Vaskuläre Anomalie am Foramen mentale
Eine 57-jährige Frau, die von ihrem Hauszahnarzt überwiesen wurde, stellte sich in unserer oralchirurgischen Überweiserpraxis zur Beratung bezüglich einer implantologischen Versorgung des Oberkiefers vor. Die Allgemeinanamnese war bis auf eine bekannte Hypothyreose und die begleitende Dauermedikation mit Euthyrox unauffällig. Spezialanamnestisch zeigten sich ein reduzierter Zahnbestand und eine ausgeprägte Parodontitis, die zu diesem Zeitpunkt parodontologisch behandelt wurde.
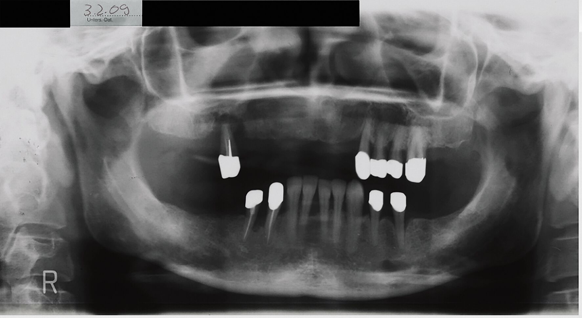
Die Patientin zeigte keine Hypästhesien in den Bereichen der Nervenaustrittspunkte. Die Zähne 42 bis 35 waren vital. Die Zähne 23, 24 und 44 sollten präimplantologisch extrahiert werden. Im Zuge der Implantatplanung wurde eine Panoramaschichtaufnahme (PSA) mit Messkugeln angefertigt (Abbildung 1).
In der PSA zeigte sich als Zufallsbefund im Bereich des Foramen mentale linksseitig eine etwa 12 mm x 8 mm große, hypodense, scharf begrenzte Raumforderung ohne erkennbare Korrelationzu den Zähnen 33, 34 und 35. Zur weiteren Diagnostik und Beurteilung der Ausdehnung der Raumforderung wurde eine erweiterte Bildgebung im Sinne einer digitalen Volumentomografie (DVT) erstellt (Abbildung 2).

Die DVT bestätigte den Befund in der PSA. Die dreidimensionale digitale Darstellung zeigte einen Verlauf des Nervus alveolaris inferior links durch die fragliche Osteolyse. Auf einer vor zehn Jahren alio loco angefertigten PSA war der suspekte Befund auch schon sichtbar gewesen, jedoch mit deutlich geringerem Volumen.
Aufgrund der Progredienz der Raumforderung wurden der Patientin eine chirurgische Exploration und eine Probeentnahme zur pathohistologischen Diagnosesicherung empfohlen.
In Lokalanästhesie erfolgten nach paramarginaler Schnittführung Regio 33 bis 36 mit mesialer Entlastung die Bildung eines Mukoperiostlappens und die Darstellung des Foramen mentale. Unter Schonung des N. mentalis wurde das Foramen mentale nach distal durch Osteotomie mit rotierenden Instrumenten und Piezosurgery vorsichtig erweitert.
Abbildung 4 dokumentiert den klinischen Befund nach der Erweiterung des Foramen mentale. Es präsentierte sich eine weichgewebige, verstärkt blutende, filigraneRaumforderung, die sich um den Nervus alveolaris inferior herumzog. Unter dem OP-Mikroskop konnte die Raumforderung vom Nervus alveolaris inferior abpräpariert werden, so dass sich intraoperativ die Entscheidung zur vollständigen Entfernung des Befunds und zur Neurolyse des Nervus alveolaris inferior stellte.
Auf dem intraoperativen Bild nach der Exzision des Gewebes und der Neurolyse des Nervus alveolaris inferior (Abbildung 5) sieht man einen beschwerdefreien Wundheilungsverlauf. Postoperativ lag eine vorübergehende Hypästhesie im Innervationsgebiet des Nervus mentalis vor, die sich aber im Verlauf vollständig regenerierte.
Die histopathologische Auswertung ergab in den Randbereichen der Läsion vereinzelte Makrophagen mit diskreter Siderin-Beladung. Die Aktin-Reaktion zeigte eine isomorphe Gefäßwanddicke mit teils plexusartigem, tumorähnlichem Aufbau und einer venösen Grundstruktur. Zum Ausschluss von Malignität wurde mit dem Proliferationsmarker Ki-67 die Zellproliferation geprüft, wobei sich kein Verdacht ergab.
Zusammenfassend ergab sich aus der Befundkonstellation und der zusätzlichen immunhistologischen Untersuchung ebenfalls die Einordnung des Befunds als kavernöses Hämangiom.
Diskussion
Die Raumforderung im Bereich des Foramen mentale links wies im Vergleich zur PSA aus 2009 eine deutliche Progredienz auf. Aus diesem Grund wurde trotz des Risikos der Schädigung des Nervus alveolaris inferior die Indikation zur operativen Exploration und Probeentnahme zur Diagnosesicherung gestellt. Differenzialdiagnostisch lässt sich solch ein osteolytischer Prozess neben einer vaskulären Läsion gleichermaßen mit einer zystischen Läsion, einem unizystischen Ameloblastom, einer aneurysmatischen oder solitären Knochenzyste, einem Myxom oder einem Schwannom vereinbaren. Ein malignes Geschehen ist aufgrund des radiologischen Phänotyps unwahrscheinlich, jedoch nur durch histologische Abklärung sicher auszuschließen. Diese ergab postoperativ die Primärdiagnose eines kavernösen Hämangioms.
Intraossäre vaskuläre Läsionen
... sind im Zahn-, Mund- und Kieferbereich seltene, oft fehlinterpretierte Gefäßpathologien, die in den meisten Fällen asymptomatisch bleiben und als Nebenbefunde entdeckt werden. Nur selten sind klinische Symptome wie Zahnlockerungen, Schmerzen oder Parästhesien zu beobachten.
Intraossäre vaskuläre Läsionen sind im Zahn-, Mund- und Kieferbereich seltene, oft fehlinterpretierte Gefäßpathologien, die in den meisten Fällen asymptomatisch ablaufen und als Nebenbefunde entdeckt werden. Als klinische Symptomatik präsentieren sich selten – und hier vor allem bei größeren Manifestationen – Pulsationen und mobile Zähne, gegebenenfalls mit Wurzel-Resorptionen, bei inspektorisch bläulichen, langsam wachsenden Läsionen. Schmerzen und Parästhesien sind keine charakteristischen Merkmale, können aber mit der Schwellung einhergehen.
Radiologisch imponieren vaskuläre Läsionen als Seifenblasen-artige Raumforderungen, wobei sowohl unizystische als auch multizystische Raumforderungen beschrieben sind. Am häufigsten im Molaren- und im Prämolarenbereich des Unterkiefers beschrieben, sind Frauen eher betroffen als Männer.
Vaskuläre Anomalien werden gemäß der Klassifikation der „International Society for the study of vascular anomalies“ (ISSVA) eingeteilt in vaskuläre Tumore und vaskuläre Malformationen. Dabei sind Hämangiome als benigne vaskuläre Tumore klassifiziert, die nur im Kindesalter auftreten. Diese sind klar abzugrenzen von anderen vaskulären Anomalien, allen voran von den vaskulären Malformationen, die nicht als vaskuläre Tumore gelten und im Gegensatz zu Hämangiomen nicht die Potenz haben, sich selbst zurückzubilden. Eine vereinfachte Version der Klassifikation sehen Sie in der Grafik (Abbildung 7).
Eine Übersichtsarbeit von Liberale et al. hat 58 Publikationen zur Thematik systematisch ausgewertet und kam zu dem Ergebnis, dass nur acht (ungefähr 15 Prozent) eine korrekte Diagnose geschildert haben [2022]. Interessanterweise stellten sich in diesem Review alle beschriebenen kavernösen Hämangiome als venöse Malformationen heraus.
Bei unserem Fall erfolgte die histopathologische Einordnung als kavernöses Hämangiom. Gemäß der Klassifikation der ISSVA kommen Hämangiome nur bei Kindern und nicht bei Erwachsenen vor.
Nach wie vor bereitet die korrekte histopathologische Klassifikation von vaskulären Anomalien Schwierigkeiten. Auch in der aktuellen Literatur finden sich fälschlich klassifizierte Fallberichte. Die Unterscheidung zwischen Hämangiomen und vaskulären Malformationen kann histopathologisch und immunhistochemisch durch Marker wie CD31 und CD34 erfolgen. Die Unterscheidung ist klinisch insofern relevant, da Hämangiome auf eine medikamentöse Therapie mit Propranolol ansprechen und somit konservativ therapierbar sind, während dies bei vaskulären Malformationen nicht der Fall ist.
Fazit für die Praxis
Die von uns beschriebene Raumforderung ist korrekterweise als venöse Malformation zu klassifizieren. Im klinischen Alltag wird der Terminus des Hämangioms nach wie vor für eine Vielzahl von vaskulären Anomalien verwendet. Jedoch ist zu beachten, dass Hämangiome Erkrankungen des infantilen Alters sind. Vaskuläre Anomalien des adulten Alters sind in den meisten Fällen als unterschiedliche vaskuläre Malformationen oder Teleangiektasien einzuordnen.
Literaturliste
Papavasileiou D, Gosau M, Reichert T E, Zeitler K: Intraossäres Hämangiom des Unterkiefers: Differenzialdiagnose einer zystischen Raumforderung im Kieferbereich. zm 101: 50-52 (2011)
Valentini V, Nicolai G, Lorè B, Aboh I V: Intraosseous hemangiomas. J Craniofac Surg 19: 1459-1464 (2008)
Bornstein MM, Yeung AWK, Tanaka R, PJ Thomson: Intraossäres Hämangiom im Unterkiefer wenn die Wunde nach der Weisheitszahnentfernung nicht heilt. Swiss Dental Journal Vol. 130 (2020)
Oliveira GG, García-Rozado A, Rey RL: Intraosseous mandibular hemangioma. A case report and review of the literature. Med Oral Patol Oral Cir Bucal. 2008 Aug 1;13(8): 496-8.
Özdemir R, Alagoz S, Uysal AC, Unlu RE, Ortak T, Sensoz O: Intraosseous hemangioma of the mandible: a case report and review of the literature. J Craniofac Surg. 2002 Jan;13 (1):38- 43.
ISSVA classification for vascular anomalies www.issva.org/UserFiles/file/ISSVA-Classification-2018.pdf
Sepulveda I., et al. Intraosseous hemangioma of the mandible: case report and review of the literature. Int. J. Odontostomat., 7(3):395-400, 2013.
Alanís, M.G., Morton, J.V., Menchaca, H.R., Treviño, M.G., & Silva, G.R. (2016). Hemangioma intraóseo de la mandíbula. Reporte de un caso clínico.
Fernández, L.R., Luberti, R.F., & Domínguez, F.V. (2003). Aspectos radiográficos de los hemangiomas óseos maxilo- faciales. Revisión bibliográfica y presentación de dos casos
Hoffmann J. Hämangiome, vaskuläre Malformationen und Neurofibromatosen. MKG-Chirurg 2013 , 6:8–9
Liberale C, Rozell-Shannon L, Moneghini L, Nocini R, Tombris S, Colletti G. Stop Calling Me Cavernous Hemangioma! A Literature Review on Misdiagnosed Bony Vascular Anomalies. J Invest Surg. 2022 Jan;35(1):141-150.
Strauss S.B., Steinklein J.M, Phillips C.D. at al.. Intraosseous Venous Malformations of the Head and Neck. American Journal of Neuroradiology August 2022, 43 (8) 1090-1098;
Lee JC, Modiri O, England RW, Shawber CJ, Wu JK (2021) Propranolol Therapy in Infantile Hemangioma: It Is Not Just About the Beta. Plastic and reconstructive surgery 147:875-885
Itinteang T, Withers AHJ, Leadbitter P, Day DJ, Tan ST (2011) Pharmacologic therapies for infantile hemangioma: is there a rational basis? Plastic and reconstructive surgery 128:499-507
Schmidt VF, Masthoff M, Czihal M, Cucuruz B, Haberle B, Brill R, Wohlgemuth WA, Wildgruber M (2021) Imaging of peripheral vascular malformations - current concepts and future perspectives. Mol Cell Pediatr 8:19
Hoffmann J (2013) Hämangiome, vaskuläre Malformationen und Neurofibromatosen. Der MKG-Chirurg 6:8-9
Krowchuk DP, Frieden IJ, Mancini AJ et al. (2019) Clinical Practice Guideline for the Management of Infantile Hemangiomas. Pediatrics 143 doi: 10.1542/peds.2018-3475.
Mulliken JB, Glowacki J (1982) Hemangiomas and vascular malformations in infants and children: a classification based on endothelial characteristics. Plastic and reconstructive surgery 69:412-422












