Unilaterale Schwellung am Hals – Lymphknotentuberkulose
Ein 28-jähriger Patient mit Migrationshintergrund stellte sich mit einer linksseitigen druckdolenten, submandibulären Volumenzunahme links in der Klinik und Poliklinik für Mund-, Kiefer- und Gesichtschirurgie der Universitätsmedizin Mainz vor. Die Haut über dem Befund war gerötet und induriert. Die linkszervikale Schwellung fluktuierte unter Druck, eine Allgemeinsymptomatik lag nicht vor. Es bestanden keine Vorerkrankungen und Voroperationen, lediglich ein Nikotinabusus mit – nach eigenen Angaben – „ten packs/year“. Nach einer ausführlichen klinischen Untersuchung des jungen Mannes konnte ein dentogener Fokus ausgeschlossen werden.
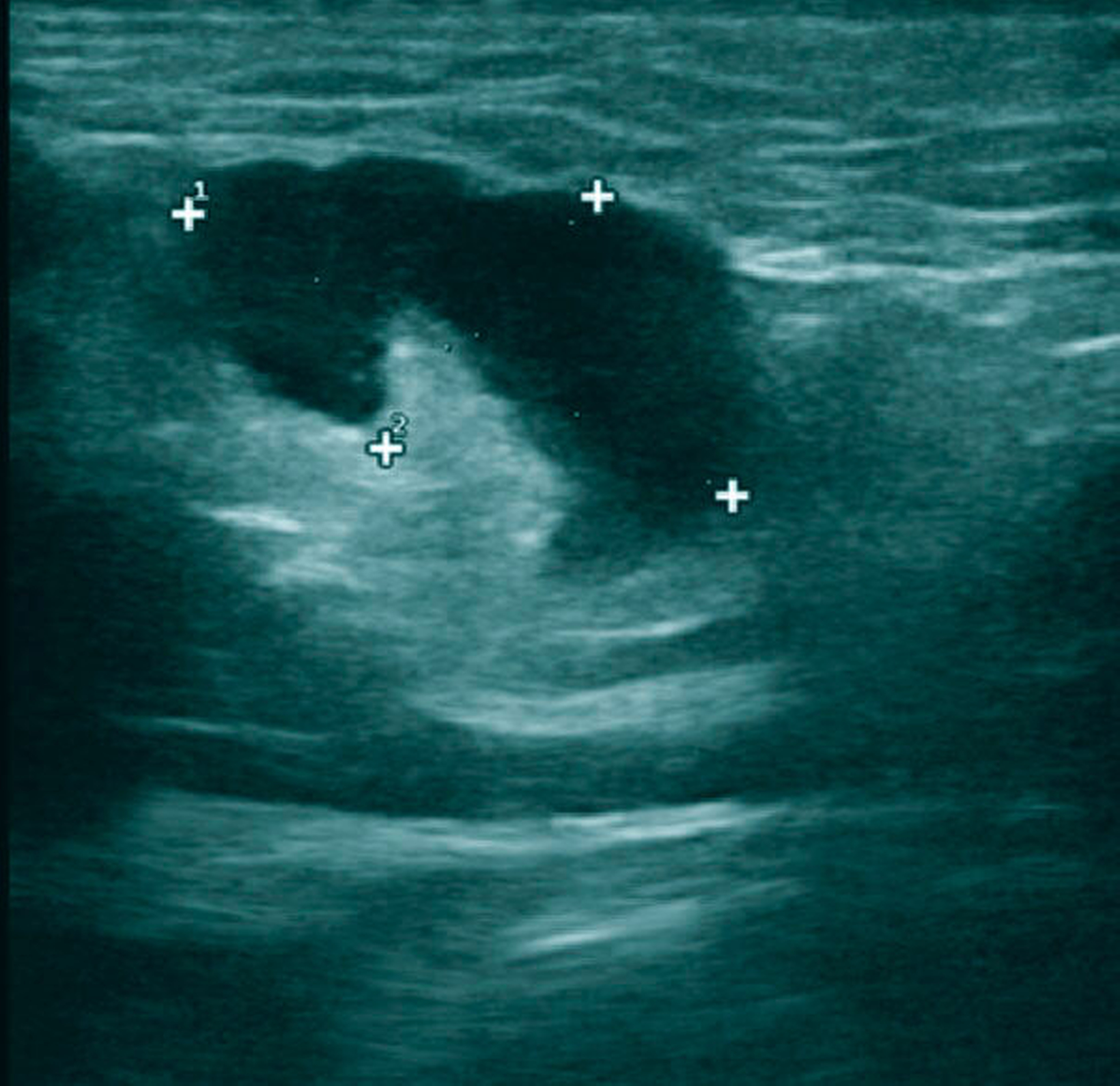
Die serologische Blutuntersuchung ergab eine starke Erhöhung der C-reaktiven Proteine und der Leukozyten. Im Ultraschall und in der Kontrastmittel-verstärkten Computertomografie (CT) ließ sich eine Vergrößerung der zervikalen Lymphknoten darstellen (Abbildungen 1 und 2). Weitere Befunde oder Foci ließen sich nicht nachweisen.
Der Patient gab an, zwei Katzen zu haben. Eine Bartonellose (Katzenkratzkrankheit) konnte durch eine negative Polymerase-Kettenreaktion (PCR) auf Bartonella-henselae-DNA, ebenso wie eine Toxoplasmose und HIV, ausgeschlossen werden. Basierend auf dem anschließenden klinischen Verdacht einer Tuberkulose wurde ein Nukleinsäure-amplifizierender Test durchgeführt, der aber primär negativ ausfiel. Zudem wurde eine achtwöchige Kultivierung angesetzt.
Da die Schwellung nach mehreren Tagen unter antibiotischer Therapie jedoch nicht abnahm und eine weitere diagnostische Abklärung am Präparat sinnvoll erschien, erfolgte die operative selektive Entfernung des Prozesses in einer kurzen Intubationsnarkose (Abbildungen 3 und 4). Bei der Eröffnung des resezierten Präparats entleerte sich putride Flüssigkeit (Abbildung 5).
Sowohl histopathologisch als auch mikrobiologisch (säurefeste Stäbchen mit Nachweis von Mykobakterium tuberculosis) konnte die Verdachtsdiagnose einer Lymphknotentuberkulose verifiziert werden. Im Präparat zeigten sich ausgedehnte eosinophile Nekroseherde mit neutrophilen Granulozyten, Lymphozyten, Epitheloidzellen und einzelne Riesenzellen vom Langhans-Typ ohne einen Nachweis von Malignität. Ebenso konnte bei unauffälligem Röntgen-Thorax und negativen Sputumuntersuchungen eine Lungentuberkulose ausgeschlossen werden.
Der Patient erhielt im Anschluss eine antibiotische Kombinationsbehandlung aus Isoniacid, Rifampicin, Ethambutol und Pyrazinamid für zwei Monate sowie eine Kombination aus Isoniacid und Rifampicin für weitere vier Monate.
Diskussion
Die Tuberkulose gehört weltweit zu den häufigsten und tödlichsten Infektionskrankheiten. Ausgelöst wird sie meistens durch das opportunistische Erregerspektrum Mycobacterium tuberculosis, M. bovis, M. africanum und M. microti [Handa et al., 2012]. Die Inkubationszeit beträgt in der Regel sechs bis acht Wochen. Meistens macht sich die Infektion aber erst durch eine spätere Reaktivierung der latenten Mykobakterien bemerkbar. Allein in Deutschland wurden 2018 dem Robert Koch-Institut 5.429 Tuberkulosefälle gemeldet. Entgegen der Erwartung eines Rückgangs blieb die Zahl der Erkrankungen von 2017 bis 2018 relativ konstant [Hauer et Perumal, 2018]. Risikofaktoren, wie ethnische Einflüsse oder HIV-Vorerkrankungen, werden derzeit kritisch untersucht [Mekonnen et al., 2019].
Man differenziert die wohl älteste Infektionskrankheit in eine offene und eine geschlossene Tuberkulose. Bei der offenen Tuberkulose ist der Respirationstrakt besiedelt, sodass ein aerogenes Infektionsrisiko besteht. Eine Prävalenz konnte bei älteren Männern festgestellt werden, wohingegen die geschlossene Form der Tuberkulose, wie im vorgestellten Fall, eher von jüngeren Erwachsenen zwischen 20 und 40 Jahren dominiert ist [Kalaidina et Holbrook, 2018]. Die geschlossene Tuberkulose manifestiert sich extrapulmonal, wobei eine Ansteckungsgefahr nur bei direktem Kontakt durch das betreffende Organ oder bei Verletzungen besteht [Handa et al., 2012]. Die häufigste extrapulmonale Erscheinungsform ist die Lymphknotentuberkulose. Sie exprimiert sich vor allem zervikal, aber auch abdominal, axillär, inguinal, mediastinal oder multilokulär [Schaberg et al., 2017]. Häufig wird davon ausgegangen, dass es sich hier vor allem um eine lokale Reaktivierung von im Rahmen einer Primärinfektion besiedelten Lymphknoten handelt.
Die klinische Diagnostik ist bei der Lymphknotentuberkulose von enormer Bedeutung, da sie bei Bestehen einer B-Symptomatik (Nachtschweiß, Müdigkeit, Gewichtsverlust) nicht selten mit akuten Infekten wie etwa der Influenza verwechselt wird. Die Ausprägung der Symptomatik ist allerdings patientenabhängig, sodass die Infektion aufgrund eines möglichen atypischen Verlaufs unerkannt bleiben und sogar letal enden kann [Kalaidina et Holbrook, 2018]. Bildgebende Verfahren wie Ultraschall, CT, MRT oder minimal-invasive Eingriffe wie die Feinnadelaspiration – die aber wegen der Verschleppung von Zellen kontrovers diskutiert wird – können aufschlussreich sein. Mikrobiologische und molekulare evaluierte Verfahren sind Nukleinsäure-amplizierende Tests (zum Beispiel PCR), Interferon-Gamma-Release-Assays (zum Beispiel der Quantiferon-Test, TB-Spot-Test), Kulturanlegung und mikroskopische Untersuchungen von Exzisionsbiopsien. Die mikrobiologische Diagnostik mit Kultivierung der Bakterien ist die Methode der Wahl (Goldstandard), da sie zum einen die Bestimmung der mykobakteriellen Spezies und zum anderen die Untersuchung auf medikamentöse Unverträglichkeiten und Resistenzen erlaubt [Schaberg et al., 2017].
Der therapeutische Goldstandard beruht in Deutschland auf der medikamentösen, zweimonatigen Vierfachtherapie mit Isoniazid, Rifampicin, Pyrazinamid und Ethambutol. Isoniazid und Rifampicin sollen vier weitere Monate eingenommen werden. Bei Resistenzbildungen gegen tuberkulöse Mykobakterien stellt die selektive Ausräumung der (Hals-)Lymphknoten eine probate Alternative dar [Omura et al., 2016]. Eine Ernährungsumstellung zur Minderung der Nebenwirkungen und eine psychologische Betreuung können als adjuvante Therapiemaßnahmen eingesetzt werden. Vor allem bei jüngeren Patienten ist zudem eine Substitution mit Vitamin D sinnvoll. Weitere Maßnahmen wie eine Abszessdrainage, eine Inzision oder eine Exzision der Lymphknoten können individuell etabliert werden. Von einer alleinigen Exzision ohne Chemotherapie wird laut Leitlinie dringend abgeraten [Schaberg et al., 2017].
Raha Lina Rejaey
Klinik und Poliklinik für Mund-, Kiefer- und Gesichtschirurgie – Plastische Operationen
Universitätsmedizin Mainz
Augustusplatz 2, 55131 Mainz
PD Dr. Dr. Peer W. Kämmerer, M.A., FEBOMFS
Leitender Oberarzt / Stellvertretender Klinikdirektor
Klinik und Poliklinik für Mund-, Kiefer- und Gesichtschirurgie – Plastische Operationen
Universitätsmedizin Mainz
Augustusplatz 2, 55131 Mainz
peer.kaemmerer@unimedizin-mainz.de
Fazit für die Praxis
Eine Tuberkulose sollte bei jungen Patienten ohne Risikoprofil als Differenzialdiagnose bei einer (einseitigen) Halslymphknotenschwellung erwogen werden. Aufgrund des fehlenden Kontakts der Bakterien zur Außenwelt geht von der extrapulmonalen Tuberkulose normalerweise keine Infektionsgefahr aus.Bei klinischem Verdacht auf eine Lymphknotentuberkulose ist die Kultivierung der Erreger die diagnostische Methode der Wahl, wobei zum Ausschluss falsch-negativer Ergebnisse mehrere diagnostische Methoden herangezogen werden müssen.
Die Standardtherapie ist die Chemotherapie, die durch chirurgische Maßnahmen unterstützt werden kann.
Differenzialdiagnostisch müssen bei einseitigen zervikalen Raumforderungen Infektionen (viral, bakteriell, fungal), Neoplasien (zum Beispiel Lymphome) und anlagebedingte Krankheitsentitäten wie die laterale Halszyste bedacht werden.
Literatur
1. Handa U, Mundi I, Mohan S. Nodal tuberculosis revisited: a review. J Infect Dev Ctries 2012;6:6-12.
2. Hauer B, Perumal N (2018): Tuberkulose bleibt eine Herausforderung – auch für Deutschland. Robert Koch-Institut, Infektionsepidemiologie.
3. Kalaidina E, Holbrook C. Cervical tuberculous lymphadenitis in an elderly adult. BMJ Case Rep 2018;2018:
4. Mekonnen D, Derbie A, Abeje A, Shumet A, Nibret E, Biadglegne F, Munshae A, Bobosha K, Wassie L, Berg S, Aseffa A. Epidemiology of tuberculous lymphadenitis in Africa: A systematic review and meta-analysis. PLoS One 2019;14:e0215647.
5. Omura S, Nakaya M, Mori A, Oka M, Ito A, Kida W, Inayoshi Y, Inoue A, Fuchigami T, Takamori M. A clinical review of 38 cases of cervical tuberculous lymphadenitis in Japan - The role of neck dissection. Auris Nasus Larynx 2016;43:672-676.
6. Schaberg T, Bauer T, Brinkmann F, Diel R, Feiterna-Sperling C, Haas W, Hartmann P, Hauer B, Heyckendorf J, Lange C, Nienhaus A, Otto-Knapp R, Priwitzer M, Richter E, Rumetshofer R, Schenkel K, Schoch OD, Schonfeld N, Stahlmann R. [Tuberculosis Guideline for Adults - Guideline for Diagnosis and Treatment of Tuberculosis including LTBI Testing and Treatment of the German Central Committee (DZK) and the German Respiratory Society (DGP)]. Pneumologie 2017;71:325-397.











