Adenomatoider odontogener Tumor im UK
Ein elfjähriger Patient wurde durch seinen Hauszahnarzt bei Verdacht auf das Vorliegen eines Ameloblastoms an die Abteilung für Mund-, Kiefer, und plastische Gesichtschirurgie der Universität Mainz überwiesen. Zuvor war aufgrund einer indolenten, langsam zunehmenden Schwellung im rechten Unterkiefer eine Panoramaschichtaufnahme angefertigt worden.
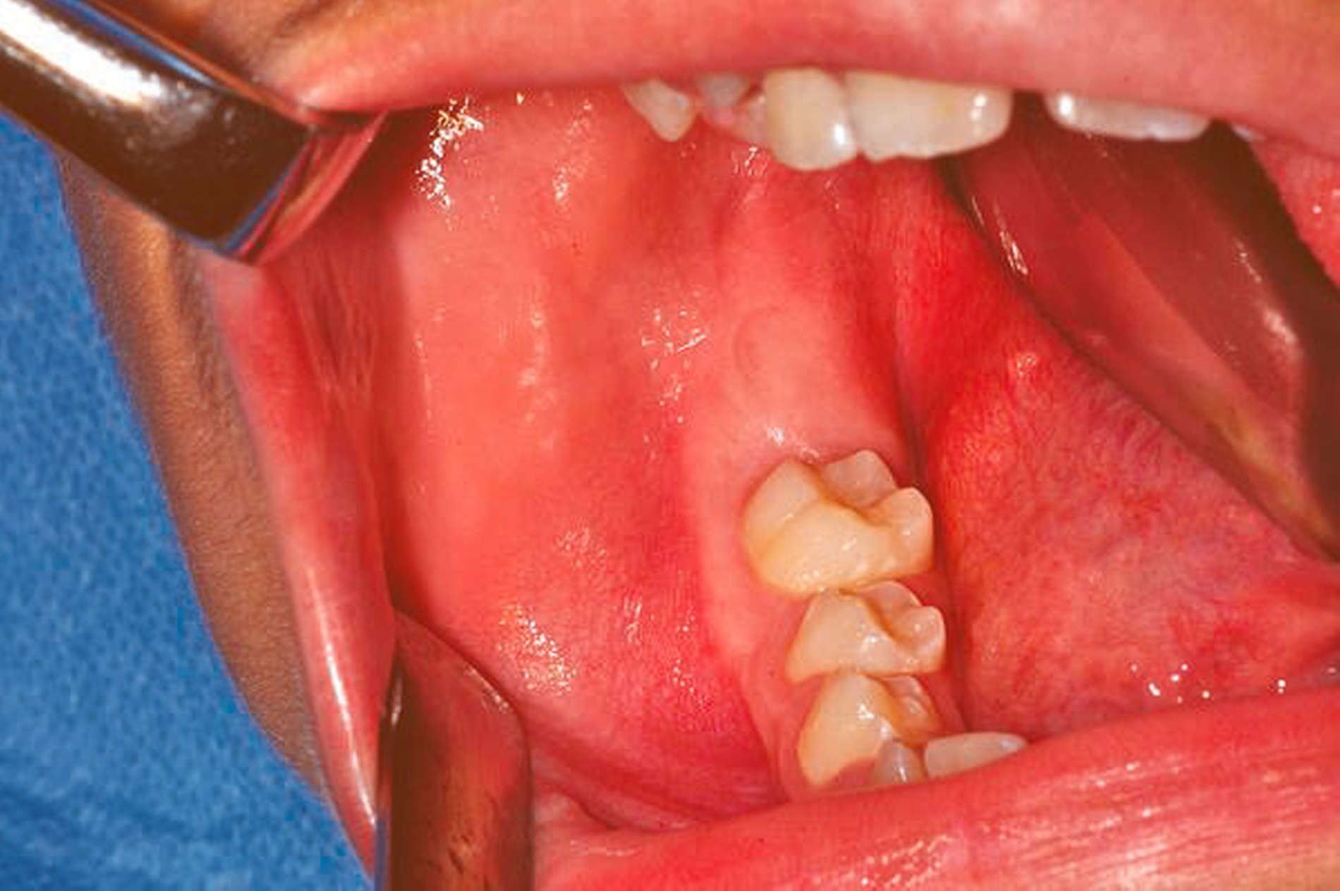
Klinisch zeigte sich eine nicht verschiebliche, harte und reizlose Schwellung mit erhaltender Vitalität distal des Zahns 46 und noch retinierten weiter posterior gelegenen Zähnen (Abbildung 1). Zur weiterführenden radiologischen Analyse wurde anschließend eine 3-D-Aufnahme (Digitale Volumentomografie, DVT) des Unterkiefers durchgeführt, auf der zu sehen war, dass sich die Zähne 47 und 48 in einer knöchern begrenzten, transluzenten, homogenen Höhle befanden (Abbildung 2).
Unter der Verdachtsdiagnose einer follikulären Zyste wurde der Patient der operativen Therapie unter Intubationsnarkose zugeführt. Nach marginaler Schnittführung und distaler Entlastung entlang des aufsteigenden Astes des rechten Unterkiefers erfolgte die Anlage eines Knochendeckels mittels Piezochirurgie (Abbildung 3). Die Zyste wurde zusammen mit den retinierten Zähnen in toto exstirpiert (Abbildung 4) und zur histopathologischen Diagnostik versandt. Der Nervus alveolaris inferior am Boden der entstandenen Kavität (Abbildung 5) wurde vorher vorsichtig vom Zystenbalg entfernt. Anschließend wurde der Defekt mit Kollagen und autologem Knochen aufgefüllt. In der histopathologischen Aufbereitung zeigte sich ein durch flaches, mehrschichtiges Epithel ausgekleidetes fibrotisches Bindegewebe. Die Zystenwandung war fokal verdickt sowie äußerst zellreich mit monomorphen, unreif wirkenden Zellkernen. Die immunhistochemischen Analysen beschrieben eine zytoplasmatisch positive Färbereaktion auf CK-MNF und CK-Oscar. Der Proliferationsindex mit Ki-67 wies zwei bis fünf Prozent nukleär positive Zellen auf. Bei Chromogranin, S100 und Synaptophysin fand keine positive Färbereaktion statt. Somit konnte die Diagnose eines adenomatoiden odontogenen Tumors getroffen werden. Bei postoperativ komplikationslosem Heilungsverlauf konnte der Patient nach einem dreitägigen stationären Aufenthalt in die ambulante Weiterbetreuung entlassen werden. Zur weiteren Verlaufskontrolle wurde ein halbjährliches Nachuntersuchungsintervall vereinbart.
Diskussion
Mit einem Anteil von zwei bis sieben Prozent aller odontogenen Tumore stellt der adenomatoide odontogene Tumor (AOT) die vierthäufigste dieser Entitäten dar [Thakur et al., 2016; Philipsen und Reichart, 1999]. Als seltener benigner Tumor [Bilodeau und Collins, 2017] tritt er gehäuft innerhalb des zweiten Lebensjahrzehnts (im Mittel = 13,2 Jahre) und hier, anders als im vorliegenden Fall, insbesondere bei Frauen auf (2,3:1). Mit einem Anteil von etwa zwei Dritteln liegt die bevorzugte Lokalisation im anterioren Bereich des Oberkiefers [Philipsen et al., 1999; Kumar et al., 2011]. Der Stimulus, der letztendlich zur Proliferation der Progenitorzellen führt, ist bisher noch unbekannt [Thakur et al., 2016].
Klinisch zeigt sich ein häufig langsam wachsender und, wie im beschriebenen Fall, asymptomatischer Tumor [Bilodeau et al., 2017; Bravo et al., 2005]. Aus diesem Grund präsentiert sich der AOT zumeist als klinisch unauffälliger radiologischer Zufallsbefund. Die follikuläre Variante dieser Tumorentität stellt sich radiologisch als röntgenarmer Bereich um einen impaktierten Zahn unter Einbezug der Krone und von Teilen der Wurzeln dar. In etwa zwei Dritteln der Fälle sind außerdem feine röntgendichte Foki erkennbar [Bilodeau et al., 2017]. Differenzialdiagnostisch sind hierbei insbesondere das Ameloblastom, ameloblastische Fibrome ebenso wie zystische Läsionen, wie die Keratozyste und die follikuläre Zyste, in Betracht zu ziehen [Saluja et al., 2013].
Makroskopisch zeigt sich ein, von einer dicken Kapsel umgebener, solider oder zystischer Befund mit einem oder (wie im vorliegenden Fall) auch mehreren impaktierten Zähnen innerhalb der tumorösen Masse [Bilodeau et al., 2017]. Histologisch werden AOTs in drei Subtypen unterteilt:
follikukär/perikoronal (71 Prozent),
extrafollikulär/extrakoronal (27 Prozent)
und peripher (2 Prozent).
Die beiden erstgenannten liegen typischerweise innerhalb des Knochens [Thakur et al., 2016; Bilodeau et al., 2017], wobei die extrafollikuläre Form selten als aggressiv, jedoch als wurzelresorptiv gilt [Saluja et al., 2013]. Alle genannten Subtypen weisen eine ähnliche Histologie mit soliden und zystischen epithelialen Anteilen auf [Thakur et al., 2016; Bilodeau et al., 2017]. Charakteristischerweise bilden sich runde oder rosettenförmige Areale [Bilodeau et al., 2017] mit odontogenem Epithel und drüsenähnlichen Strukturen. Induktiv verändertes Bindegewebe mit verstärkter Vaskularisation ebenso wie Amyloid-ähnliches und kalzifiziertes Material stellen histopathologische Diagnosekriterien dar [Bilodeau et al., 2017; Bravo et al., 2005; Dayi et al., 1997].
Fazit für die Praxis
Mit einem Anteil von zwei bis sieben Prozent ist der AOT der vierthäufigste odontogene Tumor.
Der AOT ist meist asymptomatisch und stellt einen radiologischen Zufallsbefund dar.
Radiologisch zeigt sich häufig ein röntgenarmer Hohlraum mit einem impaktierten Zahn.
Differenzialdiagnostisch sind insbesondere das Ameloblastom und zystische Läsionen, wie die Keratozyste und die follikuläre Zyste, in Betracht zu ziehen.
Aufgrund der benignen Dignität und der geringen Wachstumstendenz besteht die kurative Therapie in der Enukleation des Befunds.
Aufgrund der benignen Dignität des Tumors umfasst das kurative Therapieregime die chirurgischen Enukleation des Befunds. Durch die geringe Rezidivrate des AOTs wird eine lediglich konservative Nachsorge empfohlen [Bilodeau et al., 2017; Chrcanovic und Gomez, 2018].
Die Abgrenzung benigner Läsionen zu neoplastischen Veränderungen ist eine Herausforderung im klinischen Alltag, jedoch aufgrund grundsätzlich unterschiedlicher Therapiemaßnahmen von großer Bedeutung. Insbesondere deshalb stellt die histopathologische Aufarbeitung intraoperativ entnommener Präparate eine zentrale Maßnahme zur Erhöhung der Patientensicherheit dar.
Dr. Payam Hosseinkhah
Klinik und Poliklinik für Mund-, Kiefer und Gesichtschirurgie – plastische Operationen
Universitätsmedizin Mainz
Augustusplatz 2, 55131 Mainz
Diana Heimes
Klinik und Poliklinik für Mund-, Kiefer und Gesichtschirurgie – plastische Operationen
Universitätsmedizin Mainz
Augustusplatz 2, 55131 Mainz
PD Dr. Dr. Peer W. Kämmerer, M.A., FEBOMFS
Klinik und Poliklinik für Mund-, Kiefer und Gesichtschirurgie – plastische Operationen
Universitätsmedizin Mainz
Augustusplatz 2, 55131 Mainz
peer.kaemmerer@unimedizin-mainz.de
Literaturliste
1. Thakur, A., Tupkari, J. V., Joy, T. und Hanchate, A. V. (2016). „Adenomatoid odontogenic tumor: What is the true nature?“ Med Hypotheses 97: 90-93.
2. Philipsen, H. P. und Reichart, P. A. (1999). „Adenomatoid odontogenic tumour: facts and figures.“ Oral Oncol 35(2): 125-131.
3. Bilodeau, E. A. und Collins, B. M. (2017). „Odontogenic Cysts and Neoplasms.“ Surg Pathol Clin 10(1): 177-222.
4. Kumar, V., Sagheb, K. und Kämmerer, P. W. (2011). „Adenomatoider odontogener Tumor.“ Zahnärztliche Mitteilungen 101(5): 46-48.
5. Bravo, M., White, D., Miles, L. und Cotton, R. (2005). „Adenomatoid odontogenic tumor mimicking a dentigerous cyst.“ Int J Pediatr Otorhinolaryngol 69(12): 1685-1688.
6. Saluja, R., Kaur, G. und Singh, P. (2013). „Aggressive adenomatoid odontogenic tumor of mandible showing root resorption: A histological case report.“ Dent Res J (Isfahan) 10(2): 279-282.
7. Dayi, E., Gurbuz, G., Bilge, O. M. und Ciftcioglu, M. A. (1997). „Adenomatoid odontogenic tumour (adenoameloblastoma). Case report and review of the literature.“ Aust Dent J 42(5): 315-318.
8. Chrcanovic, B. R. und Gomez, R. S. (2018). „Adenomatoid odontogenic tumor: An updated analysis of the cases reported in the literature.“ J Oral Pathol Med.












