Mukormykose – keine banale Pilzinfektion
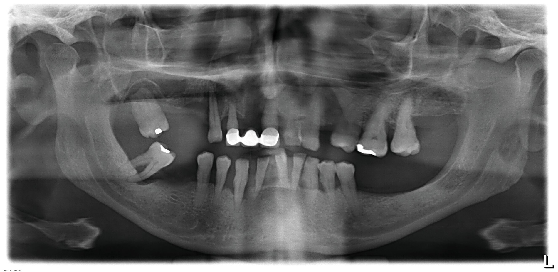
Ein 68-jähriger Mann stellte sich fußläufig in einem verwahrlosten und deutlich reduzierten Allgemeinzustand in der Notaufnahme des Evangelischen Krankenhauses Düsseldorf vor. Er berichtete bei gewisser Sprachbarriere über starke Schmerzen in der rechten Gesichtshälfte, die sich im Anschluss an eine Zahnentfernung entwickelt und im Verlauf verstärkt hätten. Vor sieben Tagen waren die Zähne 18, 14 und 48 extrahiert worden (Abbildung 2).
Extraoral imponierte eine rötlich-livide Verfärbung der rechten Jochbein- und Orbitaregion, allerdings ohne größere Weichteilschwellung (Abbildung 1). Bemerkenswert waren die Pupillenstarre und der komplette Verlust der Sehkraft auf dem rechten Auge, die der Patient erst auf explizite Nachfrage angab und deren Eintrittszeitpunkt er nicht benennen konnte. Enoral war eine livide Veränderung der rechten Gaumenschleimhaut zu erkennen – auch hier ohne deutliche Weichteilschwellung (Abbildung 3).
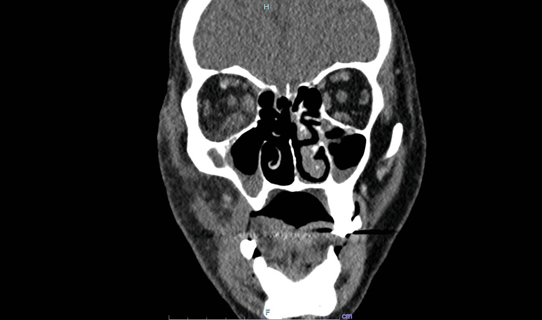
Laborchemisch offenbarte sich ein entgleister Diabetes mellitus mit einer Blutglukose von 507 mg/dl (HbA1c 11,4 Prozent) und diabetischer Ketoazidose (pH 7,15). Die Entzündungsparameter waren mit einer Leukozytenzahl von 18.000/µl und einem CRP von 30 mg/dl erhöht. Der Procalcitonin-Wert von 0,16 ng/ml sprach allerdings gegen eine bakterielle Infektion. Die Computertomografie des Schädels zeigte lediglich Resorptionen im Bereich der rechten Nasenhöhle und eine diskrete Volumenvermehrung des rechtsseitigen Wangen- und orbitalen Weichgewebes. Abszessformationen fanden sich, passend zum klinischen Befund, nicht (Abbildung 4).
Aufgrund der Befundkonstellation und der Erfahrung des Behandlers mit einem ähnlichen Fall wurde bereits klinisch der Verdacht auf eine Mukormykose gestellt. Der Patient wurde über die lebensgefährliche Situation informiert und etwa fünf Stunden nach initialer Vorstellung operiert. Wie vermutet zeigten sich ausgedehnte Nekrosen der rechten Oberkiefer-, Jochbein- und Nasenregion.
In oraler Intubationsnarkose erfolgte ein Wunddebridement mit partieller Maxillektomie, Entfernung von Anteilen des Nasenseptums und Dekompression der Orbita mit simultaner Eröffnung der Ethmoidalzellen. Auf eine komplette Entfernung der Nekrosen wurde in diesem „Notfall-Setting“ verzichtet. Die Gewebeproben wurden zur Diagnostik sowohl an die Pathologie als auch an die Mikrobiologie entsandt.
Neben der Hochdosis-Antibiotikatherapie mit Piperacillin/Tazobactam wurde auch eine kalkulierte antimykotische Therapie mit Amphotericin B intravenös eingleitet. Postoperativ verblieb der Patient intubiert auf der Intensivstation. Zum Ausschluss einer pulmonalen Beteiligung erfolgte am ersten postoperativen Tag eine Computertomografie der Lunge, jedoch ohne Anzeichen einer Pneumonie oder pulmonalen Mykose. Ein Screening auf Infektionserkrankungen zeigte allerdings einen positiven COVID-19-Test.
Am ersten postoperativen Tag wurde der Patient tracheotomiert und das Debridement komplettiert. Dies beinhaltete eine Exenteratio orbitae mit Entfernung des rechten Jochbeins sowie des kompletten Nasenseptums. Die initial begonnene antimykotische Therapie wurde, nach histopathologischer Bestätigung der Mukormykose, mit Voriconazol ergänzt.
Trotz der radikalen Operation und hochdosierter systemischer Therapie zeigte sich eine fortschreitende Nekrotisierung mit sichtbaren Pilzkolonien (Abbildung 6). Daher fiel am dritten Tag nach Initialvorstellung die Entscheidung zu einem Revisionseingriff, bei dem die Nase und die rechte Wange reseziert sowie die Stirnhöhle und die Fossa pterygopalatina ausgeräumt wurden (Abbildung 7). Aber auch durch diese Maßnahmen konnte keine sichere Sanierung des Situs erreicht werden.
Bei anzunehmender Infiltration der Schädelbasis erschien ein weiteres Debridement und somit eine kurative Behandlung nicht mehr möglich. Nach einer interdisziplinären Besprechung unter Einbeziehung der Ethik-Kommission wurde die Therapiezieländerung auf eine Palliation in tiefer Sedierung beschlossen. Der Patient verstarb sieben Tage nach seiner Ankunft in der Notaufnahme auf der Intensivstation des Klinikums.
Diskussion
Als Mukormykose wird eine seltene, aber potenziell lebensbedrohliche Pilzinfektion bezeichnet, die durch eine Gruppe von Schimmelpilzen der Ordnung Mucorales verursacht wird. Mucor, Rhizopus und Lichtheimia als Vertreter dieser Familie sind für mehr als 90 Prozent der Fälle verantwortlich [Alqarihi et al., 2023].
Pilze finden sich ubiquitär und haben in unserem Ökosystem eine entscheidende Rolle beim Abbau organischer Abfälle und dienen als Nährstofflieferanten. Pilze der Mucorales-Familie wurden bereits im 19. Jahrhundert beschrieben und besitzen die Eigenschaft, lytische Enzyme wie Amylasen, Lipasen und Proteasen zu bilden. Darüber hinaus besitzen einige Vertreter dieser Gattung die Fähigkeit, pharmakologisch wirksame Substanzen wie Steroide oder Terpenoide zu produzieren [Morin-Sardin et al., 2017].
Mucorales-Pilze können sich sowohl sexuell als auch asexuell fortpflanzen. Bei sexueller Vermehrung werden durch die Pilze zunächst Gameten gebildet, aus deren einfachen Chromosomensatz bei Verschmelzung mit einer anderen Gamete ein doppelter Chromosomensatz entsteht. Die Folge ist eine Neukombination des Erbguts. Asexuelle Vermehrung entsteht durch die Bildung von Sporen, die sich lediglich im Entstehungsprozess und ihrer Form unterscheiden.
Die Inhalation von Sporen aus der Umgebung kann zu einer Pilzbesiedelung im rhino-orbitalen oder im pulmonalen Bereich führen. Eine Einwanderung in den Organismus kann auch über größere Wunden oder Hautdefekte erfolgen. Die Mukormykose zeichnet sich durch eine starke Gewebeinvasion mit Destruktion und Angioinvasion aus [Ben-Ami et al., 2009].
Nach der initialen Bindung der Sporen an epitheliale Rezeptoren erfolgt bereits wenige Stunden später die Zellinvasion mit anschließender Vermehrung der Pilzzellen innerhalb der Wirtszellen. Im Laufe der nächsten 48 Stunden erfolgt eine Destruktion der Wirtszellen mit der Folge, dass die Sporen und Hyphen in tiefere Gewebeschichten gelangen. Über eine Angioinvasion kann es es zu einer hämatogenen Verteilung der Pilzzellen in andere Organe kommen.
Als Risikofaktoren für eine Mykose sind jegliche Zustände zu sehen, die mit einer Immunsuppression einhergehen, insbesondere Diabetes mellitus, maligne hämatologische Erkrankungen und stattgehabte Organtransplantationen. Allerdings können auch größere Wunden oder Verbrennungen bei immunkompetenten Patienten zu einer Pilzinfektion führen. Die Inzidenz dieser Erkrankung beträgt in Europa je nach Datenlage und Nation zwischen 0,06 und 0,3 Fällen pro 100.000 Einwohnern [Skiada et al., 2024]. Während der Corona-Pandemie hat die Zahl der Fälle rasant zugenommen. Berichte von Mukormykosen als Superinfektion einer COVID-19-Infektion, oftmals in Kombination mit einem Diabetes, wurden in verschiedenen Teilen der Welt dokumentiert [Ravani et al., 2021].
Mukormykosen können in eine kutane, eine rhino-orbito-zerebrale, eine pulmonale, eine gastrointestinale und eine disseminierte Form unterteilt werden. Das klinische Erscheinungsbild der Erkrankung ist abhängig von der betroffenen Region. Zu den allgemeinen Symptomen gehören ein stark reduzierter Allgemeinzustand, Fieber und Kopfschmerzen.
Die rhino-orbito-zerebrale Form zeichnet sich im Anfangsstadium durch diffuse Gesichtsschmerzen, Wangenschwellungen und Rhinorrhoe aus. Bei voranschreitender Erkrankung kommt es zu einer orbitalen Beteiligung mit Lidödemen, Ptosis, Motilitätsstörungen bis hin zum Visusverlust [Ding et al., 2023]. Die zerebrale Mykose führt durch embolischen Gewebsuntergang zu einem initial Apoplex-ähnlichen Bild, allerdings mit einer progressiven Verschlechterung des neurologischen Zustands.
Aufgrund der Dynamik dieser Erkrankung ist die schnellstmögliche Einleitung der operativen und antimykotischen Therapie entscheidend für das Patienten-Outcome. Die Computertomografie ist zwar Teil der Basisdiagnostik, aber – wie in unserem Patientenfall geschildert – nicht immer hilfreich bei der Einschätzung des Nekroseausmaßes.
Das chirurgische Debridement ist in der Regel radikal und muss möglicherweise mehrfach wiederholt werden. Dies führt nicht selten zu ausgedehnten Gesichtsdefekten, die nach erfolgreicher Behandlung der Mykose einer komplexen Rekonstruktion bedürfen [Vironneau et al., 2014]. Die medikamentöse Therapie besteht aus liposomalem Amphotericin B, das in der therapeutischen Dosis multiple Nebenwirkungen aufweist, wobei das Augenmerk auf der Nephrotoxizität liegt. Bei fraglichem Ansprechen können zusätzlich Triazolderivate gegeben werden.
Da bei Therapiebeginn selten die definitive Diagnose vorliegt, wird in der Regel mit einer Hochdosis-Antibiotikamedikation begonnen. Die Diagnosesicherung erfolgt durch die mikroskopische Untersuchung [Cornely et al., 2019]. Dabei zeigen sich 6–16 µm große, bandförmig angeordnete Hyphen, die als Aspergillus-Zellen missinterpretiert werden können. Zur Bestätigung der Diagnose sollte zudem eine Pilzkultur angelegt werden.
Fazit für die Praxis
Die Mukormykose des Mittelgesichts ist initial kaum von einem banalen Wangen-/Fossa-Canina-Abszess zu unterscheiden. Daher ist bei jeglicher Art von Immunsuppression, auch bei einem schlecht oder nicht-eingestellten Diabetes mellitus, an diesen opportunistischen Erreger zu denken.
Die Therapie umfasst die unmittelbare, radikale chirurgische Intervention begleitet von intravenöser antimykotischer Medikation.
Eine histologische Identifizierung der Pilzzellen ist obligat.
Die rhino-orbito-zerebrale Mukormykose ist ein häufig letal verlaufendes Krankheitsbild mit einer Mortalität von > 50 Prozent. Trotz künftiger Entwicklungen im Bereich der molekularen Diagnostik und antimykotisch wirksamer Medikamente ist in absehbarer Zeit nicht von einer verbesserten Prognose auszugehen.
Literaturliste
Alqarihi A, Kontoyiannis DP, Ibrahim AS. Mucormycosis in 2023: an update on pathogenesis and management. Front Cell Infect Microbiol. 2023;13:1254919.
Ben-Ami R, Luna M, Lewis RE, Walsh TJ, Kontoyiannis DP. A clinicopathological study of pulmonary mucormycosis in cancer patients: extensive angioinvasion but limited inflammatory response. J Infect. 2009;59(2):134-8.
Cornely OA, Alastruey-Izquierdo A, Arenz D, Chen SCA, Dannaoui E, Hochhegger B, et al. Global guideline for the diagnosis and management of mucormycosis: an initiative of the European Confederation of Medical Mycology in cooperation with the Mycoses Study Group Education and Research Consortium. Lancet Infect Dis. 2019;19(12):e405-e21.
Ding JQ, Xie Y. A case report on clinical features, diagnosis, and treatment of rhino-orbito-cerebral mucormycosis. Immun Inflamm Dis. 2023;11(11):e1080.
Morin-Sardin S, Nodet P, Coton E, Jany JL. : A Janus-faced fungal genus with human health impact and industrial applications. Fungal Biol Rev. 2017;31(1):12-32.
Ravani SA, Agrawal GA, Leuva PA, Modi PH, Krisha D. Rise of the phoenix: Mucormycosis in COVID-19 times. Indian Journal of Ophthalmology. 2021;69(6):1563-8.
Skiada A, Pavleas I, Drogari-Apiranthitou M. Epidemiological Trends of Mucormycosis in Europe, Comparison with Other Continents. Mycopathologia. 2024;189(6):100.
Vironneau P, Kania R, Morizot G, Elie C, Garcia-Hermoso D, Herman P, et al. Local control of rhino-orbito-cerebral mucormycosis dramatically impacts survival. Clin Microbiol Infect. 2014;20(5):O336-9.










