Raumforderung im Gesichtsbereich: harmlos oder doch bedenklich?
Auf Empfehlung ihres Hals-Nasen-Ohrenarztes stellte sich eine 41-jährige Patientin in der Klinik und Poliklinik für Mund-, Kiefer- und Gesichtschirurgie der Universitätsmedizin Mainz vor. Die prominente Verdickung an ihrer linken Wange störe sie bereits seit geraumer Zeit. Klinisch beschrieb sie außer dem ästhetisch störenden Aspekt keine Beschwerden. Die etwa 2 cm große Raumforderung erwies sich klinisch als weich, verschieblich und gut abgrenzbar. Die allgemeine Anamnese fiel unauffällig aus; die Patientin berichtete lediglich von der Exstirpation einer brachiogenen parapharyngealen Zyste vor einigen Jahren.
Als weiterführendes bildgebendes Verfahren wurde zunächst die Sonografie gewählt. Hier zeigte sich ein strukturierter, inhomogener Befund mit hyper- und hypoechogenen Bereichen und einer dorsalen Schallverstärkung. In direkter räumlicher Nähe der Raumforderung war eine Arterie sonografisch erkennbar und eine räumliche Beziehung zu einem Ast des Nervus facialis nicht auszuschließen (Abbildung 1).
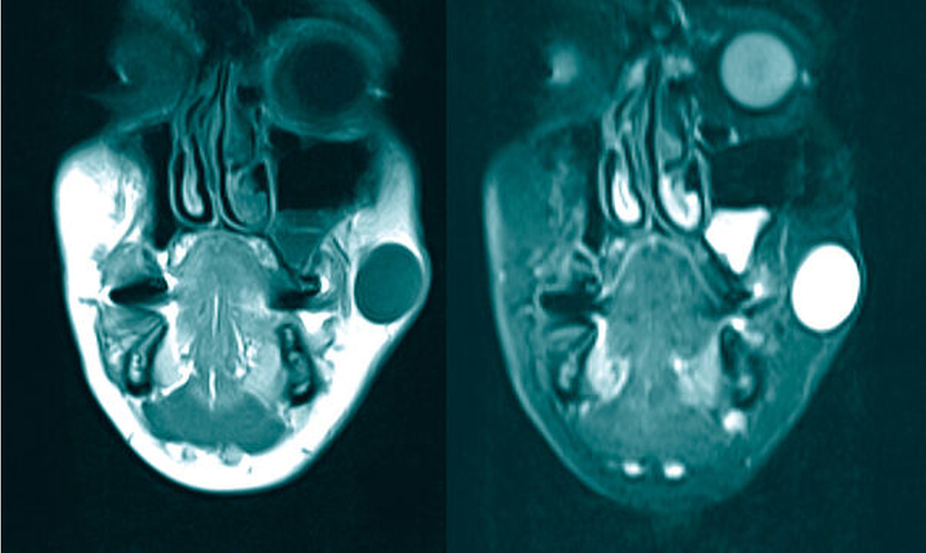
Zur weiteren differenzialdiagnostischen Abklärung wurde die Indikation zur Magnetresonanztomografie gestellt. Hier zeigte sich in der T2-Wichtung die Raumforderung als hyperintense, ovale und deutlich abgrenzbare Struktur. Dementsprechend war in der T1-Wichtung eine hypointense Struktur darstellbar. Der Befund war auf Höhe des linken Ramus mandibularis, lateral des M. masseter lokalisiert (Abbildung 2).
Aufgrund der nicht sicher feststellbaren Dignität des Befunds in Kombination mit dem Wunsch der Patientin, diesen aus ästhetischen Gründen entfernen zu lassen, wurde die Indikation zur Exstirpation in Intubationsnarkose gestellt. Bereits bei initialer Schnittführung trat hierbei reichlich weißes, breiiges Sekret aus. Unter Entnahme eines elliptischen Hautstücks konnte der Befund unter Schonung des Nervus facialis vollständig exstirpiert werden (Abbildung 3).
In der histopathologischen Aufarbeitung zeigte sich fibrokollagenes Weichgewebe mit verhornendem Plattenepithel mit Keratinlamellen, einer Epidermis mit einzelnen Talgdrüsen sowie etwas Entzündungsinfiltrat. Es wurde die Diagnose einer leicht entzündlich veränderten plattenepithelialen Inklusionszyste gestellt.
Diskussion
Beim Atherom, auch Epidermal- oder Talgzyste genannt, lässt sich eine „echte“ und eine „unechte“ Form unterscheiden. Während echte Atherome (infundibuläre Follikelzyste) Ansammlungen von Epidermal- oder Drüsenanteilen der Dermis darstellen und einen Ausführungsgang besitzen, haben „falsche“ Atherome (Trichilemmalzysten) ihren Ursprung an der Mündung des Ausführungsgangs der Follikel-assoziierten Talgdrüse. Unter den verschiedenen Zystentypen des Menschen ist die Epidermalzyste der häufigste Typ [Plewig et al., 2018].
Die Bildung von Epidermalzysten geschieht in der Regel zufällig; das Wachstum ist zumeist langsam und abhängig von der Talgproduktionsrate der benachbarten Talgdrüse. Auch eine traumatische Ursache kann zur Neubildung einer Epidermalzyste bei Verlagerung von Gewebe in andere Hautschichten führen [Netter, 2010].
Bei echten Atheromen kann die fälschliche Umlagerung von Epidermis in Dermis embryologischer Natur sein. Die höchste Inzidenz für das Vorliegen von Epidermalzysten liegt im jungen Erwachsenenalter. Eine erblich bedingte Häufung kann auf das Gardner-Syndrom oder das Basalzellnävussyndrom hindeuten. Ältere Patienten mit jahrzehntelanger starker Sonnenexposition ihrer Haut leiden bisweilen an Morbus Favre-Racouchot, bei dem eine Kombination aus Epidermalzysten und kleinen Keratinzysten vorliegt. Auch unter Akne vulgaris und dem Human-Papilloma-Virus leidende Patienten verzeichnen eine höhere Inzidenz der Zystenbildung. Im Allgemeinen ist die Inzidenz bei Männern doppelt so hoch wie bei Frauen. Meist treten Atherome im jungen Erwachsenenalter zwischen dem 20. und dem 40. Lebensjahr auf [Zito und Scharf, 2021].
Fazit für die Praxis
Atherome sind die häufigsten Zystentypen der Kutis.
Sie treten besonders im Gesichts-, im Hals- und im Kopfbereich auf und bestehen im nicht infizierten Zustand hauptsächlich aus Hornlamellen; ihr Wachstum ist zumeist langsam.
Klinisch sind Atherome nicht immer gut von Lipomen oder zystischen Basalzellkarzinomen zu unterscheiden, nur die histopathologische Aufarbeitung ermöglicht eine zweifelsfreie Diagnose.
Atherome treten besonders häufig in Bereichen behaarter und talgdrüsenreicher Haut auf. Echte Atherome sind zumeist im Gesichts- und Halsbereich und am Rücken lokalisiert. Unechte Atherome dagegen finden sich fast ausschließlich an der behaarten Kopfhaut. Die durchschnittliche Größe der Atherome bemisst sich auf 3 bis 20 mm [Rassner, 2006; Schmitz und Kämmerer, 2020].
Palpatorisch stellt sich die Epidermalzyste meist als runde bis ovale, leicht verschiebliche, prall-elastische Struktur dar, die in aller Regel nicht druckdolent ist, solange keine Infektion vorliegt. Im Fall einer akuten Infektion treten jedoch Rötungen und Schmerzen auf; das Innere füllt sich mit Pus und es kommt zur Einwanderung neutrophiler Granulozyten. Auslöser sind Rupturen oder das Einbringen äußerer Keime, bevorzugt typische epidermale Bakterienstämme wie Staphylococcus aureus und Staphylococcus epidermidis [Weir und St. Hilaire, 2021].
Das Stratum granulosum des echten Atheroms ist grundsätzlich aufgebaut wie das Epithel des Haartrichters und sezerniert kontinuierlich Hornlamellen. Bei der Trichilemmalzyste, deren Wand aus dem Gang der Talgdrüse entsteht, erfolgt eine Keratinisierung, oft gepaart mit einer Verkalkung [Nasemann und Sauerbrey, 1987; Weir und St. Hilaire, 2021].
Differenzialdiagnostisch ist es meist erst nach Exzision und einer pathologischen Aufarbeitung möglich, die Epidermalzyste – das echte Atherom – von der Trichilemmalzyste zu unterscheiden. Klinisch kommen jedoch zahlreiche weitere Befunde der Haut und der Unterhaut infrage. Hierunter fällt auch das im vorliegenden Fall differenzialdiagnostisch abzugrenzende Lipom – ein benigner Tumor des subkutanen Fettgewebes, der sich klinisch ebenfalls prall-elastisch, verschiebbar und mit guter Abgrenzung darstellt. Oft ist eine Lappung der Lipome zu beobachten. Aufgrund des ähnlichen klinischen Erscheinungsbildes von Atherom und Lipom kann die Magnetresonanztomografie aufschlussreich sein: Der Atheromkörper zeigt sich in der T2-Wichtung aufgrund des hohen Flüssigkeitsanteils hyperintens, während das Lipom deutlich hypointens darstellbar ist. Sonografisch ist die Abgrenzung des Befunds vom Umgebungsgewebe nicht so deutlich erkennbar wie bei einem Atherom. In Anbetracht der Lokalisation der Raumforderung war zunächst auch ein pleomorphes Adenom der Glandula parotidea nicht auszuschließen. Eine maligne und relevante Differenzialdiagnose ist das zystische Basalzellkarzinom, das sich durch eine knotige Struktur und Teleangiektasien auszeichnet [Rassner, 2006].
Liegt keine akute Infektion der Zyste vor, ist eine operative Entfernung nicht zwangsläufig erforderlich, aus ästhetischen Beweggründen – wie im vorliegenden Fall – jedoch oft erwünscht. Um Rezidive zu vermeiden, muss darauf geachtet werden, die gesamte Zystenwand zu entfernen. Als minimalinvasive Alternative nennen manche Quellen die Injektion von Triamcinolon in infizierte Zysten. Bei diesem Medikament handelt es sich um ein Glukokortikoid, das antiallergisch und entzündungshemmend wirkt [Plewig et al., 2018; Weir und St. Hilaire, 2021].
Bereits infizierte Atherome müssen gespalten werden, eine komplette Exzision ist im entzündeten Zustand erschwert. Der fluide Inhalt wird drainiert und der Zystenkrater antiseptisch gereinigt, bevor die Inzisionswunde meist per Lasche offen ausheilt. Die Prognose bei Vorliegen eines Atheroms ist sehr gut. Ist dieses vollständig mitsamt der Zystenwand entfernt worden, rezidiviert es in der Regel nicht. Auch eine Entartung in Form eines Plattenepithelkarzinoms oder eines Basalzellkarzinoms ist äußerst selten (< 1 Prozent), sollte allerdings nicht kategorisch ausgeschlossen werden [Frank et al., 2018; Weir und St. Hilaire, 2021].
Literaturliste
Frank, E., D. Macias, B. Hondorp, J. Kerstetter and J. C. Inman (2018). "Incidental Squamous Cell Carcinoma in an Epidermal Inclusion Cyst: A Case Report and Review of the Literature." Case Rep Dermatol 10(1): 61-68.
Nasemann, T. and W. Sauerbrey (1987). "Lehrbuch der Hautkrankheiten und venerischen Infektionen." Netter, F. H. (2010). Netters Dermatologie, Thieme.
Plewig, G., T. Ruzicka, R. Kaufmann and M. Hertl (2018). Braun-Falco’s Dermatologie, Venerologie und Allergologie.
Rassner, G. (2006). Dermatologie, Elsevier.
Schmitz, A. and P. W. Kämmerer (2020). "Der besondere Fall mit CME: Simples Atherom mimt einen Parotistumor." Zahnärztliche Mitteilungen 110(22): 52-54.
Weir, C. and N. St. Hilaire (2021). Epidermal Inclusion Cyst. Treasure Island, StatPearls Publishing.
Zito, P. M. and R. Scharf (2021). Epidermoid Cyst. StatPearls. Treasure Island, StatPearls Publishing.







