Sie wurden erfolgreich abgemeldet!

Belastungszeitpunkt bestimmen

GPS für Implantatstabilität

Implantologie
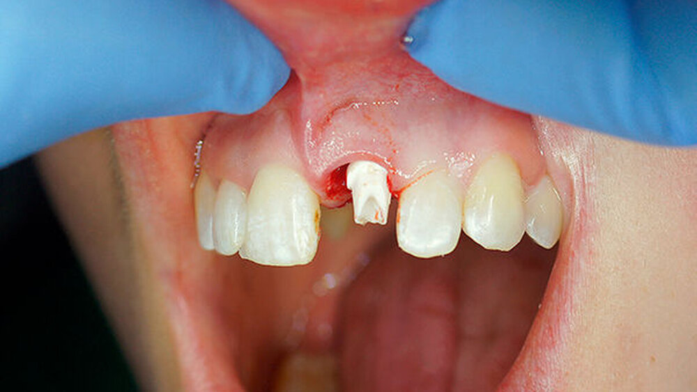
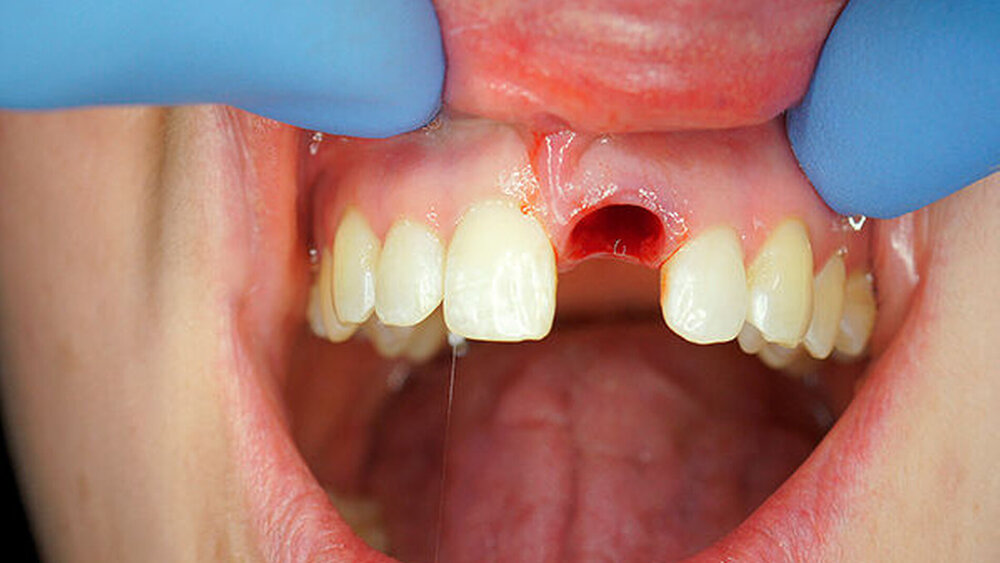
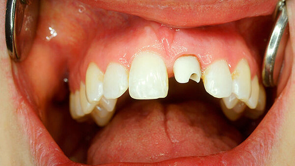
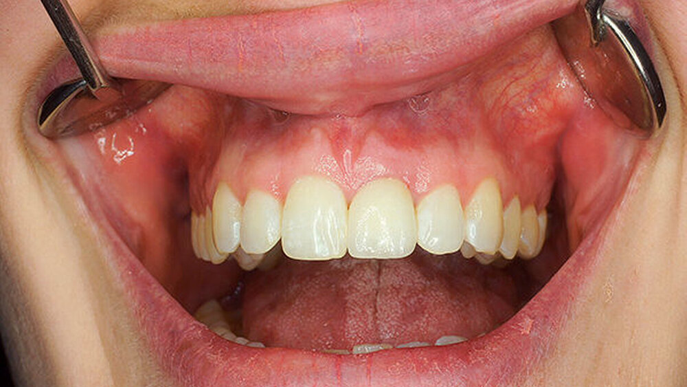
Die ISQ-Messung hilft dem Behandler, Implantate einfach, schnell und sicher zu versorgen. Die Orientierung allein am Drehmoment reicht nicht aus, um den richtigen Belastungszeitpunkt vorhersagbar zu bestimmen, meint Dr. Harald P. Hüskens. Im Interview skizziert er die Vorteile der ISQ-Diagnostik.

Die Orientierung allein am Drehmoment reicht nicht aus, um den richtigen Belastungszeitpunkt vorhersagbar zu bestimmen. Im Interview skizziert Dr. Harald P. Hüskens die Vorteile der ISQ-Diagnostik.

Melden Sie sich hier zum zm Online-Newsletter an

Die aktuellen Nachrichten direkt in Ihren Posteingang

zm Online-Newsletter


Sie interessieren sich für einen unserer anderen Newsletter?
Hier geht zu den Anmeldungen zm starter-Newsletter und zm Heft-Newsletter.

Zum Seitenanfang springen