Ameloblastom – Kontinuitätsresektion des Unterkiefers mit simultaner Rekonstruktion
Ein seinerzeit 48-jähriger Patient hatte sich 2018 im zahnärztlichen Notdienst mit anamnestisch seit circa einer Woche bestehenden Schmerzen im rechten posterioren Unterkiefer vorgestellt. Klinisch war das Gebiss sanierungsbedürftig; Zahn 47 zweitgradig gelockert, aber vital; sonst war keine Läsion vorhanden. Daher erfolgte eine radiologische Bildgebung via Panoramaschichtaufnahme, in der sich ein ausgedehnter zystischer Befund im rechten aufsteigenden Unterkieferast zeigte. Außerdem erwiesen sich die Zähne 46 und 47 als nicht erhaltungswürdig, bei weiteren Zähnen in allen Quadranten erschien dies röntgenologisch fragwürdig. Im Rahmen der erweiterten Bildgebung via Digitaler Volumentomografie (DVT) bestätigte sich der zystische Befund, der sich von regio 45 bis in den aufsteigenden Unterkieferast erstreckte.
Während eines dreitägigen stationären Aufenthalts fanden die Zahnsanierung und die Zystektomie des eingekapselten Befunds – im Sinne einer erweiterten Probeentnahme –statt, der sich problemlos vom Knochen mobilisieren ließ. Die Zystenwände wurden unter Schonung des Nervus alveolaris inferior ausgefräst.
Die histologische Aufbereitung des Präparats ergab ein konventionelles Ameloblastom. Daher wurden die weiteren therapeutischen Optionen (vor allem knöcherne Resektion mit Sicherheitsabstand) mit dem Patienten besprochen, der sich für regelmäßige Kontrolluntersuchungen entschied, die im Anschluss in initial sechs- und später zwölfmonatigen Abständen stattfanden.
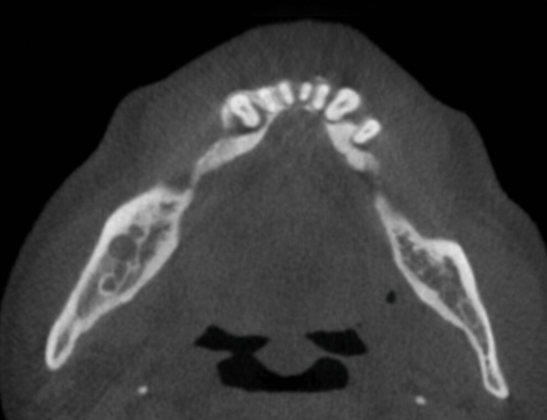
Während sich in den folgenden Jahren vor allem eine rückläufige Läsion mit Verknöcherung des ehemaligen Zystenlumens zeigte, stellte sich der Patient 2024 mit einer plötzlich progredienten Hypästhesie des rechten Nervus alveolaris inferior vor. Bei Verdacht auf Vorliegen eines Rezidivs des bekannten Ameloblastoms erfolgte eine Panoramaschichtaufnahme (Abbildung 1), die den Verdacht erhärtete. Im anschließend folgenden DVT zeigten sich multiple, kreisförmig-zystische Aufhellungen die sich vom Kieferwinkel bis regio 45 erstreckten (Abbildung 2).
Nach erneuter Beratung des Patienten fiel die therapeutische Entscheidung aufgrund der klinisch und radiologisch evidenten Nervinfiltration auf eine Kontinuitätsresektion des Befunds unter Beibehaltung eines Sicherheitsabstands und auf eine simultane Rekonstruktion mit einem mikrovaskulär anastomosierten Fibulatransplantat.
Eine Infiltration der umgebenden Weichgewebe durch den Tumor konnte klinisch und radiologisch ausgeschlossen werden. Die Planung erfolgte nach Darstellung einer Dreigefäßversorgung des rechten Beines (Abbildung 3) über eine kommerzielle Plattform (KLS Martin, Tuttlingen; Abbildung 4).
In Intubationsnarkose wurde die Kontinuitätsresektion von extraoral mittels CAD/CAM-gefertigten Schnittschablonen durchgeführt (Abbildung 5). Das entnommene Fibulatransplantat (Abbildung 6) wurde osteotomiert und mittels individuellen Osteosyntheseplatten zur Überbrückung des Defekts fixiert (Abbildung 7). Die notwendigen Gefäßanastomosen erfolgten End-zu-End an der Arteria thyroidea superior und End-zu-Seit an der Vena jugularis interna.
Der weitere stationäre Verlauf gestaltete sich komplikationslos (Abbildung 8), so dass der Patient am achten postoperativen Tag in die ambulante Nachsorge entlassen werden konnte. Die histologische Aufbereitung des entnommenen Präparats bestätigte, dass ein konventionelles Ameloblastom vom plexiformen Typ vorlag, das mit einem Sicherheitsabstand von mindestens 15 mm entfernt wurde.
Diskussion
Ameloblastome zählen zu den häufigsten gutartigen Tumoren im Bereich des Kiefers. Sie entwickeln sich aus epithelialen Zellelementen und verschiedenen Stadien der Zahngewebsentwicklung. Die Entstehung dieser Tumore steht in Zusammenhang mit der deregulierten Aktivität spezifischer Signalwege wie SHH, WNT/β-Catenin und MAPK. Insbesondere die BRAF-V600E-Mutation wurde mit aggressiveren Formen in Verbindung gebracht [Speight und Takata, 2017].
Die vierte Ausgabe der WHO-Klassifikation teilt Ameloblastome in unizystische, konventionelle, extraossäre/periphere und metastasierende Ameloblastome ein [Vered, 2017; Wright und Soluk Tekkesin, 2017]. In dieser aktualisierten Unterteilung wird bewusst auf die Verwendung der Begriffe „solide/multizystisch“ für das typische Muster eines konventionellen Ameloblastoms verzichtet, um Verwechslungen mit dem unizystischen Typ zu vermeiden [Schneider und Kämmerer, 2019]. Das unizystische Ameloblastom besteht, wie der Name schon sagt, aus einer großen einzelnen Zyste, während beim konventionellen Ameloblastom follikuläre und plexiforme Typen die häufigsten Formen sind. Darüber hinaus gibt es akanthomatöse, granuläre, desmoplastische und basale Zelltypen, die jedoch das biologische Verhalten der Neoplasie nicht beeinflussen.
Das periphere Ameloblastom präsentiert sich typischerweise als nicht schmerzhafter, exophytisch wachsender Tumor mit fester Konsistenz, glatter bis papillärer Oberfläche und einer rosa bis dunkelroten Färbung [Krüger et al., 2011). In sehr seltenen Fällen kann sich ein Ameloblastom zu einem malignen Tumor mit Metastasierungsfähigkeit entwickeln. Diese Transformation wird jedoch in weniger als zwei Prozent der Fälle beobachtet, wobei Metastasen hauptsächlich in der Lunge auftreten [Yang et al., 2021].
In China und in Afrika tritt das Ameloblastom am häufigsten als gutartiger odontogener Tumor auf, während es in den USA, in Kanada und in Deutschland nach dem Odontom der zweithäufigste derartige Tumor ist [Mosadomi, 1975; Regezi et al., 1978; Daley et al., 1994; Lu et al., 1998]. Die weltweite Inzidenz wird auf etwa 0,5 Fälle pro Million Personenjahre geschätzt, wobei vor allem Patienten im Alter von 30 bis 60 Jahren betroffen sind [Larsson und Almeren, 1978].
Die Symptome variieren und können unter anderem schmerzlose Kieferauftreibungen mit oder ohne Gesichtsdeformität, Malokklusionen, Weichteilinvasionen sowie Lockerungen der Zähne oder Wurzelresorptionen umfassen [Wright und Soluk Tekkesin, 2017; Kämmerer et al., 2022]. Normalerweise werden Parästhesien in diesem Zusammenhang nicht wahrgenommen, können jedoch in vereinzelten Fällen auf eine perineurale Invasion hinweisen [McClary et al., 2016]. Ameloblastome zeigen eine deutliche Präferenz für die posteriore Unterkieferregion: Sie treten in bis zu 80 Prozent der Fälle dort auf [Reichart et al., 1995]. In der Regel zeigt sich in radiologischen Untersuchungen eine multilokuläre Radioluzenz der kortikalen Struktur, während gelegentlich ein unilokuläres Erscheinungsbild zu beobachten ist [Buchner et al., 2006].
Obwohl Ameloblastome gutartig sind, können sie lokal aggressiv sein und zu Destruktionen im Kiefer führen. Ohne angemessene Behandlung besteht ein hohes Risiko für ein Wiederauftreten. Studien haben gezeigt, dass die Rezidivraten je nach Behandlungsmethode variieren. Für unizystische Ameloblastome liegen die Rezidivraten bei 3,6 Prozent nach Resektion, bei 30,5 Prozent nach Enukleation, bei 16 Prozent nach Enukleation mit Carnoys Lösung und bei 18 Prozent nach Marsupialisation [Lau und Saman, 2006]. Andere Autoren kamen zu dem Ergebnis, dass die Rezidivrate für konventionelle Ameloblastome bei radikaler Behandlung acht Prozent und bei konservativer Behandlung 41 Prozent beträgt, während für unizystische Ameloblastome die Rezidivraten zwischen zwei und 31 Prozent liegen.
Die gängige Behandlungsmethode für Ameloblastome besteht aus einer radikalen Operation, bei der mit einem Sicherheitsabstand von 0,5 bis 2 cm um den Tumor herum entfernt wird [Carlson und Marx, 2006; Sham Leong et al., 2009; Hertog und van der Waal, 2010; Becelli et al., 2011]. Anschließend erfolgt die Rekonstruktion des Kiefers und der betroffenen Weichgewebe. Eine primäre Knochenrekonstruktion ist besonders wichtig bei großen Tumoren mit ausgeprägten Defekten und wird häufig mittels avaskulärer oder mikrovaskulär anastomosierter Knochentransplantate durchgeführt.
Fazit für die Praxis
Eine präzise Unterscheidung zwischen odontogenen Zysten und Ameloblastomen ist essenziell, insbesondere bei unizystischem Auftreten, um eine angemessene Behandlung zu gewährleisten.
Bei unklaren Befunden sollte eine Probebiopsie erwogen werden, da die Therapieentscheidungen stark von der Diagnose abhängen.
Die Entscheidung zwischen „konservativer“ Enukleation/Kürettage und chirurgischer Resektion mit Sicherheitsabstand bei Ameloblastomen erfordert eine individuelle Abwägung unter Berücksichtigung der Rezidivraten und des Risikoprofils des Patienten.
Eine langfristige Nachsorge mit regelmäßigen Kontrolluntersuchungen ist unerlässlich, da Ameloblastome ein beträchtliches Rezidivrisiko aufweisen, das auch Jahre nach der ersten Behandlung noch besteht.
Die Zusammenarbeit zwischen Zahnärzten, Kieferchirurgen und Pathologen ist entscheidend für eine erfolgreiche Diagnose, Behandlung und langfristige Betreuung.
Unabhängig von der gewählten Behandlungsmethode ist eine langfristige Nachsorge mit strikter Einhaltung des Kontrolluntersuchungsprotokolls erforderlich. Die berichteten 5-, 10- und 15-Jahres-Rezidivraten für Ameloblastome liegen im Allgemeinen bei 9,3 Prozent, 17,6 Prozent beziehungsweise 24,4 Prozent [Sasaki et al., 2014; Au et al., 2019]. Ein Wiederauftreten kann also selbst zehn Jahre oder noch später nach der ersten Operation auftreten, weshalb in jedem Fall langfristige Nachsorgeintervalle erforderlich sind [Wright und Soluk Tekkesin, 2017].
Literaturliste
Au SW, KY Li, WS Choi und YX Su: Risk factors for recurrence of ameloblastoma: a long-term follow-up retrospective study. International Journal of Oral and Maxillofacial Surgery 48:1300–1306, 2019.
Becelli R, R Morello, G Renzi, G Matarazzo und C Dominici: Treatment of recurrent mandibular ameloblastoma with segmental resection and revascularized fibula free flap. J Craniofac Surg 22:1163-1165, 2011.
Buchner A, PW Merrell und WM Carpenter: Relative frequency of central odontogenic tumors: a study of 1,088 cases from Northern California and comparison to studies from other parts of the world. J Oral Maxillofac Surg 64:1343-1352, 2006.
Carlson ER und RE Marx: The ameloblastoma: primary, curative surgical management. J Oral Maxillofac Surg 64:484-494, 2006.
Daley TD, GP Wysocki und GA Pringle: Relative incidence of odontogenic tumors and oral and jaw cysts in a Canadian population. Oral Surg Oral Med Oral Pathol 77:276-280, 1994.
Hertog D und I van der Waal: Ameloblastoma of the jaws: a critical reappraisal based on a 40-years single institution experience. Oral Oncol 46:61-64, 2010.
Kämmerer PW, B Beger und DGE Thiem: Der besondere Fall mit CME: Unizystisch-murales, plexiformes Ameloblastom im Oberkiefer. Zahnärztliche Mitteilungen 112:16-19, 2022.
Krüger M, P Kämmerer und C Walter: Differentialdiagnose von Schwellungen des Alveolarkamms: Extraossäres Ameloblastom. Zahnärztliche Mitteilungen 101:48-49, 2011.
Larsson A und H Almeren: Ameloblastoma of the jaws. An analysis of a consecutive series of all cases reported to the Swedish Cancer Registry during 1958--1971. Acta Pathol Microbiol Scand A 86A:337-349, 1978.
Lau SL und N Saman: Recurrence related to treatment modalities of unicystic ameloblastoma: a systematic review. International Journal of Oral and Maxillofacial Surgery 35:681–690, 2006.
Lu Y, M Xuan, T Takata, C Wang, Z He, Z Zhou, D Mock and H Nikai: Odontogenic tumors. A demographic study of 759 cases in a Chinese population. Oral Surg Oral Med Oral Pathol Oral Radiol Endod 86:707-714, 1998.
McClary AC, RB West, AC McClary, JR Pollack, NJ Fischbein, CF Holsinger, J Sunwoo, AD Colevas und D Sirjani: Ameloblastoma: a clinical review and trends in management. Eur Arch Otorhinolaryngol 273:1649-1661, 2016.
Mosadomi A: Odontogenic tumors in an African population. Analysis of twenty-nine cases seen over a 5-year period. Oral Surg Oral Med Oral Pathol 40:502-521, 1975.
Regezi JA, DA Kerr and RM Courtney: Odontogenic tumors: analysis of 706 cases. J Oral Surg 36:771-778, 1978.
Reichart PA, HP Philipsen and S Sonner: Ameloblastoma: biological profile of 3677 cases. Eur J Cancer B Oral Oncol 31B:86-99, 1995.
Sasaki R, Y Watanabe, T Ando and T Akizuki: Two stage enucleation and deflation of a large unicystic ameloblastoma with mural invasion in mandible. Craniomaxillofacial Trauma and Reconstruction 7:139–142, 2014.
Schneider D und PW Kämmerer: Ameloblastom – Einordnung gemäß der aktuellen WHO-Klassifikation. wissen kompakt 13:83-89, 2019.
Sham E, J Leong, R Maher, M Schenberg, M Leung and AK Mansour: Mandibular ameloblastoma: clinical experience and literature review. ANZ J Surg 79:739-744, 2009.
Speight P und T Takata: New tumour entities in the 4th edition of the World Health Organization Classification of Head and Neck tumours: Odontogenic and maxillofacial bone tumours. Virchows Arch 472:331–339, 2017.
Vered MM, S.; Heikinheimo, K.: Ameloblastoma. In: El-Naggar AK, Chan JKC, Grandis JR, Takata T, Slootweg PJ (Hrsg) WHO classification of head and neck tumours. IARC Press, Lyon 215-218, 2017.
Wright JM und M Soluk Tekkesin: Odontogenic tumors: where are we in 2017 ? J Istanb Univ Fac Dent 51:S10-S30, 2017.
Yang X, K Zhou, Y Tao, S Ge, W Shang and K Song: Treatment efficacy and prognosis of pulmonary metastasizing ameloblastoma: a systematic review. Int J Oral Maxillofac Surg 2021.














