Erstbeschreibung eines palatinalen Steatozystoma simplex
Ein 37-jähriger Patient wurde von einem niedergelassenen MKG-chirurgischen Kollegen mit einem rezidivierenden, histologisch gesicherten Steatozystom des Gaumens überwiesen. Anamnestisch war bereits eine zweimalige lokale Exzision des Befundes erfolgt.
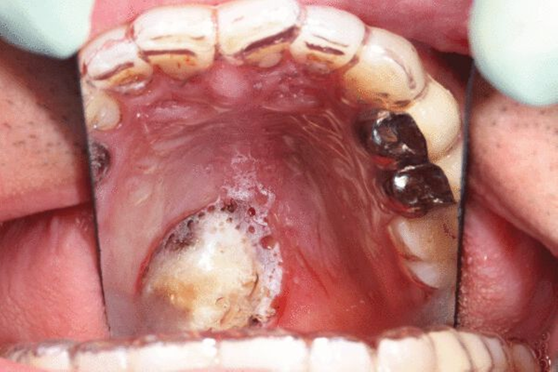
Klinisch stellte sich eine symptomlose, am Übergang vom Palatum durum zum Palatum molle linksseitig gelegene, circa 1 cm große, runde, klar begrenzte, weiche, nicht druckdolente Erhebung dar (Abbildung 1).
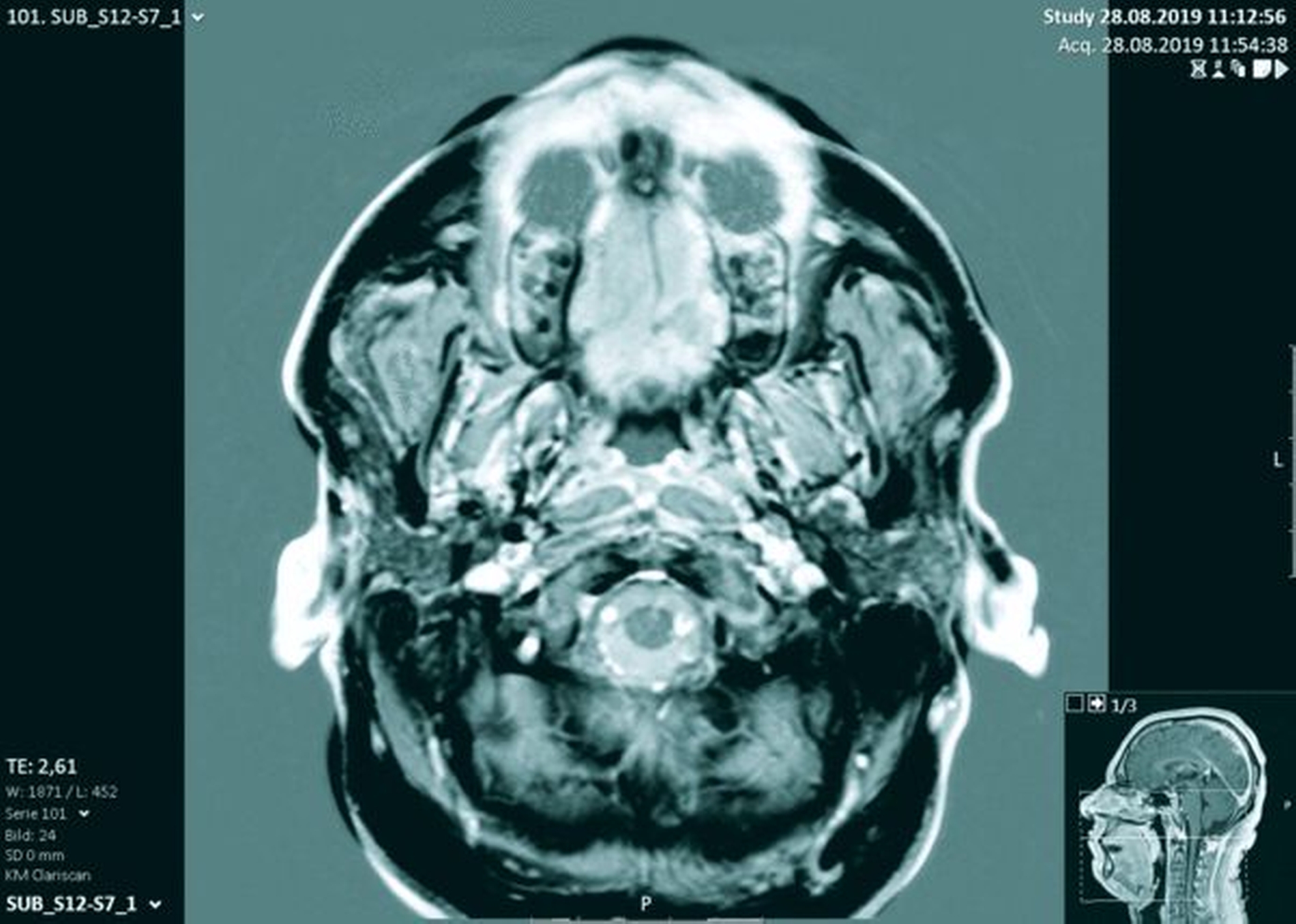
Zur weiteren Diagnostik und zur Beurteilung der Ausbreitung und der Infiltration des Befunds wurde eine Magnetresonanztomografie (MRT) durchgeführt. Hier zeigte sich eine submukosal gelegene, 8 mm x 10 mm x 8 mm große, glatt begrenzte, T1 hypertense, T2 inhomogen teils hypointense, teils isointense Raumforderung mit deutlichem Signalabfall in T2-Fettsättigung (Abbildung 2). Es bestand kein Hinweis auf knöcherne Infiltration. Daher wurde der Befund mit einem Sicherheitsabstand von 1 bis 2 mm unter Schonung des Nervus und der Arteria palatina major bis auf den palatinalen Knochen reseziert (Abbildung 3).
Da eine sekundäre Granulation des Defekts intendiert war, wurde die Wunde zuerst zur Blutungsprophylaxe mit einer Cellulose-Tamponade und einem Tranexamsäuregel versorgt. Anschließend wurde als Druckverband und Wundschutz eine Verbandsplatte eingegliedert (Abbildungen 4 und 5). Die histopathologische Aufarbeitung des entnommenen Präparats ergab ein mit Plattenepithel bedecktes Weichteil- und Drüsengewebe mit Manifestationen einer zystischen, regressiv veränderten epithelialen Läsion, das mit dem klinisch bekannten Steatozystom vereinbar ist. In den Nachsorgeuntersuchungen im Intervall von drei Monaten zeigte sich eine zeitgerechte Wundheilung mit vollständiger Restitutio ad integrum ohne Anhalt für ein Rezidiv.
Diskussion
Das Steatozystom stellt eine seltene, benigne Talgdrüsenzyste dar, die als Folge einer Mutation im Keratin-17(K17)-Gen entsteht [Smith et al., 1997], durch die der Aufbau des Keratin-Intermediärfilament-Netzwerks gestört wird [Covello et al., 1998]. Die meisten Fälle treten in der zweiten und in der dritten Lebensdekade auf [Varshney et al., 2011]. Allerdings wurden auch angeborene Fälle sowie seltene Fälle in der siebten Lebensdekade beobachtet [Park et al., 2000; Riedel et al., 2008]. Das Steatozystom multiplex zeigt klinisch multiple symptomlose Zysten, die als helle Knötchen, vor allem an den Achselhöhlen, an den Leisten, am Rumpf und an den Extremitäten [Kamra et al., 2013], imponieren. Hier ist häufig eine für die Erkrankung positive Familienanamnese vorhanden. Im Gegensatz hierzu wird die noch seltenere, isoliert vorkommende Form dieser Erkrankung als Steatozystoma simplex beschrieben [Sharma et al., 2018], wobei sich beide Formen histopathologisch nicht unterscheiden. Als Differenzialdiagnose – vor allem im Bereich der behaarten Kopfhaut – sollte vor allem die Trichilemmalzyste, eine gutartige Zyste der Talgdrüse im Bereich der Haarfollikel, berücksichtigt werden [Jha et al., 2015].
Über die enorale Manifestation dieser Erkrankung ist bisher wenig bekannt, da bisher nur ein einziger Fall des Steatozystoma simplex in der Mundhöhle dokumentiert und in der Literatur beschrieben wurde. Wie im vorliegenden Fall wurde bei diesem Fall klinisch ein asymptomatischer, runder, klar umschriebener, weicher und nicht druckdolenter Befund geschildert, der sich allerdings nicht am Gaumen, sondern im Oberkiefervestibulum linksseitig zwischen dem Eckzahn und dem ersten Prämolaren befand [Olsen et al., 1988].
Bei Befunden am Gaumen sollte differenzialdiagnostisch an benigne und maligne Tumore der kleinen Speicheldrüsen, die weniger als 25 Prozent der enoralen Speicheldrüsen-Neoplasien ausmachen, gedacht werden [Sarmento et al., 2016]. Das pleomorphe Adenom ist der häufigste benigne Tumor der Speicheldrüsen, der in der Glandula parotidea oder selten am Gaumen lokalisiert ist. Klinisch zeigt sich eine symptomlose, langsam wachsende, von intakter Schleimhaut überdeckte, nicht druckdolente und klar umschriebene Veränderung.
Histopathologisch zeigt sich ein komplexes Muster aus epithelialen, myoepithelialen und mesenchymalen Komponenten [Arumugam et al., 2019]. Der Warthin-Tumor wird ebenfalls zu den häufigen benignen Tumoren der Speicheldrüsen gezählt. Obwohl dieser Tumor hauptsächlich in der Glandula parotidea lokalisiert ist, wird mit einer Inzidenz von bis zu 1,2 Prozent über das Vorkommen in den kleinen Speicheldrüsen berichtet [Iwai et al., 2012]. Histopathologisch wird der Warthin-Tumor durch zweischichtige onkozystische Epithelzellen und fibrovaskuläre Stromakomponenten mit chronisch entzündlichen Zellen gesichert [Diaz-Segarra et al., 2018].
Das adenoid-zystische Karzinom gehört zu den malignen Tumoren der Speicheldrüsen und zeigt die häufigste Lokalisation am Gaumen. Klinisch imponiert hier ein asymptomatischer, langsam wachsender, nicht druckdolenter, derber und unbeweglicher Befund. Histopathologisch zeigt sich, je nach Anordnung der Epithelzellen entweder ein cribriformes, tubuläres oder festes Muster [Yaga et al., 2016]. Das Mukoepidermoidkarzinom zählt ebenfalls zu den malignen Neoplasien der Speicheldrüsen. Der Befund ist in den meisten Fällen in der Glandula parotidea lokalisiert und zeigt sich seltener in den kleinen Speicheldrüsen. Auch bei diesem Tumor wird klinisch über einen langsam wachsenden, asymptomatischen, mäßig weichen, nicht druckdolenten und klar umschriebenen Befund berichtet [Mathew et al., 2017]. Differenzialdiagnostisch sollten aber auch die benignen Neoplasien – wie das Basalzelladenom und das Myoepitheliom – sowie die malignen Neoplasien – wie das Adenom, das Azinuszellkarzinom und das polymorphe Adenokarzinom – bedacht werden.
Die Behandlung von dermalen Zysten zielt auf ein besseres kosmetisches Gesamtergebnis. Zu den Behandlungsmöglichkeiten gehören der Kohlendioxidlaser, die modifizierte chirurgische Technik und die Kryotherapie [Georgakopoulos et al., 2018]. Bei enoraler Lokalisation können derartige Befunde, wie auch im vorliegenden Fall beobachtet, die Lebensqualität der Patienten einschränken. Die Therapie der Wahl richtet sich daher auf die vollständige chirurgische Entfernung der Zyste mit dem gesamten Epithel. Dies ermöglicht einen histopathologisch gesicherten Befund und vermindert das Vorkommen von Rezidiven [Araujo and Denadai, 2016].
Dr. Sebahat Kaya
Weiterbildungsassistentin Oralchirurgie
MKG-Chirurgie der Universitätsmedizin Mainz
Augustusplatz 255131 Mainz
PD Dr. Dr. Peer W. Kämmerer, M.A., FEBOMFS
Facharzt für MKG-Chirurgie, Fachzahnarzt für Oralchirurgie
Leitender Oberarzt / Stellvertretender Klinikdirektor der MKG-Chirurgie der Universitätsmedizin Mainz
Augustusplatz 2, 55131 Mainz
peer.kaemmerer@unimedizin-mainz.de
Literaturliste
ARAUJO, K. M. & DENADAI, R. 2016. Clinical Misdiagnosis of Steatocystoma Simplex of Eyebrow in a Pediatric Patient. Chin Med J (Engl), 129, 377-8.
ARUMUGAM, P., CHRISTOPHER, P. J., KUMAR, S., KENGASUBBIAH, S. & SHENOY, V. 2019. Pleomorphic Adenoma of the Palate: A Case Report. Cureus, 11, e4308.
COVELLO, S. P., SMITH, F. J., SILLEVIS SMITT, J. H., PALLER, A. S., MUNRO, C. S., JONKMAN, M. F., UITTO, J. & MCLEAN, W. H. 1998. Keratin 17 mutations cause either steatocystoma multiplex or pachyonychia congenita type 2. Br J Dermatol, 139, 475-80.
DIAZ-SEGARRA, N., YOUNG, L. K., LEVIN, K., RAFFERTY, W., BRODY, J. & KOSHKAREVA, Y. 2018. Warthin tumor of the oropharyngeal minor salivary gland. SAGE Open Med Case Rep, 6, 2050313X18818712.
GEORGAKOPOULOS, J. R., IGHANI, A. & YEUNG, J. 2018. Numerous asymptomatic dermal cysts: Diagnosis and treatment of steatocystoma multiplex. Can Fam Physician, 64, 892-899.
IWAI, T., BABA, J., MURATA, S., MITSUDO, K., MAEGAWA, J., NAGAHAMA, K. & TOHNAI, I. 2012. Warthin tumor arising from the minor salivary gland. J Craniofac Surg, 23, e374-6.
JHA, A. K., SINHA, R., PRASAD, S. & KUMAR, S. 2015. Multiple Trichilemmal Cysts of the Scalp in a Young Male. Int J Trichology, 7, 167-9.
KAMRA, H. T., GADGIL, P. A., OVHAL, A. G. & NARKHEDE, R. R. 2013. Steatocystoma multiplex-a rare genetic disorder: a case report and review of the literature. J Clin Diagn Res, 7, 166-8.
MATHEW, A. L., JOSEPH, B. B., SAROJINI, D. M., PREMKUMAR, P. & NAIR, S. S. 2017. Mucoepidermoid carcinoma of palate - a rare entity. Clin Pract, 7, 1009.
OLSEN, D. B., MOSTOFI, R. S. & LAGROTTERIA, L. B. 1988. Steatocystoma simplex in the oral cavity: a previously undescribed condition. Oral Surg Oral Med Oral Pathol, 66, 605-7.
PARK, Y. M., CHO, S. H. & KANG, H. 2000. Congenital linear steatocystoma multiplex of the nose. Pediatr Dermatol, 17, 136-8.
RIEDEL, C., BRINKMEIER, T., KUTZNE, H., PLEWIG, G. & FROSCH, P. J. 2008. Late onset of a facial variant of steatocystoma multiplex - calretinin as a specific marker of the follicular companion cell layer. J Dtsch Dermatol Ges, 6, 480-2.
SARMENTO, D. J., MORAIS, M. L., COSTA, A. L. & SILVEIRA, E. J. 2016. Minor intraoral salivary gland tumors: a clinical-pathological study. Einstein (Sao Paulo), 14, 508-512.
SHARMA, A., AGRAWAL, S., DHURAT, R., SHUKLA, D. & VISHWANATH, T. 2018. An Unusual Case of Facial Steatocystoma Multiplex: A Clinicopathologic and Dermoscopic Report. Dermatopathology (Basel), 5, 58-63.
SMITH, F. J., CORDEN, L. D., RUGG, E. L., RATNAVEL, R., LEIGH, I. M., MOSS, C., TIDMAN, M. J., HOHL, D., HUBER, M., KUNKELER, L., MUNRO, C. S., LANE, E. B. & MCLEAN, W. H. 1997. Missense mutations in keratin 17 cause either pachyonychia congenita type 2 or a phenotype resembling steatocystoma multiplex. J Invest Dermatol, 108, 220-3.
VARSHNEY, M., AZIZ, M., MAHESHWARI, V., ALAM, K., JAIN, A., ARIF, S. H. & GAUR, K. 2011. Steatocystoma multiplex. BMJ Case Rep, 2011.
YAGA, U. S., GOLLAMUDI, N., MENGJI, A. K., BESTA, R., PANTA, P., PRAKASH, B. & RAJASHEKAR, E. 2016. Adenoid cystic carcinoma of the palate: case report and review of literature. Pan Afr Med J, 24, 106.











