Therapie einer ausgedehnten radikulären Oberkieferzyste
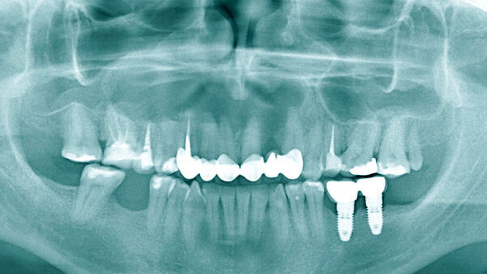
Eine 37-jährige Patientin stellte sich zur Weiterbehandlung einer radiologisch auffälligen Raumforderung im Bereich des Oberkiefers in unserer Ambulanz vor. Das vorhandene Orthopantomogramm (Abbildung 1) zeigte neben dem aktuellen Zahnstatus mit den bereits endodontisch behandelten Zähnen 16, 15, 13 und 25 sowie den implantologisch ersetzten Zähnen 36 und 37 eine zystische Raumforderung von regio 16 bis 23. Klinisch reagierten die Zähne 14, 12, 11, 21 und 23 auf Kälte sensibel. Es bestanden keine Zahnlockerungen. Vestibulär in regio 13 bis 15 stellte sich eine Knochenauftreibung mit auslösbarem, pergamentartigem Knistern dar. Zur dreidimensionalen Darstellung der Zyste wurde ein DVT des Oberkiefers erstellt (Abbildung 2).
In Intubationsnarkose folgte die Zystektomie (Abbildung 3) über einen marginalen Randschnitt vestibulär regio 17 bis 24.
Dabei wurde die rechte Kieferhöhle über den distalen Zystenanteil im Sinne einer Zystantrostomie eröffnet. Die Zähne 13 und 15 wurden wurzelspitzenreseziert und retrograd wurzelgefüllt sowie die Zähne 14, 12, 11, 21 und 23 orthograd wurzelgefüllt und im Anschluss wurzelspitzenreseziert (Abbildung 4). Intraoperativ wies der Zahn 16 im Bereich der distobukkalen Wurzelspitze eine Paro-Endo-Läsion auf, so dass wir uns entschieden, diesen zu entfernen. Abschließend erfolgten ein Gingivaverschluss sowie die Deckung der iatrogen entstandenen Mund-Antrum-Verbindung in regio 016 mit einem Rehrmann-Lappen.
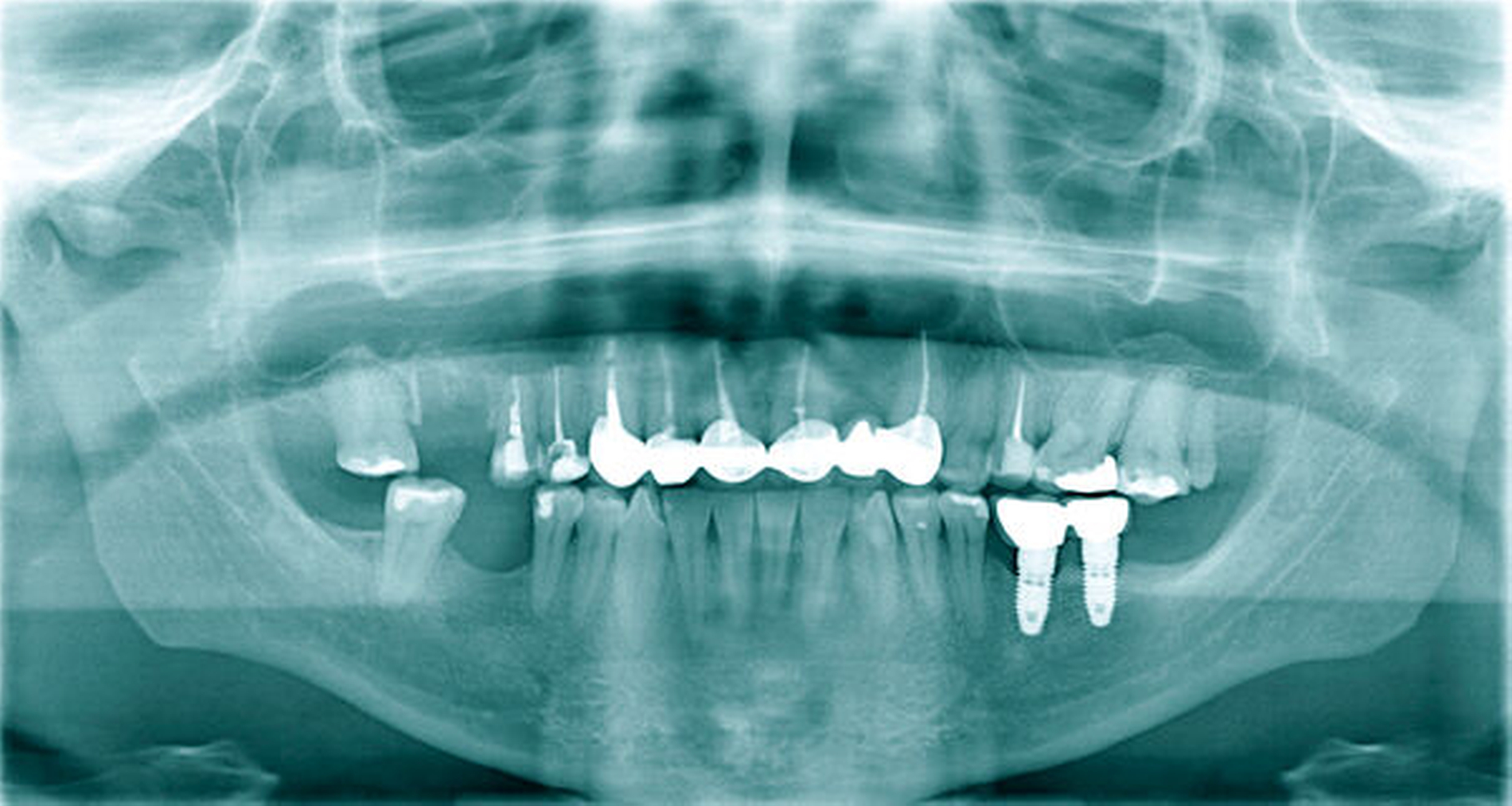
Die postoperative Wundheilung verlief stadiengerecht, so dass wir die Patientin mit den obligaten Verhaltensmaßnahmen nach Verschluss einer Mund-Antrum-Verbindung am fünften postoperativen Tag in die ambulante Nachsorge entlassen konnten. Das postoperative Orthopantomogramm dokumentiert den Bereich der resezierten Zyste mit seiner Zystantrostomie zur rechten Kieferhöhle, den vollständig entfernten Zahn 16 sowie die durchgeführten endodontischen Maßnahmen (Abbildung 4). Die abschließende Histologie ergab eine radikuläre Zyste ohne Anhalt auf Malignität.
Diskussion
Die WHO gliedert die zu den odontogenen Tumoren zählenden Kieferzysten in epitheliale und nichtepitheliale Zysten. Letztgenannte werden auch als „Pseudozysten“ bezeichnet und beinhalten die aneurysmatischen sowie die solitären, die traumatischen und die hämorrhagischen Knochenzysten. Die epithelialen Kieferzysten werden entsprechend ihrer Entstehung weiter in entwicklungs- und entzündungsbedingt unterteilt. Radikuläre Zysten gehören zusammen mit den residualen und den paradentalen (Craig-Zysten) zu den entzündungsbedingten Zysten. Andererseits können entwicklungsbedingte Zysten odontogenen und nichtodontogenen Ursprungs sein. Als odontogen bezeichnet man dabei die Gingiva-, die follikuläre, die Eruptions-, die laterale parodontale, die sialo-odontogene sowie die kalzifizierende odontogene Zyste. Der zwischenzeitlich (von 2005 bis 2017) zu den odontogenen Tumoren zählende keratozystische odontogene Tumor gehört seit 2017 als Keratozyste wieder zu den odontogenen Zysten [Wright and Vered, 2017]. Zu den nichtodontogenen gehören die nasopalatinale-, die nasoalveoläre- und die globulomaxilläre Zyste [Kramer et al., 1992; Barnes et al., 2005; Sumbh et al., 2017].
Mit einem Anteil von 52 bis 68 Prozent ist die – auch in unserem Fall vorliegende – radikuläre Zyste die häufigste odontogene Zyste. Sie entsteht aus Epithelresiduen des parodontalen Ligaments einer chronischen apikalen Parodontitis, resultierend aus einem avitalen oder bereits endodontisch behandelten Zahn. Die Epithelresiduen stammen zumeist von den Malassezschen Epithelresten der Zahnleiste. Da ihr Wachstum überwiegend schmerzlos und dadurch lange Zeit im Verborgenen verläuft, werden radikuläre wie auch die oben genannten übrigen odontogenen Zysten zumeist als Zufallsbefund bei radiologischen Untersuchungen diagnostiziert. Radikuläre Zysten sind überwiegend ein-, können aber auch mehrkammerig sein. Das Zystenlumen ist mit einer gelblichen, von Cholesterinkristallen durchsetzten Flüssigkeit gefüllt, die sich im Verlauf infizieren kann [Riviş and Văleanu, 2013; Kadam et al., 2014].
In unserem Fall war aufgrund der Zystengröße keine genaue Angabe bezüglich des Zystenursprungs möglich. Da sämtliche in der Zyste stehenden, nicht endondontisch vorbehandelten Zähne präoperativ auf Kälte sensibel waren, muss die Genese in einem der Zähne 13, 15 oder 16 gelegen haben.
Fazit für die Praxis
Radikuläre Zysten gehören laut der WHO zu den epithelialen, entzündungsbedingten Zysten.
Mögliche Therapieformen radikulärer Kieferzysten stellen die Zystostomie, die Zystektomie oder im Oberkiefer die Zystantrostomie dar.
Zum Malignitätsausschluss ist ektomiertes Gewebe stets histologisch aufzuarbeiten.
Die Einbringung von autologem Knochen gegebenenfalls in Kombination mit PRF, allogenem oder xenogenem Knochen sowie Knochenersatzmaterial ermöglicht eine verbesserte Knochenheilung.
Mögliche Therapieformen radikulärer Kieferzysten sind die Zystostomie (Partsch I), bei der die Zystenhöhle zu einer oralen Nebenbucht wird, die Zystektomie (Partsch II – hier wird die Zyste vollständig entfernt) oder im Oberkiefer die Zystantrostomie, bei der die Zystenhöhle zu einer Nebenbucht der Kieferhöhle wird [Ciulli et al., 2009; Riviş and Văleanu, 2013; Oliveros-Lopez et al., 2017]. In unserem Fall haben wir uns aufgrund der Lokalisation und der Zystengröße für die Zystektomie entschieden. Die intraoperativ entstandene Zystantrostomie war unabdingbar.
In seltenen Fällen kann sich bei einer vermeintlich harmlos erscheinenden Kieferzyste auch mal ein KZOT, der bei inadäquater Entfernung eine hohe Rezidivrate besitzt, oder ein maligner Prozess verbergen. Die histologische Aufarbeitung des ektomierten Gewebes ist somit obligat [Kün-Darbois et al., 2015].
Zur Vermeidung eines Rezidivs wurden anschließend die Zähne 13 und 15 wurzelspitzenreseziert und mit retrograden Wurzelfüllungen versehen. Hätte der Zahn 16 intraoperativ keinen Paro-Endo-Defekt aufgewiesen, hätte er ebenfalls wurzelspitzenreseziert und retrograd wurzelgefüllt werden können. Hier ist zu diskutieren, ob der Zahn gegebenenfalls durch eine Amputation der distobukkalen Wurzel partiell hätte erhalten werden können. Im Hinblick auf die Zystektomie-bedingte Devitalisierung der Zähne 14, 12, 11, 21 und 23 wurden diese orthograd wurzelgefüllt und danach wurzelspitzenreseziert.
Entstandene größere Knochendefekte können nach der Zystektomie zur Unterstützung der Heilung mit autologem Knochen, gegebenenfalls in Kombination mit Platelet Rich Fibrin (PRF), mit allogenem oder mit xenogenem Knochen sowie mit bereits bewährtem Knochenersatzmaterial augmentiert werden [Vidhale et al., 2015; Pradeep et al., 2016]. Eine präoperativ mit der Patientin vereinbarte eventuelle Einbringung von Beckenkammspongiosa wurde in unserem Fall bei entstandener Zystantrostomie zur Vermeidung einer postoperativen Infektion verworfen.
PD Dr. Med. Dr. med. dent. Thomas Mücke
Klinik für Mund-, Kiefer- und Gesichtschirurgie, plastische und ästhetische Operationen
Malteser Krankenhaus St. Josefshospital
Kurfürstenstr. 69, 47829 Krefeld-Uerdingen
Thomas.Muecke@malteser.org
Dr. med. Felix Paulßen von Beck
Klinik für Mund-, Kiefer- und Gesichtschirurgie, plastische und ästhetische Operationen
Malteser Krankenhaus St. Josefshospital
Kurfürstenstr. 69, 47829 Krefeld-Uerdingen
Felix.Paulssen@malteser.org
Dr. med. dent. Katrin Rüdiger
Klinik für Mund-, Kiefer- und Gesichtschirurgie, Plastische und ästhetische Operationen
Malteser Krankenhaus St. Josefshospital
Kurfürstenstr. 69, 47829 Krefeld-Uerdingen
Literaturliste
Barnes L, Eveson JW, Reichart P, Sidransky D. World Health Organization, classification of tumors, pathology and genetics. 2005; Head and neck tumors, IARC Press, Lyon.
Ciulli E, Rocci M, Bollero R, Pandolfi C, Ottria L, Mampieri G, Barlattani A Jr, Bollero P. Maxillary cyst: description of a clinical case. Oral Implantol (Rome). 2009; 2(2): 28-33.
Kadam NS, Ataide Ide N, Raghava P, Fernandes M, Hede R. Management of large radicular cyst by conservative surgical approach: a case report. J Clin Diagn Res. 2014; 8(2): 239-241.
Kramer IR, Pindborg JJ, Shear M. The WHO Histological Typing of Odontogenic Tumours. A commentary on the Second Edition. Cancer. 1992; 70(12): 2988-2994.
Kün-Darbois JD, Pare A, Goga D, Laure B. In situ squamous cell carcinoma arising in a mandibular radicular cyst. Eur Ann Otorhinolaryngol Head Neck Dis. 2015; 132(5): 305-306.
Oliveros-Lopez L, Fernandez-Olavarria A, Torres-Lagares D, Serrera-Figallo MA, Castillo-Oyagüe R, Segura-Egea JJ, Gutierrez-Perez JL. Reduction rate by decompression as a treatment of odontogenic cysts. Med Oral Patol Oral Cir Bucal. 2017; 22(5): e643-e650.
Pradeep K, Kudva A, Narayanamoorthy V, Cariappa KM, Saraswathi MV. Platelet-rich fibrin combined with synthetic nanocrystalline hydroxy apatite granules in the management of radicular cyst. Niger J Clin Pract. 2016; 19(5): 688-691.
Riviş M, Văleanu AN. Giant maxillary cyst with intrasinusal evolution. Rom J Morphol Embryol. 2013; 54(3): 889-892.
Sumbh B, Sumbh SG, Jain P, Pagare J. Classification of odontogenic Cysts: A Review. IOSR Journal of Dental and Medical Sciences. 2017; 16 (4): 79-82.
Vidhale G, Jain D, Jain S, Godhane AV, Pawar GR. Management of Radicular Cyst Using Platelet-Rich Fibrin & Iliac Bone Graft - A Case Report. J Clin Diagn Res. 2015; 9(6): ZD34-36.
Wright JM, Vered M. Update from the 4th Edition of the World Health Organization Classification of Head and Neck









