Mundbodenhämatom nach Implantatinsertion unter Thrombozytenaggregationshemmung
Ein 62-jähriger Patient stellte sich über die zentrale Notaufnahme erstmalig im August 2023 zur stationären Überwachung beziehungsweise Behandlung eines postoperativ aufgetretenen Mundbodenhämatoms nach Implantatinsertion regio 33 und 43 vor. Zuvor war bei einem niedergelassenen Zahnarzt nach Auftreten des Hämatoms bereits die Länge des in regio 43 inserierten Implantats von 12 mm auf 10 mm Länge revidiert und apikal ein Kollagenkegel appliziert worden, worunter eine Hämatomausdehnung von circa 30 mm Durchmesser persistierte.
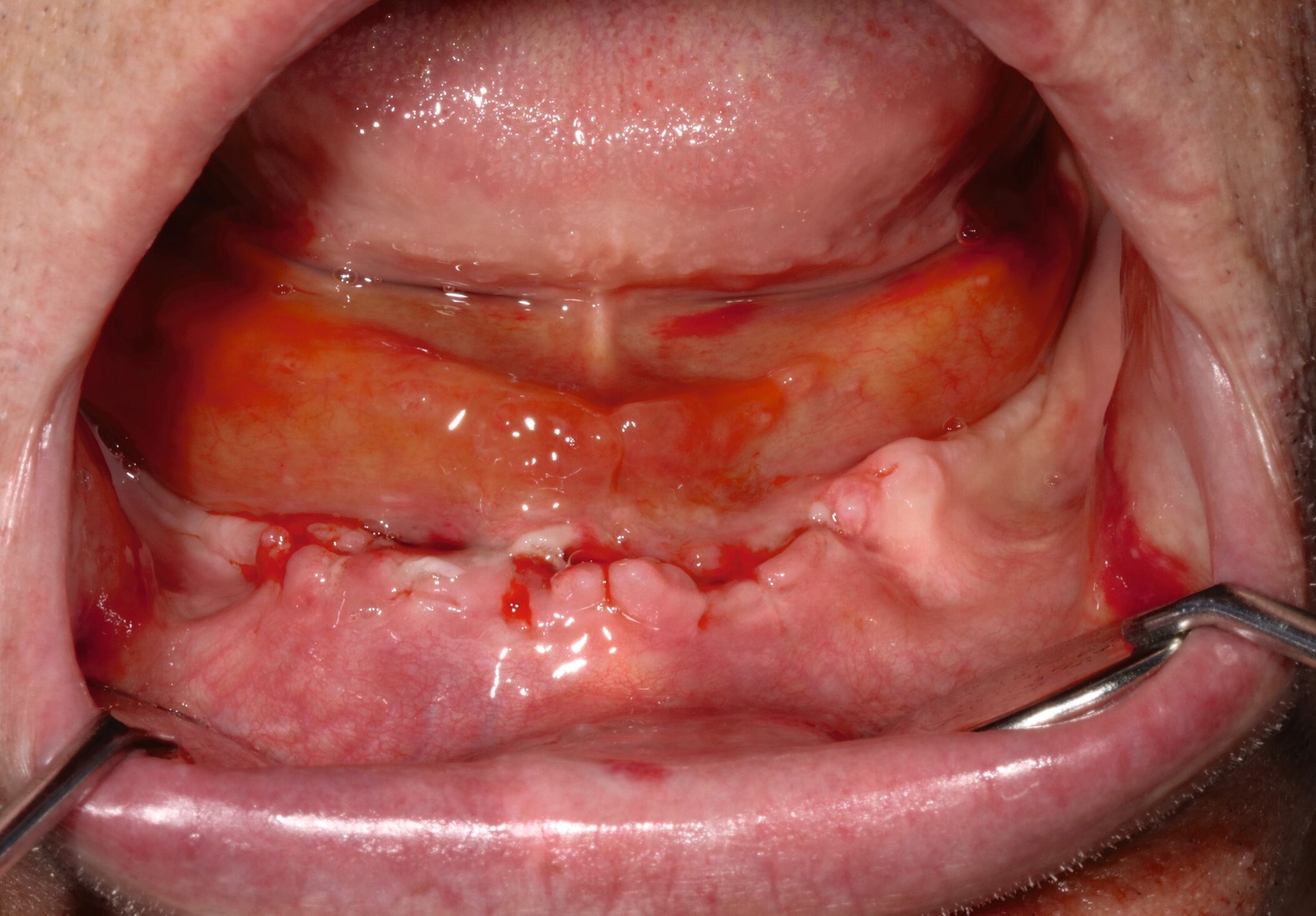
Anamnestisch bestand eine ASS-Dauertherapie nach mehrfacher Stentimplantation bei einer vorbestehenden Koronaren Herz-Kreislauf-Erkrankung und anamnestisch berichteten Herzinfarkten in den Jahren 2013, 2017 und 2020, eine arterielle Hypertonie sowie eine Hyperlipoproteinämie. Im Rahmen der notfallmäßigen Erstvorstellung zeigte sich in der klinischen Untersuchung intraoral ein ausgedehntes und schmerzhaftes Hämatom des vorderen Mundbodens (Abbildung 1), das die Zunge deutlich Richtung Oropharynx verdrängte und den Patienten beim Schluckakt behinderte. Eine Dyspnoe bestand zum Zeitpunkt der Erstuntersuchung nicht.
Ein vom Patienten mitgebrachtes DVT (Digitale Volumentomografie) zeigte die nach lingual in den Mundboden ragende Implantatspitze regio 43 (Abbildung 2). Die im Rahmen der weiterführenden Verlaufsdiagnostik durchgeführte Computertomografie (CT) konnte dies bestätigen und zudem ein massives Hämatom im vorderen Mundboden mit Ausbreitung in Richtung des zervicalen Halsweichgewebes darstellen (Abbildung 3). Eine aktive Blutung sowie eine Komprimierung der Atemwege konnten radiologisch ausgeschlossen werden. Der Patient wurde nach Abschluss der klinischen und radiologischen Untersuchung zur Überwachung stationär aufgenommen.
Therapeutisch erfolgten als abschwellende Maßnahmen die Applikation von lokaler Kälte sowie die Gabe von Dexamethason für insgesamt drei Tage (8 mg – 8 mg – 8 mg; 4 mg – 4 mg – 4 mg; 2 mg – 2 mg – 2 mg). Des Weiteren erhielt der Patient eine intravenöse Antibiose zur Infektionsprophylaxe mittels Sultamicillin (3 x 3 g/d für vier Tage) sowie für weitere drei Tage peroral mittels Amoxicillin/Clavulansäure (875/125 mg 2 x 1 Tablette/d). Ergänzend erfolgten eine adaptierte orale Schmerztherapie mittels Metamizol (3 x 30 gtt/d), die Umstellung auf flüssige Kost sowie tägliche Wundkontrollen und Reinigungen mittels Chlorhexamed-Mundspüllösung 0,2 Prozent. Darunter zeigten sich ein rascher Rückgang des Hämatoms und eine zeitgerechte Abheilung der Implantatinsertionsstellen im weiteren stationären Verlauf (Abbildung 4), sodass der Patienten nach viertägiger Überwachung mit einer geringen Restschwellung / einem geringen Resthämatom und ohne klinische Beschwerden in die ambulante Nachsorge entlassen werden konnten (Abbildung 5). Während der ambulanten Nachkontrollen zeigte sich eine vollständige Regression der Beschwerden.
Diskussion
Verletzungen von größeren Gefäßen, wie der A. submentalis oder der A. sublingualis im Bereich des vorderen Mundbodens, während der Implantatinsertion sind insgesamt betrachtet selten. Statistisch gesehen am häufigsten treten sie im Unterkieferfrontzahnbereich auf und können unter Umständen lebensbedrohliche Komplikationen auslösen [Tarakji and Nassani, 2012; Balaguer-Marti et al., 2015; Römer et al., 2022]. Ursächlich dafür ist, dass die A. submentalis beziehungsweise die A. sublingualis je nach anatomischer Konfiguration nah am lingualen Unterkieferrand liegen können und somit im Fall einer lingualen Perforation der kortikalen Lamelle – wie im geschilderten Fall – zu einer lebensbedrohlichen Blutung und Schwellung führen können. Zudem gelten Operationen im Bereich des Mundbodens aufgrund der schlechten Komprimierbarkeit der oben genannten ausgeprägten Gefäßverzweigung und der potenziellen Ausbreitungstendenz ohnehin als Hochrisikooperationen hinsichtlich des Blutungsrisikos im Bereich der Oralchirurgie [Römer et al., 2022].
Potenziert wird das Blutungsrisiko zudem durch eingenommene Antikoagulantien und/oder Thrombozytenaggregationshemmer, die im Rahmen der immer älter werdenden und multimorbiden Bevölkerung weiter zunehmen – so nehmen derzeit etwa eine Million Menschen in Deutschland gerinnungshemmende Medikamente ein. Laut aktuellen klinischen Studien werden sogar über 50 Prozent der über 60-jährigen MKG-Patienten mit Antikoagulantien behandelt [Halling and Weigl, 2022]. Daher ist es nicht verwunderlich, dass 90 Prozent der pathologischen Blutungen ihre Ursache in medikamentös verursachten Störungen haben [Walter et al., 2016; Thiem und Kämmerer, 2018].
Um Komplikationen – insbesondere bei Risikopatienten – zu vermeiden, gehören zu den grundlegenden Präventionsmaßnahmen eine entsprechende Ausbildung und Vorbereitung des Operateurs, die perioperativ unmittelbare Verfügbarkeit von Hämostyptika sowie eine umfassende klinische Untersuchung und Anamnese hinsichtlich des Risikoprofils [Kämmerer et al., 2018; Wahl et al., 2018]. Daraus ergeben sich wiederum je nach Patient weitere Maßnahmen, beispielsweise eine 3-D-Planung anhand eines CTs oder DVTs [Dau et al., 2017]. Anhand der digitalen Planung können die Implantatparameter dann im Anschluss an die anatomischen Gegebenheiten angepasst werden. Dies erhöht die Sicherheit und die Genauigkeit der zu setzenden Implantate. Allerdings scheint eine erweiterte radiologische Diagnostik der klinischen Untersuchung (zum Beispiel der Palpation unter sich gehender Knochenareale) nicht überlegen zu sein [Kämmerer und Al-Nawas, 2020].
Sollte es trotz dieser Vorsichtsmaßnahmen zu einem Zwischenfall kommen, bedarf es einer unverzüglichen Ursachenabklärung sowie deren suffizienter Behandlung. Auch die umgehende stationäre Einweisung des Patienten in eine entsprechende Fachklinik kann erforderlich werden, um die entsprechende Diagnostik und Therapie einzuleiten und somit eine rasche Genesung zu gewährleisten [Kämmerer et al., 2018]. Eine Pausierung der gerinnungshemmenden Medikamente scheint zumindest bei hohem und teilweise bei mittlerem Thromboserisiko mit erhöhten kardiovaskulären Risiken einherzugehen. Daher sollte in diesen Fällen, im Vergleich zu einer sehr geringen Wahrscheinlichkeit für fatale Blutungsereignisse, ein temporäres Absetzen als kontraindiziert bewertet werden [Römer et al., 2022].
Patienten mit Hämatomen im Bereich des Mundbodens (insbesondere im Rahmen von arteriellen oder starken venösen Blutungen und/oder im Rahmen einer Antikoagulationstherapie) sollten keinesfalls in die Häuslichkeit entlassen werden. Eine Ausbreitung des Hämatoms in Richtung des Halsweichgewebes kann bis zur Verlegung der Atemwege führen und somit bei zu spätem Handeln letal enden. Daher sind die stationäre Überwachung und – im Fall eines Progresses – die schnelle Interventionsmöglichkeit in einer entsprechenden Fachklinik überaus wichtig und möglicherweise überlebensentscheidend.
Initial sollte sich die Therapieentscheidung nach der sorgfältigen lokalen Wundinspektion und der Zusammenschau der klinischen Symptomatik richten. Insbesondere sehr große Mundbodenhämatome oder solche mit einem starken Größenprogress und einer damit verbundenen potenziellen Verlegung der Atemwege sollten unbedingt mit einer unverzüglichen Hämatomentlastung und gegebenenfalls einer intra- oder sogar extraoralen Ligatur des verletzten Gefäßes behandelt werden [Laboda, 1990; Bavitz et al., 1994]. Bei moderaten beziehungsweise größenkonstanten Lokalbefunden und stabilen Vitalparametern – wie im beschriebenen Fall – kann auch ein zunächst abwartendes Verhalten mit kontinuierlicher Überwachung indiziert sein. Dies gilt insbesondere dann, wenn unter laufender Therapie mit der gerinnungshemmenden Medikation bei weiteren Interventionen mit zusätzliche Blutungen beziehungsweise einem Befundprogress zu rechnen wäre. So berichten verschiedene Studien von einer Erhöhung des Blutungsrisikos unter Thrombozytenaggregationshemmungstherapie bei oralchirurgischen Eingriffen zwischen 1,6 und 2,7 Prozent [Bajkin et al., 2015; Gröbe et al., 2015; Kämmerer et al., 2015].
Fazit für die Praxis
Mundbodenhämatome nach Implantatinsertionen sind selten, jedoch potenziell lebensbedrohlich.
Eine vollständige präoperative Diagnostik inklusive 3-D-Planung kann zur Verhinderung von Komplikationen sinnvoll sein. Wichtiger erscheint noch eine sorgfältige klinische Untersuchung unter besonderer Beachtung individueller anatomischer Gegebenheiten.
Fulminante Verläufe bei einer Einblutung in den Mundboden sind insbesondere bei Patienten unter Therapie mit Blutgerinnungshemmern möglich.
Eine stationäre Überwachung kann in ausgeprägten Fällen oder bei Progredienz einer Einblutung erforderlich werden.
Der Umfang der stationären Überwachung und Interventionen richtet sich nach dem Ausmaß des Hämatoms sowie nach dem klinischen Allgemeinzustand.
Zusätzlich zur Überwachung kann die Gabe von Glucocorticoiden den Schwellungsregress begünstigen und somit den stationären Aufenthalt verkürzen. Außerdem ist eine Antibiotikatherapie bei ausgedehnten Hämatomen zur Vermeidung einer Hämatominfektion sinnvoll, da eine Keimbesiedlung des Hämatoms über die intraoralen Wunden sonst wahrscheinlich wäre [Woo et al., 2006].
Literaturliste
Bajkin BV, IM Urosevic, KM Stankov, BB Petrovic and IA Bajkin: Dental extractions and risk of bleeding in patients taking single and dual antiplatelet treatment. Br J Oral Maxillofac Surg 53:39-43, 2015.
Balaguer-Marti JC, D Penarrocha-Oltra, J Balaguer-Martinez and M Penarrocha-Diago: Immediate bleeding complications in dental implants: a systematic review. Med Oral Patol Oral Cir Bucal 20:e231-238, 2015.
Bavitz JB, SD Harn and EJ Homze: Arterial supply to the floor of the mouth and lingual gingiva. Oral Surg Oral Med Oral Pathol 77:232-235, 1994.
Dau M, A Edalatpour, R Schulze, B Al-Nawas, A Alshihri and PW Kämmerer: Presurgical evaluation of bony implant sites using panoramic radiography and cone beam computed tomography-influence of medical education. Dentomaxillofac Radiol 46:20160081, 2017.
Gröbe A, M Fraederich, R Smeets, M Heiland, L Kluwe, J Zeuch, M Haase, J Wikner, H Hanken, J Semmusch, A Al-Dam and W Eichhorn: Postoperative bleeding risk for oral surgery under continued clopidogrel antiplatelet therapy. Biomed Res Int 2015:823651, 2015.
Halling F and K Weigl: Medical status of elderly patients consulting two oral and maxillofacial surgery departments in Germany. Br J Oral Maxillofac Surg 60:1097-1101, 2022.
Kämmerer PW and B Al-Nawas (2020). Complications in Oral Implant Placement, Springer.
Kämmerer PW, B Al-Nawas and Leitliniengruppe: Aktuelle S3-Leitlinie: Zahnärztliche Chirurgie unter oraler Antikoagulation/Thrombozytenaggregationshemmung. Zahnärztliche Mitteilungen 108:74-89, 2018.
Kämmerer PW, B Al-Nawas and Leitliniengruppe: S3-Leitlinie: Zahnärztliche Chirurgie unter oraler Antikoagulation/Thrombozytenaggregationshemmung. AWMF 2018.
Kämmerer PW, B Frerich, J Liese, E Schiegnitz and B Al-Nawas: Oral surgery during therapy with anticoagulants-a systematic review. Clin Oral Investig 19:171-180, 2015.
Laboda G: Life-threatening hemorrhage after placement of an endosseous implant: report of case. J Am Dent Assoc 121:599-600, 1990.
Mason ME, RG Triplett and WF Alfonso: Life-threatening hemorrhage from placement of a dental implant. J Oral Maxillofac Surg 48:201-204, 1990.
Römer P, D Heimes, A Pabst, P Becker, DGE Thiem and PW Kämmerer: Bleeding disorders in implant dentistry: a narrative review and a treatment guide. Int J Implant Dent 8:20, 2022.
Tarakji B and MZ Nassani: Factors associated with hematoma of the floor of the mouth after placement of dental implants. Saudi Dent J 24:11-15, 2012.
Thiem DGE and PW Kämmerer: Praxisorientierte Umsetzung der aktuellen S3-Leitlinie „Zahnärztliche Chirurgie unter oraler Antikoagulation/ Thrombozytenaggregationshemmung. Zeitschrift für Zahnärztliche Implantologie 34:336-339, 2018.
Wahl MJ, CS Miller, NL Rhodus, P Kämmerer, A Dinkova, RV Lalla and BV Bajkin: Anticoagulants are dental friendly. Oral Surg Oral Med Oral Pathol Oral Radiol 125:103-106, 2018.
Walter C, C Renneé and T von Haussen: Richtiger Umgang mit antikoagulierten Patienten. Zahnärztliche Mitteilungen 106:2318-2324, 2016.
Woo BM, S Al-Bustani and BA Ueeck: Floor of mouth haemorrhage and life-threatening airway obstruction during immediate implant placement in the anterior mandible. Int J Oral Maxillofac Surg 35:961-964, 2006.










