Intrakranieller Fremdkörper als Ursache für Kieferschmerzen?
Ein 33-jähriger Patient stellte sich in der Sprechstunde einer MKG-Praxis mit unklaren Beschwerden im Bereich des linken Unterkiefers vor. Er war von einer allgemeinchirurgischen Praxis an unsere Einrichtung verwiesen worden.
Der Patient ist afghanischer Herkunft, war (soweit bekannt) gesund und in gutem Allgemein- und Ernährungszustand. Klinisch zeigten sich eine Dichromatie und eine leichte Lidspaltenöffnungsdifferenz (Abbildung 1). Die intraorale Inspektion war weitgehend unauffällig. Die von der Chirurgin mitgelieferten Nativröntgenbilder ließen eine apikale Osteolyse in der Region des Zahnes 37 vermuten, zudem zeigte sich ein metalldichter Fremdkörper mit Projektion auf die Kieferhöhle rechts (Abbildungen 2 und 3).
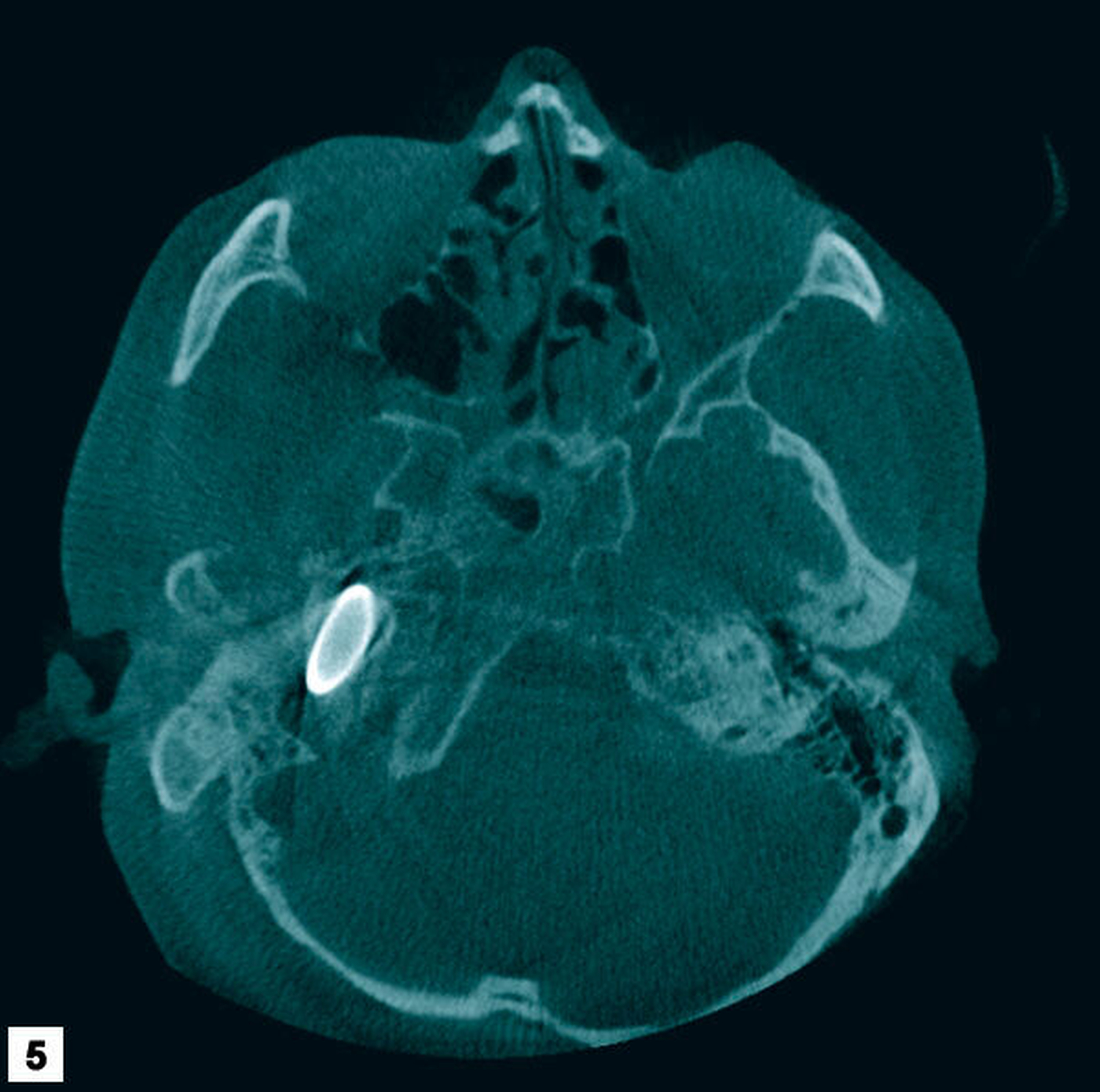
Zur weiteren Lokalisation in der dritten Ebene wurde eine Digitale Volumentomografie veranlasst. Diese Bilder zeigten neben einer großen Osteolyse apikal des Zahns 37 und deutlicher Schleimhautschwellung im Bereich der Sinus maxillares und ethmoidales einen metalldichten Fremdkörper im Bereich der Schädelbasis mit einer Ausdehnung von circa 7 mm x 38 mm mit einer projektiltypischen Form (Abbildungen 4 bis 6). Die Recherche lässt vermuten, dass dieses Projektil als Munition für ein Automat Kalaschnikow 47 Sturmgewehr (AK 47, wahre Größe der Kurzpatrone M 43 = 7,62 mm x 39 mm) passt.
In der geführten sozialen Anamnese berichtete der Patient, dass sieben Jahre zuvor Talibankämpfer in sein Heimatdorf eingefallen seien und wahllos umher geschossen hätten. Er habe Glück gehabt und überlebt, weil er nur einen Streifschuss an der Stirn davongetragen habe. Die Wunde sei folgenlos ausgeheilt, nur eine kleine Narbe noch zu erkennen (Abbildung 7).
Die Frage, ob er wisse, dass sich ein Projektil im Bereich seiner Schädelbasis befindet, verneinte er. Ursächlich für die ärztliche Konsultation seien Unterkieferschmerzen links sowie eine vermutete Sinusitis maxillaris der rechten Kieferhöhle bei unspezifisch wiederkehrenden Schmerzen der rechten Gesichtshälfte.
DISKUSSION
Die Behandlung von Kriegsverletzungen aus dem Zweiten Weltkrieg und deren Folgeschäden hielt noch viele Jahrzehnte nach Kriegsende an. Die jetzige Generation von praktizierenden Ärzten und Zahnärzten in Mitteleuropa hat – bedingt durch den lang anhaltenden Frieden in Nord- und Mitteleuropa – glücklicherweise nur wenig Erfahrungswerte in diesem Bereich. Mit dem in den vergangenen Jahren erlebten Flüchtlingsstrom aus Krisengebieten werden nun allerdings immer wieder Menschen mit kriegsbedingten Verletzungen und psychischen Traumata in unseren Krankenhäusern und Praxen vorstellig, die Befunde aufweisen, die in unseren Breiten auf Unkenntnis stoßen.
Ein anhaltendes Problem kann darüber hinaus die Kommunikation darstellen. Mit zunehmender Zeit werden die Sprachkenntnisse der Zuwanderer immer besser, jedoch ist eine Inanspruchnahme von Dolmetschern nicht immer zu umgehen.
Unser Fall demonstriert, wie wichtig eine ausführliche Patientenanamnese ist und dass auch Befunde, die anfänglich unfassbar erscheinen, mit Rücksicht auf die Vorgeschichte evaluiert werden müssen. Dass ein Mensch einen derartigen Kopfschuss ohne Beeinträchtigung bedeutender Strukturen der Schädelbasis nahezu unversehrt überlebt, erscheint fantastisch.
Abschließend muss die Bedeutung der dreidimensionalen Diagnostik (Computertomografie oder DVT) hervorgehoben werden und in Fällen von unklaren Beschwerden rechtzeitig in die diagnostische Kette Einzug finden.
PD Dr. Dr. Felix A. S. Blake
MKG am Kurpark
Kurparkallee 4, Bad Oldesloe
blake@mkgamkurpark.de
Dr. Dr. Heiner Werle
MKG in Reinbek
Bahnhofstr. 4
Reinbek bei Hamburg











