Bergung eines fazialen Fremdkörpers
Ein ansonsten anamnestisch gesunder 40-jähriger Mann stellte sich notfallmäßig mit einer eher unscheinbaren, punktförmigen Wunde im Bereich des Kinns links in unserer Ambulanz vor (Abbildung 1). Nach Aussage des Patienten war diese Verletzung beim Mähen des Rasens passiert, als ihm ein Gegenstand gegen das Kinn geschleudert worden sei.
Klinisch berichtete der Patient über einen stechenden Schmerz bei der Mundöffnung sowie bei Druck auf den Ansatz des linken M. masseter. Sensomotorische Ausfälle im Gesichtsbereich lagen nicht vor. Die Frage nach einem bestehenden Tetanusschutz wurde bejaht.
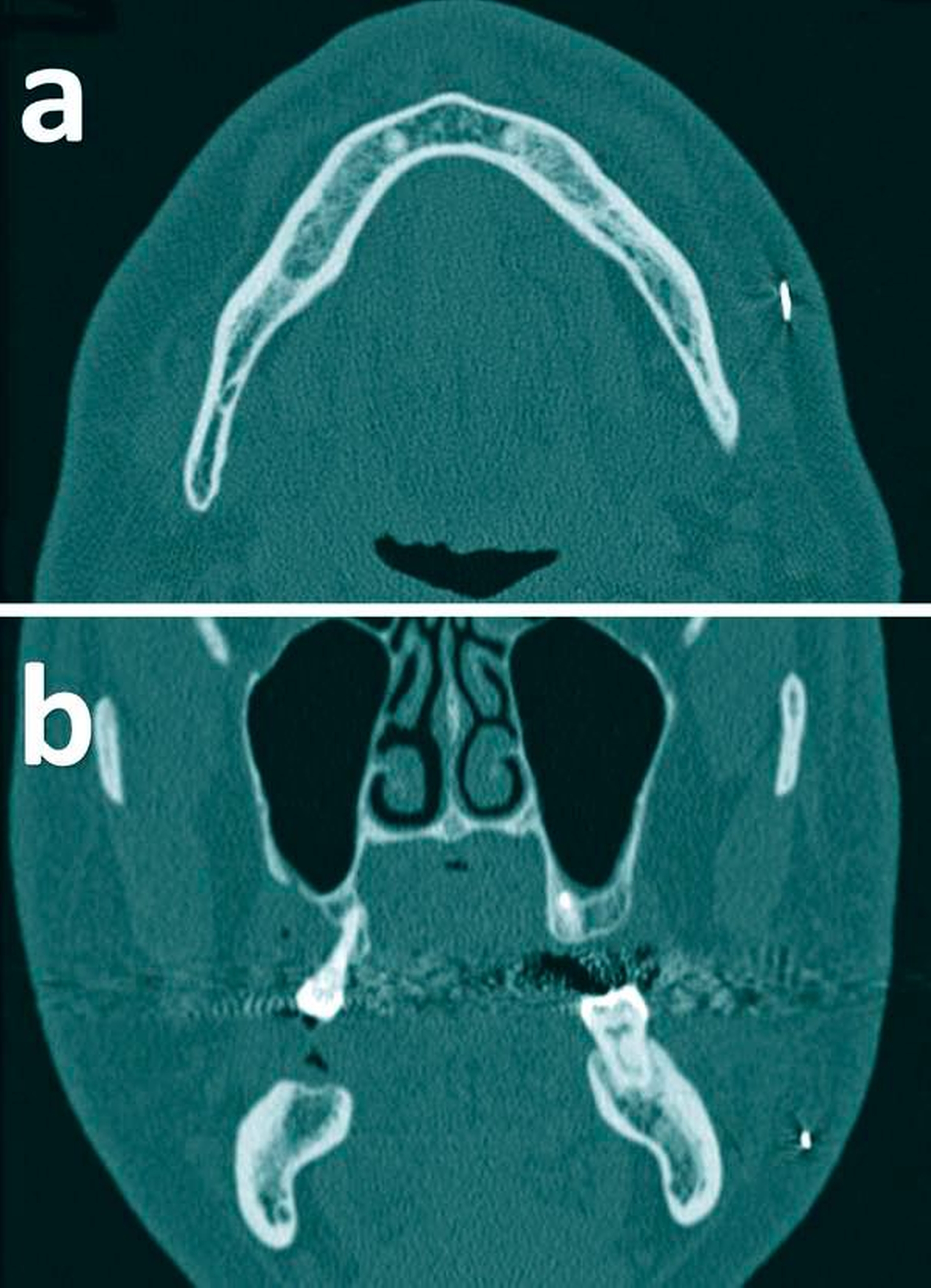
Mit dem Verdacht auf einen ins Weichgewebe der linken Wange eingedrungenen Fremdkörper wurde ein Unterkiefer-CT gefahren. Dieses zeigte einen röntgendichten, länglichen Fremdkörper im subkutanen Fettgewebe der linken Wange auf Höhe des Ansatzes des linken M. masseter (Abbildung 2).
Nach Erörterung der Therapiemöglichkeiten wurde mit dem Patienten die Indikation zur Behandlung getroffen. In Lokalanästhesie erfolgte schließlich die Bergung des Fremdkörpers über einen retromandibulären Zugang (Abbildung 3) mit primärem Wundverschluss. Abbildung 4 dokumentiert den circa 14 mm langen, metallischen Fremdkörper. Die anschließende ambulante Weiterbehandlung verlief komplikationslos.
Diskussion
Durch Unfälle bedingte, tief ins faziale Gewebe eingedrungene Fremdkörper wie zum Beispiel Sandkörner, kleinere Steine, Metall- und Holzsplitter oder Glasscherben stellen eine große Herausforderung bei der Diagnostik und Bergung dar. Nicht selten bleiben diese bei der primären Wundversorgung unentdeckt und machen erst im weiteren Verlauf durch Beschwerden auf sich aufmerksam. Auch können Fremdkörper, die symptomlos im Weichgewebe verweilen (meist anorganischen Ursprungs), zufällig im Rahmen einer anstehenden bildgebenden Untersuchung diagnostiziert werden. Hier kann eine gründliche Patientenanamnese vor allem in Bezug auf das Unfallgeschehen in Kombination mit einer adäquaten klinischen Untersuchung erste Verdachtshinweise auf Fremdkörpermaterial liefern [Rudagi et al., 2013].
Die Diagnose erschweren zumeist unscheinbare Eintrittspforten, über die Fremdmaterial ins Gewebe gelangt sein kann. Zu den Primärsymptomen zählen entzündliche Prozesse, Schmerzen, Schwellungen sowie Bewegungseinschränkungen, die bereits wenige Tage nach dem Vorfall mit zunächst stadiengerechter Wundheilung auftreten können [Rudagi et al., 2013; Melo et al., 2017]. Da sich unser Patient unmittelbar nach dem Unfallereignis vorgestellt hat und über den Unfall sehr ausführlich berichten konnte, ergab sich für uns frühzeitig der Verdacht auf das Vorliegen eines ins faziale Weichgewebe eingedrungenen Fremdkörpers.
Differenzial-diagnostisch kam aufgrund der schmerzhaften Mundöffnung auch eine Unterkieferfraktur infrage.
Vor der operativen Entfernung des Fremdkörpers ist für den Operateur das Wissen über dessen genaue Lokalisation unabdingbar [Sajad et al., 2011; Melo et al., 2017]. Hierzu stehen unterschiedliche bildgebende Verfahren zur Verfügung. So lassen sich oberflächlich liegende, gut erreichbare Fremdkörper ohne großen Aufwand sonografisch darstellen. Ein weiterer Vorteil der Sonografie ist die noch während des operativen Eingriffs mögliche intraoperative Lagekontrolle des Fremdkörpers sowie die Überprüfung seiner vollständigen Bergung. Tiefer liegende Fremdkörper lassen sich computertomografisch nachweisen und dreidimensional exakt lokalisieren.
Zum Frakturausschluss und zur Darstellung der exakten Position des Fremdkörpers bevorzugten wir schließlich als weitere bildgebende Diagnostik die Computertomografie (CT). Der Fremdkörper hätte in unserem Fall auch sonografisch diagnostiziert werden können, jedoch wäre hierbei das Auffinden einer Fraktur – insbesondere einer Infraktur – fraglich gewesen. Darüber hinaus kann nicht ferromagnetisches Fremdkörpermaterial auch mit der Magnetresonanztomografie (MRT) diagnostiziert werden [Cameron and Phillips, 2006; Vikram et al., 2012; Melo et al., 2017]. Wir haben uns hier nicht nur wegen des erheblich größeren Aufwands, sondern auch aufgrund des unbekannten Fremdkörpermaterials strikt gegen letztgenannte Bildgebung entschieden. Bei einer MRT hätte es bei dem Patienten möglicherweise aufgrund der ferromagnetischen Fremdkörpereigenschaften zu unvorhergesehenen Komplikationen kommen können.
Generell spricht nichts gegen ein in situ Belassen von klinisch unauffälligem Fremdkörpermaterial. Im Fall von Beschwerden ist dieses jedoch zu entfernen [Robinson et al., 1997; Melo et al., 2017]. Aus unserer Sicht sollte gut erreichbares Fremdkörpermaterial, falls es das Alter und der Gesundheitszustand des Patienten zulassen, geborgen werden. Dies gilt auch im Fall von organischem Fremdkörpermaterial, das generell entfernt werden sollte, da sein Verbleib oft zu entzündlichen Prozessen führen kann [Vikram et al., 2012]. Die Diagnostik ist hierbei jedoch oft deutlich erschwert. So lässt sich zum Beispiel Holz nicht oder nur sehr schwierig darstellen.
Die Eruierung des aktuellen Tetanusschutzes ist im Fall von Hautverletzungen mit oder ohne Fremdkörperbeteiligung obligat und muss bei Bedarf aufgefrischt oder vollzogen werden [Paterson et al., 2006].
Fazit
Posttraumatisch im Gewebe verbliebenes Fremdkörpermaterial kann symptomlos bleiben und muss bei zufälliger Diagnose nicht unbedingt geborgen werden. Beim Auftreten von Beschwerden ist dieses – nach vorausgegangener adäquater Bildgebung – zu entfernen. Im Idealfall sollte bei bekannten Materialeigenschaften die entsprechende radiologische Bildgebung eingesetzt werden. Mit der Sonografie kann intraoperativ die Lage des Fremdkörpers überprüft oder dessen vollständige Bergung dokumentiert werden. Eine Überprüfung des Tetanusschutzes ist obligat.
Dr. med. Felix Paulßen von Beck
Klinik für Mund-, Kiefer- und Gesichtschirurgie, plastische und ästhetische Operationen
Malteser Krankenhaus St. Josefshospital
Kurfürstenstr. 69, 47829 Krefeld
Felix.Paulssen@malteser.org
PD Dr. med. Dr. med. dent. Thomas Mücke
Klinik für Mund-, Kiefer- und Gesichtschirurgie, plastische und ästhetische Operationen
Malteser Krankenhaus St. Josefshospital
Kurfürstenstr. 69, 47829 Krefeld
Thomas.Muecke@malteser.org
Literaturliste
Cameron M, Phillips B. Snookered! Facial infection secondary to occult foreign body. International Journal of Oral and Maxillofacial Surgery. 2006; 35(4): 373–375.
Melo MN, Pantoja LN, de Vasconcellos SJ, Sarmento VA, Queiroz CS. Traumatic Foreign Body into the Face: Case Report and Literature Review. Case Rep Dent. 2017; 2017: 3487386.
Paterson AW, Ryan W, Rao-Mudigonda VV. Trismus: or is it tetanus? A report of a case. Oral Surg Oral Med Oral Pathol Oral Radiol Endod. 2006; 101(4): 437-441.
Robinson PD, Rajayogeswaran V, Orr R. Unlikely foreign bodies in unusual facial sites. British Journal of Oral and Maxillofacial Surgery. 1997; 35(1): 36-39.
Rudagi BM, Halli R, Kini Y, Kharkhar V, Saluja H, Foreign Bodies in Facial Trauma-Report of 3 Cases, J. Maxillofac. Oral Surg. 2013; 12(2):210-213.
Sajad M, Kirmani MA, Patigaroo AR. Neglected foreign body infratemporal fossa, a typical presentation: a case report. Indian Journal of Otolaryngology and Head and Neck Surgery 2011; 63(1): 96-98.
Vikram A, Mowar A, Kumar S. Wooden foreign body embedded in the zygomatic region for 2 years. Journal of Maxillofacial and Oral Surgery 2012; 11(1): 96-100.










