Kaposi-Sarkom als Erstmanifestation einer HIV-Infektion in der Mundhöhle
Ein 58-jähriger Patient in reduziertem Ernährungszustand stellte sich nach Überweisung durch seinen Hauszahnarzt in der Hochschulambulanz der Mund-, Kiefer- und Gesichtschirurgischen Klinik des Uniklinikums Erlangen vor.
Anamnestisch bestanden zu diesem Zeitpunkt keine Vorerkrankungen, weder nahm er dauerhaft Medikamente ein noch bestand ein Risiko hinsichtlich eines Nikotin- oder Alkoholabusus. Ebenso wenig waren bei der Erstvorstellung Allergien oder Unverträglichkeiten bekannt. Der Mann berichtete jedoch über eine seit mehreren Wochen bestehende Schwellung am Gaumen. Außerdem habe er einen immer stärker werdenden Hustenreiz. Während der eingehenden Anamneseerhebung erzählte er von seit mehreren Monaten auftretenden Ausschlägen an Armen und Händen, die sich bis dato therapieresistent zeigten. Eine Immundefizienz oder Immunsuppression verneinte der Patient.
Eine Computertomografie des Halses mit Kontrastmittelgabe war bereits durch einen externen Mund-, Kiefer- und Gesichtschirurgen erfolgt. Eine in diesem Zusammenhang vorgenommene Probeexzision am Gaumen ergab aber histopathologisch kein zielführendes Resultat, woraufhin der Kollege den Patienten in unser universitäres Zentrum mit Bitte um weiterführende Abklärung und gegebenenfalls Re-Probeexzision überwies.
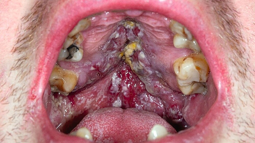
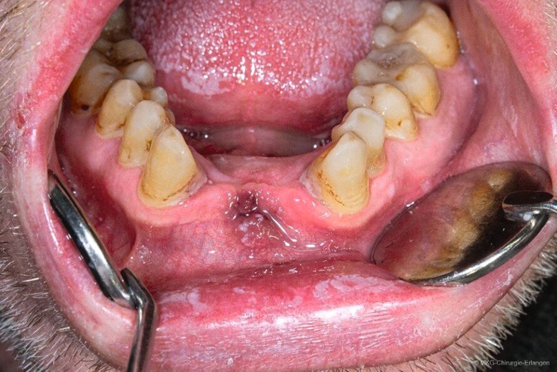
In der klinischen Untersuchung zeigten sich im Bereich des harten und des weichen Gaumens bläulich-livide Verdickungen der Schleimhaut mit einem flächigen Soorbefall, die auf Palpation schmerzhaft waren. Der Übergang in den Rachen war stark gerötet, die restliche Mundschleimhaut von Soor bedeckt. An der linken Unterlippe konnte man einen circa 0,5 cm x 0,5 cm großen bläulichen Knoten erkennen. Die Speicheldrüsenausgänge waren vergrößert und gerötet. Der Patient zeigte eine mäßige Mundhygiene bei einem konservierend versorgten teilbezahnten Gebiss.

In der angefertigten Panoramaschichtaufnahme ergab sich hinsichtlich der Schwellung am Gaumen kein morphologisches Korrelat und kein dentogener Fokus. Durch das klinische Erscheinungsbild der extra- und der intraoralen Befunde wurden nach detaillierter Aufklärung des Patienten ein ausführliches Blutbild erstellt und eine virologische Diagnostik durchgeführt. In der Zusammenschau ergaben sich folgende Befunde:
Blutbild und virologischer Befund:
Pilz-Serologie:
Beta-D-Glukan 438+ pg/ml - <60, Der serologische Befund ist vereinbar mit einer invasiven Mykose (zum Beispiel Candidose, Aspergillose) beziehungsweise einer Pneumocystis-jirovecii-Pneumonie.
Beurteilung HHV-8:
Seropositiv für HHV-8. Der Nachweis von HHV-8-Antikörpern weist auf ein erhöhtes Risiko für die Entstehung eines Kaposi-Sarkoms hin, wenn eine HIV-Infektion oder eine andere Immunsuppression vorliegt.
Beurteilung HIV:
HIV-Bestätigungstest HIV-1-Antikörper positiv, bestätigter Nachweis von HIV-1-Antikörpern im Serum. Es ist daher davon auszugehen, dass eine HIV-1-Infektion vorliegt. HIV-1-RNA 190'000 Validiert Kopien/ml, hohe Viruslast (Referenz 100.000 – 1. Mio. Kopien pro ml). Das Virus weist im untersuchten Sequenzbereich die höchste Übereinstimmung zu dem vor allem im südlichen Afrika verbreiteten Subtyp C auf.
CD4/CD8-Zellzahl:
Histopathologischer Befund des Pathologischen Instituts am Uniklinikum Erlangen:
Fragmentierte, ausgeprägt nekrotische plattenepitheliale Schleimhaut mit aktinomyzetaler Besiedelung, keine atypischen Zellinfiltrate, kein Anhalt für Malignität
Diskussion
Aufgrund der weit verbreiteten Möglichkeiten der antiretroviralen Therapie (ART) zeigen sich insbesondere in Europa weniger „human immunodeficiency virus“(HIV)-assoziierte Veränderungen in der Mundhöhle – speziell des Kaposi-Sarkoms (KS) [Klingenberg et al., 2018].
Das Kaposi-Sarkom ist im Vollbild gekennzeichnet durch eine multifokal auftretende proliferierende Neoplasie aus lymphatischen Zellen. Es ist das häufigste „acquired immune deficiency syndrome“(AIDS)-assoziierte Malignom [Klingenberg et al., 2018] und wurde erstmalig 1872 durch Moritz Kaposi beschrieben. Klinisch stellt es sich als gut durchblutete, rötlich livide Plaques und Noduli insbesondere im Kopf-Hals-Bereich der äußeren Haut und auch der oralen Mukosa dar [Rasmussen et al., 2015; Bruno et al., 2017; Younas et al., 2016].
Oral ist besonders die Schleimhaut des harten Gaumens betroffen. Weniger häufig sind die Gingiva und die Zunge befallen und eine Beteiligung der Tonsillen geht mit einer blaurot gefärbten Größenzunahme einher, die unbehandelt bis zur Verlegung der Schluck- und Atemwege führen kann [Chapalain et al., 2018; Sanchez-Lopez et al., 2017; Yang et al., 2017]. Des Weiteren kann eine Ausbreitung in die Lunge, in den Gastrointestinaltrakt oder in Lymphknoten erfolgen (5 bis 20 Prozent) [Weintraub et al., 2005; Zurrida et al, 1992; Caby et al., 2021].
Zwischen vier Typen wird beim KS unterschieden: AIDS-assoziiert, klassisch, iatrogen oder Transplantat-assoziiert beziehungsweise endemisch, wobei bei allen Formen das Kaposi-Sarkom im Zusammenhang mit einer Humanen-Herpes-Virus(HHV-8)-Infektion steht [Caby et al., 2021]. Die HHV-8-Seropositivität schwankt zwischen mehr als 40 Prozent in Subsahara-Afrika, 10 bis 30 Prozent in mediterranen Ländern und unter 5 Prozent in Nordeuropa [Cesarman et al., 2019; Chatlynne et al., 1999; Dedicoat et al., 2003]. Aktuelle Zahlen zur Inzidenz und zur Prävalenz von KS liegen für Deutschland nicht vor. Bei steigendem und breitem Einsatz der antiretroviralen Therapie sollten HIV-assoziierte KS eher in abnehmender Häufigkeit diagnostiziert werden.
Die Diagnose des KS erfolgt neben der Anamnese, klinisch und anhand eines Blutbildes insbesondere über die CD4-Zellzahl und die HIV-Viruslast [Caby et al., 2021]. Es besteht jedoch eine Signifikanz zur Entwicklung eines KS bei hoher HIV-Viruslast beziehungsweise einer abnehmendenCD4+Zellzahl und dem CD4+/CD8+Verhältnis [Sousa et al., 2021]. Gemäß der AIDS Clinical Trials Group (ACTG) erfolgt die Einteilung des KS anhand folgender Kriterien: T = Tumor-Ausdehnung, I = Immunologischer Status gemäß CD4-Zahl und S = Präsenz von systemischer Ausbreitung mit oder ohne Risiko. Zusätzlich sind eine vollständige Inspektion einschließlich der einsehbaren Schleimhäute sowie die Palpation der Lymphknoten und des Abdomens mit Erfassung sämtlicher Läsionen und Symptome zur Erstuntersuchung bei allen KS-Typen indiziert.
Weitere Untersuchungen sollten individuell auf Basis der Symptome und des Befalls erfolgen, wie zum Beispiel bei Verdacht auf viszeralen KS-Befall eine Ganzkörper-Computer-Tomografie (CT: Thorax, Abdomen/Becken). Menschen mit einer HIV-Infektion haben trotz erfolgreicher ART selbst bei CD4-Zellzahlen > 500/µl ein 30- bis 80-mal höheres Risiko ein KS auszubilden als die Allgemeinbevölkerung [Hleyhel et al., 2013; Palich et al., 2020; Yanik et al., 2017].
Fazit für die Praxis
Patienten mit Kaposi-Sarkom haben zum Zeitpunkt der Vorstellung nicht zwingend bereits eine HIV-Diagnose.
Die Prognose des HIV-assoziierten Kaposi-Sarkoms ist gut.
Die Einleitung der antiretroviralen Therapie (ART) über die entsprechende Fachdisziplin ist die wichtigste Therapie des HIV-assoziierten Kaposi-Sarkoms.
Unklare, therapieresistente Mundschleimhautveränderungen ohne pathologische Diagnose und mit entsprechender Darstellung müssen interdisziplinär begutachtet und therapiert werden.
Symptomorientiert soll bei Soorbefall eine lokale antimykotische Therapie durch den Zahnarzt oder die Zahnärztin erfolgen.
Die First-Line-Therapie des KS und damit gegebenenfalls der erstmalig festgestellten HIV-Infektion ist die ART, die seit 1996 zur Verfügung steht. Der optimale Zeitpunkt liegt bei einer CD4-Zellzahl < 350/µl beziehungsweise aktuell unabhängig von der Zellzahl bei Diagnosestellung empfohlen [Group et al., 2015]. Ziel der Behandlung des KS soll die Rückbildung der Läsionen und die Reduktion der Symptome bei gleichzeitiger Erhaltung der Lebensqualität sein.
Weitere Therapiemöglichkeiten des KS sind gegebenenfalls lokaltherapeutische Maßnahmen, aber auch Chemotherapien bei raschem Progress beziehungsweise Persistenz trotz ART bei viszeralem und mukokutanem Befall können indiziert sein [Klingenberg et al., 2018; Bower et al., 2014]. Die Indikation zur lokalen KS-Behandlung gilt vor allem für einzelne kutane Läsionen, bei Patienten, denen eine systemische Therapie wegen Neben-und/oder Wechselwirkungen nicht zugemutet werden kann. Dafür stehen Therapien wie Lokalexzision, Kryotherapie, Radiotherapie oder intraläsionale Injektionen von Chemotherapeutika zur Verfügung [Klingenberg et al., 2018].
Allerdings ist die Datenlage aktuell spärlich, da aufgrund der ART das Auftreten von KS eher eine Seltenheit darstellt. Die Prognose des HIV-assoziierten KS ist gut, sie führt nur in Ausnahmefällen zum Tod [Klingenberg et al., 2018]. Die Patienten sollten einer engmaschigen Kontrolle zugeführt werden, bei der das Monitoring auf die Neubildung weiterer Malignome, wie Non-Hodgkin Lymphomen, gelenkt werden sollte [Martin-Carbonero et al., 2008; Bendle et al., 2014].
Literaturliste
Bendle M, Pealing J, Papanastasopoulos P, Bower M. Liposomal anthracycline chemotherapy and the risk of second malignancies in patients with Kaposi's sarcoma (KS). Cancer Chemother Pharmacol. 2014;74(3):611-5.
Bower M, Dalla Pria A, Coyle C, Andrews E, Tittle V, Dhoot S, et al. Prospective stage-stratified approach to AIDS-related Kaposi's sarcoma. J Clin Oncol. 2014;32(5):409-14.
Bruno G, Saracino A, Monno L, Angarano G. The Revival of an „Old“ Marker: CD4/CD8 Ratio. AIDS Rev. 2017;19(2):81-8.
Caby F, Guiguet M, Weiss L, Winston A, Miro JM, Konopnicki D, et al. CD4/CD8 Ratio and the Risk of Kaposi Sarcoma or Non-Hodgkin Lymphoma in the Context of Efficiently Treated Human Immunodeficiency Virus (HIV) Infection: A Collaborative Analysis of 20 European Cohort Studies. Clin Infect Dis. 2021;73(1):50-9.
Cesarman E, Damania B, Krown SE, Martin J, Bower M, Whitby D. Kaposi sarcoma. Nat Rev Dis Primers. 2019;5(1):9.
Chapalain M, Goldman-Levy G, Kramkimel N, Carlotti A, Franck N, Lheure C, et al. Anaplastic Kaposi's sarcoma: 5 cases of a rare and aggressive type of Kaposi's sarcoma. Ann Dermatol Venereol. 2018;145(1):21-8.
Chatlynne LG, Ablashi DV. Seroepidemiology of Kaposi's sarcoma-associated herpesvirus (KSHV). Semin Cancer Biol. 1999;9(3):175-85.
Dedicoat M, Newton R. Review of the distribution of Kaposi's sarcoma-associated herpesvirus (KSHV) in Africa in relation to the incidence of Kaposi's sarcoma. Br J Cancer. 2003;88(1):1-3.
Group ISS, Lundgren JD, Babiker AG, Gordin F, Emery S, Grund B, et al. Initiation of Antiretroviral Therapy in Early Asymptomatic HIV Infection. N Engl J Med. 2015;373(9):795-807.
Hleyhel M, Belot A, Bouvier AM, Tattevin P, Pacanowski J, Genet P, et al. Risk of AIDS-defining cancers among HIV-1-infected patients in France between 1992 and 2009: results from the FHDH-ANRS CO4 cohort. Clin Infect Dis. 2013;57(11):1638-47.
Klingenberg RE, Esser S, Brockmeyer NH, Michalik C, Skaletz-Rorowski A, Potthoff A, et al. Profil der Kaposi-Sarkom-Patienten im Kompetenznetz HIV/AIDS. Der Hautarzt. 2018;69(2):143-8
Martin-Carbonero L, Palacios R, Valencia E, Saballs P, Sirera G, Santos I, et al. Long-term prognosis of HIV-infected patients with Kaposi sarcoma treated with pegylated liposomal doxorubicin. Clin Infect Dis. 2008;47(3):410-7.
Palich R, Veyri M, Valantin MA, Marcelin AG, Guihot A, Pourcher V, et al. Recurrence and Occurrence of Kaposi's Sarcoma in Patients Living With Human Immunodeficiency Virus (HIV) and on Antiretroviral Therapy, Despite Suppressed HIV Viremia. Clin Infect Dis. 2020;70(11):2435-8.
Rasmussen LD, May MT, Kronborg G, Larsen CS, Pedersen C, Gerstoft J, et al. Time trends for risk of severe age-related diseases in individuals with and without HIV infection in Denmark: a nationwide population-based cohort study. Lancet HIV. 2015;2(7):e288-98.
Sanchez-Lopez J, Perez-Parra S, Porrino-Bustamante ML, Aneiros-Fernandez J, Naranjo-Sintes R, Fernandez-Pugnaire MA. Atypical Kaposi's sarcoma in young inmunocompetent patient. An Bras Dermatol. 2017;92(5 Suppl 1):24-6.
Sousa RH, Souza LL, Guedes PT, Prado-Ribeiro AC, Rodrigues-Oliveira L, Brandao TB, et al. Oral Kaposi sarcoma development is associated with HIV viral load, CD4+ count and CD4+/CD8+ ratio. Med Oral Patol Oral Cir Bucal. 2021;26(6):e748-e53.
Weintraub CM, Skudowitz RB. Excision of 1,674 classic Kaposi's sarcomas. S Afr J Surg. 2002;40(2):80.
Yang J, Yin XF, Li YP, Zhou SY. Case report of ocular Kaposi's sarcoma. BMC Ophthalmol. 2017;17(1):143.
Yanik EL, Achenbach CJ, Gopal S, Coghill AE, Cole SR, Eron JJ, et al. Changes in Clinical Context for Kaposi's Sarcoma and Non-Hodgkin Lymphoma Among People With HIV Infection in the United States. J Clin Oncol. 2016;34(27):3276-83.
Younas M, Psomas C, Reynes J, Corbeau P. Immune activation in the course of HIV-1 infection: Causes, phenotypes and persistence under therapy. HIV Med. 2016;17(2):89-105.
Zurrida S, Bartoli C, Nole F, Agresti R, Del Prato I, Colleoni M, et al. Classic Kaposi's sarcoma: a review of 90 cases. J Dermatol. 1992;19(9):548-52.













