Die direkte Komposit-Teilkrone
Goldrestaurationen im Seitenzahnbereich gelten als die haltbarsten und wertigsten Restaurationen überhaupt [Donovan et al., 2004; Erpenstein et al., 2001]. Als Teilkronen sind sie sogar bei wurzelkanalbehandelten Zähnen allen anderen Restaurationsvarianten hinsichtlich ihrer Lebenserwartung überlegen [Dammaschke et al., 2013].
Je mehr Flächen einer Restauration versorgt werden, desto länger ist die Verweildauer im Mund. Bei mehr als dreiflächigen Goldinlays lag einer Studie zufolge die Überlebensrate nach 25 Jahren bei 85 Prozent [Erpenstein et al., 2001]. Dies entspricht einer jährlichen Verlustrate von 0,6 Prozent – ein Wert, der mit anderen Restaurationsverfahren schwer erreichbar ist [Manhart et al., 2004].
Im Hinblick auf diese Erfahrungen wollen manche Eltern auch im Munde nur das Beste für ihre Kinder und entscheiden sich deshalb schon bei initialen Läsionen manchmal für eine Goldversorgung. Dass dieses nicht immer die beste Entscheidung ist, soll der folgende Fall zeigen.
Der Fall
Die 20-jährige Patientin stellte sich zusammen mit ihrer Mutter in der zahnärztlichen Praxisklinik mit Beschwerden an Zahn 26 vor (Abbildung 1). Es zeigte sich ein generell sehr gut gepflegtes Gebiss mit kleinen Füllungen, die eher einer erweiterten Fissurenversiegelung entsprachen. Lediglich an Zahn 26 imponierte ein großes mehrflächiges Goldinlay, das im Prinzip einer Gold-Teilkrone entsprach.
Der Zahn war heiß-/kalt- und diskret perkusionsempfindlich. Die Goldrestauration wurde vor etwa zwei Jahren eingegliedert und machte seitdem latent Beschwerden. Daraufhin wurde die Patientin bereits mehrfach beim Erstbehandler vorstellig, der kontinuierlich Einschleifmaßnahmen vornahm.
Eine Röntgendiagnostik lehnte die Patientin ab. Da aufgrund des Beschwerdebildes eine Behandlungsindikation vorlag, aber noch keine Indikation für eine Wurzelkanalbehandlung gestellt werden konnte, wurde im Konsens mit der Patientin entschieden, die Goldrestauration zur weiteren klinischen Diagnostik zu entfernen.
Nach Lokalanästhesie (Ubistesin 1/200.000, 1,5 ml) erfolgte nach Legen von zwei Trennschnitten mit einem Hartmetall-Kronenauftrenner die Entfernung der Gold-Restauration. Unter der Teilkrone befand sich keine Unterfüllung und ein völlig kariesfreier Kavitätenboden ohne jegliche Anzeichen einer Fraktur.
Da somit Sekundärkaries und eine Infraktion als Ursache der Beschwerden ausgeschlossen werden konnten, blieb als Ursache der Heiß-/Kalt-Beschwerden im Prinzip die fehlende Zementunterfüllung unter der großflächig auf dem Dentin aufsitzenden Metallrestauration, welche sämtliche Temperaturspitzen ungepuffert auf das Dentin weiterleitete.
Dass die klassische Lehrbuchmeinung [Hellwig et al., 1999], unter Metallrestaurationen (Amalgam, Gold, NEM) immer eine Unterfüllung zu legen, wirklich Sinn macht, zeigt der vorliegende Fall somit in aller Deutlichkeit.
Zur Neuversorgung standen drei Versorgungsszenarien zur Wahl:
Eine erneute Goldversorgung – allerdings unter Ergänzung einer Glasionomerzement-Unterfüllung.
Ein mehrflächiges Keramikinlay oder Polymerinlay.
Eine direkte Kompositrestauration mit Einbeziehung beider palatinaler Höcker.
Die Variante 1, die erneute Goldversorgung, wurde nicht empfohlen, weil hierfür unnötig gesunde Zahnhartsubstanz zur Schaffung des Platzes für eine Unterfüllung hätte geopfert werden müssen. Zudem war die Prognose des Zahns zu dem Zeitpunkt noch ungewiss, da eine spätere endodontologische Behandlung nicht völlig ausgeschlossen werden konnte. Somit machte es wenig Sinn, teure indirekte Versorgungen in Betracht zu ziehen. Daher schied die Versorgungsvariante 2 ebenso aus.
Was blieb, war die Empfehlung für die minimalinvasivste Versorgungsvariante: die direkte Kompositrestauration. Hierfür war keinerlei Neu- und Umpräparation erforderlich; lediglich die Verbundflächen zur Zahnhartsubstanz wurden mit einem Feinkorndiamanten angefrischt. Bei direkten Kompositversorgungen von vormals mit Gold restaurierten Zähnen kann die Federrand-Präparation der Vorpräparation belassen werden. Bei Keramik-Neuversorgungen wäre die Schaffung einer planen Stufe zur Eliminierung der spitzen Winkel erforderlich gewesen, was wiederum eine unnötige Tieferlegung der Präparationsränder zur Folge gehabt hätte.
Bei direkten Kompositrestaurationen ist hingegen die postoperative Sensitivitätsrate signifikant niedriger, wenn keine Unterfüllung gelegt wird – bedingt durch die volladhäsive Anbindung und die bakteriendichte Versiegelung [Pallesen et al., 2014]. Zudem gibt es kaum einen besseren Thermoisolator als Komposit oder Keramik. Aufgrund eigener sehr guter Erfahrungen zum Ersatz von Goldrestaurationen durch Komposit [Ernst, 2006; Ernst, 2015; Ernst, 2016] schien die direkte Versorgungsvariante die Therapie der Wahl zu sein.
Die Abbildung 2 zeigt die nachpräparierte und mit einem zirkulären, anatomischen Tofflemire-Band (Kerr) isolierte Kavität. Die approximale Abdichtung und Separation erfolgten mithilfe eines Compositight Fusion Wedges (Garrison) mesial und eines G-Wedges (Garrison) distal.
Zur adhäsiven Vorbehandlung wurde ein Universaladhäsiv (Scotchbond Universal, 3M) verwendet. Aufgrund der vorliegenden Überreizung des großflächig freigelegten okklusalen Dentins sollte hier selbstkonditionierend [Marchesi et al., 2014] vorgegangen werden.
Die zusätzliche Schmelzätzungsoption der Universaladhäsive stellte dort eine optimale adhäsive Anbindung sicher [Loguerico et al., 2015; Takamizawa et al., 2016; Takamizawa et al., 2015]. Da eine spätere Neuversorgung nicht unwahrscheinlich erschien, erfolgte die Applikation eines weiß-opak-eingefärbten Flow-Komposits (Venus Diamond Flow, Kulzer) [Ernst, 2014] auf die approximalen und palatinalen Präparationsgrenzen (Abbildung 3). Dies erleichtert eine spätere Detektion und damit eine potenzielle Wiederentfernbarkeit deutlich.
Als Kompositrestaurationsmaterial kam Filtek One (3M), ein ästhetisches Bulkfill-Komposit, in der Farbe A2 zur Anwendung. Aufgrund der Abstimmung des Lichtbrechungsindexes auf den Polymerisationsprozess konnte bei dem Material erstmals bei einem pastösen Bulkfill-Material eine sehr gute Lichtweiterleitung zur Sicherstellung einer suffizienten Polymerisationstiefe erzielt werden.
Der im unausgehärteten Zustand gleiche Lichtbrechungsindex von Matrix und Füllkörpern erlaubt eine sehr gute Lichtweiterleitung zur Sicherstellung einer suffizienten Polymerisationstiefe von 4 mm. Durch die Änderung dieses Indexes während der Polymerisation treten vorrangig Lichtstreueffekte auf, was zu einem opakeren Erscheinungsbild nach der Polymerisation führt.
Da kein Kavitätenanteil > 4 mm war, hätte die Gesamtversorgung theoretisch in einer „Bulk“-Applikation erstellt werden können. Da jedoch Höcker modelliert werden sollten, war es sinnvoll, hier dennoch in vertikalen Inkrementen vorzugehen, die einzeln mit einem LED-Polymerisationsgerät (Elipar Deep Cure, 3M) für jeweils 20 Sekunden ausgehärtet wurden.
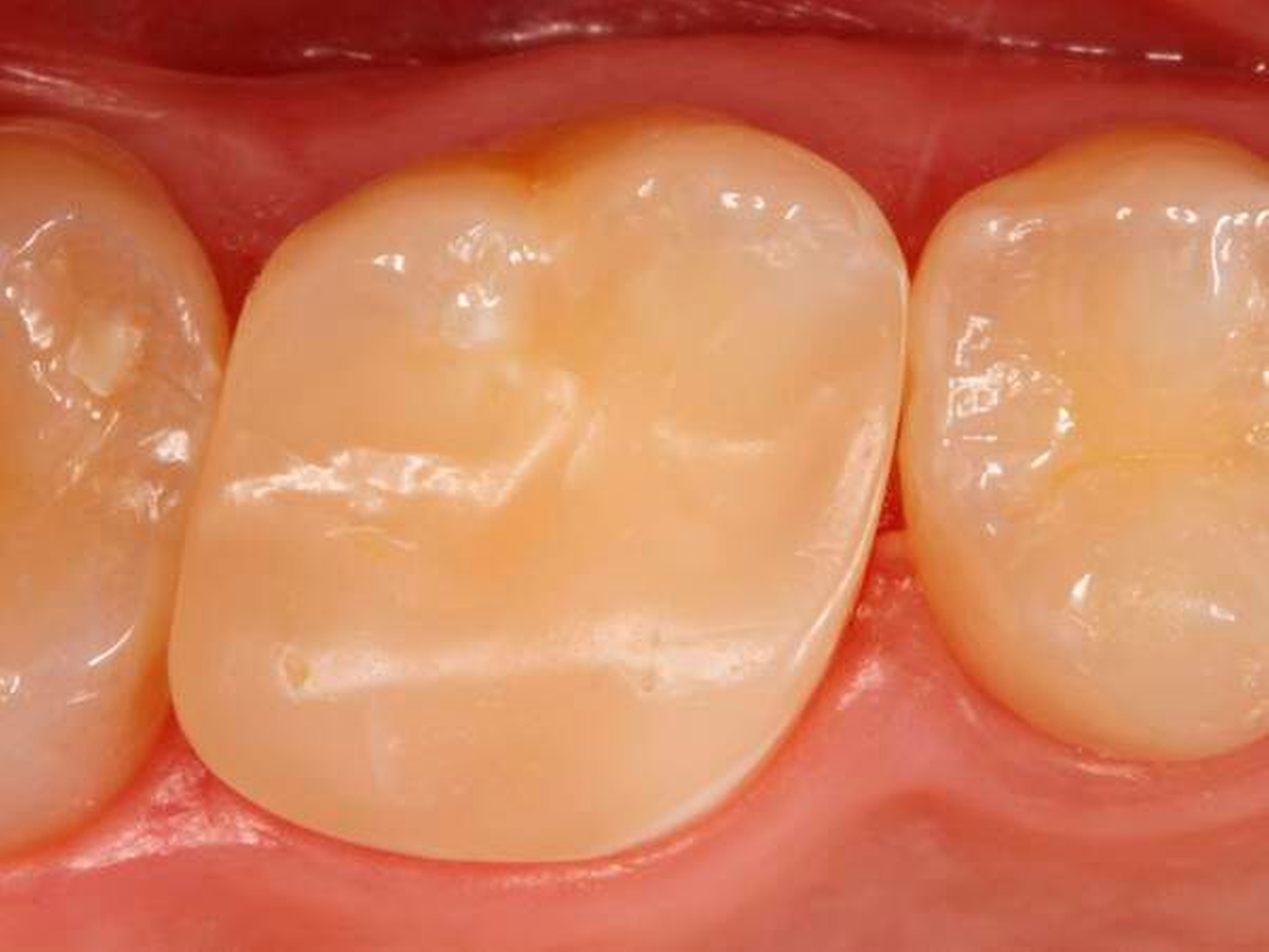
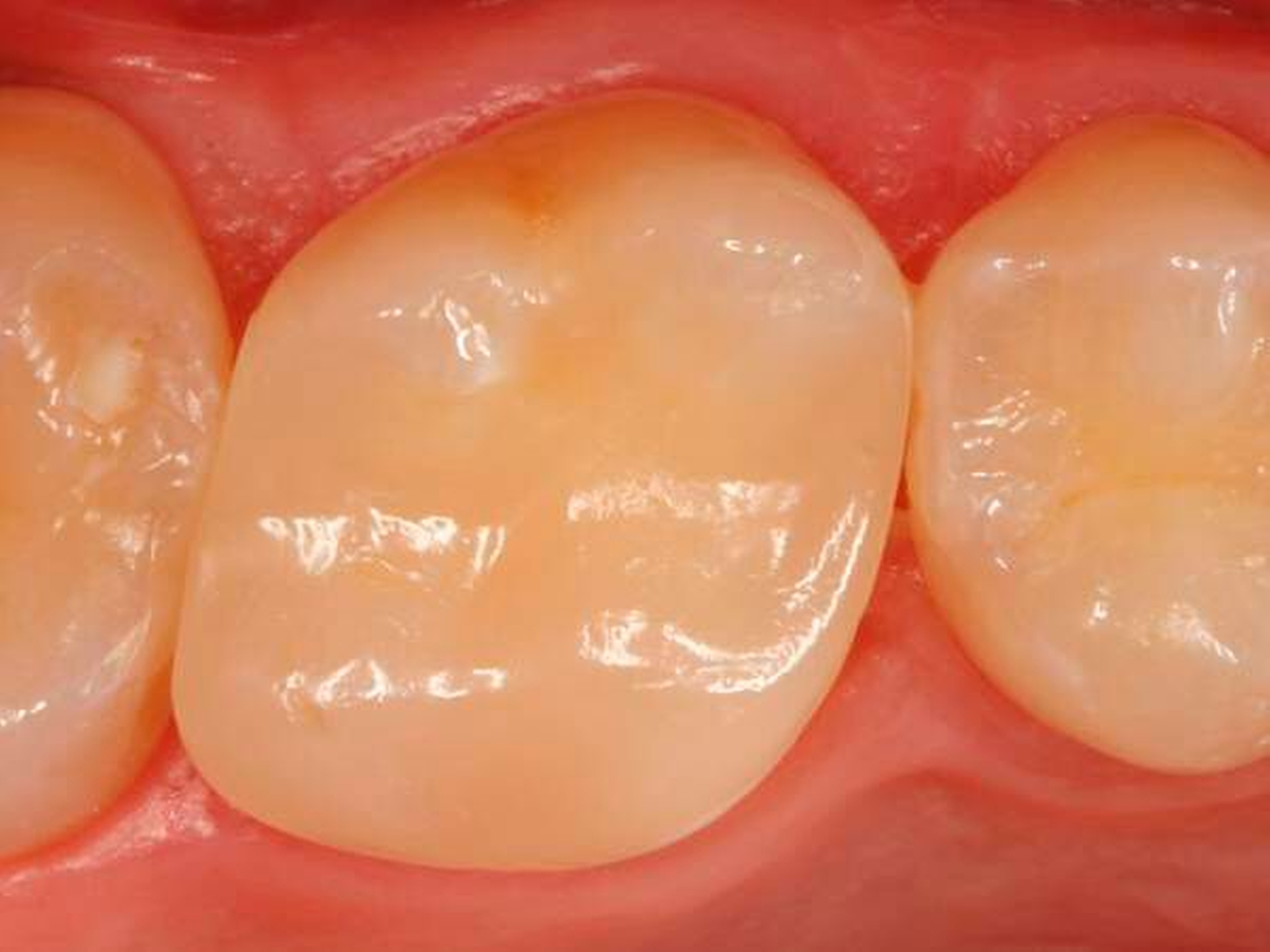
Abbildung 4 zeigt die fertig ausgearbeitete und polierte Restauration unmittelbar nach Behandlungsabschluss, Abbildung 5 bei einer weiteren Kontrolle nach einem Jahr: Der Zahn war inzwischen komplett beschwerdefrei, zeigte im Sensibilitätstest vergleichbare Reaktionen wie die Nachbarzähne. Die Oberfläche erschien allerdings etwas matt, was aber durch eine kurze Nachpolitur (Sof-Lex Polierrad „sehr fein“, 3M) wieder in eine hochglänzende Oberfläche verwandelt werden konnte (Abb. 6). Die Restauration integrierte sich ästhetisch und funktionell optimal in die umgebende Zahnhartsubstanz.
Abbildung 7 zeigt die in der Recall-Sitzung angefertigte Routine-Bissflügelaufnahme, aus der die geringe vertikale Dimensionierung der Versorgung gut erkennbar ist. Die Patientin war mit dieser Neuversorgungsvariante hochzufrieden. Eine Neuversorgung mit einer indirekten Restauration erscheint somit zunächst nicht erforderlich. Auf diese Weise konnte der Zahn mit (im Vergleich zu den angedachten indirekten Restaurationsvarianten) vergleichbar geringem Aufwand zahnhartsubstanzschonend neu versorgt werden.
Fazit
Es wäre vermessen zu erwarten, dass die vorgestellte Kompositrestauration an die 40-Jahres-Ergebnisse der Tucker-Goldinlays [Donovan et al., 2004] heranreichen wird. Selbst wenn sie aber nach 10 bis 15 Jahren repariert oder ausgetauscht werden müsste, bleibt immer noch ein geringerer substanzieller und finanzieller „Kollateralschaden“ zurück. Somit spricht grundsätzlich sehr viel für die direkte Versorgung auch größerer Defekte mit Komposit – auch unter Einbeziehung mehrerer Höcker, wie es selbst die aktuelle Leitlinie zu Kompositversorgungen im Seitenzahnbereich vorsieht [Federlin et al., 2016].
Bulkfill-Konzepte scheinen hier vergleichbar gut geeignet wie klassische Komposit-Schichtkonzepte: Eine aktuelle Metaanalyse, die jüngst im Journal of Dental Research – dem immerhin am höchsten bewerteten, internationalen zahnmedizinischen Fach-Journal – publiziert wurde, zeigt dass – wenn die Überlebensrate im Vordergrund steht – bei Kaudruck-belasteten Restorationen konventionelle oder Bulkfill-Komposite am geeignetsten sind [Schwendicke et al., 2016].
Prof. Dr. Claus-Peter Ernst
Zahnärztliche Praxisklinik medi+
Haifa-Allee 20, 55128 Mainz
Ernst@mediplusmainz.de
Literaturverzeichnis
Dammaschke T, Nykiel K, Sagheri D, Schäfer E. Influence of coronal restorations on the fracture resistance of root canal-treated premolar and molar teeth: a retrospective study. Aust Endod J 2013; 39: 48-56.
Donovan T, Simonsen RJ, Guertin G, Tucker RV. Retrospective clinical evaluation of 1,314 cast gold restorations in service from 1 to 52 years. J Esthet Restor Dent 2004; 16: 194-204.
Ernst CP. Die Verwendung eines weiß-opaken Flow-Komposites zur Markierung tiefer Kavitätenanteile in der Klasse II. Ästhetische Zahnmedizin 2014; 7: 160-169.
Ernst CP. Ersatz eines Goldinlays durch eine Kompositrestauration. ZMK 2006; 22: 312-316.
Ernst CP. Vom Gold-Standard zur Gold-Alternative. ZMK 2015; 31, 214-226.
Ernst CP. Neuversorgung eines insuffizienten Goldinlays. ZMK 2016; 32: 846–848.
Erpenstein H, Kerschbaum T, Halfin T. Long-term survival of cast-gold inlays in a specialized dental practice. Clin Oral Investig 2001; 5 :162-166.
Federlin M, Blunck U, Frankenberger R, Knüttel H, Reichl FX, H. Schweikl H, Staehle HJ, R. Hickel R. Kompositrestaurationen im Seitenzahnbereich S1-Handlungsempfehlung, www.dgzmk.de/uploads/tx_szdgzmkdocuments/kompositszblang.pdf
Hellwig E, Klimek J, Attin T. Restaurationen mit Einlagefüllungen. In: Einführung in die Zahnerhaltung, Urban&Schwarzenberg, München-Wien-Baltimore, ISBN 3-541-18601-1, 1999
Loguercio AD, Muñoz MA, Luque-Martinez I, Hass V, Reis A, Perdigão J. Does active application of universal adhesives to enamel in self-etch mode improve their performance? J Dent. 2015; 43: 1060-1070.
Manhart J, Chen H, Hamm, G, Hickel R: Buonocore Memorial Lecture. Review of the clinical survival of direct and indirect restorations in posterior teeth of the permanent dentition. Oper Dent 2004; 29: 481-508.
Marchesi G, Frassetto A, Mazzoni A, Fabianni Apolonio F, Diolosà M, Cadenaro M, Di Lenarda R, Pashley DH, Tay F, Lorenzo Breschi L Adhesive performance of a multi-mode adhesive system: 1-Year in vitro study. J Dent J Dent 2014; 42: 603-612.
Pallesen U, van Dijken JW, Halken J, Hallonsten AL, Höigaard R. A prospective 8-year follow-up of posterior resin composite restorations in permanent teeth of children and adolescents in Public Dental Health Service: reasons for replacement. Clin Oral Investig 2014; 18: 819-827.
Schwendicke F, Göstemeyer G, Blunck U, Paris S, Hsu LY, Tu YK. Directly Placed Restorative Materials: Review and Network Meta-analysis. J Dent Res. 2016; 95: 613-622.
Takamizawa T, Barkmeier WW, Tsujimoto A, Endo H, Tsuchiya K, Erickson RL, Latta MA, Miyazaki M. Influence of pre-etching times on fatique strength of self-etch adhesives to enamel. J Adhes Dent 2016; 18: 501-511.
Takamizawa T, Barkmeier WW, Tsujimoto A, Scheidel DD, Watanabe H, Erickson RL, Latta MA, Miyazaki M. Influence of water storage on fatigue strength of self-etch adhesives. J Dent 2015; 43:1416-1427.











