Die andere Zahnmedizin: Alte Ideen in neuer Verpackung?
Es gibt in den Heilberufen Richtungen, für die man bislang keine allgemeingültige Bezeichnung gefunden hat. Die Rede ist von Alternativmedizin, Außenseiterverfahren, Besonderen Therapierichtungen, Biologischer Medizin, Grenzgebieten, Holistischer Medizin, Sanfter Medizin, Totalität in der Medizin, Unkonventioneller Medizin, Ganzheitlicher Medizin und etlichen weiteren Sparten. Modernere Bezeichnungen sind Komplementär- und Integrativmedizin. Zuweilen wird auch die Zahnmedizin damit tangiert. Im vorliegenden Beitrag werden zwei „alternative“ (zahn)medizinische Behandlungsphilosophien, die Homöopathie und bioenergetische Verfahren, betrachtet und relevante Aspekte zum Kontext der zahnärztlichen Berufsausübung aufgezeigt.
Grundlagen ärztlicher und zahnärztlicher Tätigkeit
Nach der aktuell gültigen Musterberufsordnung der Bundeszahnärztekammer ist der Zahnarzt verpflichtet, „die Regeln der zahnmedizinischen Wissenschaft zu beachten“. Außerdem wird die Einhaltung der Gebote der medizinischen Ethik verlangt [BZÄK, 2019]. Zum Stand der medizinischen Erkenntnisse verwies das Bundesgesundheitsministerium auf die wissenschaftliche Evidenz und äußerte sich dazu wie folgt: „Jede Patientin und jeder Patient hat ein Anrecht auf eine medizinische Versorgung mit Leistungen, deren Qualität und Wirksamkeit dem allgemein anerkannten Stand der medizinischen Erkenntnisse entsprechen und den medizinischen Fortschritt berücksichtigen“ [BMG, 2016].
Evidenz-gestützte Medizin und „Ganzheitlichkeit“
Bei der medizinischen Konsensbildung hat sich der sogenannte Meta-Konsens auf der Basis wissenschaftlicher Evidenz als wichtiger – wenn auch nicht alleiniger – Baustein erwiesen. Dabei werden die zu einem bestimmten Thema vorhandenen Studien nach deren Qualität gesichtet und eingeordnet. Studien, die allgemein anerkannten Qualitätskriterien genügen, werden in Metaanalysen zusammengefasst, deren Aussagen wiederum dazu dienen, den oben zitierten „Stand der medizinischen Erkenntnisse“ darzustellen. Auch wenn das Schließen von Evidenzlücken unter Berücksichtigung der Verhältnismäßigkeit des Mitteleinsatzes nicht immer möglich, ethisch vertretbar und auch nicht immer erforderlich ist, kann diese Vorgehensweise unabhängig davon gesehen werden, um welchen Medizinansatz es sich handelt. Es geht heute nicht mehr um Abgrenzungen wie etwa „Soma“ versus „Psyche“, auch nicht um solche von „Chemie“ versus „Natur“, sondern darum, ob man bereit ist, seine jeweiligen Hypothesen nach aktuellen wissenschaftlichen Erkenntnissen auf den Prüfstand zu stellen oder ob man dies unterlässt. So wurde beispielsweise früher eine Einordnung der „klassischen Naturheilkunde“, die sich vornehmlich mit Einflüssen natürlicher Reize wie Bewegung, Wärme, Kälte, Klima, Sonne, Luft, Wasser oder Diät beschäftigt, wegen zuweilen geringer Evidenznachweise erschwert. Inzwischen sind einige der Vorstellungen bei entsprechend fundierten Studienergebnissen Bestandteil der hier zur Rede stehenden Evidenz-gestützten Medizin geworden.
Heute allgemein akzeptiertes Ziel der Medizin ist es, Forschung, Lehre und Patientenversorgung auf ein breites wissenschaftliches Fundament verschiedener Disziplinen zu stellen. Vor dem Hintergrund einer steigenden Ökonomisierung und Kommerzialisierung der Medizin muss darauf geachtet werden, dass Evidenz nicht nur interessengebunden und selektiv produziert wird, sondern übergeordnete gesundheitliche Anliegen Priorität erhalten. Es geht um eine Vermeidung einseitiger und starrer Denkmuster und eine Öffnung für umfassende Sichtweisen. Eine so verstandene „Ganzheitlichkeit“ ist nicht einer besonderen Richtung vorbehalten, sondern ein Merkmal jeder seriösen Medizin. Vor diesem Hintergrund ist die zuweilen tendenziös gebrauchte Bezeichnung „Ganzheitsmedizin“ im Sinne einer Außenseitermethode nicht sachgerecht.
Freiheit der Forschung
Die Wissenschaft ist vom Wesenskern her ein freier, transparenter und ergebnisoffener Prozess („semper apertus“). Unterschiedliche Positionen müssen unter fairen Bedingungen vorgetragen und verteidigt werden können. Dispute sind gerade bei konträren Einschätzungen außerordentlich hilfreich, ja geradezu notwendig. Die zuweilen vorgebrachte Forderung, die medizinische Wissenschaft müsse zur Vermeidung von Verunsicherungen „mit einer Stimme sprechen“, ist deshalb bedenklich und kontraproduktiv, insbesondere wenn es um umstrittene und ungeklärte Fragestellungen geht. Anstelle von „Wegschauen“ ist ein Dialog zwischen Vertretern verschiedener Richtungen von hoher Relevanz. Ein Problem dabei ist allerdings, dass in der öffentlichen Wahrnehmung zuweilen nicht ganz klar ist, wofür verschiedene medizinische Konzepte heute eigentlich stehen.
Differenzierungen: Alternative – Komplementarität – Integration
Es gibt inzwischen Versuche, die Vielfalt der in der Einleitung genannten Richtungen in drei übergeordnete Gruppen zu unterteilen: die Alternativmedizin (Stichwort: „Andersartigkeit“), Komplementärmedizin (Stichwort: „Ergänzung“) und Integrativmedizin (Stichwort: „Einbeziehung“). Dies gelingt allerdings nur bedingt, denn das Spektrum der Richtungen ist nicht nur sehr groß, sondern gleichzeitig außerordentlich heterogen und unübersichtlich. Um im Einzelfall eine Einordnung überhaupt vornehmen zu können, ist eine hinreichend genaue Definition unabdingbar. Moderne Etikettierungen wie „Komplementärmedizin“ oder „Integrativmedizin“ bergen die Gefahr einer gewissen Beliebigkeit in sich und verschleiern oftmals ihre wesentlichen Merkmale. Wie eingangs begründet, reicht es auch nicht aus, sie mit Schlagwörtern wie „Ganzheitsmedizin“ oder ähnlichem zu charakterisieren. Nicht selten geht es nämlich bei neuen Bezeichnungen lediglich um äußere Umetikettierungen bei Belassung der alten Inhalte.
Beispiel Homöopathie
Ein bekanntes Beispiel für Etikettenverschiebungen ist die durch Samuel Hahnemann (1755–1843) begründete Homöopathie, die sich von Anfang an dezidiert als Alternative zur konventionellen Medizin abzugrenzen suchte, indem sie diese in einem abwertenden Kontext als „Allopathie“ oder „Schulmedizin“ bezeichnete. Obwohl sich an den grundlegenden Denkmustern der Homöopathie (Postulierung einer spezifischen Arzneimittelwirkung extrem verdünnter Substanzen) bis heute nichts Wesentliches geändert hat, präsentieren sich Homöopathen inzwischen als Integrativmediziner, die sogar mit Universitäten kooptiert sind. Eine Integration in der Forschung ist allerdings nach wie vor kaum erkennbar. Dies gilt auch für die Homöopathie in der Zahnmedizin [Feldhaus, 2007; Volkmer, 2013], für deren wissenschaftliche Grundlage bis heute jegliche Nachweise ausstehen.


Die konkrete Kritik an der Homöopathie umfasst folgende fünf Punkte:
- In extrem starken Verdünnungen können Substanzen nicht pharmakologisch wirken [Singh und Ernst, 2008]. 
- Die Homöopathie reicht nicht über einen unspezifischen Placebo-Effekt hinaus [Singh und Ernst, 2008]. 
- Es fehlt nicht nur seit Langem ein wissenschaftlicher Nachweis für einen Nutzen der Homöopathie [Ernst, 2002]. Hinzu kommt, dass auch neuere Homöopathie-Studien häufig die Einhaltung wissenschaftlicher Basis-Standards vermissen lassen, selbst vor Manipulationen wird nicht zurückgeschreckt [Gartlehner et al., 2022; Bartens, 2022]. 
- Wenn bei schweren Erkrankungen eine Therapie gemäß dem aktuellen Wissensstand zugunsten der Homöopathie vermieden wird, kann dies für die Betroffenen gefährlich werden [zm, 2022a]. 
- Die Zuordnungen von einzelnen Patienten zu bestimmten homöopathischen Patientenporträts beruhen auf ideologischen Vorstellungen, die wissenschaftlich nicht fundiert sind [Staehle, 2013a]. 
Derartige Kritiken lassen Vertreter der Homöopathie bis heute nicht gerne gelten. So behauptete etwa der Homöopath Jürgen de Laporte, das Besondere der Homöopathie, das sie von anderen Medizinrichtungen unterscheide, sei die „sehr genaue Wahrnehmung des Menschen“ [Bosch, 2022].
Was ist nun unter einer „genauen Wahrnehmung des Menschen“ und der daraus resultierenden individuellen Behandlung „des Einzelmenschen in seiner Einzigartigkeit“ [Volkmer, 2013] zu verstehen? In der bis heute als Goldstandard geltenden klassischen Homöopathie unterscheidet man zwischen einem homöopathischen Arzneiprofil, das das „Wesen“ der Arznei beschreibt (Arzneiporträt) und einem homöopathischen Persönlichkeitsprofil, das das Bild charakteristischer Symptome unter Einbeziehung einer besonderen Konstitutions- und Physiognomiebetrachtung (Persönlichkeitsporträt des Patienten) darstellt. Um das Arzneiporträt mit dem Persönlichkeitsporträt in Einklang zu bringen, muss der Homöopath vielerlei Zuordnungen von körperlichen Merkmalen und Charaktereigenschaften seiner Patienten vornehmen. Selbst in modernen Lehrbüchern werden nach wie vor homöopathische Persönlichkeitsporträts definiert, die keine differenzierte Berücksichtigung des aktuellen Wissensstands erkennen lassen. So findet sich in einem Werk aus dem Jahr 2008 mit dem Titel „Kursbuch Homöopathie“ eine ungewöhnliche Zuordnung von Menschen in drei sogenannte „Diathese-Gruppen“. Zur ersten Gruppe gehören Menschen mit „lymphatischer Diathese“. Sie werden unter anderem als „schwächlich, nachgiebig, unbeholfen und arbeitsscheu“ bezeichnet und sind angeblich die geborenen „Diener“. Zur zweiten Gruppe gehören Menschen mit „lithämischer Diathese“. Sie sind unter anderem „stark, getrieben, unzufrieden und fleißig“, was sie zu „Anführern“ prädestinieren soll. Zur dritten Gruppe zählen schließlich Menschen mit „destruktiver Diathese“. Ihnen weist man unter anderem „Entartung“ sowie „prahlerische, asoziale und unberechenbare“ Eigenschaften zu, es handele sich um „Verführer“ [Teut, 2008]. Empirische Studien, die solche Einteilungen stützen könnten, werden allerdings nicht präsentiert.
In einem 2018 publizierten Werk über Homöopathie in der Kinder- und Jugendmedizin werden solche Zuordnungen sogar auf Säuglinge und Kleinkinder übertragen, wobei unter anderem die Kopfgröße und Gesichtsform eine besondere Rolle spielen. Anhand von drei homöopathischen Arzneimitteln (Calcium carbonicum entsprechend einer „lymphatischen Diathese“, Calcium phosphoricum entsprechend einer „lithämischen Diathese“ und Calcium fluoricum entsprechend einer „destruktiven Diathese“) werden Kindern bestimmte Wesensmerkmale auf den Weg gegeben. Besonders auffällige Eigenschaften hat das Calcium-fluoricum-Kind mit einem großen Kopf, der „oft fast quadratisch“ ist. Es hat einen destruktiven Charakter. In dem Lehrbuch wird behauptet, man könne bei einem solchen Kind bereits eine Prognose für sein späteres Leben geben: „Im Geist und Gemütsbereich sehen wir das Übertriebene und ‚Maßlose‘. Der Überschuss wird (sic!) im späteren Leben zu ‚Abbau‘ im Geistigen und zur ‚Verhärtung‘ im Gewebe führen“ (Tabelle) [Dorsci-Ulrich, 2018]. Auch hier fehlt jeglicher Ansatz, solche Wertungen und Prognosen mit dem Instrumentarium ergebnisoffener Forschung zu überprüfen. Vielmehr erscheint die Behauptung als metaphysisch postulierte Wahrheit, die – einmal in die Welt gekommen – sich keinerlei Kritik mehr stellen muss.

Mit Zuordnungen von bestimmten Körpermerkmalen und Charaktereigenschaften zu „Menschentypen“ – gespeist nicht aus empirischer Forschung, sondern aus einer vorgeblich „einzigartigen Betrachtung des Einzelmenschen“ – wird ethisch bedenklicher Boden betreten. Für die betroffenen Menschen, die ihren homöopathischen Behandlern stark vertrauen, besteht dadurch ein beträchtliches Gefahrenpotenzial. Patienten (beziehungsweise deren Eltern oder Angehörige) können in den Glauben geraten, durch bestimmte körperliche Merkmale sei ein schicksalhafter, nur schwer veränderbarer Lebensweg vorgezeichnet. Das bietet reichlich Raum für Nocebo-Effekte und sonstige Beeinflussungen, zum Beispiel fragwürdige Therapiewege einzuschlagen. Vor diesem Hintergrund erscheint es fraglich, ob Ratschläge, man solle zumindest die bei vordergründiger Betrachtung als „positiv“ angesehenen Aspekte der Homöopathie (Anschein von „Verständnis, Zuwendung und Aufklärung“) übernehmen [Stöhr, 2001], überhaupt zum Wohl des Patienten umsetzbar sind.
Gleichwohl war und ist gerade diese Art der „einzigartigen Betrachtung des Einzelmenschen“ für den Gesetzgeber in Deutschland offenbar so überzeugend, dass er bei der Zulassung von homöopathischen Arzneimitteln auf Wirksamkeitsnachweise, wie sie ansonsten gefordert werden, verzichtet(e). Die gesetzlichen Krankenkassen preisen sogar in Werbekampagnen die Aufnahme der Homöopathie in den durch die Solidargemeinschaft zu entrichtenden Kassenleistungskatalog an. Diese Entwicklung wird heute kritischer als früher gesehen [zm, 2022a].
Beispiel Bioenergetische Verfahren
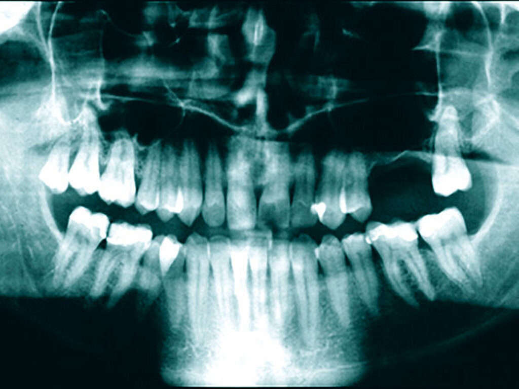
In der Zahnmedizin steht die oben beschriebene Homöopathie zwar nicht im Fokus, deren Weltbild kann aber als eine Art Einstieg in die alternativmedizinische Szene dienen. Sie kann dazu beitragen, sich weiteren alternativmedizinischen Modellen zu nähern, die ihrerseits für die Mundgesundheit gefährlich werden können, wenn sie beispielsweise zu drastischen invasiven Eingriffen mit irreversiblen Schäden motivieren. So gibt es Behandler, die auf der Grundlage sogenannter bioenergetischer Testmethoden (beispielsweise Muskeltests mit „Applied Kinesiology“) invasive Eingriffe wie Entfernungen intakter zahnärztlicher Versorgungen oder Zahnextraktionen (zuweilen sogar Serienextraktionen) vornehmen, unabhängig davon, ob die Versorgungen beziehungsweise Zähne nach aktuellem wissenschaftlichem Erkenntnisstand erhaltungswürdig sind oder nicht. Zahnärzte fräsen im Anschluss an Zahnextraktionen die Kieferknochen zur Beseitigung von vermeintlichen „Störfeldern“ aus und richten dabei erhebliche Schäden an (Abbildung 1).
Eine eigene Studie aus dem Jahr 2005 konnte zeigen, dass die Reliabilität (Reproduzierbarkeit) kinesiologischer Testungen nicht über die Würfelwahrscheinlichkeit hinausreicht [Staehle et al., 2005; Staehle, 2006a und b]. Auch ein Übersichtsartikel von 2008 konnte keine Beweise für die diagnostische Genauigkeit, Aussagekraft der Muskelreaktion und therapeutische Wirksamkeit der Kinesiologie liefern [Hall et al., 2008]. Es existieren bislang keine neueren Studien, die unter Berücksichtigung aktueller qualitativer und ethischer Standards vorgenommen wurden und eine Rechtfertigung von Restaurationsentfernungen, Zahnextraktionen, Knochenausfräsungen und ähnlichem auf der Grundlage bioenergetischer Tests erlauben würden.
13 Jahre Rechtsstreit bis zum BGH: Zahnarzt zu Schadensersatz verurteilt
- 2006 hatte ein Zahnarzt bei einer Patientin wegen vermuteter „Störfelder“ im Seitenzahnbereich eine Serienextraktion von Zähnen mit anschließender Kieferknochenausfräsung auf der Grundlage bioenergetischer Testmethoden (einschließlich kinesiologischer Testungen) vorgenommen und dabei auf die übliche zahnmedizinische Diagnostik weitgehend verzichtet. Es kam zu schwerwiegenden Folgeschäden. 
- 2007 verklagte die Patientin den Zahnarzt wegen dieser Behandlung beim zuständigen Landgericht auf Schadensersatz; 2009 wurde von dort ein später noch ergänztes Sachverständigengutachten eingeholt. 
- 2014 wurde der Zahnarzt zur Rückzahlung des Honorars und zur Zahlung von Schmerzensgeld verurteilt (LG Frankenthal Az.: 4 O 450/11, Urteil vom 19. März 2014). Dagegen legte der Zahnarzt Berufung ein. 
- 2016 wurde vom zuständigen Oberlandesgericht die Revisionsklage des Zahnarztes im Wesentlichen abgewiesen (OLG Zweibrücken Az.: 5 U 8/14, Urteil vom 19. April 2016). Auch gegen dieses Urteil legte der Zahnarzt Revision ein, so dass der Rechtsstreit beim Bundesgerichtshof (BGH) in Karlsruhe anhängig wurde. 
- 2017 gab der BGH dem Zahnarzt insofern Recht, als er das OLG-Urteil als verfahrensfehlerhaft einstufte, aufhob und die Rechtssache zur neuen Verhandlung und Entscheidung zurückverwies. Der BGH bemängelte vor allem, dass kein Sachverständiger gehört worden sei, der mit der „ganzheitlichen“ Zahnmedizin in Theorie und (!) Praxis vertraut sei (BGH Az.: VI ZR 203/16, Urteil vom 30. Mai 2017). 
- Im gleichen Jahr erfolgte die Einholung eines Gutachtens durch einen mit der „ganzheitlichen Zahnmedizin“ in Theorie und Praxis eng vertrauten Sachverständigen, das allerdings vom OLG als ungenügend eingestuft werden musste und nicht zum Gegenstand der Entscheidung gemacht werden konnte. 
- 2019 wurde ein weiteres Gutachten eines Sachverständigen eingeholt, der erklärte, sich zwar im Rahmen der Vorbereitung wissenschaftlicher Studien auch an Probanden mit Theorie und Praxis einiger als „ganzheitlich“ propagierter Verfahren kundig gemacht zu haben, die von dem Zahnarzt angewandten bioenergetischen Methoden allerdings aus ethischen Gründen nicht selbst zu praktizieren. Der Gutachter wurde vom Gericht dennoch mit der Begründung akzeptiert, dass es nach seinem Dafürhalten für die Vorgaben des BGH ausreiche, wenn ein Sachverständiger „allgemein“ mit der ganzheitlichen Zahnmedizin in Theorie und Praxis vertraut sei. Der Sachverständige bewertete das Vorgehen des Zahnarztes in seinem Gutachten von 2019 als grob behandlungsfehlerhaft. 
- 2020 erfolgte eine erneute Bestätigung des in erster Instanz getroffenen Urteils des zuständigen Landgerichts aus dem Jahr 2014 durch das zuständige Oberlandesgericht und die Verurteilung des Zahnarztes zu Schadensersatz (OLG Zweibrücken Az.: 5 U 8/14, Urteil vom 14.01.2020). 
Zuweilen postulieren manche Zahnärzte besondere „Störfelder“ im Kieferknochen, die als „NICO’s“ (Neuralgia Inducing Cavitational Ostenecrosis) bezeichnet werden und die unter anderem die argumentative Grundlage für Extraktionen, Knochenausfräsungen und andere invasive Eingriffe bilden. Das Symptomenbild der postulierten Erkrankung ist außerordentlich variabel. Es umfasst verschiedenste körperliche und psychische Missempfindungen. Eine Übersichtsarbeit dazu aus dem Jahr 2021 ergab, dass die wissenschaftliche Evidenz bezüglich Ätiologie, Diagnose und Behandlung von „NICO“ schlecht ist und der Nutzen invasiver therapeutischer Verfahren deshalb nicht bewertet werden kann [Sekundo et al., 2021]. Schon 2012 hatte eine zahnmedizinische Fachgesellschaft (American Association of Endodontists) invasive Interventionen (beispielsweise die Empfehlung einer Extraktion endodontisch behandelter Zähne zur Vorbeugung einer NICO) als „unethisch“ eingestuft [AAE, 2012].
Die hier beschriebenen Diagnosestellungen, Testmethoden und Eingriffe sind bei näherer Prüfung am ehesten als alternativmedizinische Modelle mit einem hohen Potenzial an Fehlversorgung entsprechend der Klassifikation des Sachverständigenrats für die Konzertierte Aktion im Gesundheitswesen einzustufen. Eine bedarfsgerechte Versorgung wird danach als indikationsbezogene und fachgerechte Versorgung mit einem positiven medizinischen Netto-Nutzen charakterisiert. Von einer Unterversorgung spricht man, wenn bedarfsgerechte Leistungen nicht erbracht werden oder zur Verfügung stehen. Bei einer Überversorgung werden Leistungen erbracht, die über eine bedarfsgerechte Versorgung hinausgehen. Eine Fehlversorgung ist jede Versorgung, durch die ein vermeidbarer Schaden entsteht [Sachverständigenrat für die Konzertierte Aktion im Gesundheitswesen, 2002].
Rechtslage, gutachterliche Fragen
Nach Anwendung alternativ(zahn)medizinischer Behandlungen kommt es zuweilen zu langwierigen gerichtlichen Auseinandersetzungen. Die Problematik lässt sich an einem bemerkenswerten Urteil des Bundesgerichtshofs (BGH – Az.: VI ZR 203/16, Urteil vom 30. Mai 2017) verdeutlichen.
Der BGH hatte in diesem Urteil Serienextraktionen von Zähnen mit nachfolgenden Kieferknochenausräumungen auf der Grundlage von Tests, deren Eignung wissenschaftlichen Überprüfungen nicht standgehalten hatte, offenbar als „ganzheitliche Zahnmedizin“ betrachtet. Allerdings hatte er darauf verzichtet, näher zu erläutern, was man in der Rechtsprechung unter dem Begriff „ganzheitliche Zahnmedizin“ subsumiert und weshalb er im konkreten Streitfall die Auffassung vertrat, dass die geschilderten Vorgehensweisen des Behandlers unter dieser Bezeichnung eingeordnet werden können. Er hatte zwar eingeräumt, dass man hier eine sorgfältige und gewissenhafte medizinische Abwägung von Vor- und Nachteilen unter Berücksichtigung aller Umstände des Einzelfalls und des Patientenwohls vornehmen müsse, wobei auch die Untersuchungs- und Behandlungsmöglichkeiten der „Schulmedizin“ nicht aus dem Blick verloren werden dürften. Je schwerer und radikaler der Eingriff in die körperliche Unversehrtheit eines Patienten sei, desto höher seien die Anforderungen an die medizinische Vertretbarkeit der gewählten Behandlungsmethode. Gleichwohl sah er die bei der Patientin vorgenommenen hochinvasiven Eingriffe nicht nur als rechtlich grundsätzlich erlaubte „ganzheitliche Zahnmedizin“ an, sondern ging noch einen Schritt weiter, indem er forderte, dass zwingend ein Sachverständiger zu beauftragen sei, der nicht nur in der Theorie, sondern auch in der praktischen Anwendung damit vertraut sei. Ansonsten handle das Gericht verfahrensfehlerhaft.
Bemerkenswert erscheint, dass der BGH bei seinem Urteilsspruch den Begriff „Ganzheitliche Zahnmedizin“ dezidiert in einen Gegensatz zum Begriff „Schulmedizin“ stellte. Damit sprach er der „Schulmedizin“ ein „ganzheitliches“ Merkmal ab. Dies ist jedoch im Hinblick auf den Umstand, dass die heute überprüften und empfohlenen Vorgehensweisen der Medizin und Zahnmedizin den Anspruch haben, umfassende (= „ganzheitliche“) Sichtweisen zu fördern, nicht sachgerecht.
Das Urteil sorgte seinerzeit für großes Aufsehen in den Medien und wurde auch in der zahnärztlichen Fachpresse bekanntgegeben [zm, 2017]. Eine inhaltliche Auseinandersetzung seitens der zahnärztlichen Standespolitik, der zahnmedizinischen Wissenschaften, der Medizinethik und der Rechtswissenschaften blieb allerdings bislang weitgehend aus. Das Verfahren dauerte insgesamt 13 Jahre (2007 bis 2020). Es hinterlässt in vielerlei Hinsicht eine gewisse Rechtsunsicherheit, die unter anderem folgende Punkte betrifft:
- Was ist „ganzheitliche“ Zahnmedizin genau? Wie wird sie rechtlich definiert? 
- Brauchen sich Zahnärzte, die auf der Grundlage „ganzheitlicher“ Methoden Zähne extrahieren und Kieferknochen ausfräsen, künftig nur noch von solchen Kollegen begutachten lassen, die selbst solche Praktiken durchführen? 
- Welche Qualifikation muss ein Gutachter in diesem Zusammenhang konkret besitzen? Was bedeutet dabei „Vertrautheit“ mit „ganzheitlicher“ Zahnmedizin in Theorie und Praxis? 
- Wie ist vorzugehen, wenn von einem Gericht auch dann eine praktische Vertrautheit mit „ganzheitlichen“ Methoden gefordert wird, wenn diese gegen ethische Maßstäbe (zum Beispiel Non-Malefizienz-Prinzip) verstoßen? 
Abrechnungsfragen
Die Abrechnung von Leistungen, die zur Überversorgung oder Fehlversorgung mit dem Ergebnis vermeidbarer Schäden zu zählen sind, ist nicht immer klar geregelt. Die Problematik kann anhand der Behandlung einer NICO aufgezeigt werden. Im Jahr 2019 wurde dazu ein Beschluss des Beratungsforums für Gebührenrechtsfragen (Gremium aus Mitgliedern der Bundeszahnärztekammer, des PKV-Verbands und der Beihilfestellen) zu NICO (Behandlung einer chronischen Kieferostitis als Störfeld) gefasst.
Darin heißt es:
„32. Bei der Behandlung der sogenannten NICO (Neuralgia Inducing Cavitational Osteonecrosis), der fettig-degenerativen Osteolyse/Osteonekrose im Kieferknochen oder ähnlichen Diagnosen, handelt es sich um medizinisch nicht notwendige Maßnahmen, da die Wirksamkeit durch wissenschaftlich medizinisch fundierte Studienuntersuchungen nicht belegt ist. Darüber hinaus ist das vermeintliche Krankheitsbild der NICO weder nach ICD-10-Schlüssel noch in den Verzeichnissen der WHO als Erkrankung gelistet. Es besteht daher keine medizinische Notwendigkeit für die Durchführung der Diagnostik und der Behandlung dieser Erkrankung, wie zum Beispiel Cavitat-Diagnostik, OroTox-Tests sowie die Entfernung eines chronischen NICO-Störfelds. Vor diesem Hintergrund kommt nur eine Berechnung gemäß § 2 Abs. 3 GOZ – nach umfassender und qualifizierter Aufklärung – in Betracht“ [GOZ-Beratungsforum, 2019] [Anmerkung des Autors: gemeint sind Leistungen auf Verlangen, die über das Maß einer zahnmedizinisch notwendigen Versorgung hinausgehen].
Diese Beschreibung legt den Schluss nahe, dass das Beratergremium entsprechende Eingriffe eher als Überbehandlung und weniger als Ausgangspunkt oder Bestandteil einer Fehlbehandlung einstuft. Allerdings sind bei den in den vorhergehenden Abschnitten genannten Interventionen auch manche Kriterien der Fehlversorgung, bei der vermeidbare Schäden eintreten, gegeben. Somit stehen auch unter diesem Aspekt konkretere Klarstellungen noch aus.
Fazit
Diagnostische und therapeutische Verfahren, die als Alternativ-, Komplementär- und/oder Integrativmedizin beworben werden, spielen zwar auch in der Zahnmedizin eine gewisse Rolle, haben dort allerdings bislang keine sehr große Verbreitung gefunden. Allerdings können solche Eingriffe im Einzelfall erhebliche zahnmedizinische Schäden anrichten. Auch wenn die Zahl der Betroffenen aktuell noch klein zu sein scheint, gibt es ernstzunehmende Entwicklungen, die einen Zuwachs alternativmedizinischer Angebote erwarten lassen. In einem Folgebeitrag in der zm wird auf die Behandlung geschädigter Patienten eingegangen und es werden gesellschaftspolitische Entwicklungen aufgezeigt, die die Verbreitung dieser (zahn)medizinischen Denkmodelle befördern.
Literaturliste
1. American Association of Endodontists (AAE): NICO Lesions Neuralgia-Inducing Cavitational Osteonecrosis. Position Statement 2012. nicolesionsnew.pdf (aae.org). Abgerufen am 18.02.2022.
2. AOKplus Geschäftsstelle. www.aok.de/pk/plus/inhalt/homoeopathie-1. Abgerufen am 2. April 2022.
3. Bartens W: Dünne Beweise, verheimlichte Daten – eine Metaanalyse zeigt: Studien zur Homöopathie genügen oft nicht den wissenschaftlichen Standards Standards. Süddeutsche Zeitung vom 17.03.2022.
4. Bosch J: Wird Homöopathie zur Privatsache? Stuttgarter Zeitung vom 10.02.2022.
5. Bundesministerium für Gesundheit (BMG): Evidenzbasierte Medizin (Stand: 4. Januar 2016).
6. Bundeszahnärztekammer (BZÄK): Musterberufsordnung (Stand: 16. November 2019).
7. DAZ-online vom 31.03.2017. www.deutsche-apotherker-
zeitung.de/news/artikel/2017/07/31/li. Abgerufen am 2. April 2022.
8. Dorsci-Ulrich M: Konstitution und Diathese. In: Pfeiffer H, Drescher M, Hirte M (Hrsg): Homöopathie in der Kinder- und Jugendmedizin. Elsevier/Urban; Fischer, 3. Aufl., München 2018, S. 61-67.
9. Ernst E: A systematic review of systematic reviews of homeopathy. British Journal of Clinical Pharmacology 2002; 54:577-582. doi.org/10.1046/j.1365-2125.2002.01699.x
10. Feldhaus H-W: Homöopathie bei Zahnerkrankungen. 4. Aktualisierte Ausgabe. Hippokrates Verlag, Stuttgart 2007.
11. Gartlehner G et al.: Assessing the magnitude of reporting bias in trials of homeopathy: a cross-sectional study and meta-analysis. BMJ Evidence-Based Medicine Epub ahead of print: 2022; doi:10.1136/bmjebm-2021-111846.
12. Gehrke A: Nicht Homöopathie verbieten, sondern Bürokratie abbauen. 12. Juli 2019. afdbundestag.de. Abgerufen am 2. April 2022.
13. GOZ-Beratungsforum: Jetzt 33 Beschlüsse zur Auslegung der GOZ. Zahnärztl Mit 2019; 109 (14), 1578 (32)- 1581 (25).
14. Groß D: Ethik in der Zahnmedizin. Quintessenz Verlag, Berlin 2012.
15. Hall S, Lewith G, Brien S, Little P: A Review of the Literature in Applied and Specialised Kinesiology. 2008; Forsch Komplementärmed 15:40-46.
16. Kennedy WP: The nocebo reaction. Med World 1961; 95, 203-5.
17. Sachverständigenrat für die Konzertierte Aktion im Gesundheitswesen: Gutachten 2000/2001 Bedarfsgerechtigkeit und Wirtschaftlichkeit. 3. Anhang. Nomos Verlagsgesellschaft, Baden-Baden 2002, S. 148-150.
18. Sekundo, C, Wiltfang, J, Schliephake, H, et al.: Neuralgia‐inducing cavitational osteonecrosis – A systematic review. Oral Dis 2021 Apr. 24. doi.org/10.1111/odi.13886.
19. Singh S, Ernst E: Gesund ohne Pillen – was kann die Alternativmedizin. Hanser Verlag, München 2008, S. 117-180
20. Staehle HJ et al: Double-blind Study on Materials Testing with Applied Kinesiology. J Dent Res 2005; 84(11):1066-1069.
21. Staehle HJ: „Applied Kinesiology“ auf dem Prüfstand. Zahnärztl Mitt 2006a; 96 (19): 52-58.
22. Staehle, HJ: Schlusswort zu einem Diskussionsbeitrag von Dr. R. Meierhöfer zu dem Artikel „Applied Kinesiology auf dem Prüfstand“ in zm 19/2006. Zahnärztl Mitt 2006b; 96 (23), 3158 (6)-3159 (7).
23. Staehle HJ: Alternative Diagnostik- und Therapieverfahren. Zahnmedizin up2date 2009 (2): 183-204.
24. Staehle HJ: Buchrezension über ein Werk von D. Volkmer mit dem Titel: Homöopathie und Phytotherapie in der zahnärztlichen Praxis. Dtsch Zahnärztl Z 2013a; 68 (6), 327-328.
25. Staehle HJ: Placebo- und Noceboeffekte in der Zahnmedizin Die Bedeutung nimmt zu. Zahnärztl Mitt 2013b; 103 (2A): 42 (120)-48 (126).
26. Stöhr M: Ärzte Heiler Scharlatane. Steinkopf, Darmstadt 2001, S. 157-165.
27. Teut M: Homöopathische Krankheitslehre/Konstitution und Diathese. In: Teut M, Dahler J, Lucae C, Koch U: Kursbuch Homöopathie. Elsevier/Urban & Fischer, München 2008, S. 246-248.
28. Volkmer D: Homöopathie und Phytotherapie in der zahnärztlichen Praxis. 2. überarbeitete Aufl.; Spitta Verlag, Balingen, 2013.
29. Windeler J: Argumentationsstrukturen bei der Verteidigung nicht wissenschaftlich begründeter Verfahren in der Medizin. In: Köbberling J: Die Wissenschaft in der Medizin. Schattauer Verlag, Stuttgart 1992, S. 83-114.
30. Wissenschaftlicher Beirat der Bundesärztekammer: Stellungnahme des Wissenschaftlichen Beirats der Bundesärztekammer „Placebo in der Medizin“, 2010. www.bundesaerztekammer.de/downloads/StellPlacebo 2010.pdf.
31. zm/ck: Arzthaftung bei nicht anerkannter Therapie. zm-online (News – Praxis) vom 27. Juli 2017.
32. zm/pr: Gehört die Homöopathie in den GKV-Leistungskatalog? Zahnärztl Mitt 2022a; 112 (5), 434 (64)-435 (65).
33. zm/nl: Studie zum Nocebo-Effekt in der Zahnmedizin – Das ethische Dilemma der Patientenaufklärung. Zahnärztl Mitt 2022b; 112(6); 542 (64)-243 (65).





