Bruxismus in der Sportzahnmedizin
Leistungssportler müssen ihre physischen Ressourcen optimal für die in ihrer Sportart geforderten Kräfte und Bewegungen einsetzen. Jeder „falsche“ Einsatz von Kraft, Energie und Zeit bindet Ressourcen, die nicht mehr für die eigentliche sportliche Aktivität zur Verfügung stehen. Insofern steht Bruxismus als muskuläre Aktivität in einem Konkurrenzverhältnis zur sportlichen Leistung.
So verlängert verminderte Schlafqualität aufgrund von Schlafbruxismus die Regenerationszeit des Körpers und verkürzt damit die effektive Trainingszeit, während der die Fähigkeiten wie Kraft, Ausdauer, Schnelligkeit oder Genauigkeit verbessert werden könnten. Unbewusstes Knirschen und Pressen der Zähne während des Tages (Wachbruxismus) beeinflusst die Muskelgrundspannung und die Ermüdungsgeschwindigkeit. Über lange Zeiträume können sich so deutliche Leistungsunterschiede zwischen Athleten und Athletinnen mit sonst ähnlichen Voraussetzungen entwickeln.
Alexandra Bartsch
Spezialistin für Sportzahnmedizin
Casa Dentalis, Drakestr. 23A, 12205 Berlin
bartsch.alexandra@outlook.de
2013–2020: Studium der Zahnmedizin an der Charité Universitätsmedizin Berlin
2021–2023: Zahnarztpraxis Stavros Avgerinos, Oberhausen, Allgemeinzahnärztliche Praxis mit einem besonderen Schwerpunkt auf Sportzahnmedizin
seit 2023: Angestellte Zahnärztin, CASA DENTALIS, Berlin
Univ.-Prof. Dr. Florian Beuer, MME
Direktor der Abteilung für Zahnärztliche Prothetik, Funktionslehre und Alterszahnmedizin, Centrum für Zahn-, Mund- und Kieferheilkunde, Charité – Universitätsmedizin Berlin
Aßmannshauser Str. 4-6, 14197 Berlin
florian.beuer@charite.de
1994–1999: Studium der Zahnheilkunde an der Ludwig-Maximilians-Universität (LMU) München
2000–2001: Assistent in freier Praxis
2002–2015: Wissenschaftlicher Mitarbeiter, Funktionsoberarzt, Oberarzt und leitender Oberarzt an der Poliklinik für Zahnärztliche Prothetik der LMU (Direktor: Prof. Dr. Dr. h. c. Wolfgang Gernet)
2007–2008: Forschungsaufenthalt am Pacific Dental Institute in Portland/Oregon, USA (Direktor: John A. Sorensen DMD, PhD)
2015: Direktor Zahnärztliche Prothetik, Alterszahnmedizin und Funktionslehre, Charité – Universitätsmedizin Berlin
2020: Editor in Chief International Journal of Computerized Dentistry (Quintessence Publishing Group)
2021: Präsident Deutsche Gesellschaft für Implantologie (DGI)
2022: Active Fellow American Academy of Prosthodontics
Während die Bruxismus-Prävalenz in der Allgemeinbevölkerung bei etwa 20 Prozent vermutet wird, scheinen die Zahlen unter Athletinnen und Athleten deutlich erhöht zu sein, jedoch ist die Studienlage dazu nicht ausreichend. Eindeutig belegt ist jedoch, dass eine Craniomandibuläre Dysfunktion (CMD) bei dieser Gruppe häufiger vorkommt, so dass dies vorläufig auch für Bruxismus angenommen werden kann [Klasser et al., 2010; Lavigne et al., 2008; Freiwald et al., 2021, 2022; Starr und McGrew, 2023].
Patienten, die Okklusionsprobleme aufweisen und zudem unter Bruxismus oder nächtlichem Pressen leiden, beklagen oftmals Schmerzen oder Fehlstellungen in anderen Bereichen des Körpers, vor allem im Bereich der Extremitäten. Grund dafür sind die Mechanismen der ab- und aufsteigenden Ketten des Körpers, denn über Muskeln und Faszien sind alle Rotations- und Flexionszentren des Körpers miteinander verbunden. Während Übersichtsarbeiten [Behr et al., 2012; Lobbezoo und Naeije, 2001] inzwischen Abstand davon nehmen, Okklusionsstörungen als ätiologischen Hauptfaktor für Bruxismus zu sehen, gibt es im Bereich des Hochleistungssports vermehrt Hinweise darauf, dass Störungen in der Okklusion zu vermehrtem Auftreten von Parafunktionen führen können. Wobei schon kleinste Veränderungen Trainingserfolge und Wettkampfergebnisse beeinflussen können.
Bei jungen Athleten und Athletinnen, die sich noch im Wachstum befinden, sollte man bei einer intensiven konservierenden beziehungsweise prothetischen, aber auch bei einer kieferorthopädischen Behandlung in engen Abständen auf eventuell neu auftretende Beschwerden achten. Besonders bei einer KFO-Therapie kann es in kraftintensiven Sportarten wie Turnen oder Gewichtheben notwendig sein, kurzzeitig das Leistungsniveau abzusenken, um langfristige Schäden während der Okklusionsumstellung zu vermeiden. Dabei ist wichtig, vorher über das mögliche Auftreten von Beschwerden aufzuklären und während der Behandlung gezielt nachzufragen, da der Zusammenhang für die Patienten und Patientinnen nicht immer schlüssig erscheint.
Eine präklinische Untersuchung mit Ratten ergab Hinweise dafür, dass stressbedingter Bruxismus auch als positiver Mechanismus wirkt, indem er die Neigung zu Ulkusbildung senkt und somit gegebenenfalls eine Funktion als „emotionaler Blitzableiter“ erfüllt [Sato et al., 2010]. Dieser Effekt, den man positiv auslegen kann, reiht sich ein in die Beobachtung, dass besonders Wachbruxismus häufig im Zusammenhang mit sozialem Stress beschrieben wird. Nicht nur, jedoch besonders im Hochleistungssport ist der Leistungsdruck, der durch eigene Erwartungen oder Druck aus dem Umfeld auf Athleten und Athletinnen einwirkt, besonders hoch. Sollten sich Anzeichen für eine zu hohe Stressbelastung häufen, kann dies ein wichtiger Hinweis für das Betreuungsteam sein, etwas am Umfeld der Sportlerin oder des Sportlers zu verändern.
Darüber hinaus ist die Mundhöhle ein Raum, in dem sich sehr früh die Folgen des Einflusses negativer Ernährungsgewohnheiten zeigen. Einige Untersuchungen zeigen, dass der Gebrauch von Energy- oder Isodrinks unter Sportlern und Sportlerinnen erhöht ist [Bdier und Mahamid, 2023]. Regelmäßige zahnärztliche Check-ups können daher besonders in der Früherkennung einen großen Beitrag leisten. Durch Ernährungsaufklärung und frühzeitige Rehabilitation können langfristig erosive oder abrasive Zahnhartsubstanzschädigungen und damit Verlust der vertikalen Höhe verhindert werden.
Die zwei Patientenfälle zeigen einige Besonderheiten, die bei der zahnärztlichen Versorgung von Athleten mit vorliegendem Bruxismus hervorgehen.
Fall I: Orale Rehabilitation eines Schwerkraftsportlers – Verlust der vertikalen Höhe
(ZA Tobias Mayer, ZAP Dr. Mayer & Team, Dresden-Kesselsdorf)
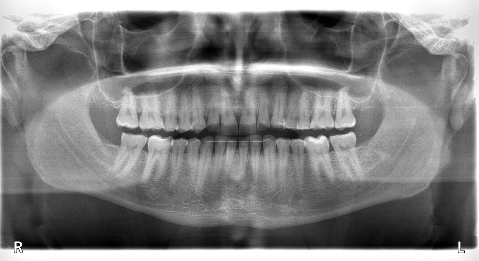
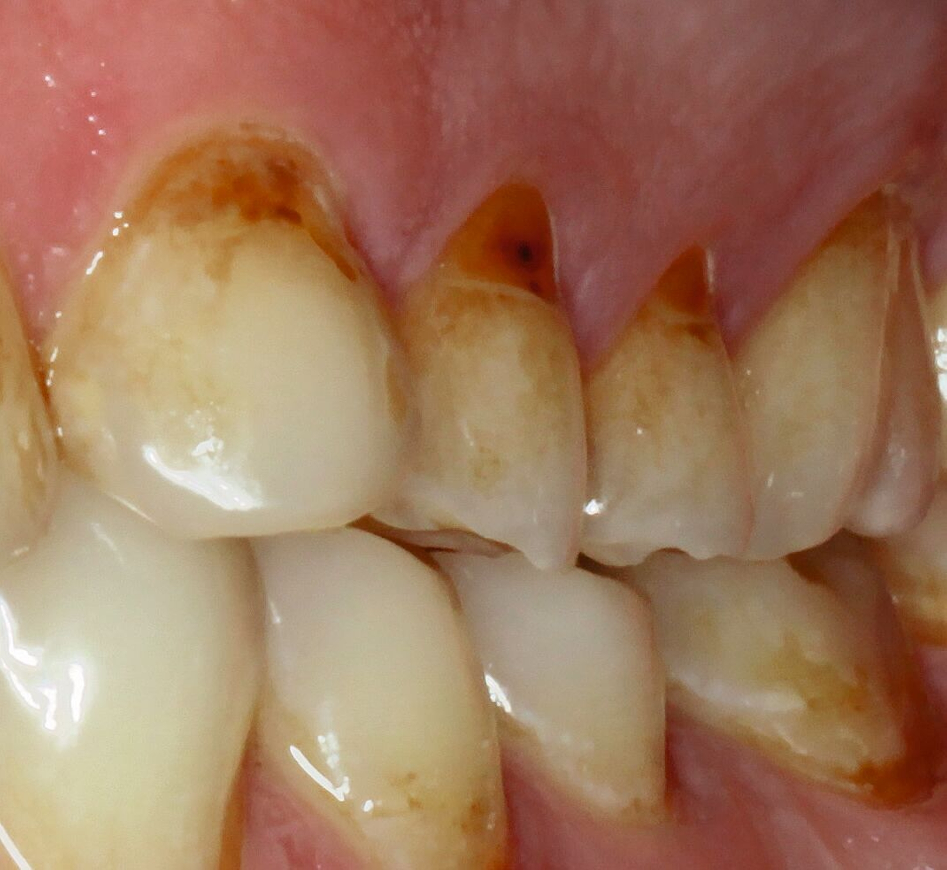
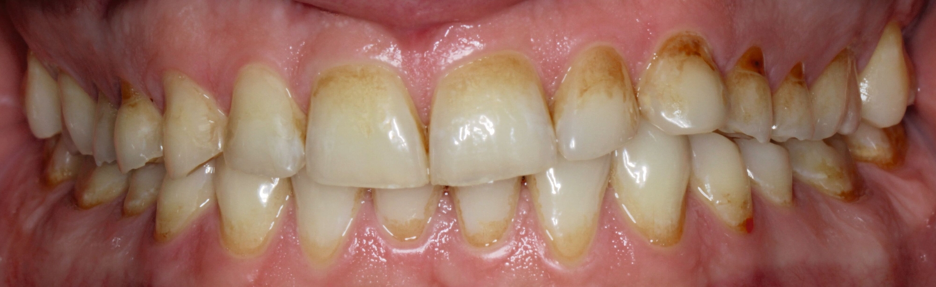
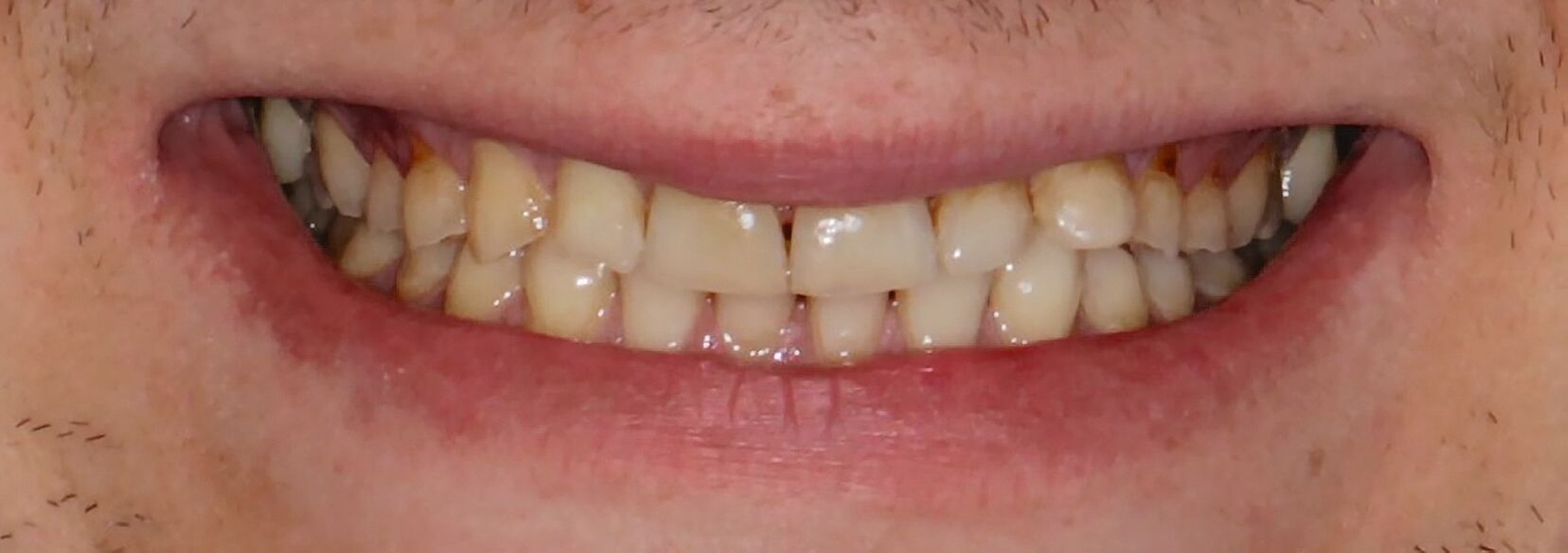
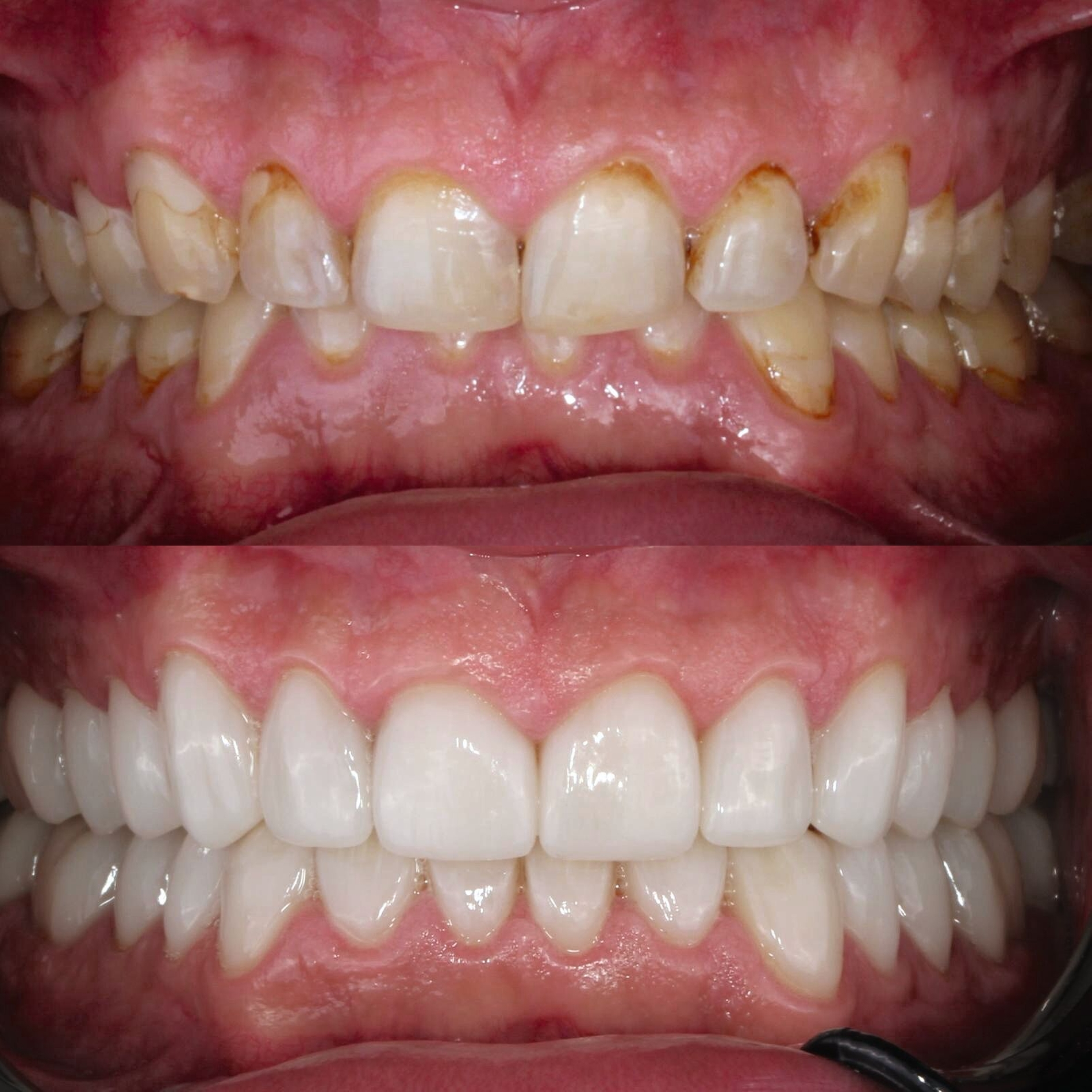
Der 26-jährige Patient stellte sich erstmalig im Oktober 2021 mit dem Wunsch nach einer Gesamtrehabilitation des Gebisses vor. Er betreibt Kraftdreikampf, international bekannt unter dem Namen Powerlifting, und nimmt regelmäßig an Wettkämpfen teil. Es handelt sich dabei um eine kraftintensive Sportart, welche der Schwerathletik zugerechnet wird. In den drei Disziplinen Kniebeugen, Bankdrücken und Kreuzheben werden abhängig vom erreichten Maximalgewicht Punkte vergeben und zusammengerechnet. Für den Athleten gehören besonders in Phasen des Muskelaufbaus kurze Essintervalle, gesüßte Workout-Booster, Proteinshakes sowie Säfte und Energydrinks zum Alltag.
Diagnostik
Klinisch präsentierte sich ein vollbezahntes Gebiss ohne Weisheitszähne mit Defekten an der Zahnstruktur teilweise bis ins Dentin. Es waren deutliche Erosionsspuren zu erkennen, die auf die säurehaltige Ernährung im Kurzzeitintervall zurückgeführt wurden. Der BEWE-Index war mit dem Wert 13 auffällig und kategorisierte den Schaden als ausgeprägte Erosionen. Die Zähne 14, 13 und 24 wiesen nicht-kariöse zervikale Defekte auf, diese treten häufig im Zusammenhang mit Bruxismus auf [Pecie et al., 2011]. Das CMD-Screening der Deutschen Gesellschaft für Funktionsdiagnostik und -therapie (DGFDT) [DGFDT, 2024] war unauffällig, da der Patient über keinerlei Schmerzen oder Beschwerden bei Kieferbewegungen klagte. Die manuelle Strukturanalyse (MSA) nach Bumann [Fasold und Kordaß, 2012] ergab bei diesem Patienten ein myofaziales Schmerzsyndrom. Im Prämolarenbereich imponierten Zahnhartsubstanzdefekte, die Hinweise auf starkes und häufiges Zähnepressen geben. Den Patienten selbst störten seine kälteempfindlichen Zähne sowie die Gesamtästhetik aufgrund des massiven Substanzverlustes.
Therapie
Zu Beginn wurden mit Alginat Abformungen der Ausgangslage genommen. Anhand der Situationsmodelle konnten mithilfe einer Modellanalyse nach dem Udo-Plaster-Protokoll [Plaster und Köttgen, 2020] Rückschlüsse auf einen vertikalen Höhenverlust von etwa 3 - 4 mm gezogen werden. Für die Registrierung der neuen Höhe wurde der Patient mit einer temporären Einweg-Schiene (Aqualizer®, MediPlus GmbH, Unterleinleiter) deprogrammiert. Anschließend wurde am stehenden Patienten ein Bis-Acrylat-basierter Frontzahn-Jig (LuxaBite, DMG, Hamburg) angefertigt, so dass die Bissnahme als vorläufige patientenindividuelle Myozentrikposition reproduzierbar im Seitenzahnbereich mit einem A-Silikon (Kanibite hart, Kaniedenta, Herford) erfolgen konnte. Basierend auf dieser Höhe wurde eine Bisserhöhungsschiene angefertigt, die der Patient über sechs Monate lang trug. Nach einem Intraoralscan des Ober- und Unterkiefers (Primescan, Dentsply Sirona, Bensheim) konnte ein digitales Wax-up erstellt werden. Auf den 3-D-gedruckten Wax-up-Modellen wurde ein Silikonschlüssel für die Mock-up-Versorgung hergestellt und mit einem Bis-Acrylat-Komposit (Luxatemp Star, DMG, Hamburg) umgesetzt.
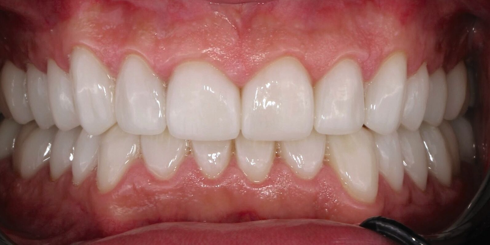
Da der Patient mit der Situation zufrieden war, konnte nach einigen Wochen die endgültige Versorgung bestehend aus Lithiumdisilikat-Kronen (e.max®, Ivoclar, Schaan, Liechtenstein) adhäsiv mit einem dualhärtenden Befestigungskomposit (RelyXUltimate™, 3M™, Neuss) eingesetzt werden. Der Patient bekam außerdem eine Unterkiefer-Aufbissschiene mit adjustierter Kaufläche für die Nacht.
Fazit
Der Patient konnte vollständig saniert werden und kam mit der neu eingestellten Bisshöhe sehr gut zurecht. Während der Behandlung wurden Ernährungshinweise gegeben, um die langfristige Haltbarkeit der Restauration zu gewährleisten. Eine besondere Herausforderung stellten in diesem Fall der angestrebte Ausgleich der verlorenen vertikalen Höhe und die Bestimmung der Myozentrikposition dar.
Fall II: Profifußballspieler
(Dr. Johanna Herzog, Dr. Florian Göttfert, ZAP edel&weiss, Nürnberg)
Ein Profi-Fußballspieler stellte sich in der Praxis zur sportzahnmedizinischen Überprüfung vor. Er klagte über Schmerzen an der linken Patellasehne. Sowohl in Ruhe als auch während Belastung beim Training oder im Spiel hatte der Sportler Probleme und immer wiederkehrende Schmerzen.
Diagnostik
Allgemeinanamnestisch bestanden bei dem Athleten keine Auffälligkeiten. Es gab in der Vergangenheit keine kieferorthopädische Behandlungen und bis auf kleinere, konservierende Versorgungen auch keine invasiven Zahnbehandlungen. Die Auswertung des ausgefüllten DGSZM-Befundbogens ergab Auffälligkeiten in den Bereichen CMD-Kurzbefund und den sportspezifischen Fragestellungen (Patellasehne).
Bei der visuellen Kontrolle der Okklusion mithilfe von Okklusionspapier (40 mm) und Shimstockfolie (8 mm) konnte am Abhang des distobukkalen Höckers des Zahns 37 ein dynamischer Vorkontakt während der Laterotrusionsbewegung festgestellt werden. Im Stehen war die Kopfrotation nach links im Vergleich zu rechts eingeschränkt und es war eine leicht hochgezogene linke Schulter zu erkennen.
Weiterhin konnte bei geschlossener Zahnreihe in maximaler Interkuspidation eine leichte Mittellinienverschiebung der Unterkiefer- zur Oberkiefermitte von etwa 1,5 mm festgestellt werden. Schon bei leichter Mundöffnung glichen sich die jeweiligen Mitten an – ein weiterer Hinweis auf ein Okklusionshindernis.
Die Palpation der Kaumuskulatur zeigte einen asymmetrischen Muskeltonus der Mm. Masseteres, wobei der rechte M. Masseter einen deutlich stärkeren Muskeltonus aufwies als der linke. Auch die Palpation der Mm. Pterygoidei war beidseits positiv.
Therapie
Um die Okklusion des Patienten zu idealisieren, wurden zwei unterschiedliche Schienen hergestellt. Zum einen eine Aufbissschiene für die Nacht, zum anderen eine sogenannte Performance-Schiene (Sportschiene). Die Aufbissschiene soll durch eine Front-Eckzahn-Führung mit punktuellen Kontakten im Seitenzahnbereich für Stabilität und eine idealisierte Okklusion nahe der zentrischen Position der Kiefergelenke sorgen. Sie soll so den Körper bei der Regeneration unterstützen und für einen geringeren Cortisolspiegel und einen tieferen Schlaf sorgen [Benli und Özcan, 2023; Abe et al., 2023; Rosar et al., 2017].
Die Sportschiene hat einen weichen Aufbiss im Seitenzahnbereich und soll so eine Vorspannung der Kaumuskulatur erzeugen. Hierbei ist das Ziel, mögliche Interferenzen der habituellen Okklusion auszuschalten und die absteigende Kette sowie ihre möglichen Auswirkungen positiv zu beeinflussen.
Für die Herstellung beider Schienen ist die Bissnahme in idealisierter Kieferrelation von größter Bedeutung. Um die Bisssituation so wenig wie möglich zu beeinflussen, wird der Patient am selben Tag physiotherapeutisch vorbehandelt. Anschließend wird der Biss des Patienten „deprogrammiert“. Hierzu können unterschiedliche Methoden angewendet werden. In unserem Fall wurde eine temporäre Einweg-Schiene (Aqualizer, MediPlus GmbH, Unterleinleiter) für circa 15 Minuten eingebracht. Anschließend wurde eine instrumentelle Funktionsanalyse durchgeführt. Mithilfe eines Kieferregistriersystems (JMA+Analyser, Zebris Medical, Isny) konnten die Gelenkbahnneigungen, die Kieferrelationsbestimmung und auch die Zentrikbestimmung digital registriert werden. Der digitale Workflow vereinfacht und unterstützt die Schienenherstellung dabei erheblich.
Fazit

Nach dem Beginn der Therapie und dem regelmäßigen Tragen der Schienen während des Trainings, bei Wettkämpfen und vor allem nachts verminderten sich die Beschwerden des Patienten nach circa drei Monaten deutlich. Es wurde als therapeutische Konsequenz der statische Vorkontakt an 37 leicht reduziert, um dem Patienten auch ohne Schienen eine verbesserte Okklusion zu ermöglichen. Nach sechs Monaten war der Patient nahezu schmerzfrei.
Bei dem hier vorgestellten Fall handelt es sich um ein anekdotisches Ereignis, das man kritisch sehen muss und nicht überbewerten darf. Ein funktionelles Therapiekonzept könnte hierbei nicht nur die „return on the field“-Zeit eventuell verkürzen und das ästhetische Behandlungsergebnis optimieren, sondern auch durch das Wissen um orale Störfaktoren, Okklusion und absteigende wie aufsteigende Ketten im Körper die Verletzungsprophylaxe verbessern, Regeneration fördern und sogar in einzelnen Disziplinen zusätzlich die Leistung steigern. Um dies abschließend zu bewerten, müssen weiterhin klinische Daten gesammelt und diese statistisch ausgewertet werden. Auf dem Weg zur Genesung könnte dieser Ansatz allerdings durchaus hilfreich sein.
Schlussbemerkung
Die sportzahnärztliche Behandlung erfordert neben gründlicher Anamnese und Diagnostik auch fachübergreifendes Wissen und interdisziplinäre Kooperation. In Bezug auf Bruxismus sind aufgrund der höheren Prävalenz im Leistungssport ein CMD-Screening sowie ein präventiver Therapieansatz im Rahmen der zahnärztlichen Betreuung anzuraten.
Die Deutsche Gesellschaft für Sportzahnmedizin (DGSZM) empfiehlt für die sportzahnmedizinische Betreuung von Athleten einen von ihr selbst entwickelten, detaillierten sportzahnmedizinischen Anamnesebogen. Darin wird auf die besonderen Bedürfnisse im Sport eingegangen und auch nach Beschwerden in Regionen außerhalb des Kopf-Hals-Bereiches gefragt.
Sollte Bruxismus diagnostiziert werden, empfiehlt die DGSZM die Anfertigung einer Nachtschiene für eine verbesserte Entlastung der Kiefergelenke und der Kaumuskulatur sowie einer Performanceschiene für die Nutzung im Wettkampfbetrieb. Außerdem kann in manchen Fällen eine zweite Performanceschiene für die regelmäßige Nutzung im Training sinnvoll sein. Die Nachtschiene erfüllt damit nicht nur die Aufgabe der Schonung der Zahnhartsubstanz, sondern führt durch ihre positive Wirkung auf Schlafdauer und -qualität zu einer verbesserten Regeneration des gesamten Körpers – mittelbar also auch zur Senkung des Verletzungsrisikos [Rosar et al., 2017].
In den letzten Jahren ist die Bedeutung der Mundgesundheit für den Hochleistungssport aus gutem Grund stärker in den Fokus gerückt. Die Zahnmedizin ist dabei, sich einen Platz in der sportmedizinischen Gesamtbetreuung zu erarbeiten, insbesondere im Leistungs- und Spitzensport. Bei vielen Athletinnen und Athleten und auch im erweiterten Betreuungs- und Trainingsteam herrscht jedoch noch viel Aufklärungsbedarf über den Einfluss zahnmedizinischer Zusammenhänge auf die Leistungsfähigkeit.
Literaturliste
Abe, S., Huynh, N. T., Romprß, P. H., de Grandmont, P., Landry-Schönbeck, A., Landry, M. L., Kato, T., Kawano, F., & Lavigne, G. J. (2023). Sleep Quality and Comfort Reported by Sleep Bruxism Individuals Wearing the Occlusal Splint and Mandibular Advancement Splint: Revisiting Two Crossover Studies. The International journal of prosthodontics, 36(2), 138–147. doi.org/10.11607/ijp.7525.
Bdier, D., & Mahamid, F. (2023). Energy drinks, substance use, and posttraumatic stress symptoms among Palestinian athletes: the mediating role of perceived self-efficacy and resilience. Journal of ethnicity in substance abuse, 1–17. Advance online publication. doi.org/10.1080/15332640.2023.2282570.
Behr, M., Hahnel, S., Faltermeier, A., Bürgers, R., Kolbeck, C., Handel, G., & Proff, P. (2012). The two main theories on dental bruxism. Annals of anatomy = Anatomischer Anzeiger : official organ of the Anatomische Gesellschaft, 194(2), 216–219. doi.org/10.1016/j.aanat.2011.09.002.
Benli, M., & Özcan, M. (2023). Short-term effect of material type and thickness of occlusal splints on maximum bite force and sleep quality in patients with sleep bruxism: a randomized controlled clinical trial. Clinical oral investigations, 27(8), 4313–4322. doi.org/10.1007/s00784-023-05049-4.
DGFDT-Erfassungsfragebogen www.dgfdt.de/verwaltung. Zugang am 04.03.2024.
Fasold, A. and B. Kordaß (2012). „Manuelle Strukturanalyse – Teil 1: Grundlagen und klinische Untersuchung.“ ZWR - Das Deutsche Zahnärzteblatt 121(01/02): 8-11.
Freiwald, H. C., Schwarzbach, N. P., & Wolowski, A. (2022). Impact of sports on temporomandibular dysfunction: a comparison of competitive and recreational female athletes as well as female non-athletes. Clinical oral investigations, 26(8), 5313–5323. doi.org/10.1007/s00784-022-04499-6.
Freiwald, H. C., Schwarzbach, N. P., & Wolowski, A. (2021). Effects of competitive sports on temporomandibular dysfunction: a literature review. Clinical oral investigations, 25(1), 55–65. doi.org/10.1007/s00784-020-03742-2.
Gay-Escoda, C., Vieira-Duarte-Pereira, D. M., Ardèvol, J., Pruna, R., Fernandez, J., & Valmaseda-Castellón, E. (2011). Study of the effect of oral health on physical condition of professional soccer players of the Football Club Barcelona. Medicina oral, patologia oral y cirugia bucal, 16(3), e436–e439. doi.org/10.4317/medoral.16.e436.
Klasser, G. D., Greene, C. S., & Lavigne, G. J. (2010). Oral appliances and the management of sleep bruxism in adults: a century of clinical applications and search for mechanisms. The International journal of prosthodontics, 23(5), 453–462.
Lavigne, G. J., Khoury, S., Abe, S., Yamaguchi, T., & Raphael, K. (2008). Bruxism physiology and pathology: an overview for clinicians. Journal of oral rehabilitation, 35(7), 476–494. doi.org/10.1111/j.1365-2842.2008.01881.x.
Lobbezoo, F., & Naeije, M. (2001). Bruxism is mainly regulated centrally, not peripherally. Journal of oral rehabilitation, 28(12), 1085–1091. doi.org/10.1046/j.1365-2842.2001.00839.x.
Pecie, R., Krejci, I., Garcia-Godoy, F., & Bortolotto, T. (2011). Noncarious cervical lesions--a clinical concept based on the literature review. Part 1: prevention. American journal of dentistry, 24(1), 49–56.
Plaster, U., & Köttgen, C. (2020). „Zahntechnische Analyse und Diagnostik mit dem PlaneSystem®“. Quintessenz Zahntechnik.
Rosar, J. V., Barbosa, T. S., Dias, I. O. V., Kobayashi, F. Y., Costa, Y. M., Gavião, M. B. D., Bonjardim, L. R., & Castelo, P. M. (2017). Effect of interocclusal appliance on bite force, sleep quality, salivary cortisol levels and signs and symptoms of temporomandibular dysfunction in adults with sleep bruxism. Archives of oral biology, 82, 62–70. doi.org/10.1016/j.archoralbio.2017.05.018.
Sato, C., Sato, S., Takashina, H., Ishii, H., Onozuka, M., & Sasaguri, K. (2010). Bruxism affects stress responses in stressed rats. Clinical oral investigations, 14(2), 153–160. doi.org/10.1007/s00784-009-0280-6.
Starr, C. L., & McGrew, C. (2023). TMJ Disorders in Athletes. Current sports medicine reports, 22(1), 10–14. doi.org/10.1249/JSR.0000000000001026.






















