Reparatur indirekter Restaurationen
Defekte an Restaurationen sind meist Folge von Sekundärkaries oder von Frakturen, sei es der Zahnsubstanz oder der Restaurationen. Bei der Frage der Therapie gehört es heute zum Standard, vor dem kompletten Ersatz zuerst die Möglichkeit der Reparatur zu prüfen. Der Erhalt einer indirekten Restauration (Inlay, Teilkrone, Krone) durch eine Reparatur bedeutet nicht nur Substanzschonung und Vermeidung unnötiger Pulpairritationen, sondern auch Kostenersparnis für die Patienten. Finanzielle Aspekte spielen vor allem eine Rolle, wenn durch die Reparatur einer Pfeilerkrone festsitzender Zahnersatz erhalten werden kann (Abbildung 1).
Die Reparatur indirekter Restaurationen gestaltet sich meist komplexer als die im ersten Teil besprochene Reparatur von Kompositfüllungen, insbesondere wenn neben der Haftung des Reparaturkomposits an Schmelz und Dentin auch ein möglichst optimaler Verbund zum Werkstoff der Primärrestauration erforderlich ist. Die Werkstoffvielfalt (Silikat-, Oxid- und Hybridkeramiken, Komposite, PMMA, Edelmetall- und NEM-Legierungen) erfordert in solchen Fällen differenzierte Überlegungen zur optimalen Vorbehandlung der defekten Restauration. Dafür stehen werkstoffspezifische Spezialprimer, Universalprimer und seit einiger Zeit auch Universaladhäsive zur Verfügung.
So beeinflussen Art und Lokalisation den Defekt
Die Art und die Lokalisation des Defekts (Abbildung 2) beeinflussen die Zahl der Arbeitsschritte und damit die Komplexität der Prozedur. Grundsätzlich lassen sich in Bezug auf die beteiligten Substrate zwei Ausgangssituationen unterscheiden: Defekte an indirekten Restaurationen sind entweder auf das Restaurationsmaterial begrenzt oder sie erstrecken sich darüber hinaus auf die angrenzende Zahnhartsubstanz.
Typische rein werkstoffbegrenzte Defekte sind (Chipping-)Frakturen an Restaurationen aus Keramik, Hybridkeramik oder Komposit. Sie lassen sich meist relativ unkompliziert reparieren, weil nur die Vorbehandlung des Werkstoffs berücksichtigt werden muss. Ist die Fraktur an der Randleiste aufgetreten, wird in die betroffene Approximalfläche eine kastenförmige „Box-only-Kavität“ („Slot“) präpariert und nach geeigneter Vorbehandlung des Werkstoffs (siehe unten) eine Reparaturfüllung aus Komposit gelegt (Abbildung 3). Schwache oder fehlende Approximalkontakte lassen sich auf die gleiche Art korrigieren (Abbildung 4). Eine möglichst gute und belastungsstabile Haftung des Reparaturkomposits am Restaurationsmaterial ist in all diesen Situationen essenziell für die Haltbarkeit der Reparatur.



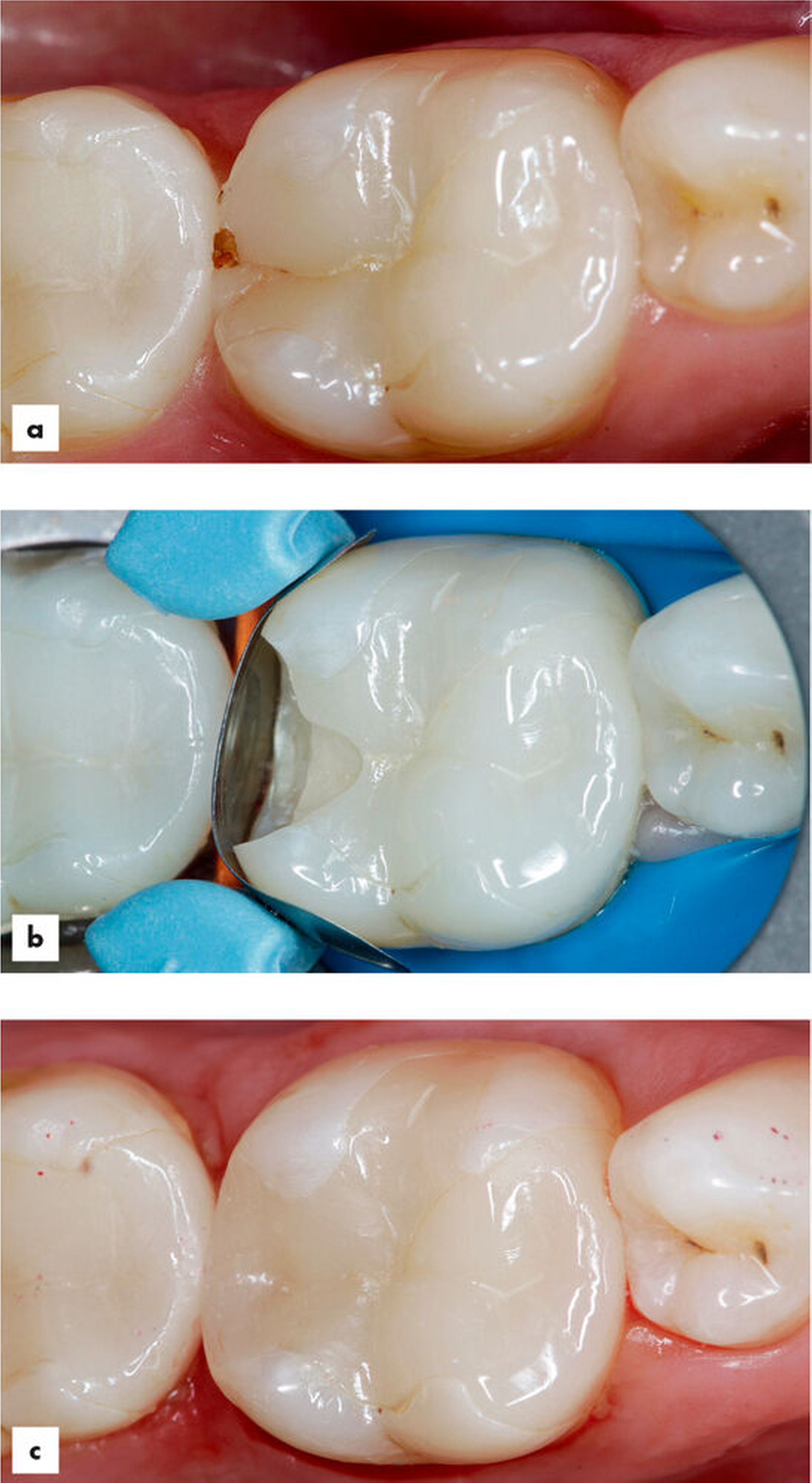
Komplexer gestaltet sich die Reparatur, wenn die adhäsive Vorbehandlung nicht nur auf das Restaurationsmaterial, sondern auch auf die beteiligte Zahnhartsubstanz (Schmelz, Dentin) abgestimmt werden muss, wie etwa bei einer Höckerfraktur. Ähnlich ist die Situation, wenn die Restauration im Fall einer neu entstandenen Primärkaries um eine Approximalfläche erweitert oder nach einer tiefer reichenden Chippingfraktur die gesamte Approximalfläche erneuert werden muss (Abbildung 5). Alle diese Situationen haben gemeinsam, dass der Defekt nicht nur von Restaurationsmaterial, sondern auch von Schmelz und gegebenenfalls Dentin begrenzt ist. Dies gilt auch für Sekundärkariesläsionen und andere Randdefekte (Randspalten, Aussprengungen). Handelt es sich um okklusale Randdefekte, muss bei der Wahl des Reparaturverfahrens berücksichtigt werden, dass die Reparaturfüllung Kaubelastungen ausgesetzt ist (Abbildung 6). Dieser Aspekt spielt bei approximal-lateralen Randabschnitten und bei oralen oder vestibulären (Teil-) Kronenrändern keine Rolle. Weniger komplexe Reparaturprozeduren können hier völlig ausreichend sein (Abbildung 7).

Sekundärkariesläsionen an approximal-zervikalen Restaurationsrändern sind von bukkal oder lingual meist nicht zugänglich. Für eine Reparatur muss in diesem Fall der gesamte approximale Restaurationsteil entfernt werden (Abbildung 8). Damit entsteht eine Situation wie bei approximalen Erweiterungsrestaurationen. Die Teilerhaltung der approximalen Restaurationsfläche ist nur möglich, wenn deren bukko-linguale Ausdehnung groß genug ist und die zervikale Kariesläsion über eine Slot-Präparation zugänglich ist. Eine weitere Reparaturindikation ist der Verschluss endodontischer Zugangskavitäten in Kronen und Teilkronen [Kanzow et al., 2017] (Abbildung 9).
Downloads
- Die Tabelle „Spezialprimer für die Werkstoffvorbehandlung bei der Intraoralen Reparatur indirekter Restaurationen“ finden Sie hier hochauflösend zum Download. - <link url="https://www.zm-online.de/fileadmin/Reparatur_Tabelle_01.jpg" target="new-window" url-fragment seo-title follow="follow">Zum Download 
- Die Tabelle „Universalprimer für die Werkstoffvorbehandlung bei der Intraoralen Reparatur Indirekter Restaurationen“ finden Sie hier hochauflösend zum Download. - <link url="https://www.zm-online.de/fileadmin/Reparatur_Tabelle_02.jpg" target="new-window" url-fragment seo-title follow="follow">Zum Download 
- Die Tabelle „Empfehlungen für die Keramikreparatur bei unterschiedlichen defekttypen Restaurationsarten“ finden Sie hier hochauflösend zum Download. - <link url="https://www.zm-online.de/fileadmin/Reparatur_Tabelle_03.jpg" target="new-window" url-fragment seo-title follow="follow">Zum Download 
Universaladhäsiv oder primer: Wie vorbehandeln?
Während bei der Reparatur von Kompositfüllungen die Vorbehandlung des Restaurationsmaterials und der Zahnhartsubstanz weitgehend identisch ist, beruht der Verbund zwischen den meisten Werkstoffen und dem Reparaturkomposit bei der Reparatur indirekter Restaurationen auf der Vorbehandlung mit einem Primer. Hier unterscheidet man werkstoffspezifische Spezialprimer (Tabelle 1) und überwiegend werkstoffunabhängige Universalprimer (Tabelle 2). Universaladhäsive versprechen eine weitere Vereinfachung, indem sie die Verwendung derartiger Primer überflüssig machen. Sie sollen die Haftung von Komposit nicht nur an Dentin und Schmelz, sondern auch an keramischen und metallischen Werkstoffen ermöglichen.
Spezialprimer
Spezialprimer sind in der Regel jeweils nur für einen bestimmten Werkstoff geeignet (Tabelle 1, Abbildung 10). Eine Ausnahme bilden Primer für Oxidkeramiken, die das Phosphatmonomer 10-MDP enthalten und aufgrund des Bindungsmechanismus von 10-MDP an Metalloxiden auch für die Vorbehandlung von NEM- und Titanlegierungen verwendet werden können. Silikatkeramiken werden nach vorheriger Ätzung mit Flusssäure oder Aufrauhung und Silikatisierung mit einem Silanprimer behandelt. Für die Komposithaftung an Edelmetalllegierungen sorgen Metallprimer, die Monomere mit schwefelhaltigen funktionellen Gruppen (Thioketon- oder Thiol-Gruppen) enthalten. Spezialprimer für hochvernetztes Polymethylmethacrylat (PMMA) basieren auf Methacrylatmonomeren, wie sie auch für Beschichtungen (wie PETIA) und industrielle Klebstoffe (zum Beispiel THFMA) verwendet werden.
Universalprimer
Universalprimer enthalten eine Kombination aus verschiedenen adhäsiven Monomeren (Tabelle 2, Abbildung 11). Sie sind damit für unterschiedliche Werkstoffe geeignet und deutlich vielseitiger einsetzbar als werkstoffspezifische Spezialprimer. Universalprimer, mit denen alle keramischen und metallischen Werkstoffe (Glaskeramik, Hybridkeramik, Zirkonoxidkeramik, Edelmetall- und NEM-Legierungen) abgedeckt werden sollen, müssen neben einem Silan und 10-MDP auch ein schwefelhaltiges Monomer für die Bindung an Edelmetalle enthalten. Es gibt keine Universalprimer, die für die Reparatur von Restaurationen aus hochvernetztem PMMA (meist Langzeitprovisorien) geeignet sind. Für diese Anwendung muss daher auf Spezialprimer zurückgegriffen werden.
Universaladhäsive
Bestimmte Arbeitsschritte im Rahmen der Vorbehandlung keramischer und metallischer Werkstoffe können die Schmelz- und Dentinhaftung beeinträchtigen. Für Silane selber scheint das nicht zuzutreffen – unabhängig davon, ob zuerst das Silan oder das Adhäsiv appliziert wird [Hannig et al., 2003; Chen et al., 2017]. Jedoch ist die Anwendung eines Silans nur sinnvoll, wenn die Silikatkeramik zuvor mit Flusssäure geätzt oder alternativ mit CojetTM-Sand abgestrahlt worden ist. Aus Studien geht hervor, dass der Kontakt von Schmelz und Dentin mit Flusssäure vermieden werden sollte [Loomans et al., 2010; Saracoglu et al., 2011] und dass die Anwendung von CojetTM auf Schmelz zu einer deutlichen Herabsetzung der Schmelzhaftung führt [Hannig et al., 2003]. Vor diesem Hintergrund klingen Werbeaussagen, denen zufolge Universaladhäsive nicht nur als Haftvermittler für die Zahnhartsubstanz, sondern auch für alle möglichen Werkstoffe geeignet sein sollen, verlockend.

Die meisten Universaladhäsive enthalten das selbstkonditionierende Phosphatmonomer 10-MDP, das dank seiner Affinität zu Metalloxiden eine Haftung an Zirkonoxid- und an Aluminiumoxidkeramik sowie an NEM-Legierungen bewerkstelligen kann. Dagegen ist 10-MDP auf Silikatkeramiken nicht adhäsiv wirksam. Wenn also für die intraorale Reparatur von Silikatkeramik (zum Beispiel Verblendungen aus Feldspatkeramik oder Restaurationen aus Lithiumdisilikatkeramik) ein Universaladhäsiv verwendet werden soll, muss zuvor ein Silanprimer aufgetragen werden. Einige Universaladhäsive enthalten ein Silan, um diesen Arbeitsschritt zu umgehen (zum Beispiel Clearfil Universal Bond QuickTM Fa. Kuraray Europe; Scotchbond UniversalTM, Fa. 3M Deutschland). Die Erwartung, damit eine Komposithaftung an Silikatkeramiken erzielen zu können, hat sich allerdings zerschlagen [Lee et al., 2017]. Offenbar ist das in den Universaladhäsiven enthaltene Silan in Gegenwart anderer Komponenten, insbesondere in saurer Lösung, chemisch nicht stabil. Ein dauerhafter Verbund ließ sich experimentell nur erzeugen, wenn das Silan dem Universaladhäsiv direkt vor der Anwendung beigemischt wurde [Yoshihara et al., 2016]. Momentan wird angesichts dieser Probleme intensiv an der Optimierung silanhaltiger Universaladhäsive gearbeitet. Mit welchem Erfolg, muss sich zeigen.

Allerdings kann auf das vorherige Ätzen mit Flusssäure oder Abstrahlen mit CojetTM-Sand nicht verzichtet werden, selbst wenn Universaladhäsive mit einer funktionierenden Silankomponente irgendwann verfügbar sein sollten. Beide Vorbehandlungen beeinträchtigen jedoch, wie oben erwähnt, die Schmelz- und Dentinhaftung.
Die gemeinsame Vorbehandlung von Schmelz, Dentin und Restaurationsmaterial mit einem Universaladhäsiv verspricht den größten Erfolg bei der Reparatur von Restaurationen aus Zirkonoxidkeramik oder NEM-Legierungen. Der Grund dafür ist, dass das in den meisten Universaladhäsiven enthaltene Phosphatmonomer 10-MDP seine adhäsive Wirkung nicht nur auf Schmelz und Dentin, sondern auch auf Metalloxidschichten entfaltet. Dies gilt streng genommen jedoch nur für die Anwendung des 10-MDP-haltigen Universaladhäsivs im Self-Etch-Modus. Wird das Universaladhäsiv im Etch-and-Rinse-Modus verwendet, kann die Kontamination der Zirkonoxidkeramik mit Phosphorsäure dazu führen, dass die oxidischen Bindungsstellen besetzt werden und so für die Anheftung der 10-MDP-Monomere nicht mehr zur Verfügung stehen [Phark et al., 2006; Feitosa et al., 2015].
Der universelle Einsatz von Universaladhäsiven für die Reparatur indirekter Restaurationen ist außerdem dadurch eingeschränkt, dass die meisten nicht an Edelmetalllegierungen haften. Universaladhäsive, die neben 10-MDP (für die Haftung an Schmelz, Dentin, Zirkonoxidkeramik und NEM-Legierungen) und anderen selbstkonditionierenden Monomeren (zum Beispiel 4-MET) auch ein schwefelhaltiges Monomer (zum Beispiel 10-MDTP) für die Haftung an Edelmetalllegierungen enthalten, bilden die absolute Ausnahme (zum Beispiel G-Premio BondTM, Fa. GC Germany).

Fazit: Was die Eignung von Universaladhäsiven für die Reparatur indirekter Restaurationen betrifft, ist die Haftung des Reparaturkomposits vom Werkstoff der Primärrestauration und vom jeweiligen Universaladhäsiv abhängig [Tsujimoto et al., 2017]. Universaladhäsive sind als alleinige Haftvermittlerkomponente, also unter Verzicht auf jegliche Vorbehandlung, lediglich für Oxidkeramiken und NEM-Legierungen geeignet. Bei der Mehrzahl der Werkstoffe (Silikat- und Hybridkeramiken, Edelmetalllegierungen, PMMA) kann – so der aktuelle Stand – auf den Einsatz von Spezial- oder Universalprimern nicht verzichtet werden.
Reparaturrestauration in zwei Phasen
Wenn das Reparaturkomposit sowohl an der Zahnsubstanz als auch an der Primärrestauration optimal haften soll, empfiehlt es sich, die adhäsive Vorbehandlung von Schmelz und Dentin und die des Restaurationsmaterials getrennt durchzuführen. Hierfür eignet sich die zweiphasige Reparaturrestauration [Haller, 2019] (Abbildungen 8 und 14). Dabei wird zunächst die durch den Defekt beziehungsweise die Präparation exponierte Zahnsubstanz (Schmelz, Dentin) mit Komposit abgedeckt (Phase I).
Als Goldstandard für die Schmelzhaftung gilt nach wie vor die Phosphorsäureätzung [Rosa et al., 2015; Suzuki et al., 2016]. Deshalb sollte für Reparaturen mit Schmelzbeteiligung die Etch-and-Rinse-Technik bevorzugt werden, entweder in Verbindung mit einem Mehrschrittsystem oder mit einem Universaladhäsiv. Für dentinbegrenzte Reparaturen an zervikalen Restaurationsrändern kann ein selbstkonditionierendes Zwei-Schritt-Bondingsystem oder ein Universaladhäsiv im Self-Etch-Modus verwendet werden. Nach Lichthärtung des Adhäsivs werden die freiliegenden Schmelz- und Dentinareale vollständig mit Komposit abgedeckt. Dafür kann je nach Situation ein pastöses Komposit, ein Flowkomposit oder eine Kombination von beiden verwendet werden. Die Phase I endet damit, dass die Klebeflächen der Primärrestauration mit Diamantfinierern von Adhäsiv- und Kompositresten befreit werden. Es ist kein Problem, wenn dabei auch das Komposit, das zum Abdecken von Schmelz und Dentin aufgetragen worden ist, anpräpariert wird. Ziel ist, dass zu diesem Zeitpunkt das gesamte Reparaturareal nur noch von Restaurationsmaterialien (Primärrestauration, Kompositüberzug auf Schmelz und Dentin) begrenzt ist und keine Zahnsubstanz mehr freiliegt.
Es folgt als Phase II die auf den Werkstoff abgestimmte Vorbehandlung der Restauration mit einem Spezial- oder Universalprimer. Die Schmelz- und Dentinhaftung kann dank des Kompositüberzugs weder durch den Werkstoffprimer noch durch Sandstrahlen oder Flusssäureätzung in Mitleidenschaft gezogen werden. Nach der Einwirkung des Werkstoffprimers wird erneut Adhäsiv aufgetragen und lichtgehärtet. Abschließend wird der Defekt mit Komposit versorgt. Das Prinzip der zweiphasigen Reparatur lässt sich unabhängig vom Werkstoff auf alle Restaurationsarten anwenden und kann auch mit der Proximal-Box-Elevation-Technik kombiniert werden. Das Verfahren ist außerdem offen für neue Arten der Vorbehandlung, sofern diese nicht die Qualität des Komposit-Komposit-Verbunds beeinträchtigen.
Tipps zur Vorbehandlung der Werkstoffe
Die folgenden Empfehlungen für die Vorbehandlung indirekter Restaurationen im Rahmen von Reparaturen gelten sowohl für die zweiphasige Reparaturtechnik als auch für Situationen, in denen der Defekt nur auf das Restaurationsmaterial begrenzt ist. Dabei ist zu beachten, dass in beiden Fällen mehrere Werkstoffe beteiligt sein können, zum Beispiel bei VMK-Kronen (Abbildung 1) oder Vollkeramikkronen mit einem Zirkonoxidgerüst (Abbildung 3).
Zirkonoxidkeramik
Die Vorbehandlung von Zirkonoxidkeramik im Rahmen der Reparatur mit Komposit umfasst das Sandstrahlen mit Aluminiumoxidpulver (Korngröße 30 bis 50 µm) und die Applikation eines Zirkonoxid-Spezialprimers (Tabelle 1) oder eines 10-MDP-haltigen Universalprimers (Tabelle 2). Die Silikatisierung mit CojetTM, gefolgt von der Applikation eines Silanprimers zeigte eine vergleichbare Wirksamkeit [Han et al., 2013]. 10-MDP-haltige Universaladhäsive können auf Zirkonoxidkeramik eine ähnliche Komposithaftung erzielen wie 10-MDP-haltige Zirkonoxid- beziehungsweise Universalprimer [Seabra et al., 2014; Elsayed et al., 2017].
Silikatkeramik
Zu den Silikatkeramiken zählen Feldspatkeramik, leuzitverstärkte Glaskeramik und Lithiumdisilikatkeramik. Die Ätzung mit fünf- bis zehnprozentiger Flusssäure (Abbildung 12), gefolgt von der Applikation eines Silans (in Form eines Silanprimers oder eines silanhaltigen Universalprimers) stellt nach Einschätzung der meisten Autoren eine probate Vorbehandlung für die Reparatur von Restaurationen aus Silikatkeramik dar [de Melo et al., 2007; Kalavacharla et al., 2015; Kim et al., 2015; Neis et al., 2015; Yoshihara et al., 2016; Elsayad et al., 2017; Lee et al., 2017]. Die Flusssäure reagiert mit den Glasanteilen der Glaskeramik und entfernt diese selektiv. Dadurch werden kristalline Strukturen freigelegt und ein mikroretentives Ätzmuster erzeugt [Chen et al., 1998; Zogheib et al., 2011] (Abbildung 13). Abbildung 14 zeigt die Reparatur einer Glaskeramikteilkrone nach dem Prinzip der zweiphasigen Reparaturrestauration. Für die Adhäsivbefestigung von Restaurationen aus Zirkonoxid-verstärkter Lithiumsilikatkeramik (Celtra DuoTM, Fa. Dentsply Sirona, Bensheim) wird ebenso die Vorbehandlung mittels Flusssäureätzung (Abbildung 15) und Silanisierung empfohlen, was für die Reparatur dieser Restaurationen übernommen werden kann.
Bei der intraoralen Flusssäure-Anwendung sind folgende Schutzmaßnahmen unverzichtbar (Abbildung 3d):
- Schutzbrille 
- Anlegen von Kofferdam, gegebenenfalls zusätzliche Abdichtung (zum Beispiel mit OpalDamTM; Fa. Ultradent Products) 
- Schutz benachbarter Zahn- beziehungsweise Keramikflächen, zum Beispiel durch Anlegen einer Metallmatrize (Abbildung 14 e) und/oder Teflonband 
- Prüfung auf leichte Durchgängigkeit des Gels bei leichtem Druck auf den Spritzenstempel (Bei Widerstand keinen Druck aufbauen! Applikationskanüle auswechseln und erneut prüfen!) 
- gute Absaugung 

Eine Alternative zur intraoralen Flusssäureätzung – wenn diese beispielsweise als zu riskant empfunden wird – ist die tribochemische Silikatisierung (CojetTM) (Abbildung 16). Auch hier muss ein Silan appliziert werden, bevor das Adhäsiv aufgetragen wird. Für die Flusssäureätzung spricht allerdings, dass sich dieses Verfahren für die Vorbehandlung von Silikatkeramiken im Rahmen der Adhäsivbefestigung seit Jahrzehnten bewährt hat. An dieser Einschätzung ändert auch nichts, dass in einzelnen Studien die Komposithaftung nach Silikatisierung mit CojetTM größer war als nach Flusssäureätzung [Al-Thagafi et al., 2016]. Was eine mögliche Vereinfachung der Prozedur durch silanhaltige Universaladhäsive betrifft, so hat sich gezeigt, dass diese weder die Flusssäureätzung beziehungsweise Silikatisierung noch die separate Anwendung eines Silanprimers oder eines silanhaltigen Universalprimers ersetzen können [Cardenas et al., 2017; Lee et al., 2017].
Hybridkeramik
Bei Hybridkeramiken handelt es sich um eine relativ neue, inhomogene Werkstoffgruppe. Entsprechend uneinheitlich sind die Empfehlungen für die adhäsive Vorbehandlung. Für Shofu Block HCTM (Fa. Shofu Dental) werden Flusssäure oder Sandstrahlen und ein produktspezifischer Spezialprimer (HC PrimerTM) empfohlen, für CerasmartTM (Fa. GC Germany) Sandstrahlen und ein silanhaltiger Universalprimer (G-Multi PrimerTM, Fa. GC Germany). Auf VITA EnamicTM (Fa. VITA Zahnfabrik) wurden die höchsten initialen Haftwerte mittels Silikatisierung erzielt; diese fielen jedoch durch künstliche Alterung auf 20 Prozent ab [Campos et al., 2016]. Die initiale Haftfestigkeit nach Flusssäureätzung lag zwar im Vergleich zur Silikatisierung niedriger, dafür war der Abfall der Haftwerte nach Wasserlagerung weniger markant. Für die Reparatur von Hybridkeramiken scheint momentan die Flusssäureätzung (Abbildung 17) mit anschließender Silan-Applikation die beste Empfehlung zu sein. Dass dies dem Prozedere bei der Reparatur von Silikatkeramiken entspricht, ist günstig, weil oft nicht bekannt ist, um welchen Werkstoff es sich im Einzelfall handelt.
Komposit
Industriell gefertigte Kompositblöcke für die CAD/CAM-Technik haben einen höheren Polymerisations- und Vernetzungsgrad als die Komposite für die direkte Füllungstechnik. Die Herstellerangaben zur adhäsiven Vorbehandlung von CAD/CAM-gefrästen Kompositrestaurationen sind nur im Zusammenhang mit der Adhäsivbefestigung verwertbar. Für das Vorgehen im Rahmen einer Reparatur sind sie wenig hilfreich, da häufig nicht bekannt ist, aus welchem Komposit die zu reparierende Restauration besteht. Die Aussagen zur Wirksamkeit der Flusssäureätzung und zum Nutzen der Silanisierung sind ähnlich widersprüchlich wie bei direkten Kompositrestaurationen [Mine et al., 2019]. Manche Hersteller raten ausdrücklich von der Ätzung mit Flusssäure ab (Grandio blocsTM, Fa. VOCO). Während für manche CAD/CAM-gefrästen Komposite ein Haftsilan vorgesehen ist (Grandio blocsTM, Fa. VOCO), soll bei anderen ausdrücklich kein Silan verwendet werden (Brilliant CriosTM, Fa. Coltène, CH-Altstätten). Falls bekannt ist, aus welchem Komposit die Primärrestauration besteht, sollten bei der Reparatur die einschlägigen Herstellerangaben befolgt werden. In allen anderen Fällen wird angesichts dieser Widersprüche empfohlen, bis auf Weiteres analog zur Reparatur direkter Kompositfüllungen vorzugehen, also die Reparaturfläche mit Aluminiumoxid (30 bis 50 µm) abzustrahlen und anschließend ein Mehrschritt-Bondingsystem oder ein Universaladhäsiv aufzutragen.
PMMA
Defekte an CAD/CAM-gefertigten Langzeitprovisorien aus PMMA lassen sich mit Komposit reparieren, indem die Oberfläche durch Sandstrahlen mit Aluminiumoxid aufgeraut und danach mit einem Spezialprimer auf Methylmethacrylatbasis (Tabelle 1) behandelt wird.
Metalle
Edelmetalllegierungen werden sandgestrahlt [Ishii et al., 2009] und mit einem speziellen Metallprimer (Tabelle 1) oder einem Universalprimer (Tabelle 2) behandelt. Universalprimer sind gleich gut geeignet wie Spezialprimer für Metalle, sofern sie Monomere mit Thioketon- oder Thiol-Gruppen enthalten [Hiraba et al., 2019] (Abbildung 10). Die Komposithaftung an Edelmetalllegierungen lässt sich auch mittels Silikatisierung und Applikation eines Silanprimers erzielen [Cobb et al., 2000].
Die Haftung von Komposit an NEM-Legierungen lässt sich ebenfalls auf zwei Arten herstellen. Zum einen durch Sandstrahlen der Metalloberfläche mit Aluminiumoxidpulver (Korngröße 50 µm), gefolgt von der Applikation eines 10-MDP-haltigen Metallprimers. Zum anderen durch Silikatisierung und Silanisierung. Während eine Studie keinen Unterschied zwischen beiden Methoden nachweisen konnte [Fonseca et al., 2012], fanden andere Autoren eine Überlegenheit der Silikatisierung und Silanisierung [dos Santos et al., 2006]. Die Anwendung eines Universaladhäsivs allein vermag nicht, die genannten Vorbehandlungen komplett zu ersetzen. So war die Haftung eines Universaladhäsivs an einer Ni-Cr-Legierung allein schwächer, als wenn das Universaladhäsiv in Kombination mit einem Metallprimer beziehungsweise einem Universalprimer verwendet wurde [Nima et al., 2017].


Entsprechende Empfehlungen gelten für die Reparatur von Amalgamfüllungen (Abbildung 18). In bestimmten Situationen kann ein möglichst fester Verbund zwischen dem Reparaturkomposit und der Primärrestauration von Bedeutung sein, zum Beispiel beim Ersatz eines frakturierten Höckers [Özcan und Volpato, 2016]. Auch hier liefert die Vorbehandlung mittels Silikatisierung und Silanisierung ähnliche Haftfestigkeiten wie Sandstrahlen mit Aluminiumoxid und Applikation eines 10-MDP-haltigen Metallprimers [Özcan et al., 2011]. Die Komposithaftung an Amalgam ist allerdings deutlich geringer als die an Komposit [Kanzow et al., 2019]. Zwar lieferte ein Silan- und 10-MDP-haltiges Universaladhäsiv in Kombination mit der Silikatisierung scheinbar gute Haftfestigkeiten, jedoch können diese schlecht eingeordnet werden, da auf wesentliche Kontrollgruppen (separate Silanapplikation vor der Anwendung des Universaladhäsivs; Verwendung eines Metallprimers) verzichtet wurde [Kanzow et al., 2019].
Fazit für die Praxis
Während bei der Reparatur von Kompositfüllungen die Vorbehandlungsschritte für das Primärkomposit und für Schmelz und Dentin weitgehend identisch sind, müssen bei der Reparatur indirekter Restaurationen die Besonderheiten der beteiligten Werkstoffe (Keramik, Metall) berücksichtigt werden. Empfehlungen für das Vorgehen bei der Reparatur von Keramik in Abhängigkeit von Defekttyp und Restaurationsart finden sich in Tabelle 3. Die Vorbehandlung indirekter Restaurationen im Rahmen der Reparatur umfasst den Einsatz werkstoffspezifischer Spezialprimer oder von Universalprimern. Universaladhäsive sind – anders als oft behauptet – meist nicht in der Lage, einen befriedigenden Verbund des Reparaturkomposits an den zahlreichen unterschiedlichen Werkstoffen herzustellen, ohne dass zusätzliche Vorbehandlungsschritte eingebaut werden. Eine zufriedenstellende Haftung erzielen 10-MDP-haltige Universaladhäsive nur auf Zirkonoxidkeramik und NEM-Legierungen.

Das Dilemma, dass die meisten für indirekte Restaurationen empfohlenen Vorbehandlungen die Schmelz- und Dentinhaftung beeinträchtigen, lässt sich durch das Konzept der zweiphasigen Reparaturrestauration umgehen. Damit lassen sich optimale und dauerhafte Reparaturergebnisse erzielen, weil den spezifischen Anforderungen und der verschiedenen Werkstoffe Rechnung getragen wird, ohne dass dadurch die Schmelz- und Dentinhaftung beeinträchtigt wird. Es gibt aber auch viele klinische Situationen, wie eine bukkale Kronenrandkaries im nicht sichtbaren Bereich, in denen ein weniger aufwendiges Reparaturprozedere auch befriedigende Ergebnisse liefern kann.














