Teil 1: Indikationen für Kompositrestaurationen
Im Mai 2024 wurde erstmals von einem Team nationaler Experten eine umfangreiche S3-Leitlinie zur Anwendung von Kompositmaterialien in der direkten Restauration bleibender Zähne auf der Website der Arbeitsgemeinschaft der Wissenschaftlichen Medizinischen Fachgesellschaften e. V. (AWMF) veröffentlicht. Im September folgte die internationale Publikation im Journal of Adhesive Dentistry.
Die Leitlinie, die in Zusammenarbeit mit 20 nationalen zahnmedizinischen Fachgesellschaften erstellt wurde, stellt den ersten umfassenden Leitfaden dar, der die Indikationen und Grenzen von direkten Kompositrestaurationen zusammenfasst. Zahlreiche klinische Studien und systematische Übersichten bildeten die Grundlage für die 20 evidenzbasierten und konsensbasierten Empfehlungen.
Diese Empfehlungen decken die gängigen Restaurationen der Kavitätenklassen I bis V ab und beinhalten auch komplexere Anwendungen wie Höckerersatz und Zahnformkorrekturen. Neben der wissenschaftlichen Evidenz wurden auch praktische Gesichtspunkte wie Patientenfaktoren und die Invasivität der Behandlung berücksichtigt. Zahnärzte weltweit erhalten damit eine wertvolle Orientierungshilfe für ihre tägliche Praxis. Teil 1 dieses Artikels fasst die wichtigsten Erkenntnisse zu den Indikationen für Kompositrestaurationen zusammen.
Hintergrund
Die Entwicklung zahnfarbener Kompositmaterialien war ein bedeutender Fortschritt in der Zahnmedizin. Komposite erleichtern die minimalinvasive Behandlung von Zahndefekten und Karies, da sie nicht nur ästhetisch ansprechend sind, sondern auch eine starke Adhäsion an der Zahnhartsubstanz ermöglichen. 2021 wurden in Deutschland 47,1 Millionen direkte Restaurationen durchgeführt, überwiegend mit Kompositmaterialien [KZBV, 2022]. Die direkte Füllungstherapie mit Komposit stellt somit einen wesentlichen Teil des zahnärztlichen Versorgungsspektrums dar, zu dessen Indikation, Durchführung und Prognose jetzt die aktuell umfassendste Leitlinie verfügbar gemacht wurde.
Mit dem klinisch nachweisbaren Erfolg von direkten Kompositrestaurationen in den Standardkavitätenklassen I bis V hat sich die Indikation in den vergangenen 20 Jahren deutlich erweitert [Staehle et al., 2015]. Heute werden Kompositmaterialien auch bei großen Kavitäten eingesetzt, zum Beispiel bei Höckerersatz, sowie für ästhetisch-funktionelle Korrekturen, zum Beispiel bei Zahnstellung oder Zahnform. Aufgrund dieser erweiterten Einsatzmöglichkeiten war es unerlässlich, die Leitlinie auch in diese Richtung zu entwickeln, um klare Empfehlungen zu Indikationen und Grenzen geben zu können.
Methoden
Diese Leitlinie wurde unter der Schirmherrschaft der Deutschen Gesellschaft für Zahnerhaltung (DGZ) und der Deutschen Gesellschaft für Zahn-, Mund- und Kieferheilkunde (DGZMK) entwickelt, basierend auf den methodischen Standards der AWMF und der GRADE Working Group. Um eine umfassende Vertretung der relevanten Interessengruppen zu gewährleisten, beteiligten sich Experten aus 20 nationalen zahnmedizinischen Gesellschaften.
Die zentralen therapeutischen Fragestellungen wurden in PICO-Form (Population, Intervention, Comparator, Outcome) definiert und evidenzbasiert beantwortet. Die Zielpopulation umfasste Patienten mit Zahnhartsubstanzverlust an bleibenden Zähnen, während Patienten mit endodontisch vorbehandelten Zähnen oder strukturellen Anomalien aus methodischen Überlegungen ausgeschlossen wurden. Bei der Auswahl der Fragestellungen legte das Leitliniengremium Wert auf klinische Relevanz und Durchführbarkeit. Die Datenbanken MEDLINE und Cochrane Library wurden bis Dezember 2021 durchsucht, Studien ab 1990 mit mindestens zwölf Monaten Nachbeobachtungszeit und 15 Restaurationen einbezogen. Die Qualität der Studien wurde anhand etablierter Bewertungsinstrumente überprüft. Details sind im Evidenzbericht auf der AWMF-Website verfügbar (https://register.awmf.org/de/leitlinien/detail/083-028).
Die systematische Literaturrecherche wurde dem Leitliniengremium im Februar 2022, der Evidenzbericht im Januar 2023 zur Verfügung gestellt. Anschließend wurden die Empfehlungen nach den AWMF-Vorgaben in vier Unterarbeitsgruppen erarbeitet, diskutiert und verabschiedet. Bis September 2023 wurden die Empfehlungen im Leitliniendokument zusammengeführt und am 7. November 2023 auf einer Konsensuskonferenz in Heidelberg (Abbildung 1), moderiert von der AWMF, abgestimmt und verabschiedet.
Empfehlungen
Alle Empfehlungen wurden in starkem Konsens angenommen. Insgesamt resultierten aus Teil 1 dieser Leitlinie neun evidenzbasierte und vier konsensbasierte Empfehlungen.

Direkte Kompositrestaurationen
... in den Restaurationsklassen I und II
Die bewerteten Reviews zeigten eine höhere Wahrscheinlichkeit von Restaurationsverlusten und Sekundärkaries bei Kompositrestaurationen als bei Amalgamrestaurationen, wie die Effektschätzungen für die Überlebensraten belegen. Hinsichtlich Frakturen gab es keinen signifikanten Unterschied zwischen Komposit- und Amalgamrestaurationen. Das Vertrauen in diese Effektschätzungen ist jedoch begrenzt. Die klinische Relevanz dieser Ergebnisse wird dadurch eingeschränkt, dass sich mehrere Studien hauptsächlich auf Kinder konzentrierten [Rasines Alcaraz et al., 2014; Worthington et al., 2021; Moraschini et al., 2015; Vetromilla et al., 2020], eine Gruppe mit potenziell geringerer Compliance und unklarem Kariesrisiko. Da die Verwendung von Amalgam in dieser Patientengruppe mittlerweile überholt ist, ist es nicht angebracht, eine Handlungsempfehlung ausschließlich auf diesen Daten zu stützen.
Studien ohne Vergleichsgruppe berichteten über zufriedenstellende Überlebensraten und akzeptable jährliche Ausfallraten für Kompositrestaurationen, insbesondere bei der Anwendung von 2-Schritt-Selbstätz- oder 3-Schritt-Etch-and-Rinse-Techniken [Schwendicke et al., 2016]. Zwei systematische Übersichtsarbeiten [Hickel und Manhart, 2001; Manhart et al., 2004] fanden keine statistisch signifikanten Unterschiede zwischen Amalgam- und Kompositrestaurationen, was darauf hindeutet, dass sie klinisch gleichwertig sein könnten, auch wenn Kinder und Jugendliche dabei ausgeschlossen wurden.
MERKE: Patientenspezifische Risikofaktoren, insbesondere das Kariesrisiko, beeinflussen das Überleben von Kompositrestaurationen erheblich und sollten in die klinische Entscheidungsfindung sowie die Interpretation der Studiendaten einbezogen werden [Vetromilla et al., 2020; Demarco et al., 2012; Heintze und Rousson, 2012; Opdam et al., 2014; van de Sande et al., 2013]. Die Entscheidung, Komposite für Klasse-I- und Klasse-II-Restaurationen zu empfehlen, basiert auf der Bewertung der Gleichwertigkeit der beiden Restaurationsarten, die sich aus der Synthese der Effektschätzungen und weiteren klinischen Daten ableiten lässt [Rasines Alcaraz et al., 2014; Worthington et al., 2021; Moraschini et al., 2015; Vetromilla et al., 2020; Hickel und Manhart, 2001; Manhart et al., 2004].
Zur Verwendung von Glasionomerzementrestaurationen als Alternative zu Kompositrestaurationen sprach die Leitliniengruppe eine konsensbasierte Empfehlung aus. Glasionomerzemente können in spezifischen Indikationsbereichen (unter anderem kleinere Kavitätengrößen, eingeschränkte Mitarbeit, erhöhtes Kariesrisiko) für die direkte Versorgung bei Klasse-I- und -II-Kavitäten an bleibenden Zähnen verwendet werden. Hierbei ist zu beachten, dass dafür nur solche Glasionomerzemente zum Einsatz kommen, die vom Hersteller für diese Indikation zugelassen sind.
Indirekte Kompositinlays sollten hingegen nicht für die Versorgung von Klasse-I- und Klasse-II-Kavitäten angewendet werden. Der Vergleich der Effektschätzungen zeigt, dass direkte Kompositrestaurationen hier eine vergleichbare oder sogar höhere Überlebensrate als indirekte Kompositrestaurationen aufweisen. Die Empfehlung lautet daher, direkte Restaurationen zu bevorzugen, da sie nicht nur eine potenziell höhere Langlebigkeit bieten, sondern auch signifikant mehr Zahnsubstanz erhalten.
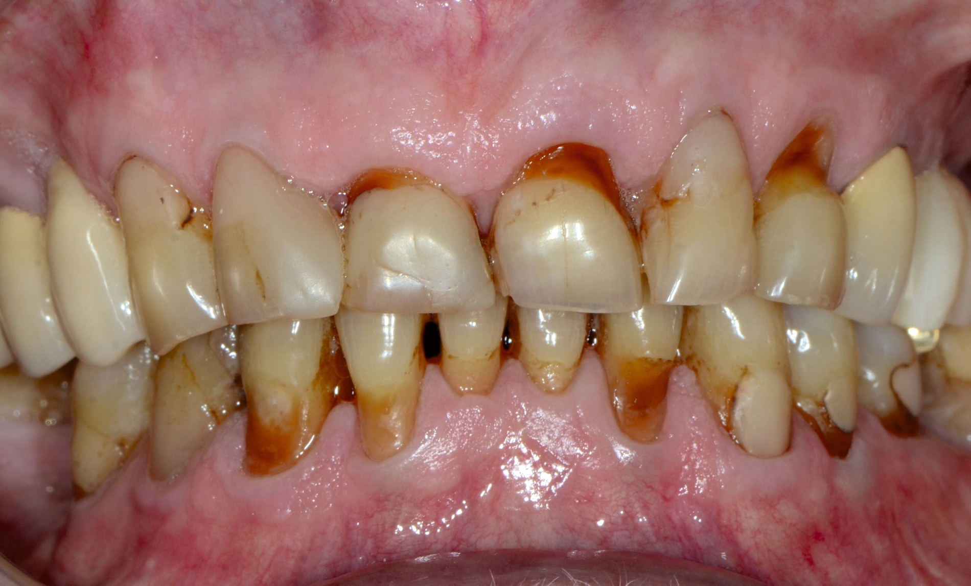
... mit Höckerersatz im Seitenzahnbereich
Für die Höckerüberkappung bedarf es eines ausreichend stabilen und abrasionsfesten Materials, das durch okklusale Kräfte belastet werden kann und die anatomische und funktionelle Rekonstruktion des Zahnes ermöglicht. Die Evidenz zur Verwendung von Kompositmaterialien bei Seitenzahnkavitäten mit Höckerersatz zeigt in mehreren Studien gute Überlebensraten [Deliperi et al., 2006; ElAziz et al., 2020; Fennis et al., 2014]. Van Nieuwenhuysen et al. [2003]berichtetenvon hohen Versagensraten sowohl bei Komposit- als auch bei Amalgamrestaurationen (30,4 Prozent beziehungsweise 28,1 Prozent). Diese Daten sind jedoch aufgrund der Verwendung älterer Kompositmaterialien als veraltet zu werten.
MERKE: Moderne Kompositmaterialien sind leistungsfähig und entsprechen den Prinzipien der minimalinvasiven Zahnmedizin. Insofern ist die Höckerrestauration mittels Komposit möglich (Abbildung 2).
Die Gruppe hat mit starkem Konsens die Empfehlung ausgesprochen, dass für Höcker-ersetzende Restaurationen insbesondere bei spezifischen Einflussfaktoren auf Zahn-, Mund- und Patientenebene (zum Beispiel eingeschränkte Compliance, schlechte Zugänglichkeit, komplexe funktionelle Rehabilitation) der Einsatz von indirekten Kompositrestaurationen erwogen werden kann.
Die PICO-Frage schloss Teilkronen, die alle Höcker ersetzen, als Komparator aus, um eine methodisch saubere Abgrenzung zwischen den Versorgungen zu gewährleisten. Insofern war die vergleichende Bewertung von indirekten Teilkronen nicht Teil der Leitlinie und bleibt unbenommen eine valide Versorgungsart großer Zahnhartsubstanzdefekte im Seitenzahnbereich.
... in den Restaurationsklassen III und IV
Die Studien zu Klasse-III- und Klasse-IV-Restaurationen zeigen hohe Überlebensraten für Kompositmaterialien [Demarco et al., 2015; Demirci et al., 2008; Dietschi et al., 2019; Heintze et al., 2015; Smales und Gerke, 1992]. In Studien, die Komposite mit anderen Materialien wie Kompomeren verglichen, wurden keine signifikanten Unterschiede festgestellt, obwohl die Nachbeobachtungszeiten relativ kurz waren. Bei Klasse-III-Restaurationen zeigten Komposite jedoch eine bessere Verschleißfestigkeit und anatomische Stabilität als Glasionomerzemente. Insgesamt unterstützt die Nutzen-Schaden-Bewertung den Einsatz von Kompositmaterialien für Klasse-III- und -IV-Defekte, da sie durch hohe Überlebensraten und hervorragende klinische Qualität überzeugen. Zudem werden adhäsive Restaurationen aufgrund ihrer geringeren Invasivität gegenüber retentiven oder indirekten Alternativen bevorzugt.
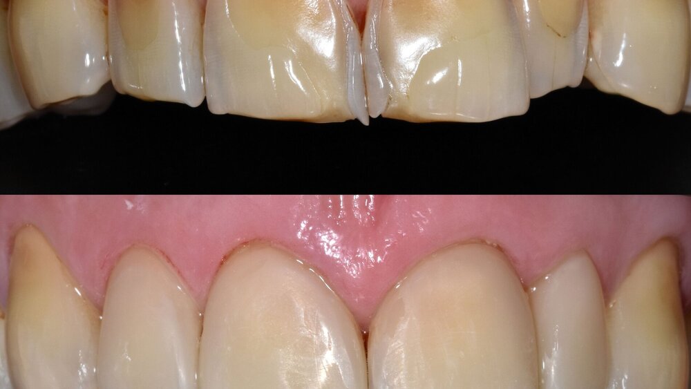
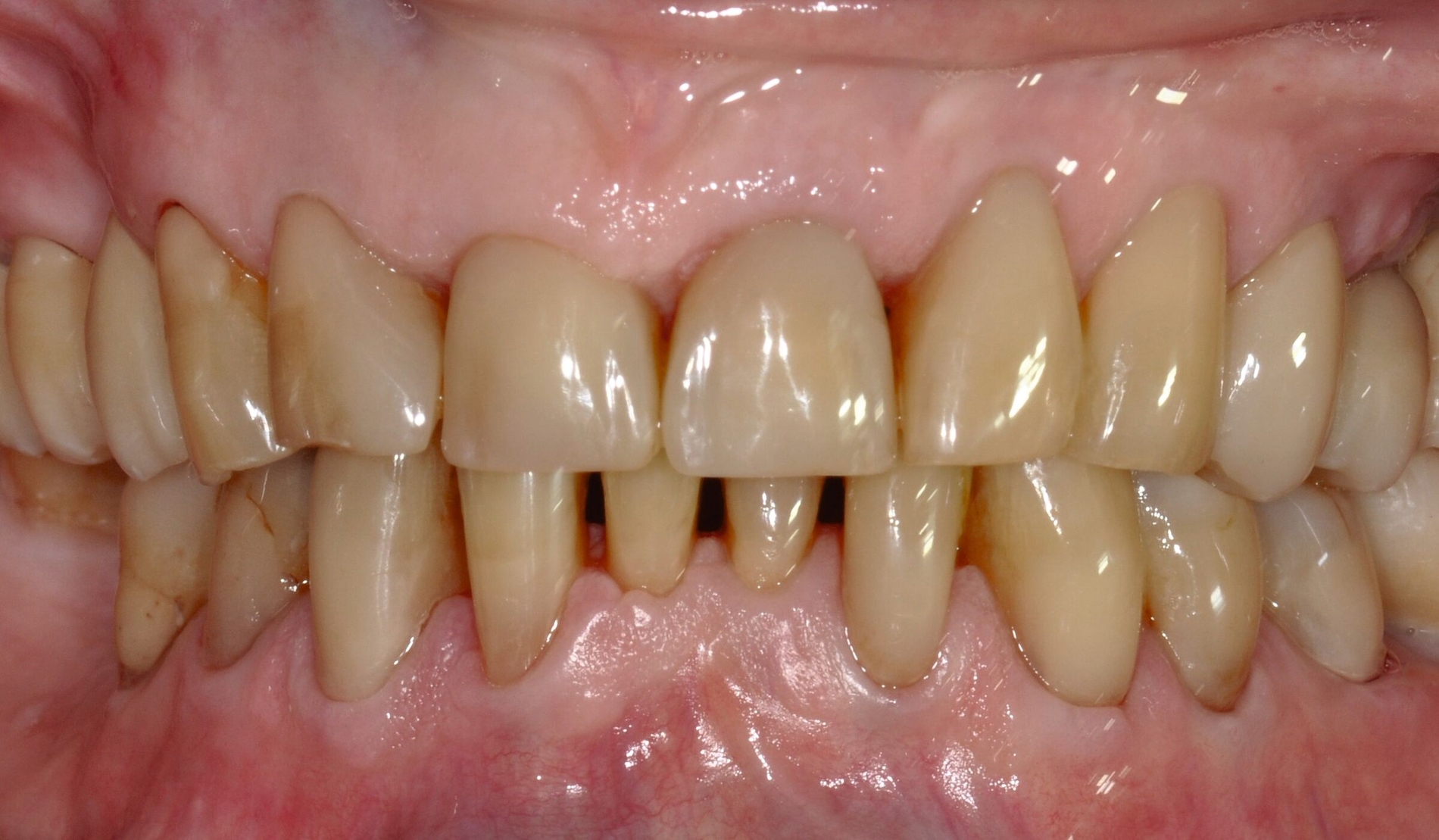
... für Zahnformkorrekturen im Frontzahnbereich
Ähnliche Ergebnisse wurden bei Zahnformkorrekturen erzielt. Die untersuchten Studien berichteten über hohe bis sehr hohe Überlebensraten von Komposit-Restaurationen mit Nachbeobachtungen bis zu 15 Jahren. Beim Vergleich mit indirekten Keramikveneers zeigten diese zwar höhere Überlebensraten, doch basiert diese Schlussfolgerung auf einer einzelnen Studie mit kurzer Nachbeobachtungszeit [Meijering et al., 1998]. Die Nutzen-Schaden-Bewertung spricht klar für den Einsatz von Kompositen zur Zahnformkorrektur im Frontzahnbereich (Abbildung 3), aufgrund der hohen Überlebensraten, der guten bis ausgezeichneten klinischen Qualität, der Reparierbarkeit und der geringeren Invasivität im Vergleich zu Keramikveneers. Der elektive Charakter dieser Verfahren sollte bei der Gesamtbeurteilung berücksichtigt werden. Für diese Behandlungen wird ein minimalinvasiver oder nichtinvasiver und präventionsorientierter Ansatz empfohlen.
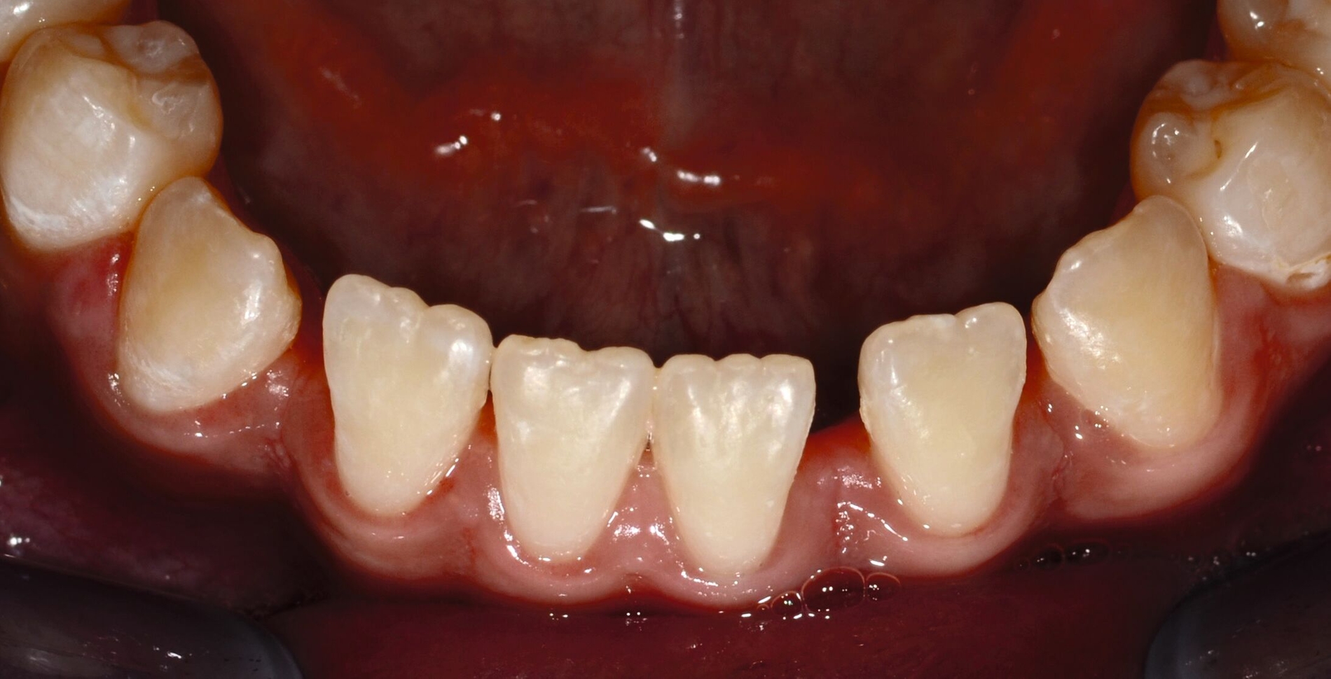
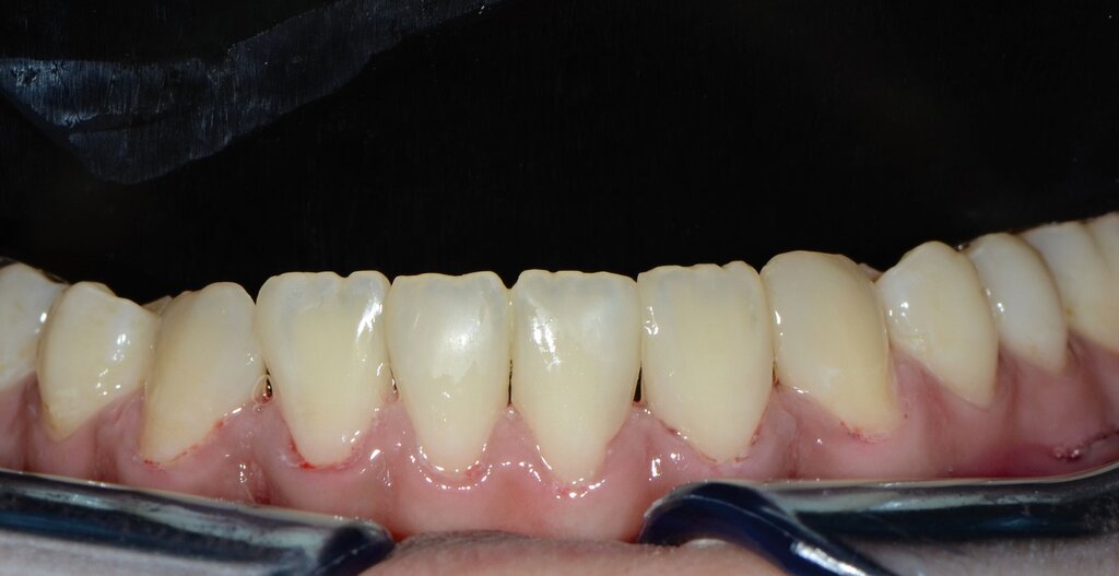
... in der Restaurationsklasse V
Direkte Klasse-V-Komposit-Restaurationen zeigten in Langzeitbeobachtungen (zwölf Monate bis 13 Jahre) hohe Überlebensraten und niedrige jährliche Ausfallraten [Schwendicke et al., 2016; Bezerra et al., 2020; Boing et al., 2018; Hayes et al., 2016; Heintze et al., 2010; Mahn et al., 2015; Meyer-Lueckel et al., 2019; Peumans et al., 2005; Peumans et al., 2014; Santos et al., 2014]. In allen Übersichten wurden Glasionomerzemente oder modifizierte Glasionomerzemente als häufigste Vergleichsmaterialien verwendet. Die Retention von Klasse-V-Restaurationen war ein zentraler Aspekt, wobei Glasionomerzemente tendenziell besser abschnitten. Allerdings erwies sich das Adhäsivprotokoll als entscheidend für die Retention von Kompositen, insbesondere für 3-Schritt-Etch-and-Rinse-, 2-Schritt-Self-Etch- und Universaladhäsive, wodurch eine vergleichbare Langzeitretention mit Glasionomerzementen erreicht wurde. Bei anderen klinischen Qualitätsparametern wie Randanpassung, anatomische Form, Oberflächentextur und Sekundärkaries zeigten Komposite ähnliche Ergebnisse wie Glasionomerzemente. In der Ästhetik sind sie den Glasionomerzementen überlegen (Abbildung 4).
Schlussfolgerung und Ausblick
Diese Leitlinie stellt die erste umfassende Auswertung von Evidenz zur Verwendung direkter Kompositmaterialien dar. Sie empfiehlt auf Basis eines starken Expertenkonsenses und einer soliden Evidenzgrundlage den Einsatz von Kompositmaterialien für die direkte Restauration von Klasse-I- und Klasse-II-Kavitäten. Glasionomerzemente werden als Alternativen in spezifischen Fällen, etwa bei kleineren Kavitäten oder erhöhtem Kariesrisiko, anerkannt. Indirekte Komposit-Inlays sollten – wenn möglich – zugunsten direkter Restaurationen vermieden werden. Besonders bei Defekten der Klassen III und IV sowie bei Formkorrekturen im Frontzahnbereich wird die Verwendung von direkten Kompositrestaurationen empfohlen, da diese minimalinvasive und präventionsorientierte Behandlungsansätze sind.
Die Evidenz zu Seitenzahnrestaurationen, speziell mit Höckerersatz, und Klasse-V-Restaurationen sollte jedoch durch klinische Langzeitstudien erweitert werden, insbesondere im Vergleich zu Amalgam, (modifizierten) Glasionomerzementen und möglichen Amalgamersatzmaterialien. Regelmäßige Aktualisierungen der Leitlinie werden helfen, die Einsatzmöglichkeiten und Grenzen von direkten Kompositrestaurationen weiter zu präzisieren.
Der Beitrag ist eine ins Deutsche übersetzte, modifizierte und gekürzte Fassung dieser Quelle:
Wolff D, Frese C, Frankenberger R, Haak R, Braun A, Kraemer N, Krastl G, Schwendicke F, Kosan E, Langowski E, Sekundo C: Direct composite restorations on permanent teeth in the anterior and posterior region – an evidence-based clinical practice guideline. Part 1: Indications for composite restorations. J Adhes Dent. 2024 Sep 17;26:185–200
Literaturliste
Bezerra IM, Brito ACM, de Sousa SA, Santiago BM, Cavalcanti YW, de Almeida LFD. Glass ionomer cements compared with composite resin in restoration of noncarious cervical lesions: A systematic review and meta-analysis. Heliyon 2020;6:e03969.
Boing TF, de Geus JL, Wambier LM, Loguercio AD, Reis A, Gomes OMM. Are Glass-Ionomer Cement Restorations in Cervical Lesions More Long-Lasting than Resin-based Composite Resins? A Systematic Review and Meta-Analysis. J Adhes Dent 2018;20:435-452.
Collaborators GBDOD, Bernabe E, Marcenes W, et al. Global, Regional, and National Levels and Trends in Burden of Oral Conditions from 1990 to 2017: A Systematic Analysis for the Global Burden of Disease 2017 Study. J Dent Res 2020;99:362-373.
Deliperi S, Bardwell DN. Clinical evaluation of direct cuspal coverage with posterior composite resin restorations. J Esthet Restor Dent 2006;18:256-265; discussion 266-257.
Demarco FF, Corrêa MB, Cenci MS, Moraes RR, Opdam NJ. Longevity of posterior composite restorations: not only a matter of materials. Dent Mater 2012;28:87-101.
Demarco FF, Collares K, Coelho-de-Souza FH, et al. Anterior composite restorations: A systematic review on long-term survival and reasons for failure. Dent Mater 2015;31:1214-1224.
Demirci M, Yildiz E, Uysal O. Comparative clinical evaluation of different treatment approaches using a microfilled resin composite and a compomer in Class III cavities: two-year results. Oper Dent 2008;33:7-14.
Dietschi D, Shahidi C, Krejci I. Clinical performance of direct anterior composite restorations: a systematic literature review and critical appraisal. Int J Esthet Dent 2019;14:252-270.
ElAziz RH, Mohammed MM, Gomaa HA. Clinical Performance of Short-fiber-reinforced Resin Composite Restorations vs Resin Composite Onlay Restorations in Complex Cavities of Molars (Randomized Clinical Trial). J Contemp Dent Pract 2020;21:296-303.
Fennis WM, Kuijs RH, Roeters FJ, Creugers NH, Kreulen CM. Randomized control trial of composite cuspal restorations: five-year results. J Dent Res 2014;93:36-41.
Hayes M, Brady P, Burke FM, Allen PF. Failure rates of class V restorations in the management of root caries in adults - a systematic review. Gerodontology 2016;33:299-307.
Heintze SD, Ruffieux C, Rousson V. Clinical performance of cervical restorations--a meta-analysis. Dent Mater 2010;26:993-1000.
Heintze SD, Rousson V. Clinical effectiveness of direct class II restorations - a meta-analysis. J Adhes Dent 2012;14:407-431.
Heintze SD, Rousson V, Hickel R. Clinical effectiveness of direct anterior restorations--a meta-analysis. Dent Mater 2015;31:481-495.
Hickel R, Manhart J. Longevity of restorations in posterior teeth and reasons for failure. J Adhes Dent 2001;3:45-64.
Kassenzahnärztliche Bundesvereinigung Jahrbuch 2022.
Mahn E, Rousson V, Heintze S. Meta-Analysis of the Influence of Bonding Parameters on the Clinical Outcome of Tooth-colored Cervical Restorations. J Adhes Dent 2015;17:391-403.
Manhart J, Chen H, Hamm G, Hickel R. Buonocore Memorial Lecture. Review of the clinical survival of direct and indirect restorations in posterior teeth of the permanent dentition. Oper Dent 2004;29:481-508.
Meijering AC, Creugers NH, Roeters FJ, Mulder J. Survival of three types of veneer restorations in a clinical trial: a 2.5-year interim evaluation. J Dent 1998;26:563-568.
Meyer-Lueckel H, Machiulskiene V, Giacaman RA. How to Intervene in the Root Caries Process? Systematic Review and Meta-Analyses. Caries Res 2019;53:599-608.
Moraschini V, Fai CK, Alto RM, Dos Santos GO. Amalgam and resin composite longevity of posterior restorations: A systematic review and meta-analysis. J Dent 2015;43:1043-1050.
Opdam NJ, van de Sande FH, Bronkhorst E, et al. Longevity of posterior composite restorations: a systematic review and meta-analysis. J Dent Res 2014;93:943-949.
Peumans M, Kanumilli P, De Munck J, Van Landuyt K, Lambrechts P, Van Meerbeek B. Clinical effectiveness of contemporary adhesives: a systematic review of current clinical trials. Dent Mater 2005;21:864-881.
Peumans M, De Munck J, Mine A, Van Meerbeek B. Clinical effectiveness of contemporary adhesives for the restoration of non-carious cervical lesions. A systematic review. Dent Mater 2014;30:1089-1103.
Rasines Alcaraz MG, Veitz-Keenan A, Sahrmann P, Schmidlin PR, Davis D, Iheozor-Ejiofor Z. Direct composite resin fillings versus amalgam fillings for permanent or adult posterior teeth. The Cochrane database of systematic reviews 2014:Cd005620.
Santos MJ, Ari N, Steele S, Costella J, Banting D. Retention of tooth-colored restorations in non-carious cervical lesions--a systematic review. Clin Oral Investig 2014;18:1369-1381.
Schwendicke F, Göstemeyer G, Blunck U, Paris S, Hsu LY, Tu YK. Directly Placed Restorative Materials: Review and Network Meta-analysis. J Dent Res 2016;95:613-622.
Smales RJ, Gerke DC. Clinical evaluation of four anterior composite resins over five years. Dent Mater 1992;8:246-251.
Staehle HJ, Wolff D, Frese C. More conservative dentistry: clinical long-term results of direct composite resin restorations. Quintessence Int 2015;46:373-380.
Van de Sande FH, Opdam NJ, Rodolpho PA, Correa MB, Demarco FF, Cenci MS. Patient risk factors' influence on survival of posterior composites. J Dent Res 2013;92:78S-83S.
Van Nieuwenhuysen JP, D'Hoore W, Carvalho J, Qvist V. Long-term evaluation of extensive restorations in permanent teeth. J Dent 2003;31:395-405.
Vetromilla BM, Opdam NJ, Leida FL, et al. Treatment options for large posterior restorations: a systematic review and network meta-analysis. J Am Dent Assoc 2020;151:614-624 e618.
Worthington HV, Khangura S, Seal K, et al. Direct composite resin fillings versus amalgam fillings for permanent posterior teeth. The Cochrane database of systematic reviews 2021;8:Cd005620.























