Kompositapplikation mit extradünner Kanüle
Im Vergleich zu anderen Kompositversorgungen weisen Klasse-V-Restaurationen kariöser und nichtkariöser Zahnhalskavitäten mit Komposit eine eingeschränkte Überlebensrate auf [Raedel et al., 2017, Ceruti et al., 2006]. Dies ist der Fall, obwohl es sich oft um die Versorgung gut zugänglicher, einflächiger Kavitäten im Frontzahn- oder Prämolarenbereich handelt.
Als Gründe für die eingeschränkte Überlebensrate werden Probleme bei der Trockenlegung der Kavität oder das Auftreten von Gingivablutungen während des Füllungsvorgangs angegeben. Ferner liegen im Zahnhalsbereich Dentinstrukturen vor, die für einen adhäsiven Verbund nicht optimal geeignet sind. So weist die Oberfläche nichtkariöser Zahnhalsläsionen eine sklerosierte, hypermineralisierte Oberfläche auf, die von Adhäsivsystemen nur eingeschränkt infiltriert werden kann [Deari et al., 2017].
Außerdem zeigt das zervikale Dentin eine für einen adhäsiven Verbund nicht gut geeignete Dentinqualität mit geringer Dichte an Dentintubuli und ungünstiger, parallel zur Oberfläche ausgerichteter Tubuli [Garberoglio, 1994].
Zudem wird diskutiert, dass Stauchungsprozesse von Zähnen, wie sie bei parafunktionellen Fehlbelastungen auftreten können, ein Stressmoment im Zahnhalsbereich auslösen [Duangthip et al., 2017]. Denkbar ist, dass dadurch der Verbund von Füllungsmaterialien in diesem Bereich beeinträchtigt werden kann. Diese Auffassung ist in der Literatur aber umstritten [Senna et al., 2012; Silva et al., 2013].
Der Bereich des Zahnhalses ist im Hinblick auf eine Trockenlegung und Kontaminationskontrolle während des Füllungsvorgangs sehr delikat. Die Anwendung von Kofferdam hat sich in kontrollierten Studien als positiver Einflussfaktor auf das klinische Ergebnis erwiesen [Mahn et al., 2015]. Allerdings scheint das Anlegen von Kofferdam in der Füllungstherapie noch immer nicht sehr verbreitet zu sein und wird im Rahmen von Klasse-V-Versorgungen als sehr anspruchsvoll angesehen [Ceruti et al., 2006].
Bei der Präparation einer Zahnhalskavität kommt es häufig zu kleineren Verletzungen und damit Blutungen der angrenzenden, oftmals entzündeten Gingiva. Diese Blutungen lassen sich mit geeigneten Hämostyptika stoppen. Sollte es dabei zur Kontamination des Dentinsubstrats mit dem Hämostyptikum kommen, lässt sich diese mit geeigneten Maßnahmen so handhaben, ohne dass eine Beeinträchtigung des Haftverbundes des Adhäsivsystems zum Dentin auftritt [Groddeck et al., 2017].
Zur Kontaminationskontrolle einer Zahnhalskavität und zum Verdrängen der angrenzenden Gingiva werden häufig Retraktionsfäden in den Sulkus eingelegt. Damit wird zum einen bewirkt, dass das Austreten von Sulkusflüssigkeit weitestgehend blockiert und die Kavität während des Füllungsvorgangs nicht mit Sulkusflüssigkeit kontaminiert wird. Zum anderen wird die Gingiva durch den eingebrachten Faden so weit verdrängt, dass kein Kontakt der Gingiva zum zervikalen Rand der Kavität mehr vorhanden ist und eine kontrollierte Applikation von Adhäsiv und Füllungsmaterial in diesem Bereich möglich ist.
Allerdings wird es vermutlich vielen Anwendern – wie auch dem Autor – passieren, dass sie beim Einbringen von hochviskosem Komposit in eine vorbereitete Zahnhalskavität mit dem Modellierspatel die Gingiva berühren und erneut eine Blutung auslösen. Ein weiteres Problem bei der Versorgung von Läsionen im Zahnhalsbereich ist möglicherweise, dass in der Praxisroutine diesen auf den ersten Blick gut zugänglichen und einfachen Kavitäten für den Füllvorgang nicht ausreichend Zeit in der Planung eingeräumt wird.
Um Probleme bei der Gestaltung von Kompositrestaurationen zu umgehen, habe ich eine spezielle Technik mit dem Namen BERK® entwickelt. Das Akronym BERK® steht für Basic Evolutionary Restaurative Key und umfasst die strategisch gezielte Applikation von Füllungsmaterial zur schrittweisen Wiederherstellung der ursprünglichen Zahnmorphologie. Diese Technik kann bei allen Kavitätenklassen angewendet werden und wird hier im Rahmen der Versorgung einer Klasse-V-Komposit-Restauration detailliert dargestellt.
Fallbeschreibung
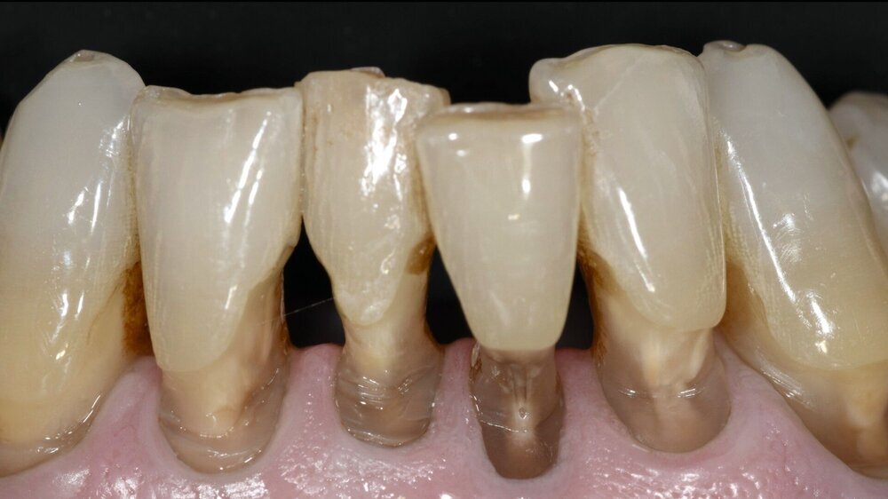
Ein sich seit vielen Jahren bei mir in Behandlung befindlicher 75-jähriger Patient klagte zunehmend über Hypersensibilitäten an den unteren Frontzähnen, die im Zahnhalsbereich ausgeprägte Zahnhartsubstanzdefekte aufwiesen (Abbildungen 1a–1d). Die Mundhygiene wurde als gut eingestuft. Möglicherweise waren die vorliegenden Zahnhalsdefekte als sogenannte Putzdefekte zu klassifizieren, wie sie bei intensiven Mundhygienebemühungen häufig zu beobachten sind.
Mit zunehmendem Alter hatte der Patient allerdings Mühe, die schwer zugänglichen Defekte adäquat zu reinigen. Zudem musste man befürchten, dass es bei weiterem Abbau der Zahnhartsubstanz in diesen Bereichen zu einem Verlust der Zahnintegrität oder einer Pulpaexposition kommt. Daher wurde entschieden, die besonders stark betroffenen Zähne 31, 32, 41 und 42 mit Kompositrestaurationen im Zahnhalsbereich zu versorgen.
Die Zähne reagierten positiv auf einen Sensibilitätstest mit Kältespray und wiesen Sondierungstiefen von 2-3 mm Tiefe auf. Die Zähne wurden wie nachfolgend beschrieben versorgt. Nach fünf Jahren Beobachtungszeit sind die Restaurationen des nun 80-jährigen Patienten bis auf kleine Defekte im zervikalen Anteil als akzeptabel einzustufen. Die Gingiva weist eine über die Beobachtungszeit leicht progrediente Rezession auf.
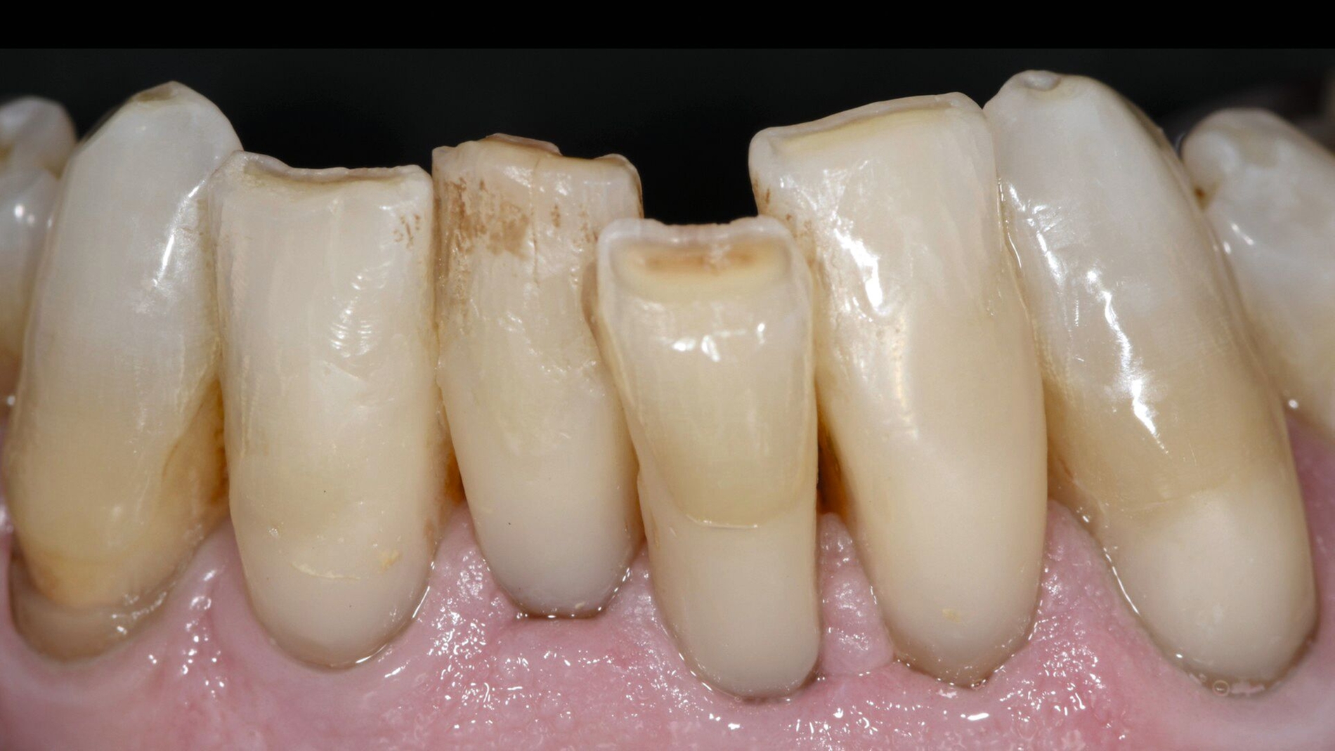
Zwei Jahre nach Restauration der unteren Inzisivi wurde deutlich, dass der Patient auch an Zahn 33 den vorliegenden Zahnhalsdefekt nicht mehr ausreichend reinigen konnte. Daher wurde entschieden, auch diesen Zahn mit einer Kompositrestauration zu versorgen (Abbildung 1d).
Vorgehensweise
Die Vorgehensweise bei der BERK®-Technik wird am Fall des Eckzahns 33 genauer dargestellt. Die Ausgangssituation zeigt einen tiefen zervikalen Defekt mit zervikal epigingivaler Randbegrenzung (Abbildung 2a). Nach Legen eines Retraktionsfadens lag der gesamte Rand der Kavität supragingival und war gut zugänglich (Abbildung 2b).
Die sklerosierte Dentinoberfläche der Kavität wurde mit rotierenden Diamantschleifern aufgefrischt. Mit einem kugelförmigen Diamantschleifer wurde eine feine, muldenförmige Akzentuierung des Randes vorgenommen. Der zervikal exponierte Anteil der Wurzeloberfläche wurde mit oszillierenden, diamantbelegten Feilen gereinigt und angefrischt. Die Verwendung von Feilen im epigingivalen Bereich erlaubt eine schonende Vorgehensweise ohne Verletzung der Gingiva.
Im Schmelzrandbereich wurde eine Anschrägung mit einem flammenförmigen Diamantschleifer vorgenommen. Anschließend wurden die Kavität und die Randbereiche zusätzlich mit einem Pulverstrahlgerät unter Verwendung von 50 µm-Aluminiumoxid-Pulver gereinigt. Nach Applikation von 37,5 Prozent Phosphorsäure für circa 15 Sekunden auf Schmelz und Dentin wurde ein Zwei-Flaschen-Adhäsiv im Etch & Rinse-Verfahren nach Herstellerangaben angewendet und lichtpolymerisiert. Um eine optimale zervikale Adhäsion zu gewährleisten und spätere Verfärbungen zu vermeiden, sollte das gesamte Adhäsionsverfahren auch die angrenzende freiliegende und gereinigte Wurzeloberfläche umfassen.
Im nächsten Schritt wurde ein fließfähiges Komposit unter Verwendung einer dünnen Luer-Lock-Applikationskanüle vom Typ 45 (Innendurchmesser circa 0,25 mm) portionsweise auf den zervikalen Kavitätenrand aufgetragen (Abbildungen 2c und 2d). Dabei erfolgte das Aufbringen des fließfähigen Komposits in circa fünf kleinen Portionen. Nach Aufbringen der ersten Portion erfolgte eine kurze Lichthärtung für circa 2–3 Sekunden. Anschließend erfolgte das gezielte Auftragen der zweiten Portion, wieder gefolgt von einem kurzen Lichthärtungsimpuls.
Nach diesem Schema wurden weitere Portionen des fließfähigen Materials appliziert, bis eine Art „Wanne“ im zervikalen Bereich ausgeformt war. Nach Aufbringen der letzten Portion wurde eine Lichtpolymerisation von 20 Sekunden vorgenommen. Im Anschluss daran konnte hochviskoses Kompositmaterial mit einem kleinen Spatel in die Kavität appliziert und abschließend für 20 Sekunden lichtpolymerisiert werden (Abbildung 2e).
Die Ausarbeitung und Politur der Restauration erfolgten mit oszillierenden, diamantbelegten Feilen, Steinchen und Silikonpolierern (Abbildung 2f). Nach einem halben Jahr sowie drei Jahre nach Applikation erwies sich die Restauration weiterhin als funktionstüchtig (Abbildungen 2g und 2h).
Abbildung 3 zeigt einen weiteren Fall nach sieben Jahren Tragedauer, bei dem die beschriebene Technik bei der Füllungslegung zur Anwendung kam.


Kritische Würdigung des Vorgehens
Dieser Beitrag mit der hier beschriebenen Technik ist, soweit dem Autor bei der Recherche bekannt geworden ist, die erste Beschreibung ihrer Art zur Wiederherstellung von Klasse-V-Läsionen. Die BERK®-Technik, bei der zunächst auf eine sichere Versiegelung des kritischen, gingivanahen zervikalen Randbereichs fokussiert wird, erleichtert dem Behandler in den darauffolgenden Schritten die saubere Applikation des weiteren Füllungsmaterials.
Die vorsichtig und punktuell-gezielt zur Versiegelung angelegte „Wanne“ führt zu einer Wegverlagerung des Randes von der Gingiva. Sie stellt sicher, dass es beim weiteren Einbringen von Füllungsmaterial in die Kavität nicht mehr zu einem Konflikt mit der angrenzenden Gingiva kommt und sich der Behandler vollends auf die übrigen Anteile der Kavität konzentrieren kann.
Die fertige „Wanne“ dient quasi als eine Art Matrize während der folgenden Schritte. Die Technik eignet sich somit nicht nur für Klasse-V-Kavitäten, sondern für alle direkten Restaurationen, bei denen zunächst kritische (zum Beispiel Gingiva-nahe) Bereiche gezielt aufgebaut und versiegelt werden, bevor weitere Füllungsschritte erfolgen.
Bei der Restauration der Kavität wurde zur Kontaminationskontrolle dem Legen eines Retraktionsfadens gegenüber der Applikation von Kofferdam der Vorzug gegeben. Dies geschah im Einklang mit Beschreibungen in der Literatur, die zeigen, dass bei sorgfältiger Vorgehensweise die beiden Methoden im Hinblick auf die Langlebigkeit von Klasse-V-Restaurationen ebenbürtig sind [Loguercio et al., 2015].
Wenn jedoch die Kontamination einer Kavität während des gesamten Arbeitsprozesses schwer zu kontrollieren ist, empfiehlt es sich immer, einen Kofferdam zu verwenden. Die Dentinoberflächen wurden mit Schleifern beziehungsweise durch Sandstrahlen angefrischt und gereinigt, was bei erodiertem oder sklerosiertem Dentin für den optimalen Haftverbund eines Adhäsivs zwingend notwendig ist [Deari et al., 2017; Zhang et al., 2024; Lima et al., 2021].
Häufig beeinträchtigt eine Blutung der angrenzenden Gingiva nach der Kavitätenpräparation von Klasse-V-Läsionen die Haftschritte und die Anwendung des Komposits. In diesen Fällen ist es wichtig, dass vor der Anwendung des Retraktionsfadens eine vollständige Blutstillung erreicht wird. Die Blutstillung kann beispielsweise mit Aluminiumchlorid oder Eisensulfat als blutstillende Mittel erreicht werden. Es ist zu beachten, dass alle Hämostyptika die Bildung eines Präzipitats auf den Kavitätenoberflächen zur Folge haben.
In Bezug auf die Kontamination mit einem der beiden oben genannten Mittel ergab eine Studie, dass die anschließende Verwendung eines Etch-&-Rinse-Adhäsivs zu einer besseren Randdichtigkeit von Kompositrestaurationen führte als die Verwendung eines Self-Etch-Adhäsivs [Groddeck et al., 2017].
Um jegliche Art von Präzipitaten und Verunreinigungen zu entfernen, empfehle ich, die Oberfläche vor dem Auftragen der Adhäsive durch Sandstrahlen mit Aluminiumoxid zu reinigen. Dies muss natürlich vorsichtig erfolgen, um keine erneuten Blutungen der Gingiva zu provozieren. Die Erfahrung zeigt jedoch, dass ein gut angelegter Retraktionsfaden die Gingiva in der Regel ausreichend schützt, sofern vor Applikation des Retraktionsfadens eine vollständige Blutstillung erreicht werden konnte.
Wenn eine Kontamination mit Speichel oder Blut auftritt und es nicht möglich ist, die Oberflächen erneut zu sandstrahlen, werden in der Literatur folgende Empfehlungen gegeben [Duarte et al., 2005; Yoo und Pereira, 2006; Yoo et al., 2006; Sattabanasuk et al., 2006; Chang et al., 2010], die je nach Zeitpunkt der Kontamination, nach vorheriger Spülung mit Wasser und anschließender Trocknung, variieren:
Kontamination tritt auf:
nach Ätzen mit Phosphorsäure: -> Ätzen wiederholen, gegebenenfalls für eine kürzere Zeit,
nach Primer-Auftrag: -> Primer-Auftrag wiederholen,
nach Bonding-Auftrag: -> Primer- und Bonding-Auftrag wiederholen. Die Einwirkzeit des Primers sollte immer verlängert werden.
Im vorliegenden Fall wurde die Wurzeloberfläche am zervikalen Rand ebenfalls leicht präpariert, um anhaftende Verfärbungen oder Zahnstein und Wurzelzementreste zu entfernen [Freeman, 1989], die eine optimale Haftung in diesem Bereich verhindern und spätere Randverfärbungen begünstigen würden. Sollte dennoch später eine ästhetisch beeinträchtigende Verfärbung der Ränder auftreten, kann diese oft durch erneutes Polieren mit oder ohne vorheriges Sandstrahlen oder durch eine schmale Reparaturfüllung aus Komposit im Randbereich nach Sandstrahlen und vollständiger Adhäsionsbehandlung korrigiert werden [Foitzik und Attin, 2004].
Bei der beschriebenen Technik zur schrittweisen Vereinfachung der Morphologie wurden ein fließfähiges und ein hochviskoses Komposit-Füllungsmaterial verwendet. Eine häufig gestellte Frage ist, ob fließfähige Komposite weniger farbstabil sind als hochviskose Materialien. Hintergrund ist, dass fließfähige Komposite auf Kunststoffbasis einen geringeren Füllstoff- und einen höheren Kunststoffmatrixanteil als ihre hochviskosen Pendants haben, wodurch sie im Laufe der Zeit mehr Wasser und Verfärbungsstoffe aufnehmen können.
Leider gibt die Literatur keine einfache Antwort darauf, da die Farbstabilität von verschiedenen Faktoren abhängt, wie zum Beispiel der Art der Kompositmatrix, der Art der Polierverfahren, der Art der Verfärbungen (Kaffee, Tee, Nikotin oder Mundspülungen), der Art der Füllstoffe et cetera [Paolone et al., 2023b; Paolone et al., 2023a; Paolone et al., 2023c; Uctasli et al., 2023; Ömeroğlu und Hekimoğlu, 2025].
Eine systematische Übersichtsarbeit klinischer Studien mit einer Beobachtungsdauer von maximal drei Jahren ergab, dass Komposite beider Viskositäten gleichermaßen für die Restauration von Kavitäten der Klasse V geeignet sind, auch hinsichtlich der Farbstabilität [Shaalan et al., 2017].
Da dies für längere Zeiträume möglicherweise nicht sicher zutrifft, ziehe ich es vor, den Hauptteil der Kavität mit einem hochgefüllten Komposit zu restaurieren. Mögliche Unterschiede in den Resultaten von Restaurationen mit diesen beiden Materialviskositäten können jedoch auch auf die individuelle Handhabung und Präferenz des jeweiligen Behandlers zurückzuführen sein.
Die Anwendung der extradünnen Kanüle zur Applikation des fließfähigen Komposits erfordert etwas Kraftaufwand, bietet aber verschiedene Vorteile, die nicht nur in der beschriebenen Klasse-V-Situation hilfreich sind. So lässt sich das Material sehr zielgerichtet und kontrolliert sowie blasenfrei applizieren. Dazu ist es empfehlenswert, die Arbeitsschritte unter einer hinreichenden Vergrößerungshilfe vorzunehmen.
Die dünne Kanüle kann sehr einfach so gebogen werden, dass das Komposit in jeden Bereich und Winkel einer Kavität direkt optimal platziert werden kann. Das Einbringen kleiner Portionen, die durch ein kurzes Anhärten („tack-curing“) quasi „eingefroren“ werden, verhindert das Auftreten von Überschüssen, wie sie sonst beim Einbringen größerer Portionen leicht auftreten. Die Vorgehensweise des tack-curing mit einer abschließenden langen Polymerisation hat in verschiedenen Studien gezeigt, dass es nicht zu einer Verschlechterung der Materialeigenschaften von lichthärtenden Materialien führt [Soh und Yap, 2004; Yap et al., 2004; Stegall et al., 2017; Tauböck et al., 2014].
Das in diesem Artikel vorgestellte Verfahren hat das Potenzial, die Qualität von adhäsiven Restaurationen zu verbessern und die Behandlung von Klasse-V-Kavitäten (und anderen Kavitätenformen) zuverlässiger und vorhersagbarer zu machen.
Der Artikel erschien im Original auf Englisch im Swiss Dental Journal (SDJ) [Attin, 2025]. Wir danken für die Genehmigung der Publikation in deutscher Sprache in den zm. Die Behandlung der gezeigten Fälle erfolgte unter Mithilfe der Dentalassistentinnen Lirie Bllaca und Elsa Islami, denen an dieser Stelle für ihre aufmerksame Unterstützung gedankt sei.
Literaturliste
Attin, T.: Introduction of a new technique for adhesive restorations of cervical lesions. Swiss Dent J 135, 43-51 (2025).
Ceruti, P., Menicucci, G., Mariani, G. D., Pittoni, D., Gassino, G.: Non carious cervical lesions. A review. Minerva Stomatol 55, 43-57 (2006).
Chang, S. W., Cho, B. H., Lim, R. Y., Kyung, S. H., Park, D. S., Oh, T. S., Yoo, H. M.: Effects of blood contamination on microtensile bond strength to dentin of three self-etch adhesives. Oper Dent 35, 330-336 (2010).
Deari, S., Wegehaupt, F. J., Tauböck, T. T., Attin, T.: Influence of different pretreatments on the microtensile bond strength to eroded dentin. J Adhes Dent 19, 147-155 (2017).
Duangthip, D., Man, A., Poon, P. H., Lo, E. C. M., Chu, C. H.: Occlusal stress is involved in the formation of non-carious cervical lesions. A systematic review of abfraction. Am J Dent 30, 212-220 (2017).
Duarte, S. J., Lolato, A. L., de Freitas, C. R., Dinelli, W.: SEM analysis of internal adaptation of adhesive restorations after contamination with saliva. J Adhes Dent 7, 51-56 (2005).
Foitzik, M., Attin, T.: [Filling revision--possibilities and execution]. Schweiz Monatsschr Zahnmed 114, 1003-1011 (2004).
Freeman, E. Periodontium. In: Ten Cate, A. R., Editor. Oral histology: development, structure and function. St. Louis, Baltimore, Toronto: C.V. Mosby Company; 1989. p. 244-774.
Garberoglio, P.: The ratio of the densities of dentinal tubules on the cervical and axial walls in cavities. Quintessence Int 25, 49-52 (1994).
Groddeck, S., Attin, T., Tauböck, T. T.: Effect of cavity contamination by blood and hemostatic agents on marginal adaptation of composite restorations. J Adhes Dent 19, 259-264 (2017).
Lima, V. P., Soares, K., Caldeira, V. S., Faria-E-Silva, A. L., Loomans, B., Moraes, R. R.: Airborne-particle abrasion and dentin bonding: Systematic review and meta-analysis. Oper Dent 46, E21-E33 (2021).
Loguercio, A. D., Luque-Martinez, I., Lisboa, A. H., Higashi, C., Queiroz, V. A., Rego, R. O., Reis, A.: Influence of isolation method of the operative field on gingival damage, patients’ preference, and restoration retention in noncarious cervical lesions. Oper Dent 40, 581-593 (2015).
Mahn, E., Rousson, V., Heintze, S.: Meta-analysis of the influence of bonding parameters on the clinical outcome of tooth-colored cervical restorations. J Adhes Dent 17, 391-403 (2015).
Ömeroğlu, M. K., Hekimoğlu, H. C.: Evaluation of colour stability, water sorption and solubility of no-cap flowable bulk fill resin composites. BMC Oral Health 25, 604 (2025).
Paolone, G., Mandurino, M., De Palma, F., Mazzitelli, C., Scotti, N., Breschi, L., Gherlone, E., Cantatore, G., Vichi, A.: Color stability of polymer-based composite CAD/CAM blocks: a systematic review. Polymers (Basel) 15, 464 (2023a).
Paolone, G., Mandurino, M., Scotti, N., Cantatore, G., Blatz, M. B.: Color stability of bulk-fill compared to conventional resin-based composites: A scoping review. J Esthet Restor Dent 35, 657-676 (2023b).
Paolone, G., Pavan, F., Mandurino, M., Baldani, S., Guglielmi, P. C., Scotti, N., Cantatore, G., Vichi, A.: Color stability of resin-based composites exposed to smoke. A systematic review. J Esthet Restor Dent 35, 309-321 (2023c).
Raedel, M., Hartmann, A., Priess, H. W., Bohm, S., Samietz, S., Konstantinidis, I., Walter, M. H.: Re-interventions after restoring teeth-Mining an insurance database. J Dent 57, 14-19 (2017).
Sattabanasuk, V., Shimada, Y., Tagami, J.: Effects of saliva contamination on dentin bond strength using all-in-one adhesives. J Adhes Dent 8, 311-318 (2006).
Senna, P., Del Bel Cury, A., Rösing, C.: Non-carious cervical lesions and occlusion: a systematic review of clinical studies. J Oral Rehabil 39, 450-462 (2012).
Shaalan, O. O., Abou-Auf, E., El Zoghby, A. F.: Clinical evaluation of flowable resin composite versus conventional resin composite in carious and noncarious lesions: Systematic review and meta-analysis. J Conserv Dent 20, 380-385 (2017).
Silva, A. G., Martins, C. C., Zina, L. G., Moreira, A. N., Paiva, S. M., Pordeus, I. A., Magalhães, C. S.: The association between occlusal factors and noncarious cervical lesions: a systematic review. J Dent 41, 9-16 (2013).
Soh, M. S., Yap, A. U.: Influence of curing modes on crosslink density in polymer structures. J Dent 32, 321-326 (2004).
Stegall, D., Tantbirojn, D., Perdigão, J., Versluis, A.: Does tack curing luting cements affect the final cure. J Adhes Dent 19, 239-243 (2017).
Tauböck, T. T., Feilzer, A. J., Buchalla, W., Kleverlaan, C. J., Krejci, I., Attin, T.: Effect of modulated photo-activation on polymerization shrinkage behavior of dental restorative resin composites. Eur J Oral Sci 122, 293-302 (2014).
Uctasli, M. B., Garoushi, S., Uctasli, M., Vallittu, P. K., Lassila, L.: A comparative assessment of color stability among various commercial resin composites. BMC Oral Health 23, 789 (2023).
Yap, A. U., Soh, M. S., Han, T. T., Siow, K. S.: Influence of curing lights and modes on cross-link density of dental composites. Oper Dent 29, 410-415 (2004).
Yoo, H. M., Oh, T. S., Pereira, P. N.: Effect of saliva contamination on the microshear bond strength of one-step self-etching adhesive systems to dentin. Oper Dent 31, 127-134 (2006).
Yoo, H. M., Pereira, P. N.: Effect of blood contamination with 1-step self-etching adhesives on microtensile bond strength to dentin. Oper Dent 31, 660-665 (2006).
Zhang, G., He, W., Ding, N., Su, Y., Yu, G.: Sandblasting increases the microtensile bond strength between resin and sclerotic dentin in noncarious cervical lesions. Am J Dent 37, 121-125 (2024).









