Progredient wachsender Torus mandibularis
Der Patient stellte sich in der Ambulanz der Mund-, Kiefer- und Gesichtschirurgie der Universitätsmedizin Mainz nach Überweisung durch einen niedergelassenen Mund-, Kiefer- und Gesichtschirurgen mit Exostosen im Unterkiefer vor.
Anamnestisch bestanden die Exostosen bereits seit mehreren Jahren und wurden zunächst durch den behandelnden Hauszahnarzt routinemäßig kontrolliert. Wegen einer Größenprogredienz und der Behinderung der Zungenbeweglichkeit mit beginnender Sprachveränderung erfolgte zunächst die Überweisung an einen niedergelassenen MKG-Chirurgen mit der Bitte um Therapieübernahme. Dieser überwies den Patienten bei ausgedehntem Befund an unsere Klinik.
Diagnose
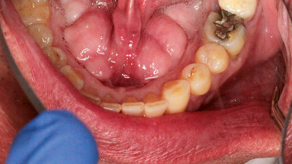
Klinisch präsentierte sich der Patient in gutem Allgemein- und Ernährungszustand ohne auffällige Familienanamnese. Bei der oralen Inspektion imponierten zwei Raumforderungen im Unterkiefer lingual beidseits mit einer Adhärenz zum Alveolarkamm (Abbildung 1). Auf Palpation gab der Patient keine Schmerzen an. Es bestanden keine Gefühls- oder Geschmacksstörungen.
Zur erweiterten Diagnostik wurde eine Digitale Volumentomografie (DVT) angefertigt. Diese zeigte zwei lingual gelegene knöcherne Auftreibungen mit einer Ausdehnung von der Unterkieferfrontzahnregion bis zu den Molaren (Abbildung 2). Nebenbefundlich zeigte sich ein nicht erhaltungswürdiger Zahn 36. Bei unauffälliger Anamnese, fehlender B-Symptomatik sowie einem langsamen und verdrängenden Wachstum wurde die Verdachtsdiagnose eines Torus mandibularis gestellt.
Nach ausführlicher Beratung über mögliche Therapiealternativen entschied sich der Patient – auch aufgrund einer voranschreitenden Einschränkung der Zungenbeweglichkeit – zur Entfernung des Befunds.
In Intubationsnarkose wurde zunächst über eine marginale Schnittführung im Unterkiefer beidseits die Schleimhaut gelöst und nach lingual verdrängt (Abbildung 3). Nach vollständiger Darstellung der Exostosen wurden die Befunde unter Schutz der Zahnwurzeln mittels Piezochirurgie und Meißel osteotomiert und die Knochenkanten geglättet (Abbildung 4). Abschließend erfolgten die Extraktion des nicht erhaltungswürdigen Zahns 36 und ein Wundverschluss der Mundschleimhaut. Aufgrund des ausgedehnten Wundgebiets und der Gefahr einer lingualen Einblutung wurde der Patient postoperativ auf unserer Station aufgenommen.
Die radiologische Kontrolle zeigte einen regelrechten Befund nach Abtragung der Exostosen (Abbildung 5). Bei komplikationslosem Verlauf konnte der Patient die Klinik am zweiten postoperativen Tag verlassen. Die histopathologische Aufbereitung zeigte organoiden Knochen ohne Nachweis von Dysplasien, passend zur bereits klinisch gestellten Diagnose einer Exostose.
Diskussion
Als Tori werden gutartige knöcherne Protuberanzen, synonym Exostosen, bezeichnet. Als typische Lokalisation innerhalb der Mundhöhle finden sich Tori in der Mittellinie des Gaumens als Torus palatinus oder im Bereich der lingualen Mandibula oberhalb der Ansatzebene des Musculus mylohyoideus als Torus mandibularis. Kennzeichnend ist ein langsames, progressives Wachstum, das spontan sistieren kann [Garcia-Garcia et al., 2010]. Oftmals werden Tori als Zufallsbefunde bei Inspektion der Mundhöhle in der zweiten oder in der dritten Lebensdekade auffällig, wobei Tori palatini häufiger bei Frauen zu finden sind als bei Männern [Loukas et al., 2013].
Die Ätiologie wird als multifaktoriell angesehen. Neben genetischen Komponenten spielen Umweltfaktoren, okklusaler Stress und Ernährungsgewohnheiten eine Rolle [Santhanakrishnan und Rangarao, 2014]. Die Größe der Tori reicht von einigen Millimetern bis zu mehreren Zentimetern im Durchmesser [Reichart et al., 1988].
Je nach Lokalisation und Ausdehnung können Exostosen zu Phonationsstörungen, Ulzerationen der Mundschleimhaut, mastikatorischen Dysfunktionen oder prothetischer Instabilität führen [Eggen und Natvig, 1994].
Radiologisch erscheinen Tori in der Regel mit einer geringfügig höheren Dichte als die der umgebenden Knochen. Eine radiologische Diagnostik (zum Beispiel DVT oder Mundbodenaufnahme) ist bei klinisch eindeutigem Befund nicht immer notwendig und sollte nur in begründeten Fällen zur erweiterten Diagnostik genutzt werden. Die histologische Begutachtung zeigt in der Regel ein ähnliches Bild wie die Struktur des normalen Knochens mit einer leicht erhöhten Porosität und geringer ausgeprägten Markräumen.
Eine Therapie ist nicht immer indiziert. Bei Symptomfreiheit kann ein konservatives Therapieregime mit klinischen Kontrollen, gegebenenfalls in Kombination mit radiologischen Kontrollen, ausreichend sein. Die häufigsten Gründe zur Entfernung von Exostosen sind neben Ulzerationen, Phonationsstörungen, prothetische Gründe sowie ästhetische Ansprüche des Patienten und die Verwendung von Exostosen als autogenes Graft für parodontale und implantologische Eingriffe [Karaca et al., 2019].
Die chirurgische Entfernung der Tori kann je nach Größe und Lokalisation in Lokalanästhesie oder Intubationsnarkose erfolgen. Nach Abheilung ist in der Regel mit einer Restitutio ad integrum zu rechnen. Trotzdem sollten Patienten über mögliche Komplikationen aufgeklärt werden. Dazu zählen neben der Perforation des Nasenbodens bei Entfernung eines Torus im Bereich des Gaumens vor allem die Schädigung des Nervus lingualis sowie eine Devitalisierung von Zähnen durch Wurzelverletzungen bei der Entfernung von Exostosen im Unterkiefer.
Differenzialdiagnostisch sollte neben den primären Knochentumoren wie dem Osteom und dem Osteoblastom auch an odontogene Tumore wie das Odontom oder das Zementoblastom gedacht werden. Diese in der Regel ebenfalls langsam progredienten Befunde sind oft nur radiologisch oder histologisch von Exostosen abzugrenzen. Demgegenüber stehen hoch aggressiv wachsende Tumore mesenchymalen Ursprungs wie das Osteosarkom [Kämmerer et al., 2012]. Bei rasch voranschreitenden Befunden mit Symptomen wie Zahnlockerung, Blutungen und Sensibilitätsstörungen sollte dringend eine histologische Untersuchung angestrebt werden.
Dr. Philipp Matheis
Klinik und Poliklinik für Mund-, Kiefer- und Gesichtschirurgie,
Universitätsmedizin Mainz
Augustusplatz 2, 55116 Mainz
philipp.matheis@unimedizin-mainz.de
Dr. Med. Dr. MED. Dent. Roman Rahimi-Nedjat
Klinik und Poliklinik für Mund-, Kiefer- und Gesichtschirurgie,
Universitätsmedizin Mainz
Augustusplatz 2, 55116 Mainz
PD Dr. Dr. Peer W. Kämmerer, MA, FEBOMFS
Leitender Oberarzt und stellvertretender Klinikdirektor
Klinik und Poliklinik für Mund-, Kiefer- und Gesichtschirurgie, Plastische Operationen
Universitätsmedizin Mainz
Augustusplatz 2, 55131 Mainz
peer.kaemmerer@unimedizin-mainz.de
Fazit für die Praxis
Tori sind benigne höckerartige Vorsprünge, die sich sowohl im Unter- als auch im Oberkiefer finden.
Prothetische Gründe, Ulzerationen oder Phonationsstörungen können eine Indikation zur Entfernung darstellen.
Bei rascher Größenprogredienz ist eine histologische Untersuchung unbedingt anzustreben.
Literaturliste
Eggen, S. and B. Natvig (1994). „Concurrence of torus mandibularis and torus palatinus.“ Scand J Dent Res 102(1): 60-63.
Garcia-Garcia, A. S., J. M. Martinez-Gonzalez, R. Gomez-Font, A. Soto-Rivadeneira and L. Oviedo-Roldan (2010). „Current status of the torus palatinus and torus mandibularis.“ Med Oral Patol Oral Cir Bucal 15(2): e353-360.
Kämmerer, P. W., N. Shabazfar, N. Vorkhshori Makoie, M. Moergel and B. Al-Nawas (2012). „Clinical, therapeutic and prognostic features of osteosarcoma of the jaws - experience of 36 cases.“ J Craniomaxillofac Surg 40(6): 541-548.
Karaca, I. R., D. N. Ozturk and H. O. Akinci (2019). „Mandibular Torus Harvesting for Sinus Augmentation: Two-Year Follow-Up.“ J Maxillofac Oral Surg 18(1): 61-64.
Loukas, M., P. Hulsberg, R. S. Tubbs, T. Kapos, C. T. Wartmann, K. Shaffer and B. J. Moxham (2013). „The tori of the mouth and ear: a review.“ Clin Anat 26(8): 953-960.
Reichart, P. A., F. Neuhaus and M. Sookasem (1988). „Prevalence of torus palatinus and torus mandibularis in Germans and Thai.“ Community Dent Oral Epidemiol 16(1): 61-64.
Santhanakrishnan, M. and S. Rangarao (2014). „Mandibular Tori: A source of autogenous bone graft.“ J Indian Soc Periodontol 18(6): 767-771.









