Resektion einer vaskulären Malformation im Gesichtsbereich
Ein 54-Jähriger Patient stellte sich aufgrund einer neu aufgetretenen Raumforderung der rechten Wange vor. Die Schwellung habe sich innerhalb weniger Tage entwickelt, bereite ihm bisher aber keine Probleme. Sie präsentierte sich weich und verschieblich palpabel, ohne Druckschmerz, aber mit progredientem Wachstum. Die weitere Anamnese war unauffällig, es waren keine weiteren Vorerkrankungen bekannt und im Rahmen der körperlichen Untersuchung ließ sich insbesondere intraoral ein dentaler Fokus ausschließen.
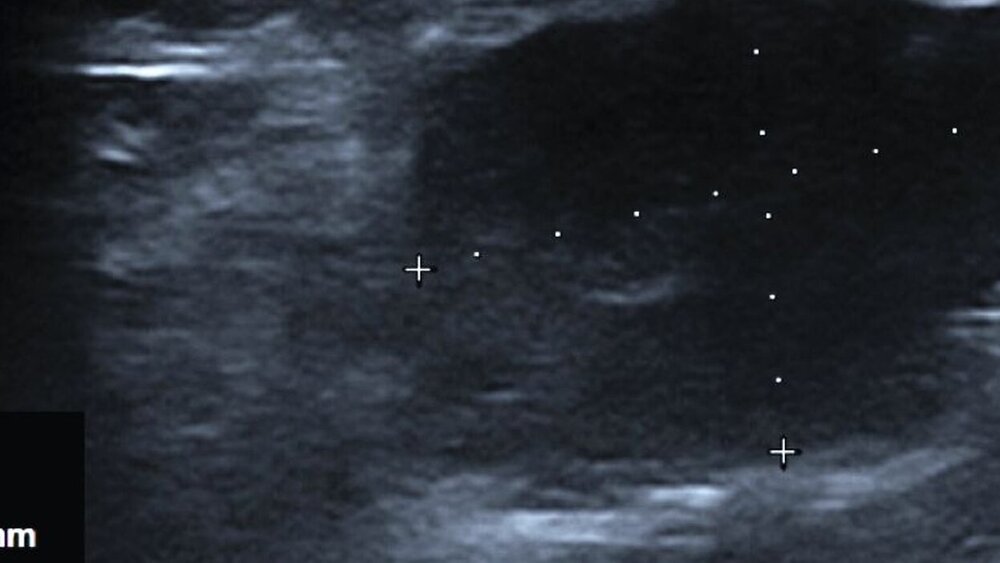
Sonografisch ließ sich eine 11,8 mm x 17,4 mm messende, scharf begrenzte, echoarme Raumforderung ohne nachweisliche Vaskularisierung mit dezenter dorsaler Schallverstärkung darstellen (Abbildung 1). Aufgrund des ungewöhnlich schnellen Wachstums erfolgte zum Ausschluss einer malignen Ursache sowie einer differenzialdiagnostisch in Betracht gezogenen Speichelretentionszyste die radiologische Bildgebung in Form eines Kontrastmittel-verstärkten MRTs. Dabei zeigte sich eine multilobulierte Läsion ventral am Musculus masseter ohne pathognomonische Morphologie, die in nativer T1-Wichtung isointens zum subkutanen Fettgewebe imponierte, mit flächiger Signalsteigerung nach Kontrastmittelgabe (Abbildung 2). Korrelierend dazu wurde eine deutliche restriktive Diffusionsstörung nachgewiesen, weshalb differenzialdiagnostisch nun vorrangig maligne Raumforderungen wie ein Liposarkom oder ein adenoidzystisches Karzinom diskutiert wurden. Eine (teil-)thrombosierte vaskuläre Malformation wurde allerdings ebenso in Betracht gezogen.
Zur Diagnosesicherung erfolgte bereits in der folgenden Woche die operative Therapie in Intubationsnarkose im Sinne einer Exzisionsbiopsie, bei der der Befund unter Schonung der Mukosa in toto aus der Wange herausgelöst werden konnte. Intraoperativ zeigte sich hierbei ein zuführender Gefäßstiel, der unterbunden wurde (Abbildungen 3 und 4). Am ersten postoperativen Tag bildete sich eine ausgeprägte Schwellung der rechten Wange. Nach Teilentfernung des Nahtmaterials entleerte sich das entstandene Hämatom mit Anteilen frischen Blutes sowie größerer Koagel, allerdings ließ sich weder eine aktiv spritzende noch eine Sickerblutung darstellen. Dementsprechend wurde die Entscheidung zur Einlage einer Lasche getroffen, um die Wundhöhle zu drainieren, und die antibiotische Infektionsprophylaxe wurde eingeleitet. Hierunter zeigte sich die Schwellung bereits am Folgetag deutlich regredient, so dass der Patient nach prolongierter Überwachung am vierten postoperativen Tag in die Häuslichkeit entlassen werden konnte.

Diskussion
Bei den vaskulären Anomalien handelt es sich um eine heterogene Erkrankungsgruppe, die entsprechend ihrer Ätiologie in zwei Gruppen unterteilt wird. Den vaskulären Tumoren als echte Neoplasien durch Endothelzellproliferation (zum Beispiel Hämangiom) stehen die vaskulären Malformationen gegenüber [Dhiman et al., 2015]. Die Klassifikation dieser unterschiedlichen Krankheitsbilder wurde 2018 in aktualisierter Auflage von der International Society for the Study of Vascular Anomalies (ISSVA) herausgegeben [Wassef et al., 2015; Ahlawat et al., 2019]. Obwohl sich die vaskulären Tumore in vielerlei Hinsicht deutlich von den vaskulären Malformationen unterscheiden und auch innerhalb dieser Gruppe große Unterschiede im Hinblick auf klinische Erscheinung, Diagnostik und Therapie vorliegen, lassen sich dennoch Gemeinsamkeiten im Rahmen der Therapieprinzipien, der Symptomatik und der Risiken sowohl prä- als auch posttherapeutisch feststellen.
Die häufigste Manifestationsform der vaskulären Tumore stellt das Hämangiom dar, mit einem typischen Auftreten im Kopf-Hals-Bereich bei Kindern. Nach einem charakteristischen Wachstumszyklus zeigt es eine regelhafte Rückbildungstendenz mit einem zum Körper disproportionalen Wachstum, so dass der überwiegende Anteil der Hämangiome keiner Therapie bedarf [Ernemann et al., 2003]. Im Gegensatz dazu basieren vaskuläre Malformationen pathogenetisch auf einer fehlerhaften Angiogenese, weshalb diese Läsionen immer kongenital vorliegen. Bei der Entstehung scheinen Mutationen im Rezeptor-Tyrosinkinase-Signalweg in Verbindung mit der Aktivierung durch Vascular Endothelial Growth Factor von herausragender Bedeutung zu sein [Kang et al., 2015; Limaye et al., 2015; Jiang und Liu, 2009]. Aufgrund der Progressionstendenz und einem Wachstum proportional zum Körperwachstum werden vaskuläre Malformationen häufig im jungen Erwachsenenalter klinisch auffällig. Die Heterogenität der Erkrankungsgruppe bedingt das Fehlen pathognomonischer Symptome, jedoch geht der überwiegende Anteil dieser Läsionen mit Schwellungen, Blutungen, Schmerzen und Deformitäten einher [Carqueja et al., 2018].
Trotz der Einteilung in vier übergeordnete Gruppen der vaskulären Malformationen (einfache Malformationen, kombinierte Malformationen, Anomalien der großen Gefäße, vaskuläre Anomalien assoziiert mit anderen Anomalien und Fehlbildungen), innerhalb derer unterschiedlichste Krankheitsbilder abgebildet sind, ähneln sich die grundlegenden Therapieprinzipien [Wassef et al., 2015]. Dabei stellen Hämorrhagien, High-Output-Failure, chronisch-venöse Hypertension sowie vitalitäts- oder Extremitäten bedrohende Lokalisationen absolute Therapieindikationen dar. Komplettiert werden diese durch relative Therapieindikationen wie Schmerzen, funktionelle Beeinträchtigungen, skelettale Deformitäten oder ästhetische Gesichtspunkte [Carqueja et al., 2018]. Im Sinne der partizipativen Entscheidungsfindung sollten zu jeder Zeit ebenso die individuelle Patientensituation und der Patientenwunsch Beachtung finden.
Für die Wahl der richtigen Therapie ist allerdings auch die genaue Art der vaskulären Malformation von großer Bedeutung, denn beispielsweise Lymphgefäße weisen äußerst dünne und empfindliche Gefäßwände auf, wodurch die Unterbindung im Rahmen der chirurgischen Therapie nur in seltenen Fällen suffizient möglich ist [Johnson und Richter, 2019]. Zur Reduktion der Serombildung ist folglich die postoperative Drainage sicherzustellen. Zusätzlich konnte bereits gezeigt werden, dass der mTOR-Inhibitor Sirolimus bei komplexen venolymphatischen Malformationen dazu beiträgt, die perioperative Drainagemenge zu reduzieren [Curry et al., 2019]. Immunmodulatorische Biologika kommen auch in der Therapie der vaskulären Anomalien immer häufiger zur Anwendung und insbesondere Sirolimus oder der anti-Angiogenese-Faktor ARQ 092 haben sich bei pädiatrischen Patienten als vorteilhaft erwiesen [Canaud et al., 2021; Adams et al., 2016]. Dies zeigt eindrücklich, dass die verschiedenen Therapiemodalitäten nicht ausschließlich einzeln zur Anwendung kommen sollten, sondern in vielen Fällen ein interdisziplinäres Therapiekonzept mit einem besseren Ergebnis einhergeht.
Fazit für die Praxis
Bei vaskulären Anomalien handelt es sich um eine heterogene Gruppe verschiedener Erkrankungen, ausgehend von den Gefäßen, die anhand der Klassifikation der International Society for the Study of Vascular Anomalies (ISSVA) in vaskuläre Tumoren als echte Neoplasien und vaskuläre Malformationen ausgehend von fehlerhafter Angiogenese eingeteilt werden.
Hämorrhagien, chronische venöse Hypertonie und Läsionen, die vital bedrohlich sind oder Extremitäten bedrohen, stellen absolute Therapieindikationen dar, während Schmerzen, geringe funktionelle Beeinträchtigungen, skelettale Deformitäten und ästhetische Störungen zu den relativen Therapieindikationen gezählt werden.
Neben der chirurgischen Resektion stehen außerdem die Embolisation und die Sklerosierung als Therapieoptionen zur Verfügung. Außerdem gewinnen Immunmodulatoren, insbesondere bei der Behandlung pädiatrischer Patienten, zunehmend an Bedeutung.
Die chirurgische Resektion ist – abhängig von der Lokalisation – weiterhin von großer Bedeutung, allerdings sollten abhängig vom Ausmaß der Läsion auch interdisziplinäre Therapiekonzepte in Betracht gezogen werden.
Postoperativ stellen Nachblutungen eine der häufigsten Komplikationen dar, weshalb trotz der nicht selten vergleichsweise wenig invasiven Resektionen dennoch eine stationäre Überwachung der Patienten empfehlenswert ist.
Das Ziel der vollständigen Entfernung der Läsion sowie einer suffizienten Rezidivprophylaxe kann vor allem bei ausgeprägten Fehlbildungen häufig nur durch die Kombination verschiedener Therapieansätze erreicht werden. Große venöse Malformationen treten nicht selten unter Einbeziehung der Haut oder der Mukosa auf, so dass deren Erhalt bei alleiniger chirurgischer Resektion deutlich erschwert sein kann. Mittels präoperativer Sklerosierung durch beispielsweise Ethanolinjektion und damit einhergehende Endothelschäden, Fibrosierung und Gefäßzerstörung lassen sich intraoperative Komplikationen reduzieren und die ästhetischen und funktionellen Ergebnisse verbessern. Eine weitere Möglichkeit hierfür ist die intravaskuläre Injektion von metallischen Coils oder Okklusionsballons zur Unterbindung des Blutflusses und damit der Perfusion der Läsion. Allerdings sollte dabei beachtet werden, dass Okklusion am Nidus stattfindet, um das Risiko des Wachstums durch Kollateralen nach Verschluss proximaler Arterien zu reduzieren [Johnson und Richter, 2019].
Während große vaskuläre Malformationen regulär im stationären Setting behandelt werden, werden kleinere Resektionen aufgrund des geringen chirurgischen Ausmaßes nicht selten ambulant und ohne adäquate Überwachung therapiert. Unabhängig von der Therapiemodalität stellen jedoch Blutungen eine der häufigsten Komplikationen dar [Carqueja et al., 2018; Johnson und Richter, 2019]. Insbesondere bei der chirurgischen Resektion ist deshalb auch im Rahmen kleiner Eingriffe in jedem Fall eine postoperative stationäre Überwachung indiziert, die – wie im vorliegenden Fall beschrieben – auch bei kleineren Blutungsereignissen zur Blutungskontrolle und Infektionsprophylaxe prolongiert durchgeführt werden kann.
Literaturliste
Adams, D.M., et al., Efficacy and Safety of Sirolimus in the Treatment of Complicated Vascular Anomalies. Pediatrics, 2016. 137(2): p. e20153257.
Ahlawat, S., et al., International Society for the Study of Vascular Anomalies Classification of Soft Tissue Vascular Anomalies: Survey-Based Assessment of Musculoskeletal Radiologists' Use in Clinical Practice. Curr Probl Diagn Radiol, 2019. 48(1): p. 10-16.
Canaud, G., et al., A review of mechanisms of disease across PIK3CA-related disorders with vascular manifestations. Orphanet J Rare Dis, 2021. 16(1): p. 306.
Carqueja, I.M., J. Sousa, and A. Mansilha, Vascular malformations: classification, diagnosis and treatment. Int Angiol, 2018. 37(2): p. 127-142.
Curry, S., A. Logeman, and D. Jones, Sirolimus: A Successful Medical Treatment for Head and Neck Lymphatic Malformations. Case Rep Otolaryngol, 2019. 2019: p. 2076798.
Dhiman, N.K., et al., Central cavernous hemangioma of mandible: Case report and review of literature. Natl J Maxillofac Surg, 2015. 6(2): p. 209-13.
Ernemann, U., et al., [Hemangiomas and vascular malformations in the area of the head and neck]. Radiologe, 2003. 43(11): p. 958-66.
Jiang, B.H. and L.Z. Liu, PI3K/PTEN signaling in angiogenesis and tumorigenesis. Adv Cancer Res, 2009. 102: p. 19-65.
Johnson, A.B. and G.T. Richter, Surgical Considerations in Vascular Malformations. Tech Vasc Interv Radiol, 2019. 22(4): p. 100635.
Kang, H.C., et al., Clinical and Genetic Aspects of the Segmental Overgrowth Spectrum Due to Somatic Mutations in PIK3CA. J Pediatr, 2015. 167(5): p. 957-62.
Limaye, N., et al., Somatic Activating PIK3CA Mutations Cause Venous Malformation. Am J Hum Genet, 2015. 97(6): p. 914-21.
Wassef, M., et al., Vascular Anomalies Classification: Recommendations From the International Society for the Study of Vascular Anomalies. Pediatrics, 2015. 136(1): p. e203-14.








