Das Dahl-Konzept im klinischen Einsatz
Eine pathologische Zahnabnutzung („tooth wear“) in Form von Abrasionen, Erosionen und Attritionen kann durch verschiedene Faktoren – eine verstärkte Säureexposition (intrinsisch und extrinsisch), traumatisches Zähneputzen, Parafunktionen und Malokklusion – bedingt sein [FDI, 2024]. Ist eine restaurative Versorgung solcher Defekte indiziert und/oder seitens der Patientinnen und Patienten gewünscht, muss häufig die Vertikaldimension angehoben werden, um ausreichend Platz für funktionell und ästhetisch suffiziente Restaurationen zu schaffen [Loomans et al., 2017].
Ein minimalinvasiver Ansatz, der es ermöglicht, nur die betroffenen Zähne zu restaurieren, ist das sogenannte Dahl-Konzept [Dahl et al., 1975]. Das Konzept wurde vor nunmehr fünf Jahrzehnten erstmals beschrieben, um einen Patienten mit stark abgenutzten Palatinalflächen der Oberkiefer-Frontzähne zu restaurieren. Dabei wurde mithilfe einer herausnehmbaren Chrom-Cobalt-Apparatur der Biss lokal erhöht, so dass sich in der Folge eine Intrusion der Frontzähne und eine Extrusion der Seitenzähne einstellte und so ausreichend Platz für eine Restauration der Frontzähne geschaffen wurde.
Dieses Konzept lässt sich auf die minimalinvasive adhäsive Zahnmedizin übertragen und kann für Defekte sowohl im Frontzahn- als auch im Seitenzahnbereich verwendet werden [Poyser et al., 2005; Tunkiwala und Chitguppi, 2017; Hoekstra-van Hout et al., 2023]. Dabei werden die erodierten und „verkürzten“ Zähne mit adhäsiv-befestigten direkten oder indirekten Restaurationen in Supraokklusion versorgt. Nachdem dadurch initial eine Non-Okklusion der nicht-restaurierten Zähne erzielt wird, kann nach sechs Monaten zumeist ein Wiedereinstellen der Okklusion beobachtet werden [Gough und Setchell, 1999]. Die beiden Fälle illustrieren die Behandlungsschritte bei der Anwendung des Dahl-Konzepts zur minimalinvasiven Versorgung eines Erosionsgebisses.
Patientenfall 1
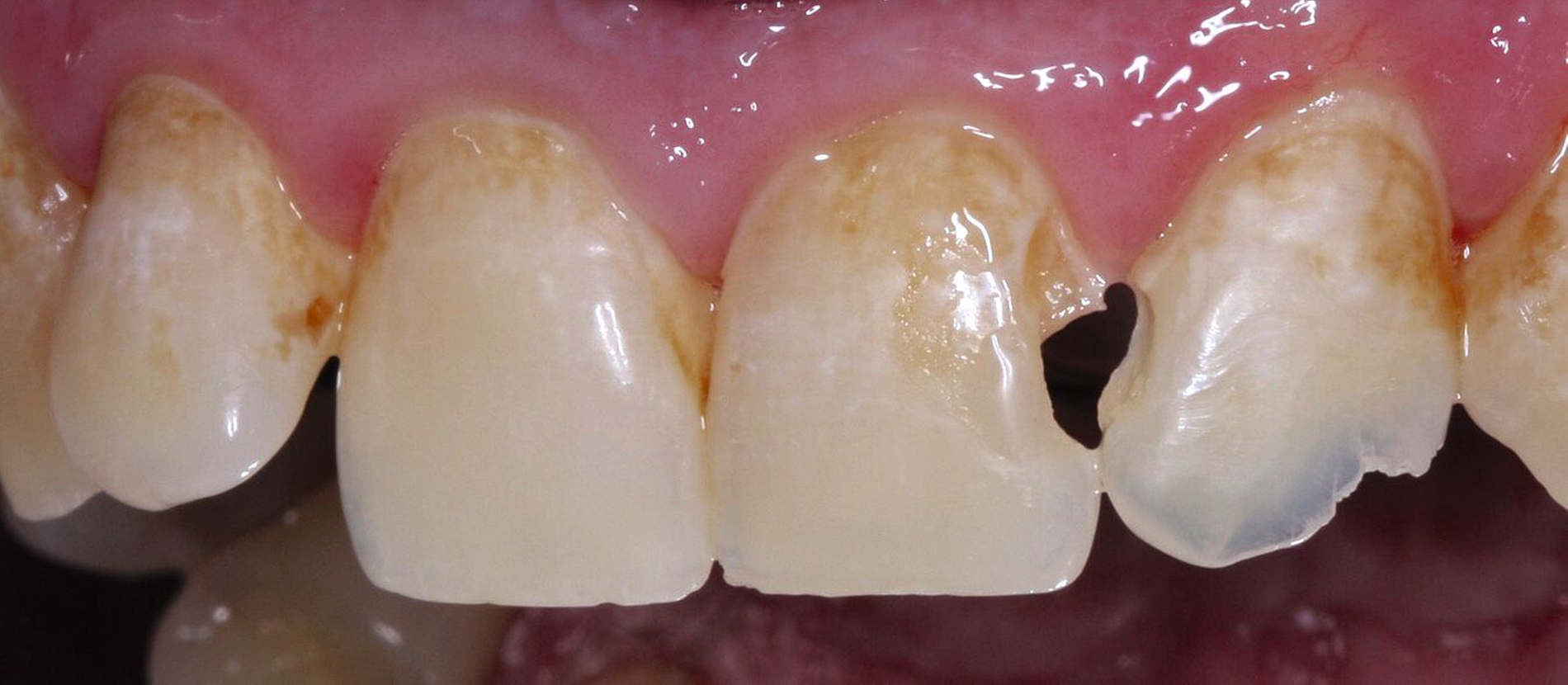
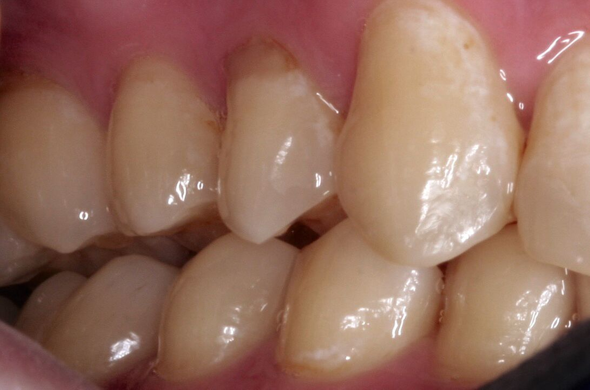
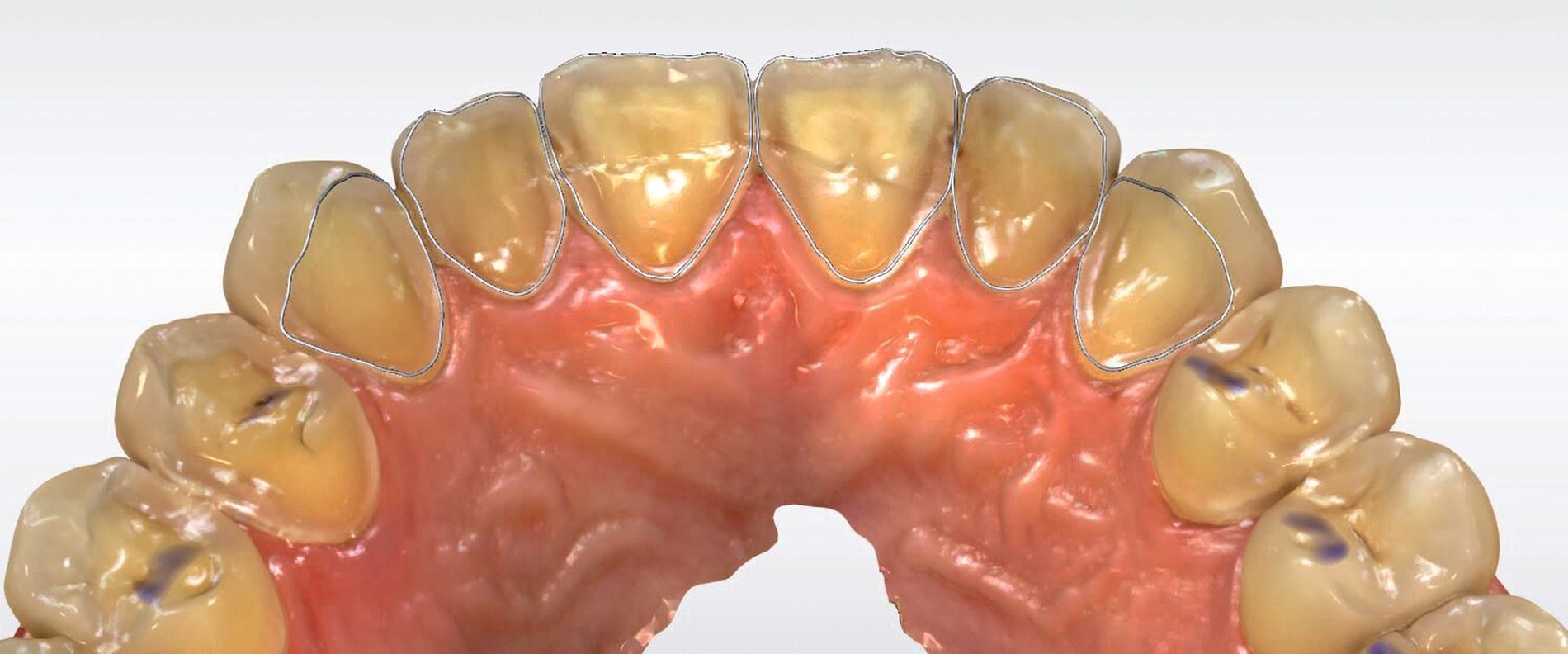
Ein damals 37-jähriger Patient stellte sich im November 2022 erstmals in der Zahnklinik der Charité – Universitätsmedizin Berlin aufgrund von wiederholten Füllungsverlusten an den Oberkieferfrontzähnen vor. Die allgemeine Anamnese ergab einen erhöhten BMI und Tabakkonsum. Bei der Befundaufnahme zeigten sich unversorgte, aber kariesfreie Kavitäten der Frontzähne, die mit einer Temperatursensibilität einhergingen. einhergingen. Zusätzlich zeigten sich ausgeprägte Zahnhartsubstanzverluste an den Palatinalflächen der Oberkieferfrontzähne bei bestehendem Tiefbiss, wobei die Pulpa am Zahn 22 bereits durchschimmerte. Ebenso wurden eine generalisierte Gingivitis sowie inaktive kariöse Läsionen (ICDAS 1–3) an den Vestibulärflächen der Oberkieferfrontzähne diagnostiziert (Abbildung 1).
Das restliche Gebiss wies lediglich drei kleine, suffiziente Füllungen im Seitenzahnbereich auf. Die Röntgenbefunde waren unauffällig. Als habitueller Faktor war intensives Pressen festzustellen. Im Seitenzahnbereich wurde keine pathologische Zahnabnutzung gefunden. Der BEWE-Score war aufgrund der stark lokalisierten Beschränkung der Befunde nicht aussagekräftig [Bartlett et al., 2008]. Der CMD-Kurzbefund war unauffällig.
Die pathologische Zahnabnutzung hatte höchstwahrscheinlich eine multifaktorielle Genese, wobei insbesondere der Tiefbiss-bedingte Okklusionsdruck, erosive Schädigungen der Zahnhartsubstanz durch den übermäßigen Konsum zuckerhaltiger Limonade sowie eine zusätzliche parafunktionelle Belastung durch Bruxismus eine maßgebliche Rolle spielten. Die zentrale Herausforderung für eine langfristige restaurative Versorgung der Frontzahnkavitäten und für den Schutz der Oberkieferfrontzähne bestand in den limitierten vertikalen Platzverhältnissen.
Gemeinsam mit dem Patienten wurden verschiedene Behandlungsoptionen erörtert. Aufgrund der Notwendigkeit der funktionellen Rehabilitation, des Pulpaschutzes der Frontzähne und der Korrektur eines Tiefbisses war eine Bisshebung erforderlich. Da die intakten Seitenzähne keinen Behandlungsbedarf aufwiesen und dem Patienten eine kostengünstige Lösung wichtig war, bot sich die Dahl-Technik als Therapieoption an.
Der Patient wurde umfassend über die Behandlungsmethodik aufgeklärt, insbesondere über die fehlenden Zahn-Zahn-Kontakte im Seitenzahnbereich, die zu Beginn zu möglichen Problemen bei der Nahrungsaufnahme und beim Sprechen führen können. Außerdem wurde er darauf hingewiesen, dass die genaue Behandlungsdauer schwer vorherzusagen sei. In der Literatur werden Behandlungszeiträume von bis zu 1,5 Jahren beschrieben, auch wenn sich bei den meisten Patienten die Okklusion bereits nach wenigen Monaten einstellt [Poyser et al., 2005]. Gemeinsam mit dem Patienten wurden zudem Maßnahmen besprochen, mit denen man die Ursachen beseitigen kann, die zur Entstehung der palatinalen Substanzdefekte geführt haben – etwa indem er die Frequenz der Säurezufuhr durch Getränke reduziert und das Pressen abstellt.
Zunächst wurden zeitnah die kältesensiblen Frontzahnkavitäten versorgt. Eine professionelle Zahnreinigung und Mundhygieneinstruktionen folgten. Bei den Folgeterminen zeigten sich bereits eine deutliche Verbesserung der Mundhygiene und eine gesteigerte Motivation des Patienten, die Probleme langfristig zu lösen (Abbildung 2).
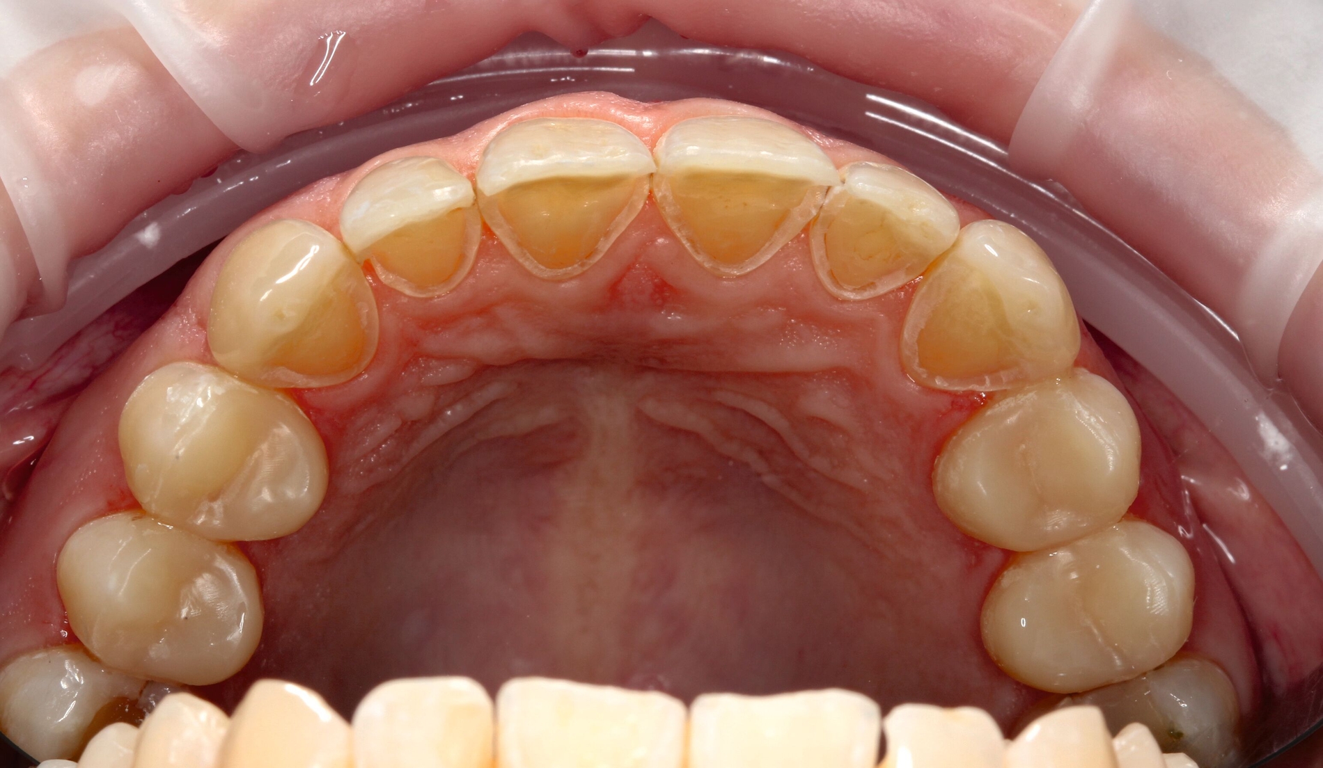
Im nächsten Schritt erfolgte eine Bisshebung durch direkte Kompositaufbauten in der Oberkieferfront, wodurch eine Sperrung des Bisses im Seitenzahnbereich um circa 1 mm erreicht wurde (Abbildung 3). Zur Formgebung der Aufbauten kam eine laborgefertigte Schiene zum Einsatz, um die palatinalen Aufbisse zu modellieren.
Die Trockenlegung erfolgte mittels Kofferdam und Ligaturen. Der Aufbau der Zähne erfolgte alternierend, so dass eine Isolierung der Zähne von den Nachbarzähnen mittels Teflonband möglich war. Die Konditionierung der Zähne erfolgte über das Abstrahlen der Palatinalflächen mit Al2O3 (50 µm) sowie anschließender Etch-and-Rinse-Technik (OptiBond FL, Kerr, Kloten, Schweiz). Zur Restaurierung wurde ein fließfähiges Komposit (Ceram.x Spectra ST flow, Dentsply Sirona, Bensheim, Deutschland) direkt durch die Schiene auf die Flächen appliziert und ebenfalls durch die Schiene hindurch lichtgehärtet (Composite injection technique [Veneziani, 2025]) (Abbildung 4). Die Aufbauten wurden im Anschluss ausgearbeitet und poliert.
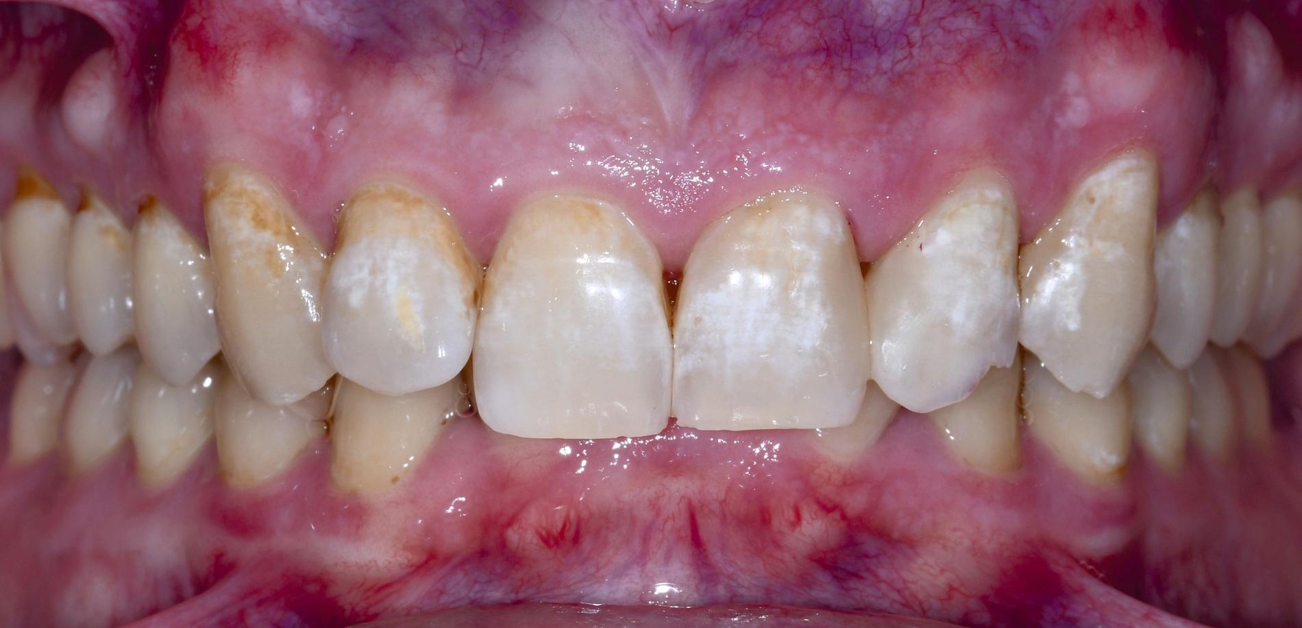
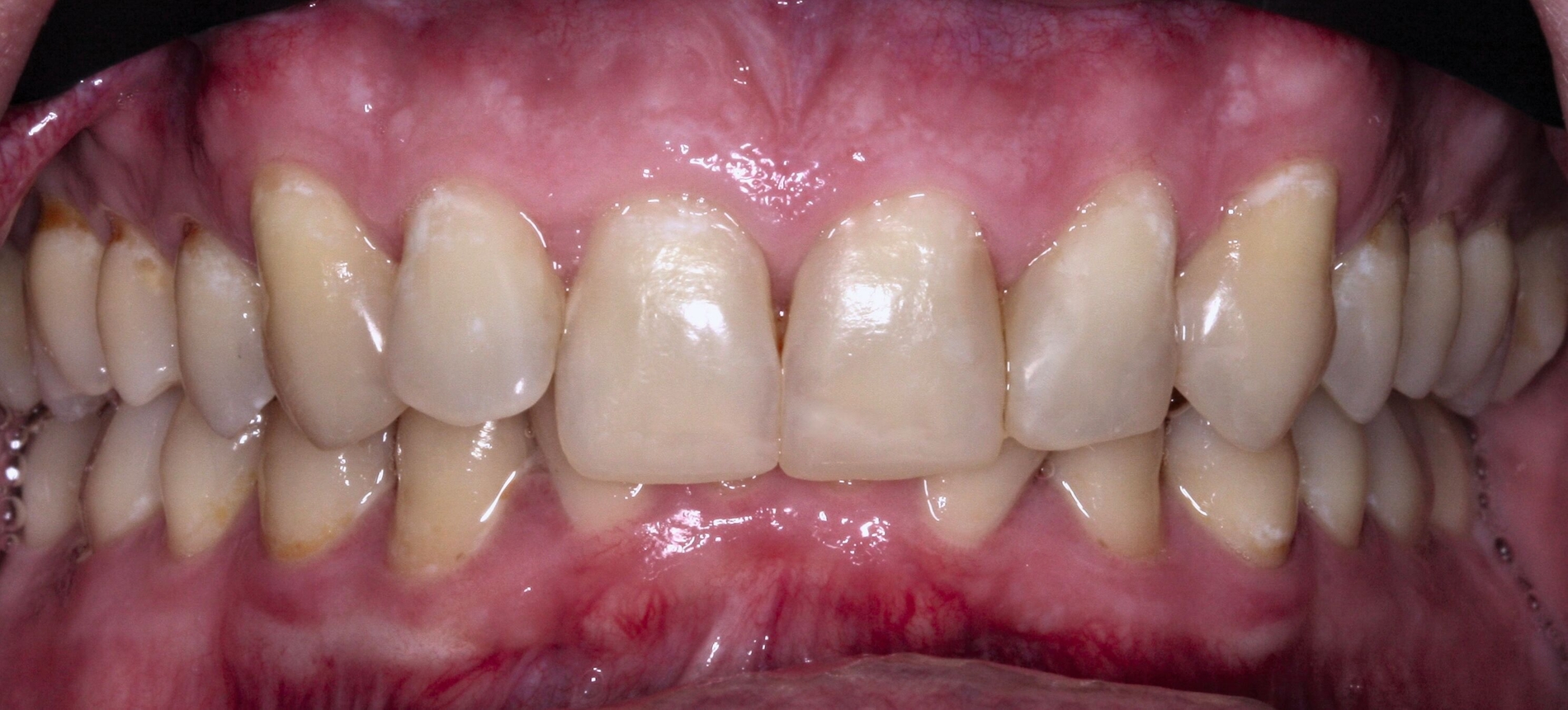
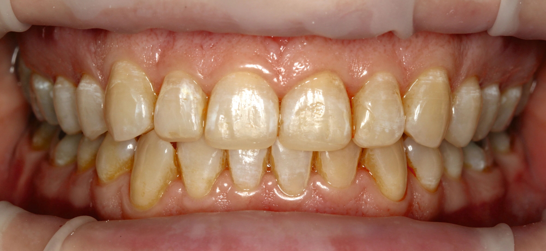
Abschließend befand sich der Patient in einer gleichmäßigen Bisslage mit Okklusion in der Front- und Non-Okklusion im Seitenzahnbereich (Abbildungen 5). Die initiale Bisslage wurde für die Verlaufskontrolle gescannt (Trios 4, 3 Shape, Düsseldorf, Deutschland).
Der Patient stellte sich in den folgenden Monaten mehrfach zur Kontrolle vor, wobei die intraoralen Scans wiederholt und mehrfach notwendige Reparaturfüllungen an den Zähnen 11 und 21 angefertigt wurden. Bereits nach wenigen Wochen berichtete der Patient über wiederhergestellte Zahn-Zahn-Kontakte im Prämolarenbereich links, gefolgt von Kontakten der Molaren und der Prämolaren rechts. Die Kontakte der Molaren linksseitig blieben schwach.
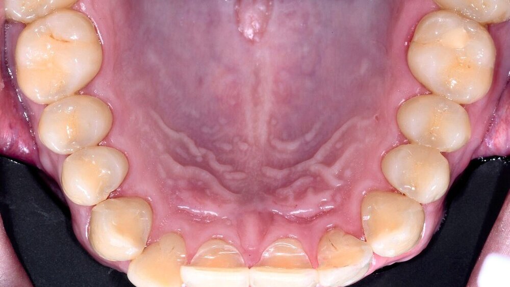
Die Kontrolle der Zahnbewegung erfolgte mit der Software „WearCompare“ (Leeds Digital Dentistry, University of Leeds, England). Nach etwa 14 Monaten Beobachtungszeit waren gleichmäßige Kontakte im Seitenzahnbereich vorhanden. Nur der Bereich 26–27 zu 36–37 zeigte weniger starke Kontaktpunkte in statischer Okklusion, was der Patient jedoch nicht als störend empfand. Durch die Stabilisierung der Bisslage waren über den weiteren Beobachtungsraum keine weiteren Reparaturfüllungen mehr notwendig. Die abschließende Softwareanalyse zeigte eine Intrusion der Unterkieferfrontzähne um circa 100 µm (Abbildung 6a) und eine Elongation der Seitenzähne um bis zu 600 µm (Abbildung 6b). Insgesamt konnte aufgrund geringfügiger Abrasionen der Kompositfüllungen nicht die vollständige Höhe der im Labor geplanten Restaurationen erreicht werden.
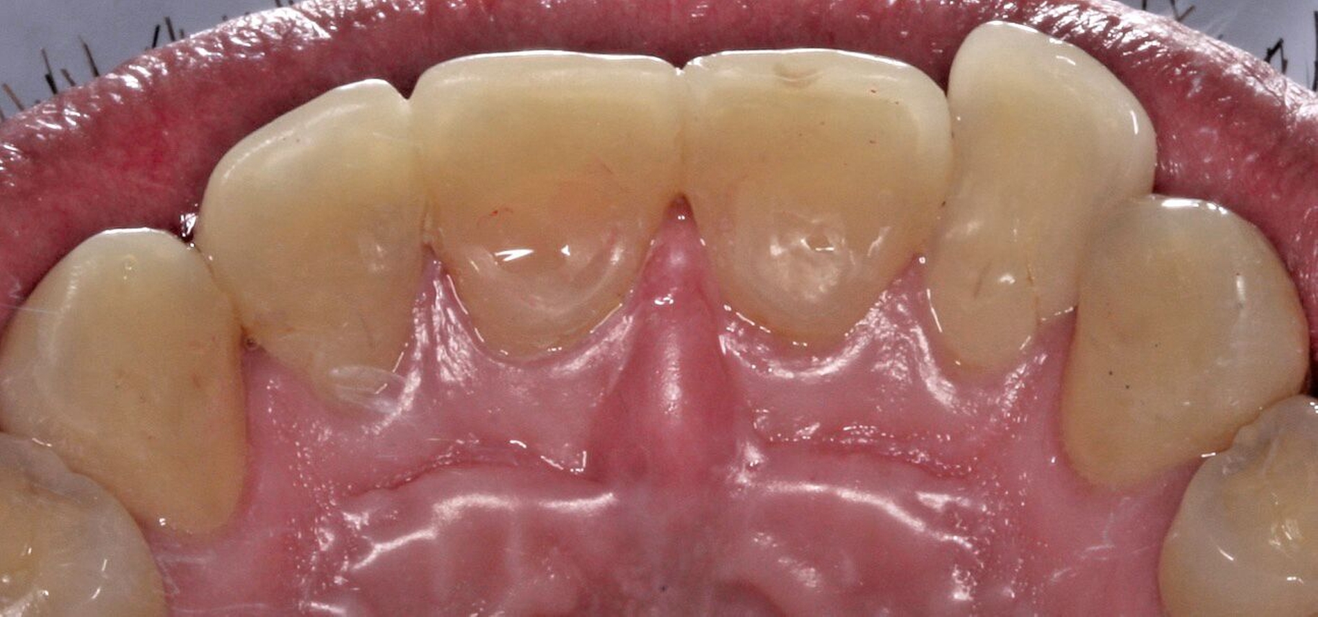
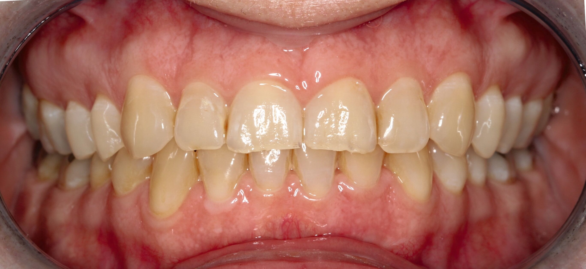
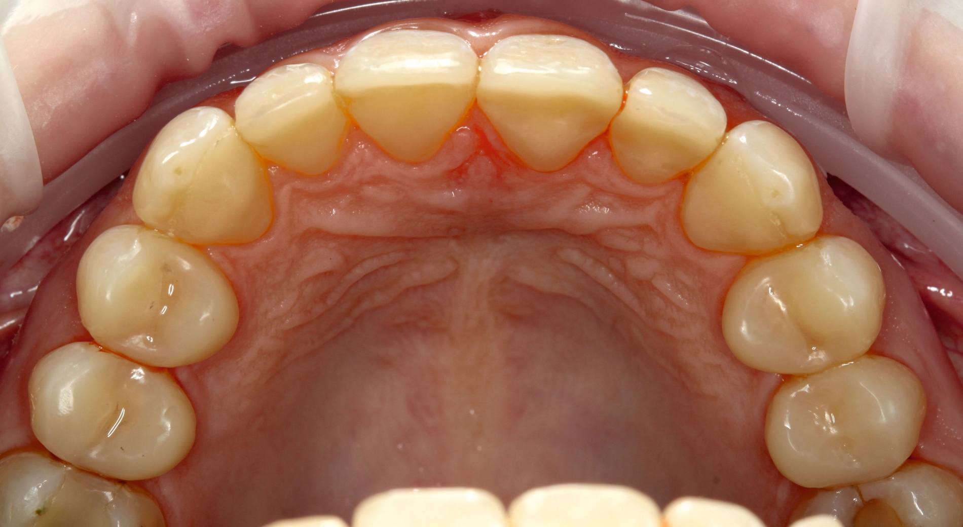
Das habituelle Pressen in Belastungssituationen hatte sich nach Aussage des Patienten verbessert, er konnte es aber nicht vollständig abstellen. Um die Kompositrestaurationen zu schützen, wurde eine harte Aufbissschiene angefertigt. Der Patient war weiterhin sehr motiviert bezüglich seiner Mundhygiene und wünschte sich eine weitere ästhetische Verbesserung. Daher wurden die vestibulären Kariesläsionen an den Zähnen 13–23 mikroinvasiv mittels ICON Vestibular (DMG, Hamburg, Deutschland) behandelt. Die tieferen Läsionen (ICDAS 3) wurden mit Komposit restauriert (Abbildung 7).
Patientenfall 2
Die zum Konsultationszeitpunkt 44-jährige, allgemeinanamnestisch unauffällige Patientin stellte sich ursprünglich wegen eines Kinnabszesses ausgehend von Zahn 32 im Zentrum ZMK der Universitätsmedizin Göttingen vor. Nach Inzision des Abszesses und erfolgreicher endodontischer Behandlung des Zahnes wünschte sie sich auch eine Versorgung der erosiven Zahnhartsubstanzdefekte im Oberkiefer, da sie Angst hatte, dass die Säureschäden weiter voranschreiten, sie weiter Zahnhartsubstanz verliert und die dünnwandigen Frontzähne frakturieren.
Bei der klinischen Befundaufnahme stellte sich ein konservierend versorgtes, adultes Gebiss mit einigen kariösen Initialläsionen dar. Aus kariologischer Sicht therapiebedürftig waren nur aktive ICDAS-3-Läsionen approximal an den Zähnen 11 und 21. Der BEWE-Score [Bartlett et al., 2008] im Oberkiefer betrug in allen Sextanten 3, wobei die erosiven Zahnhartsubstanzdefekte auf die Okklusal- und die Palatinalflächen der Oberkieferprämolaren und die Palatinalflächen der Oberkieferfrontzähne beschränkt waren (Abbildung 8). Die Oberkiefermolaren wiesen keine erosiven Defekte auf und waren suffizient mit Komposit- und Amalgamfüllungen restauriert. Das CMD-Screening war unauffällig.
Bei Erhebung der Erosionsanamnese wurde jegliche intrinsische Ursache (Ernährungsstörung, gastroösophagealer Reflux) von der Patientin als bereits ärztlich abgeklärt verneint. Nachdem sie über zwei Wochen Ernährungstagebuch geführt hatte, konnten als Säurequellen lediglich Cola Zero 100 ml ein- bis dreimal wöchentlich und der gelegentliche Konsum von sauren Salatdressings identifiziert werden, so dass eher von einem geringen Konsum saurer Nahrungsmittel und Getränke ausgegangen werden konnte.
Nach professioneller Zahnreinigung und Mundhygiene-Instruktionen (Verwendung Zinnchlorid-haltiger Zahnpasta und Mundspüllösung) erfolgten ein Scan der intraoralen Situation und eine virtuelle Bisshebung um 1,4 mm. Damit konnte ausreichend Platz für die Versorgung der erosiven Defekte im Frontzahnbereich geschaffen werden. Die Prämolaren wurden virtuell ideal modelliert und in 3D-gedruckte Modelle überführt, auf denen Schienen für den Aufbau mittels semidirekter Kompositrestaurationen angefertigt werden konnten [Attin et al., 2012]. Außerdem wurden digital Non-Prep-Veneers für die Palatinalflächen auf den Situationsmodellen designt und im CAD/CAM-Verfahren aus Kompositblöcken (Tetric CAD, Ivoclar Vivadent, Schaan, Liechtenstein) hergestellt (Abbildung 9).
Nach absoluter Trockenlegung mit Kofferdam und Anrauen der zu restaurierenden Oberflächen [Wiegand et al., 2021] erfolgte die Restauration der Prämolaren unter Verwendung der angefertigten Schienen in Total-Etch-Technik mit dem Adhäsivsystem OptiBond FL (Kerr, Kloten, Schweiz) und den Kompositen Ceram.x Spectra ST HV und SDR flow+ (Dentsply Sirona, Bensheim, Deutschland).
Die Kompositveneers von 13–23 wurden nach Herstellervorgaben konditioniert (Abstrahlen mit Aluminiumoxid 50 µm, 1,5 bar; Benetzen mit Adhese Universal (Ivoclar Vivadent, Schaan, Liechtenstein)). Nach Exkavation der Approximalkaries an den Zähnen 11 und 21 (Abbildung 10) erfolgte die Isolation mit Matrizen, um die entstandenen approximalen Defekte unmittelbar beim Einsetzen der Veneers mit dem modellierbaren Befestigungskomposit aufzufüllen.
Die Veneers wurden anschließend nach selektiver Schmelzätzung und Applikation des Universaladhäsivs Adhese Universal (Ivoclar Vivadent, Schaan, Liechtenstein) mit dem niedrigviskösen Komposit Ceram.x Spectra LV (Dentsply Sirona, Bensheim, Deutschland) adhäsiv befestigt. Nach Überschussentfernung, Feinjustierung der Okklusion und Hochglanzpolitur konnte für die Patientin ein funktionell und ästhetisch zufriedenstellendes Ergebnis erreicht werden (Abbildung 11).
Unmittelbar nach der Restauration zeigten sich nur auf den Frontzähnen und den Prämolaren statische Okklusionskontakte. In der Verlaufskontrolle nach sechs Monaten konnten dann sowohl klinisch als auch im digitalen Modell (Abbildung 12) wieder Kontakte auf allen Molaren nachgewiesen werden. Auch bei der Kontrolle 18 Monate nach Bisshebung war die Okklusion stabil.
Diskussion
Sowohl direkte (etwa semi-direkte Schienentechnik) als auch indirekte Restaurationen können für die Dahl-Technik oder zur konventionellen Bisshebung genutzt werden. Während bei der Dahl-Technik lokalisierte Restaurationen zu Zahnbewegungen (Elongation im Seitenzahnbereich, Intrusion der Front [Bhai et al., 2023]) führen, steht demgegenüber die konventionelle Bisshebung, bei der Restaurationen ohne folgende Zahnbewegungen die vertikale Dimension erhöhen.
Bei der konventionellen Bisshebung erfolgt die Versorgung aller Zähne mindestens eines Kiefers über Teil- und/oder Vollkronen. Dies bietet sich insbesondere dann an, wenn die Zähne stark vorgeschädigt oder umfassend restauriert sind. Je nach Ausgangssituation ist diese Behandlungsoption jedoch deutlich invasiver und geht meist mit dem Verlust von gesunder Zahnhartsubstanz einher. Je nach Invasivität der durchgeführten Restaurationen können zudem Folgekomplikationen wie Pulpaschädigungen auftreten. Eine größere Anhebung des Bisses ist mit dieser Technik möglich, allerdings sollte eine Vorbehandlung im Rahmen einer Schienentherapie oder einer Versorgung über provisorische Kronen erfolgen, was aber die Behandlungsdauer verlängert [DGFDT und DGZMK, 2024]. Nicht nur die initialen Behandlungskosten, auch die absehbare Notwendigkeit der Neuversorgung in der Zukunft sollte gegenüber den Patienten klar kommuniziert werden.
Auch die Bisshebung über direkte Kompositaufbauten im Seitenzahnbereich stellt eine gut dokumentierte Behandlungsoption dar, sie kommt in der Regel bei Erosionsdefekten zum Einsatz [Schmidlin et al., 2009]. Dieses additive Verfahren kann schnell durchgeführt werden und bietet einen unkomplizierten, minimalinvasiveren und kostengünstigeren Ansatz zur Korrektur von Okklusionsproblemen ohne Verlust von Zahnhartsubstanz. Allerdings bieten die Komposite heute noch nicht die gleichwertige Haltbarkeit wie beispielsweise indirekte keramische Restaurationen, insbesondere in funktionell belasteten Bereichen und bei intensivem Bruxismus [Ray-Chaudhuri et al., 2023; DGZ und DGZMK, 2024]. Dies kann zu häufiger benötigten Reparaturen führen, was die langfristigen Kosten und den Behandlungsaufwand erhöht.
Gleichzeitig besteht bei Kompositen eine ausgezeichnete Reparaturfähigkeit, was die Lebensdauer der Restaurationen verlängern kann [Kanzow und Wiegand, 2020]. Das ästhetische und funktionelle Ergebnis kann im Vergleich zu indirekten Restaurationen eher Behandler-abhängig sein, aber durch den Einsatz einer laborgefertigten Schiene zur Herstellung der Aufbauten unterstützt werden.
Neben rein restaurativen Veränderungen der Vertikaldimension kann der Biss auch über Zahnbewegungen angehoben werden. Diese können über lokalisierte Restaurationen (Dahl-Prinzip) oder durch kieferorthopädische Apparaturen erreicht werden. Im Vergleich zur Kieferorthopädie ist die Dahl-Technik weniger aufwendig und günstiger, aber die Behandlungsdauer und das Behandlungsergebnis sind schlechter vorhersehbar. Kieferorthopädische Behandlungen bieten eine präzise und langfristige Bisskorrektur, indem sie sowohl dentale als auch skelettale Diskrepanzen ausgleichen.
Auch können größere Distanzen überwunden werden, während bei der Dahl-Technik meist Distanzen von bis zu 4 mm verwendet wurden [Poyser et al., 2005]. Die Behandlungsdauer für kieferorthopädische Therapien erstreckt sich meist – wie bei der Dahl-Technik – über einen längeren Zeitraum und erfordert die Compliance des Patienten. Auch hier kann es zu Beschwerden kommen, die meist durch die Zahnbewegungen und die Apparaturen begründet sind. Zusätzlich können die Apparaturen eine ästhetische Beeinträchtigung darstellen.
Einer der Hauptvorteile der Dahl-Technik ist die Möglichkeit, die natürliche Zahnhartsubstanz zu erhalten. Das ist besonders vorteilhaft für Patienten, die die invasiveren Aspekte traditioneller restaurativer Verfahren vermeiden wollen oder bei denen bereits Defekte in den zu restaurierenden Bereichen bestehen. In einer systematischen Übersichtsarbeit zeigten solche isolierten Kompositrestaurationen im Frontzahnbereich Überlebensraten von über 90 Prozent nach 2,5 Jahren und von über 50 Prozent nach fünf Jahren [Ahmed und Murbay, 2016].
Auch falls nur ein Teil der Zähne dem gewünschten Bewegungsmuster folgt, können weitere Zähne oder auch nur Zahnflächen anschließend zum Ausgleich mit Komposit aufgebaut werden. Im Fall einer CMD-Symptomatik ist die Dahl-Technik nicht empfehlenswert, hier sollte zunächst eine Therapie stattfinden. Auf bestehende Habits hingegen kann sich die Dahl-Technik positiv auswirken, da gewohnte Positionen oder Muster aufgrund der Aufbisse nicht mehr eingenommen werden können [Ray-Chaudhuri et al., 2023]. Insgesamt kann dieser Ansatz zu schnelleren und zuverlässig vorhersehbaren Ergebnissen führen und bietet sowohl funktionelle als auch ästhetische Verbesserungen.
Die Dahl-Technik weist allerdings gewisse Limitationen und Herausforderungen auf. Ein Nachteil ist die hohe Anforderung an die Compliance des Patienten. Die Nahrungsaufnahme ist zunächst nur erschwert möglich und muss zum Beispiel durch weiche Kost angepasst werden. Ebenso entfällt der Selbstreinigungseffekt während des Kauvorgangs und muss entsprechend durch zusätzliche Mundhygienemaßnahmen ausgeglichen werden. Darüber hinaus kann die Behandlungsdauer – je nach Fortschritt – mehrere Monate in Anspruch nehmen, was zu einer gewissen Unsicherheit bezüglich der langfristigen Ergebnisse führt und Geduld aufseiten des Patienten und des Behandlers erfordert.
In einer systematischen Übersichtsarbeit stellte sich die Okklusion bei 91 Prozent der eingeschlossenen Patientinnen und Patienten nach spätestens 18 Monaten ein [Ahmed und Murbay, 2016]. Falls das gewünschte Behandlungsergebnis nicht erzielt werden kann, folgen auf diese Behandlungen gegebenenfalls weitere, für eine reguläre Bisshebung notwendige Maßnahmen. Im Unterschied dazu liefern traditionelle Methoden wie die Kieferorthopädie oder Kronen sofortige und vorhersehbare Ergebnisse, besonders in Fällen, in denen eine erhebliche Bisskorrektur erforderlich ist. Diese Methoden sind jedoch mit deutlich höheren Kosten, einer größeren Invasivität und teilweise einer ähnlich langen Behandlungsdauer verbunden.
Die Wahl der Dahl-Technik erfordert eine gründliche Aufklärung der Patienten über die notwendigen Schritte und die potenziellen Risiken. Darüber hinaus sollten die Limitationen transparent erläutert werden, damit die Behandlung mit einer realistischen Erwartungshaltung begonnen wird.
Fazit
Die für das Dahl-Prinzip klassische Herangehensweise im ersten Patientenfall – mit Kompositaufbauten ausschließlich in der Oberkieferfront – war mit deutlich mehr Geduld auf Behandler- und Patientenseite verbunden. Nach Prüfung und Bewertung aller Optionen hatte sich diese Lösung als die sinnvollste für die spezifische Ausgangssituation erwiesen. Dies wird durch das Behandlungsergebnis und die hohe Zufriedenheit des Patienten bestätigt.
Wie im zweiten Patientenfall gezeigt, kann eine Kombination verschiedener Behandlungstechniken ebenfalls ein erfolgreicher Therapieansatz sein. Die indirekten Restaurationen an den palatinalen Bereichen der vorgeschädigten Oberkieferfront in Kombination mit den direkten Kompositaufbauten im Prämolarenbereich haben zu einem schnellen und ästhetischen Behandlungsergebnis geführt.
Zusammenfassend stellt die Dahl-Technik eine vielversprechende minimalinvasive Alternative zur vollständigen Bisshebung dar. Sie bietet Vorteile in Bezug auf den Erhalt der Zahnsubstanz und bei der Kosteneffizienz. Sie ist jedoch nicht für alle Patientinnen und Patienten geeignet, insbesondere nicht bei erheblichen skelettalen Diskrepanzen, einem stark vorgeschädigten Gebiss oder dem Wunsch nach zügigen Ergebnissen.
Die Entscheidung für die Dahl-Technik, für einen konventionellen Ansatz oder für die Kombination verschiedener Maßnahmen sollte auf Grundlage der individuellen Patientenbedürfnisse, Präferenzen und klinischen Überlegungen getroffen werden, wobei die Nachhaltigkeit und die Möglichkeit von Folgebehandlungen sorgfältig zu berücksichtigen sind.
Literaturliste
Ahmed KE, Murbay S (2016): Survival rates of anterior composites in managing tooth wear: systematic review. J Oral Rehabil 43, 145–153.
Attin T, Filli T, Imfeld C, Schmidlin PR (2012): Composite vertical bite reconstructions in eroded dentitions after 5·5 years: a case series. J Oral Rehabil 39, 73–79.
Bartlett D, Ganss C, Lussi A (2008): Basic Erosive Wear Examination (BEWE): a new scoring system for scientific and clinical needs. Clin Oral Investig 12 Suppl 1, 65-68.
Bhai K, Judge R, Abduo J, Palamara J (2023): Measuring tooth movement with treatment using the Dahl principle: An observational study. J Prosthet Dent 129, 554–560.
Dahl BjL, Krogstad O, Karlsen K (1975): An alternative treatment in cases with advanced localized attrition. J Oral Rehabil 2, 209–214.
DGFDT, DGZMK (2024): S2k-Leitlinie „Okklusionsschienen zur Behandlung craniomandibulärer Dysfunktionen und zur präprothetischen Therapie", Version 1.0, AWMF-Registriernummer: 083-051, www.awmf.org/leitlinien/detail/ll/083-051.html, (Zugriff am: 06.03.2025).
DGZ, DGZMK (2024): S3-Leitlinie „Direkte Kompositrestaurationen an bleibenden Zähnen im Front- und Seitenzahnbereich", Langfassung, Version 2.0, 2024, AWMF-Registriernummer: 083-028, www.awmf.org/leitlinien/detail/ll/083-028.html, (Zugriff am: 06.03.2025).
FDI World Dental Federation (2024): Tooth Wear. Int Dent J 74, 163–164.
Gough MB, Setchell DJ (1999): A retrospective study of 50 treatments using an appliance to produce localised occlusal space by relative axial tooth movemen. Br Dent J 187, 134–139.
Hoekstra-van Hout PMJ, Schols JGJH, Mehta SB, Opdam NJM, Pereira Cenci T, Loomans BAC (2023): Posterior Dahl: A Minimally Invasive Method for the Treatment of Localized Posterior Tooth Wear. J Adhes Dent 25, 31–38.
Kanzow P, Wiegand A (2020): Retrospective analysis on the repair vs. replacement of composite restorations. Dent Mater 36, 108–118.
Loomans B, Opdam N, Attin T, Bartlett D, Edelhoff D, Frankenberger R, Benic G, Ramseyer S, Wetselaar P, Sterenborg B, et al. (2017): Severe Tooth Wear: European Consensus Statement on Management Guidelines. J Adhes Dent 19, 111–119.
Poyser NJ, Porter RWJ, Briggs PFA, Chana HS, Kelleher MGD (2005): The Dahl Concept: past, present and future. Br Dent J 198, 669–676.
Ray-Chaudhuri A, Brown T, Ray-Chaudhuri E, Critchlow S, Dubal R, Gadhia K, Tabiat-Pour S (2023): When (and when not) to use the Dahl Concept. Br Dent J 234, 155–164.
Schmidlin PR, Filli T, Imfeld C, Tepper S, Attin T (2009): Three-year evaluation of posterior vertical bite reconstruction using direct resin composite--a case series. Oper Dent 34, 102–108.
Tunkiwala A, Chitguppi R (2017): Conservative, Functional, and Esthetic Rehabilitation of Severe Palatal Erosion (Class IV) Using Modified Dahl Approach. Compend Contin Educ Dent 38, 289–294; quiz 296.
Veneziani M (2025): Composite Injection Molding Technique. Innovative Customized Hybrid Index and updated clinical procedures: Part 1. Int J Esthet Dent 20, 22–45.
Wiegand A, Lechte C, Kanzow P (2021): Adhesion to eroded enamel and dentin: systematic review and meta-analysis. Dent Mater 37, 1845–1853.

























