Autogene Zahntransplantation von Prämolaren
In der umfassenden Fortbildung „Die Einzelzahnlücke – Optionen der Versorgung“ (zm 4/2022 und zm 5/2022) wurde (neben den vielfältigen Therapieoptionen) nur marginal auf die Autotransplantation von Zähnen oder Zahnkeimen hingewiesen – mit der Anmerkung des sehr seltenen Vorkommens [Lapatki, 2022]. Dies trifft für Deutschland, nicht aber für die skandinavischen sowie weitere europäische Länder zu. Andreasen et al. [1990] berichten von 370 Prämolaren, die über einen Zeitraum von 13 Jahren hauptsächlich als Ersatz bei Aplasie transplantiert wurden. Kvint et al. [2010] beschreiben über 215 Autotransplantationen, bei denen 24 Prämolaren in die obere Schneidezahnregion transplantiert wurden – mit einer Erfolgsrate von 100 Prozent.
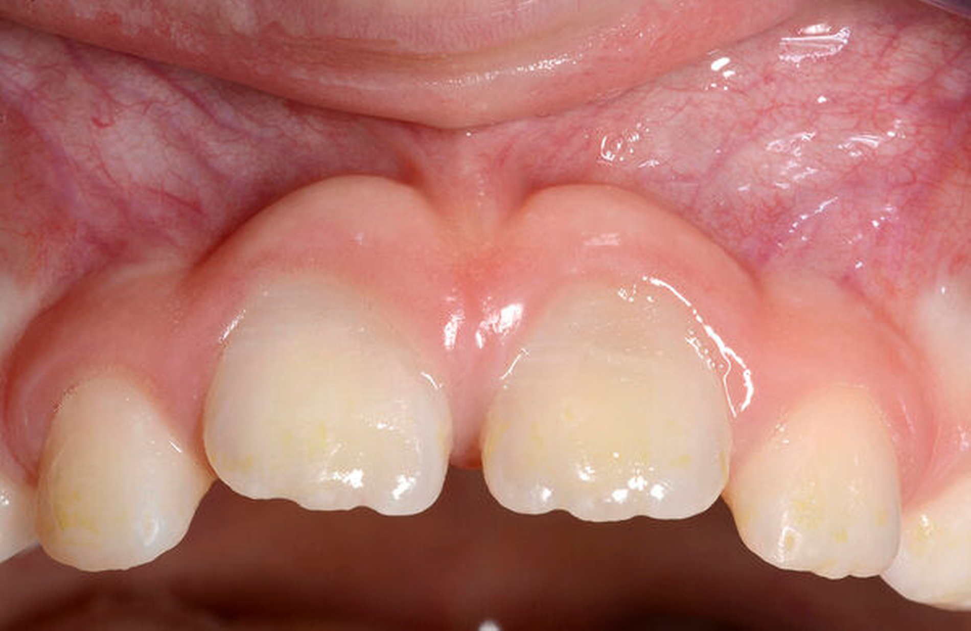
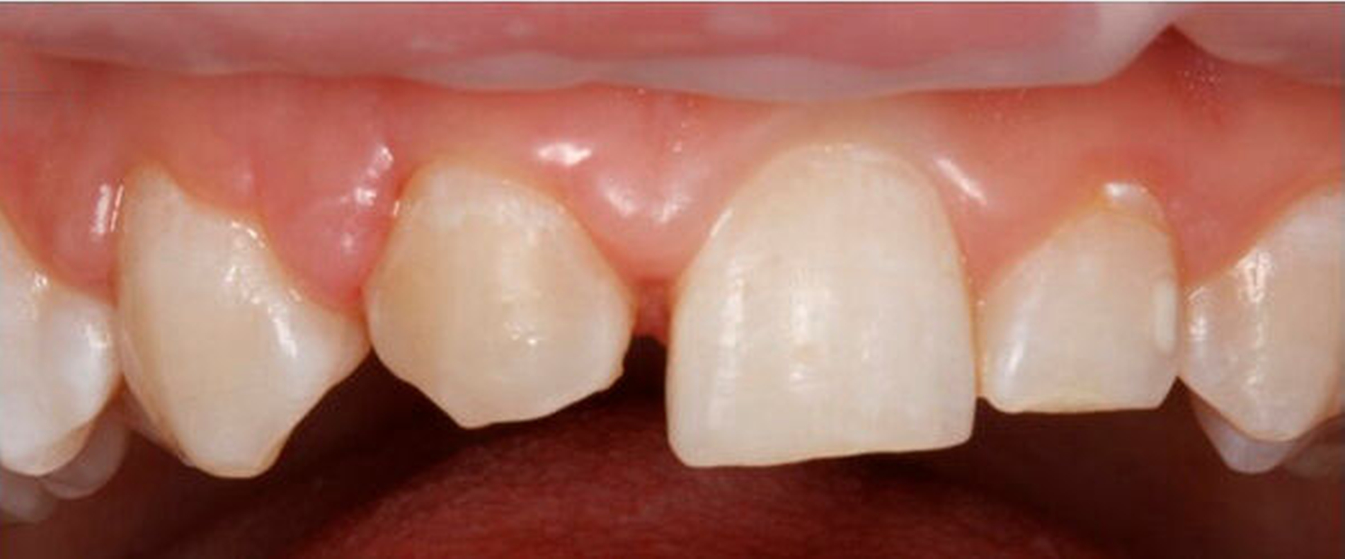
Die Häufigkeit für den Frontzahnverlust beträgt drei bis vier Prozent. Die Altersgipfel liegen zwischen dem achten und dem neunten sowie vom zwölften bis zum 14. Lebensjahr. Betroffene Zähne sind der mittlere und der seitliche Schneidezahn im Oberkiefer. Es besteht eine Korrelation der Häufigkeit zu den Zahnstellungsanomalien der vergrößerten sagittalen Schneidekantenstufe, dem schmalen Deckbiss mit protrudierten seitlichen Schneidezähnen und progen stehenden Einzelzähnen. Obwohl bei Avulsion die sofortige Reimplantation zum Erhalt des Zahnes führen kann, sind häufig Ankylosen des Parodonts und Wurzelresorptionen mit begrenzter Erhaltungswürdigkeit die Folgen. Eine fehlende Sensibilität, ein hoher Klopfschall und der röntgenologische Resorptionsnachweis sind diagnostische Anzeichen dafür.
Aus allgemeinzahnärztlicher und kieferorthopädischer Sicht gibt es unter Berücksichtigung der Dentition die folgenden Therapiealternativen:
Kieferorthopädischer Lückenschluss im Wechselgebiss bei Zahnengstand mit und ohne Indikation zur Prämolarenextraktion. Bei Letzterem sind nur drei und nicht vier Prämolaren zu extrahieren. Ein kieferorthopädischer Lückenschluss nach Abschluss der Dentition und gesicherter Okklusion sollte nur mittels zusätzlicher skelettaler Verankerung in Ausnahmefällen erfolgen.
Prothetischer Lückenschluss mittels temporärem Lückenhalter/Adhäsivbrücke und späterem Einzelimplantat oder Brückenversorgung
Autotransplantation eines Prämolaren in die Schneidezahnlücke des Oberkiefers
Während die ersten beiden Therapievarianten in der Fortbildung „Die Einzelzahnlücke“ ausführlich dargestellt wurden, sollen im Folgenden an zwei Autotransplantationsfällen die Indikationsbreite, das methodische Vorgehen und die Vorteile und Risiken gegenüber den Alternativen dargestellt werden.
Indikation
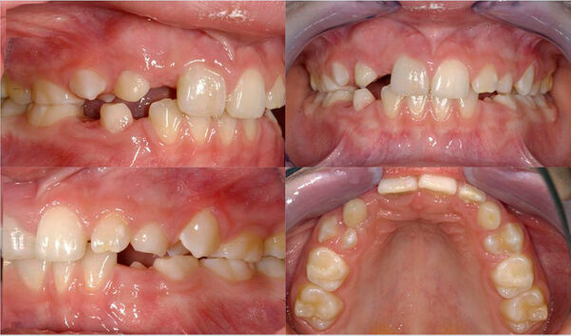
Traumatischer Verlust eines oberen Schneidezahns im Alter zwischen acht und zwölf Jahren ohne und mit Reimplantation
Erfolglose Reimplantation (Wurzelresorption und Lockerung)
Fehlender Abschluss des Wurzelwachstums, weites Foramen apikale und Avitalität. Eine endodontische Aufbereitung ist aufgrund des divergierenden Wurzelkanals schwierig.
Zeitpunkt und Auswahl des Transplantats
In der Regel sollte bei einem Frontzahnverlust im Oberkiefer ein Prämolar mit einer Wurzel verwendet werden. Die Wurzel einwurzeliger Prämolaren und deren Form sind in einer Schneidezahnalveole passfähiger und geeigneter für die parodontale Regeneration als ein Prämolar mit zwei Wurzeln. Der Prämolar sollte nach Möglichkeit aus dem Unterkiefer entnommen werden, da bei einem Misserfolg zwei Zähne innerhalb eines Kiefers fehlen würden. In der Regel wird die Extraktionslücke kieferorthopädisch mittels skelettaler Verankerung geschlossen. Zuvor ist die Anlage des dritten Molaren im betreffenden Quadranten zu prüfen, der nach kieferorthopädischer Einstellung mit dem zweiten Molaren des Oberkiefers okkludiert.

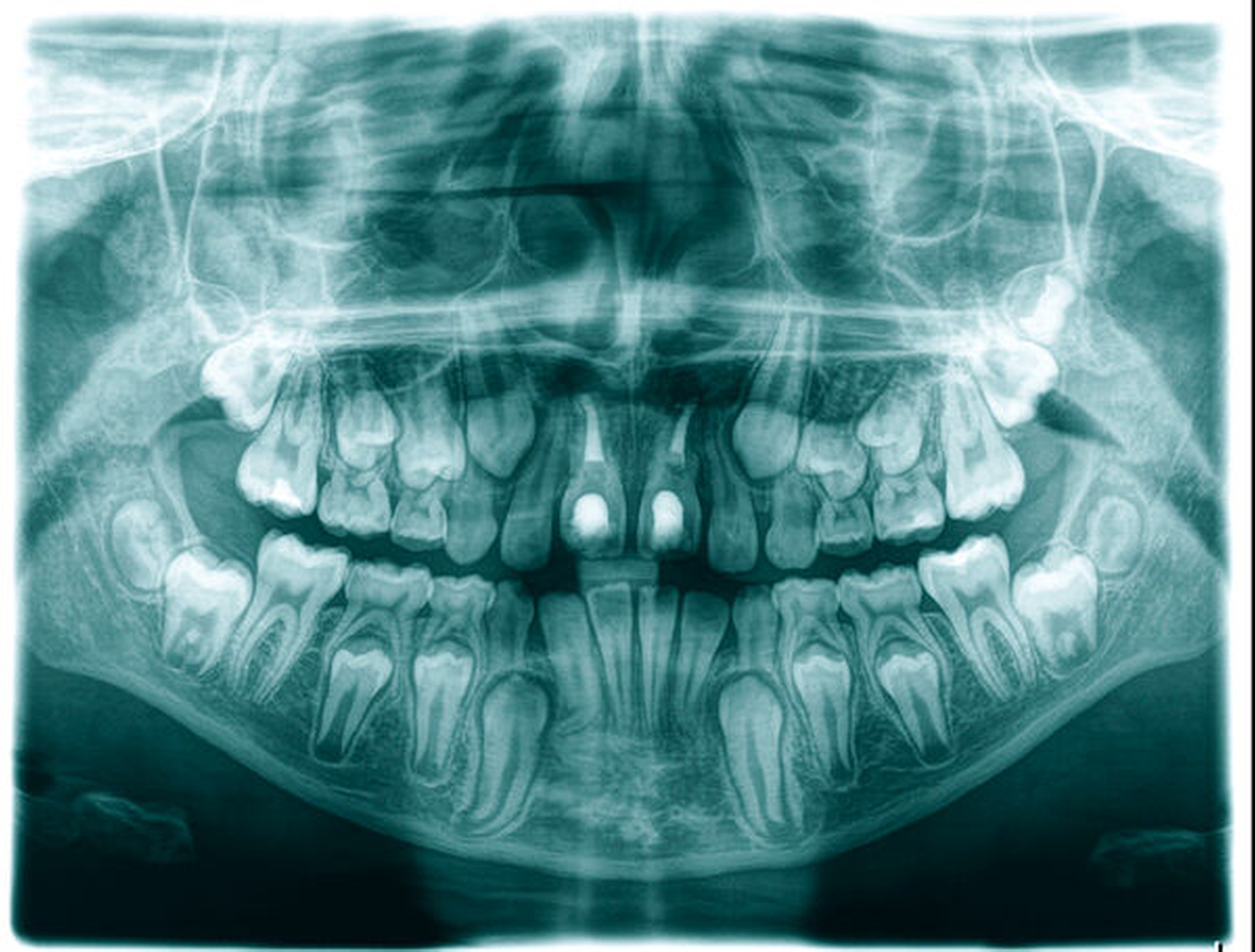
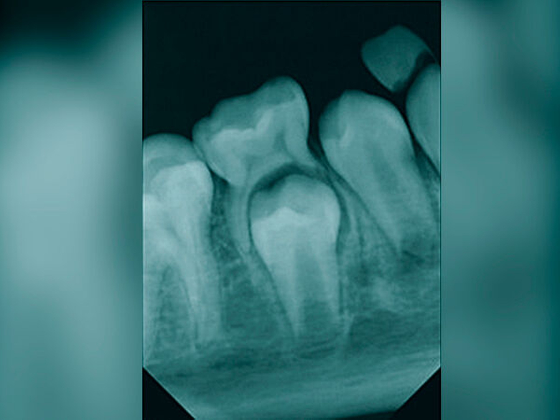
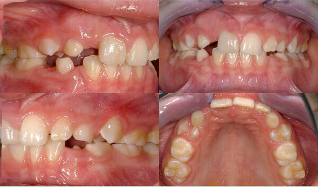
Das Wurzelwachstum des Transplantats sollte zum Zeitpunkt der Entnahme nicht mehr als zwei Drittel betragen. Dies kann eine operative Freilegung notwendig machen (Abb. 3).
Diskussion
Bei einer Häufigkeit des Frontzahnverlusts von drei bis vier Prozent, vornehmlich im Alter zwischen acht und zwölf Jahren müssen in die Therapieplanung entwicklungsbezügliche Vorteile und Gegebenheiten einbezogen werden. Für den orthodontischen Lückenschluss können die Vorteile der Dentitionsdynamik besonders genutzt werden, während der definitive Zahnersatz temporärer Zwischenlösungen bedarf. Für die Autotransplantation von Zahnkeimen in die Alveole nicht erhaltungswürdiger Zähne oder bei Aplasie wird ebenfalls die Dynamik der Dentition und des fortschreitenden Kieferwachstums nutzbar gemacht.
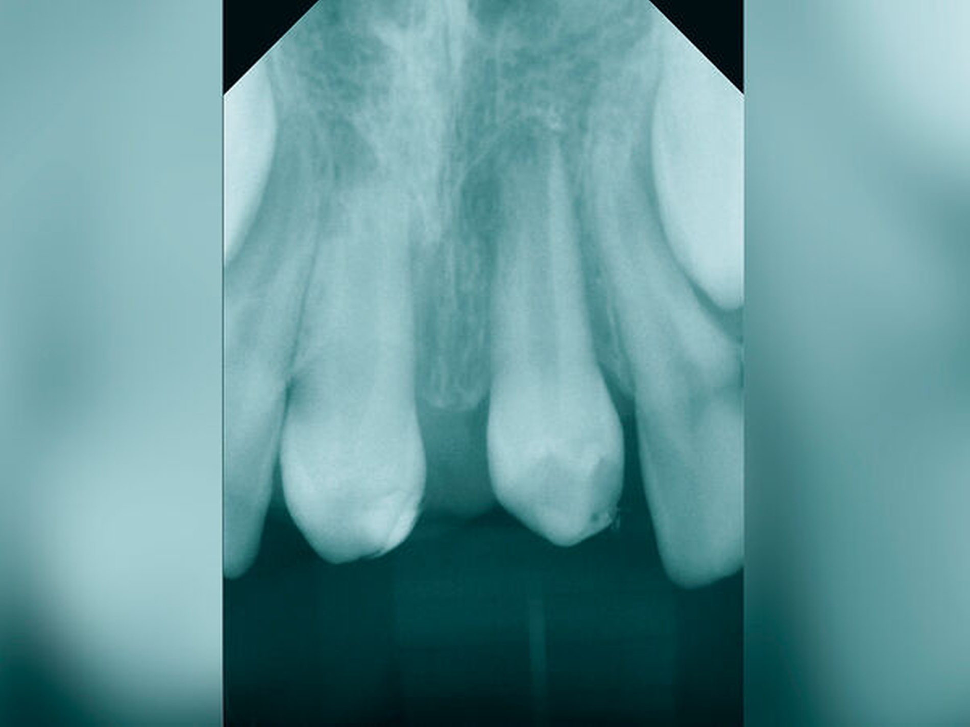
Die große Regenerationspotenz des Zahnkeims, insbesondere während des Wurzelwachstums, ist Garant für deren Fortsetzung und den Erhalt der Vitalität in einer neu präparierten Alveole. Andreasen et al. [2007] bezeichnen die Neuformierung des Parodonts als den Schlüssel für eine erfolgreiche Transplantation. Zwei Drittel des Wurzelwachstums, ein offenes Foramen apicale (> 2 mm) und ein einwurzeliger Prämolar aus dem Unterkiefer gibt er als ideale Voraussetzungen für eine Erfolgsrate von 100 Prozent an. Eine weitere Voraussetzung ist die rasche Transplantation von der Spender- in die Empfängeralveole. Die Präparation der Schneidezahnalveole mit einem Dummy garantiert die optimale Passfähigkeit.
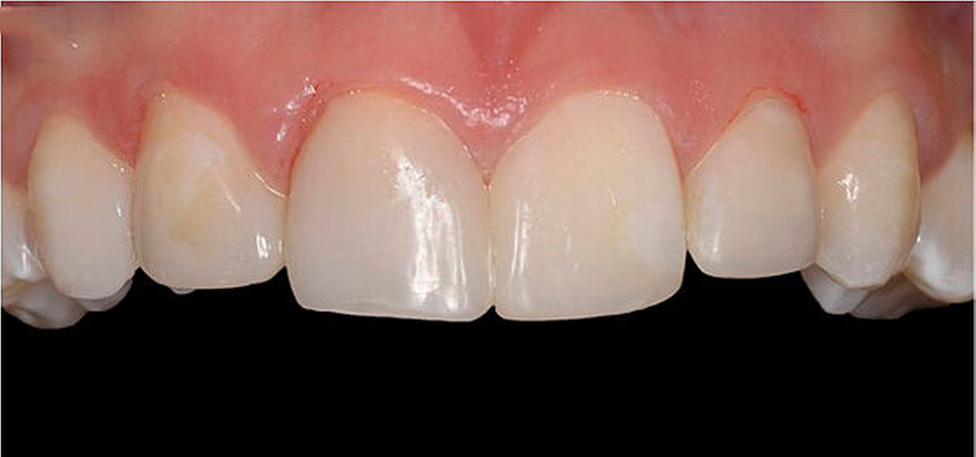
In beiden Falldarstellungen wurden diese Bedingungen eingehalten. Eine Besonderheit stellt die Kombination von kieferorthopädischem Lückenschluss und Autotransplantation im zweiten Fall dar. Hier war vor der Rekonstruktion mittels Kompositaufbau eine Bewegung des Transplantats und der rechten Seitenzahnreihe erforderlich. Beides gestaltete sich ohne Probleme und sollte auch beim Verlust mehrerer Schneidezähne bedacht werden. Der Lückenschluss im Unterkiefer nach Keimentnahme konnte mithilfe skelettaler Verankerung ebenfalls reibungslos erfolgen. Es sollte jedoch wie beim kieferorthopädischen Lückenschluss die Anlage der dritten Molaren in der verkürzten Zahnreihe geprüft werden, um für den zweiten Molaren des Gegenkiefers einen Antagonisten zu haben. Ziel des Beitrags war es, die Autotransplantation nach Frontzahnverlust und Aplasie ins differenzialdiagnostische und -therapeutische Spektrum als gleichberechtigte Variante einzubeziehen.
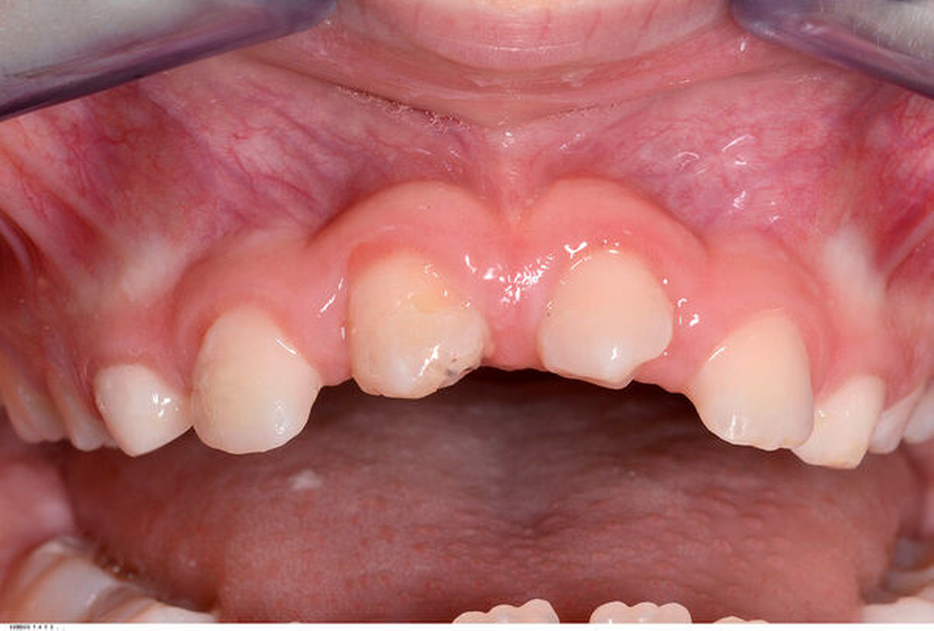
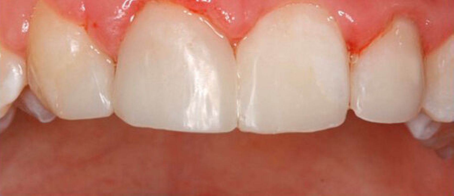
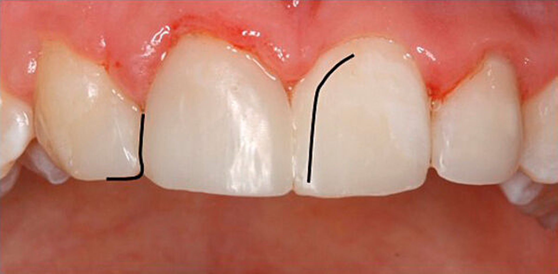
Die Rekonstruktion von Zähnen mit Komposit ermöglicht eine direkte und maximal zahnerhaltende Therapie, bei der die Zahnhartsubstanz nicht oder nur minimal im Sinne einer Anschrägung abgetragen werden muss. Im Vergleich zur Rekonstruktion mit keramischen Veneers muss dabei in der Regel wesentlich mehr Zahnhartsubstanz geopfert werden, um die nötigen Keramikschichtstärken einhalten zu können. Reparaturen, Farb- und Formanpassungen lassen sich mit der Komposittechnik im Vergleich zu Keramikrestaurationen immer wieder anpassen. Insbesondere bei jungen Patienten im Wachstum ist dies von Vorteil, um bei Veränderungen der Gingivaverhältnisse die rekonstruierten Zähne ihren Nachbarzähnen anzupassen (Verschluss schwarzer Dreiecke, zervikale Ausformungen).
Trotz der im Vergleich zu Keramik stärker von Alterungsprozessen betroffenen Kompositrekonstruktionen liegt deren Erfolgsrate gemessen über 17 Jahre bei 90 Prozent mit einer mittleren jährlichen Verlustrate von 0,6 Prozent [Baldissera et al., 2013]. Eine Metaanalyse bestätigte die guten Überlebensraten von Kompositrekonstruktionen und zeigte mittlere Erfolgsraten nach zehn Jahren für Klasse-III-Restaurationen von 95 Prozent und für Klasse-IV-Restaurationen von 90 Prozent [Heintze et al., 2015]. Auch die Sorge der potenziellen parodontalen Kompromittierung der an tiefe Kompositrekonstruktionen angrenzende Gewebe kann bei korrekter Durchführung dieser Technik vernachlässigt werden. Hahn et al. zeigten, dass die parodontale Gesundheit durch direkte Kompositrekonstruktionen nicht negativ beeinträchtigt wird [2020].
In der umfassenden Fortbildung „Die Einzelzahnlücke – Optionen der Versorgung“ (zm 4/2022 und zm 5/2022) wurde (neben den vielfältigen Therapieoptionen) nur marginal auf die Autotransplantation von Zähnen oder Zahnkeimen hingewiesen – mit der Anmerkung des sehr seltenen Vorkommens [Lapatki, 2022]. Dies trifft für Deutschland, nicht aber für die skandinavischen sowie weitere europäische Länder zu. Andreasen et al. [1990] berichten von 370 Prämolaren, die über einen Zeitraum von 13 Jahren hauptsächlich als Ersatz bei Aplasie transplantiert wurden. Kvint et al. [2010] beschreiben über 215 Autotransplantationen, bei denen 24 Prämolaren in die obere Schneidezahnregion transplantiert wurden – mit einer Erfolgsrate von 100 Prozent.
Die Häufigkeit für den Frontzahnverlust beträgt drei bis vier Prozent. Die Altersgipfel liegen zwischen dem achten und dem neunten sowie vom zwölften bis zum 14. Lebensjahr. Betroffene Zähne sind der mittlere und der seitliche Schneidezahn im Oberkiefer. Es besteht eine Korrelation der Häufigkeit zu den Zahnstellungsanomalien der vergrößerten sagittalen Schneidekantenstufe, dem schmalen Deckbiss mit protrudierten seitlichen Schneidezähnen und progen stehenden Einzelzähnen. Obwohl bei Avulsion die sofortige Reimplantation zum Erhalt des Zahnes führen kann, sind häufig Ankylosen des Parodonts und Wurzelresorptionen mit begrenzter Erhaltungswürdigkeit die Folgen. Eine fehlende Sensibilität, ein hoher Klopfschall und der röntgenologische Resorptionsnachweis sind diagnostische Anzeichen dafür.
Aus allgemeinzahnärztlicher und kieferorthopädischer Sicht gibt es unter Berücksichtigung der Dentition die folgenden Therapiealternativen:
Kieferorthopädischer Lückenschluss im Wechselgebiss bei Zahnengstand mit und ohne Indikation zur Prämolarenextraktion. Bei Letzterem sind nur drei und nicht vier Prämolaren zu extrahieren. Ein kieferorthopädischer Lückenschluss nach Abschluss der Dentition und gesicherter Okklusion sollte nur mittels zusätzlicher skelettaler Verankerung in Ausnahmefällen erfolgen.
Prothetischer Lückenschluss mittels temporärem Lückenhalter/Adhäsivbrücke und späterem Einzelimplantat oder Brückenversorgung
Autotransplantation eines Prämolaren in die Schneidezahnlücke des Oberkiefers
Während die ersten beiden Therapievarianten in der Fortbildung „Die Einzelzahnlücke“ ausführlich dargestellt wurden, sollen im Folgenden an zwei Autotransplantationsfällen die Indikationsbreite, das methodische Vorgehen und die Vorteile und Risiken gegenüber den Alternativen dargestellt werden.
Indikation
Traumatischer Verlust eines oberen Schneidezahns im Alter zwischen acht und zwölf Jahren ohne und mit Reimplantation
Erfolglose Reimplantation (Wurzelresorption und Lockerung)
Fehlender Abschluss des Wurzelwachstums, weites Foramen apikale und Avitalität. Eine endodontische Aufbereitung ist aufgrund des divergierenden Wurzelkanals schwierig.
Zeitpunkt und Auswahl des Transplantats
In der Regel sollte bei einem Frontzahnverlust im Oberkiefer ein Prämolar mit einer Wurzel verwendet werden. Die Wurzel einwurzeliger Prämolaren und deren Form sind in einer Schneidezahnalveole passfähiger und geeigneter für die parodontale Regeneration als ein Prämolar mit zwei Wurzeln. Der Prämolar sollte nach Möglichkeit aus dem Unterkiefer entnommen werden, da bei einem Misserfolg zwei Zähne innerhalb eines Kiefers fehlen würden. In der Regel wird die Extraktionslücke kieferorthopädisch mittels skelettaler Verankerung geschlossen. Zuvor ist die Anlage des dritten Molaren im betreffenden Quadranten zu prüfen, der nach kieferorthopädischer Einstellung mit dem zweiten Molaren des Oberkiefers okkludiert.

Das Wurzelwachstum des Transplantats sollte zum Zeitpunkt der Entnahme nicht mehr als zwei Drittel betragen. Dies kann eine operative Freilegung notwendig machen (Abb. 3).
Diskussion
Bei einer Häufigkeit des Frontzahnverlusts von drei bis vier Prozent, vornehmlich im Alter zwischen acht und zwölf Jahren müssen in die Therapieplanung entwicklungsbezügliche Vorteile und Gegebenheiten einbezogen werden. Für den orthodontischen Lückenschluss können die Vorteile der Dentitionsdynamik besonders genutzt werden, während der definitive Zahnersatz temporärer Zwischenlösungen bedarf. Für die Autotransplantation von Zahnkeimen in die Alveole nicht erhaltungswürdiger Zähne oder bei Aplasie wird ebenfalls die Dynamik der Dentition und des fortschreitenden Kieferwachstums nutzbar gemacht.
Die große Regenerationspotenz des Zahnkeims, insbesondere während des Wurzelwachstums, ist Garant für deren Fortsetzung und den Erhalt der Vitalität in einer neu präparierten Alveole. Andreasen et al. [2007] bezeichnen die Neuformierung des Parodonts als den Schlüssel für eine erfolgreiche Transplantation. Zwei Drittel des Wurzelwachstums, ein offenes Foramen apicale (> 2 mm) und ein einwurzeliger Prämolar aus dem Unterkiefer gibt er als ideale Voraussetzungen für eine Erfolgsrate von 100 Prozent an. Eine weitere Voraussetzung ist die rasche Transplantation von der Spender- in die Empfängeralveole. Die Präparation der Schneidezahnalveole mit einem Dummy garantiert die optimale Passfähigkeit.
In beiden Falldarstellungen wurden diese Bedingungen eingehalten. Eine Besonderheit stellt die Kombination von kieferorthopädischem Lückenschluss und Autotransplantation im zweiten Fall dar. Hier war vor der Rekonstruktion mittels Kompositaufbau eine Bewegung des Transplantats und der rechten Seitenzahnreihe erforderlich. Beides gestaltete sich ohne Probleme und sollte auch beim Verlust mehrerer Schneidezähne bedacht werden. Der Lückenschluss im Unterkiefer nach Keimentnahme konnte mithilfe skelettaler Verankerung ebenfalls reibungslos erfolgen. Es sollte jedoch wie beim kieferorthopädischen Lückenschluss die Anlage der dritten Molaren in der verkürzten Zahnreihe geprüft werden, um für den zweiten Molaren des Gegenkiefers einen Antagonisten zu haben. Ziel des Beitrags war es, die Autotransplantation nach Frontzahnverlust und Aplasie ins differenzialdiagnostische und -therapeutische Spektrum als gleichberechtigte Variante einzubeziehen.
Die Rekonstruktion von Zähnen mit Komposit ermöglicht eine direkte und maximal zahnerhaltende Therapie, bei der die Zahnhartsubstanz nicht oder nur minimal im Sinne einer Anschrägung abgetragen werden muss. Im Vergleich zur Rekonstruktion mit keramischen Veneers muss dabei in der Regel wesentlich mehr Zahnhartsubstanz geopfert werden, um die nötigen Keramikschichtstärken einhalten zu können. Reparaturen, Farb- und Formanpassungen lassen sich mit der Komposittechnik im Vergleich zu Keramikrestaurationen immer wieder anpassen. Insbesondere bei jungen Patienten im Wachstum ist dies von Vorteil, um bei Veränderungen der Gingivaverhältnisse die rekonstruierten Zähne ihren Nachbarzähnen anzupassen (Verschluss schwarzer Dreiecke, zervikale Ausformungen).
Trotz der im Vergleich zu Keramik stärker von Alterungsprozessen betroffenen Kompositrekonstruktionen liegt deren Erfolgsrate gemessen über 17 Jahre bei 90 Prozent mit einer mittleren jährlichen Verlustrate von 0,6 Prozent [Baldissera et al., 2013]. Eine Metaanalyse bestätigte die guten Überlebensraten von Kompositrekonstruktionen und zeigte mittlere Erfolgsraten nach zehn Jahren für Klasse-III-Restaurationen von 95 Prozent und für Klasse-IV-Restaurationen von 90 Prozent [Heintze et al., 2015]. Auch die Sorge der potenziellen parodontalen Kompromittierung der an tiefe Kompositrekonstruktionen angrenzende Gewebe kann bei korrekter Durchführung dieser Technik vernachlässigt werden. Hahn et al. zeigten, dass die parodontale Gesundheit durch direkte Kompositrekonstruktionen nicht negativ beeinträchtigt wird [2020].



































