnerhalt und die Funktion im Vordergrund gestanden hatten, wurde durch ein angefertigtes Frontzahn-Mock-up im Oberkiefer auch der Wunsch nach einer ästhetischen Verbesserung der Situation geweckt.
Somit ergab sich folgender Therapieplan, der eine ästhetische Neuversorgung in der Front mit der Harmonisierung der beiden zentralen Schneidezähne beinhaltete.
1. Extraktion der Zähne 16 und 26 sowie Eingliederung einer Interimsprothese
2. Schaffung einer guten Mundhygiene und Beginn einer systematischen PAR-Behandlung
3. Endorevision der Zähne 23, 47 und EKR des Zahnes 13 zwecks Evaluation der Rest-zahnhartsubstanz
4. Sinusaugmentation und (navigierte) Implantation im Oberkieferseitenzahnbereich, chirurgische Kronenverlängerung (ARF) an Zahn 23
5. EKR der restlichen Pfeiler, Stiftaufbau an 23 mit provisorischer Versorgung und Umbau der Interimsprothese (mit neuer Klammer an 23)
6. Optimierung der rot-weißen Ästhetik an 11, 21 mittels chirurgischer Kronenverlängerung (ARF) an 21 und Rekonstruktion der keratinisierten Gingiva an 46 mittels Freiem Schleimhauttransplantat (FST)
7. Freilegung der Implantate
8. Prothetische Phase
9. Eingliederung in ein Nachsorgeprogramm
Vorbehandlung
Nach der gemeinsamen Festlegung der Therapie begann die Behandlung mit einer Hygienesitzung, in der (standardmäßig) die aktuelle Mundhygiene begutachtet, Optimierungspotenziale kommuniziert und Instruktionen gegeben wurden. Anschließend fand eine Professionelle Zahnreinigung statt. Wegen der fraglichen Prognose der beiden Zähne 13 und 23 wurden zunächst Silikonschlüssel im Oberkieferseitenzahnbereich angefertigt. Die Brücken wurden entfernt, die Zähne nach Kariesexkavation evaluiert. Beide Zähne konnten erhalten werden. An Zahn 13 musste lediglich eine Aufbaufüllung gelegt werden, während Zahn 23 bis auf Gingivaniveau kariös war und somit nicht sofort mit einem Provisorium zu versorgen war. Im Anschluss wurde anhand von Duplikaten der Situationsmodelle eine Interimsprothese mit Klammern an den Zähnen 13 und 22 angefertigt. Zahn 23 sollte zunächst verdeckt bleiben, bis die Wurzelfüllung erfolgreich abgeschlossen war und im Seitenzahnbereich die chirurgischen Eingriffe durchgeführt werden konnten

Weiterhin wurden die Brücke 44–46 und die Krone 47 entfernt, der Zahn 47 endodontisch erfolgreich revidiert, Aufbaufüllungen gelegt und eine provisorische Versorgung angefertigt. Auch wurde eine geschlossene Parodontitis-Behandlung an den betroffenen Zähnen durchgeführt. Eine Reevaluation nach über sechs Monaten ergab insgesamt einen Therapieerfolg bis auf den Zahn 44. Hier wurde anschließend ein offenes Vorgehen mit geführter Knochenregeneration (GBR) mittels Eigenknochen und porciner Membran (Bio-Gide, Geistlich, Deutschland) angewendet. Parallel, jedoch zweizeitig, wurden die Sinusaugmentationen und die Implantationen durchgeführt.
Die Abbildungen 3a bis 3g zeigen die intraorale und die röntgenologische Situation nach den beschriebenen Vorbehandlungen mit und ohne Interimsversorgung. Der Zahn 23 ist zu diesem Zeitpunkt erfolgreich wurzelbehandelt und von der Interimsprothese noch bedeckt.

Im nächsten Schritt wurde die Oberkieferfrontzahnsituation bearbeitet, der Eckzahn 23 aufgebaut und mit einem Provisorium versorgt und die Interimsprothese umgestaltet. Zur Veranschaulichung wurden die ästhetischen Korrekturmöglichkeiten in der Front via direktem Mock-up an den Zähnen 11 und 21 visualisiert. Dabei wurde der Zahn 21 mit einem schwarzenFilzstift inzisal optisch gekürzt. Zervikal wurde er dafür mit einem einfachen Anbau mit Komposit „verlängert“, während an Zahn 11 lediglich im inzisalen Bereich Komposit aufgetragen wurde, um die sagittal abweichende Angulation der Zähne auszugleichen (Abbildungen 4a bis 4d).
Das Ergebnis sagte sowohl der Patientin als auch dem Behandlerteam zu und wurde dem zahntechnischen Labor als Referenz für ein idealisiertes Wax-up mittels Gesichtsbogenregistrierung, Kieferrelationsbestimmung und Alginat-(über-)abformungen übermittelt. Im Labor wurde die Prothese zusätzlich noch in regio 23 reduziert, ein Kunststoffzahn aufgestellt und eine Klammer für den zukünftigen Pfeilerzahn 23 in die Prothese eingebaut (Abbildungen 4e bis 4g). Zuletzt wurde noch eine Tiefziehfolie über einem Duplikat des Wax-ups für die Herstellung eines direkten Provisoriums angefertigt.
Die Abbildungen 5a bis 5j zeigen den detaillierten Ablauf des folgenden Behandlungsabschnitts, nämlich die Entfernung der Frontkronen, den direkten plastischen Stiftaufbau an Zahn 23 mit einem Titanstift (ER-System, Komet, Deutschland) und einem dualhärtenden Komposit für Stumpfaufbauten (Luxacore Z, DMG, Deutschland), die Vorpräparation an allen Zähnen und die provisorische Versorgung. Eine minimalinvasive, weitestmöglich schmelz-begrenzte Präparation erfolgte an Zahn 11 für die spätere Aufnahme eines Full Veneers.
In den Abbildungen 5i bis 5j ist eine deutliche Harmonisierung der ästhetischen Erscheinung zwischen dem Zustand vor und nach Versorgung mit dem Provisorium anhand des idealisierten Wax-ups zu erkennen.
Nachdem nun die beiden mittleren Schneidezähne inzisal auf eine symmetrische Länge und Form eingestellt wurden (Abbildung 6a), mussten die Zahnlängen in zervikaler Richtung harmonisiert werden. Hierfür wurde eine minimalinvasive chirurgische Kronenverlängerung nach dem Konzept von Schwenk und Striegel durchgeführt (Abbildungen 6b bis 6d), die sich für kleine Korrekturen in der ästhetischen Zone sehr gut anbietet, da sie sehr schonend und ohne jegliche chirurgische Lappenbildung durchzuführen ist und eine schnelle Heilung der Gewebe ermöglicht (Abbildungen 6e und 6f). Als weitere Maßnahmen seien noch die Transplantation keratinisierter Gingiva in regio 45–46 mittels FST aus dem rechten Gaumen (Abbildung 6f) und die Implantatfreilegung erwähnt.
Prothetische Phase
Nach Abschluss aller Vorbehandlungsmaßnahmen und der Einhaltung der notwendigen Heilungszeiten nach den erfolgten perioprothetischen, chirurgischen Eingriffen konnte nun die prothetische Phase beginnen, die das Nachpräparieren der Zähne, die definitive Abformung der Zähne und Implantate, die professionelle Farbbestimmung, die Kieferrelationsbestimmung, die Abutment-, Gerüst-, Rohbrand- und Ästhetikanprobe(n) und die Fertigstellung des Zahnersatzes beinhaltete (Abbildungen 7a bis 7h).

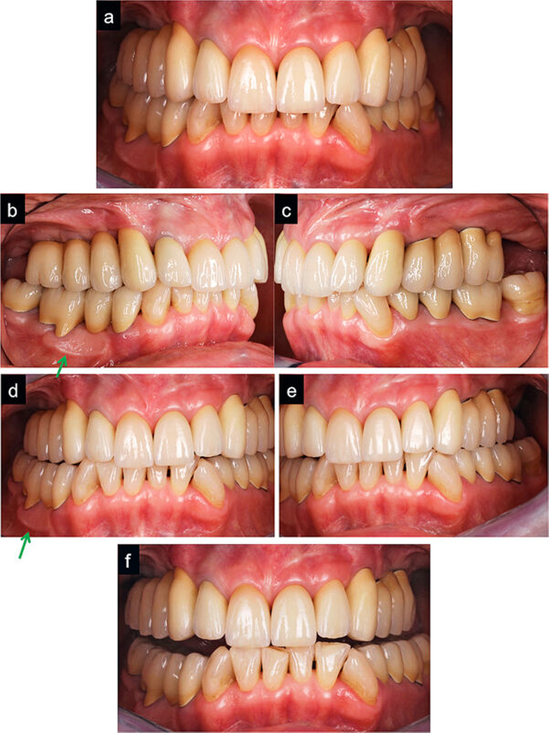
In der ästhetischen Zone der Oberkieferfront wurden an Zahn 11 ein individuell verblendetes Full Veneer auf Basis eines Lithiumdisilikatkeramikgerüsts und an den übrigen Zähnen in regio 13–23 vollkeramische, vollverblendete Kronen auf Basis eines Zirkoniumdioxidgerüsts angefertigt. Bei den Versorgungen im Seitenzahnbereich wurden vollverblendete, metallkeramische Versorgungen mit feinem Metallrand verwendet, lediglich an 37 wurde eine monolithische Teilkrone aus Lithiumdisilikatkeramik angefertigt. Die Implantatbrücken wurden aufgrund von ungünstigen Implantatangulationen, die keine okklusale Verschraubung ermöglichten, zementiert. Aufgrund der geringen Lachhöhe im Oberkiefer-Seitenzahnbereich konnten hier die Präparationsränder der Abutments epigingival gelegt werden und waren somit gut von Zementüberschüssen zu reinigen. Es wurde auf eine reinigbare Konstruktion des Zahnersatzes geachtet. Als Okklusionskonzept wurde eine Front-Eckzahn-geschützte Okklusion realisiert (Abbildungen 8a bis 8f).
Bei einem Kontrolltermin zwei Wochen nach Eingliederung zeigte sich die Patientin mit dem Zahnersatz sehr zufrieden (Abbildungen 9a bis 9c). In einem aktuellen Recalltermin 2,5 Jahre nach Eingliederung ergab der parodontale Befund physiologische Sondierungswerte. Auch die Panoramaschichtaufnahme offenbart eine stabile Situation.
Schlussfolgerung
Nach einer komplexen Therapie mit Maßnahmen wie zum Beispiel beidseitigem Kieferhöhlenaufbau, Implantatversorgung, Parodontitistherapie und Zahnfleischtransplantationen konnte die Patientin mit festsitzendem Zahnersatz in Ober- und Unterkiefer funktionell und ästhetisch zufriedenstellend entlassen und in ein Mundhygiene-Nachsorgeprogramm aufgenommen werden. Die Patientin bedankte sich zum Abschluss mit einem emotionalen Brief, in dem sie ihre initialen Sorgen und ihre Freude und Dankbarkeit nach der Behandlung ausdrückte.
Die Autoren bedanken sich bei ZTM Volker Weber und ZTM Nancy Mirschel, Impladent, Aachen, für die zahntechnische Arbeit und die gute Kommunikation.










