Permadental: Monolithisches Zirkon auch für den anterioren Bereich?
Frage: Haben aktuelle Weiterentwicklungen monolithischer Werkstoffe durch die Dentalindustrie Ihre Empfehlungen für Patienten verändert? Frau Dr. Schmitz:Grundsätzlich beraten wir unsere Patienten sehr ausführlich zu den interessanten Möglichkeiten mit neuen Materialien. Dadurch hat in den letzten Jahren das monolithische Zirkon bei uns mindestens im Seitenzahnbereich die konventionelle VMK-Versorgung fast vollständig verdrängt. Insbesondere die enorme Stabilität des ML (Multi Layered) und das daraus resultierende Indikationsspektrum machen das Zirkon für mich persönlich zu einem echten Multitalent.
Frage: Welche Vorteile bringt denn die große Stabilität?Herr Dr. Grevener:Diese besonderen Materialeigenschaften erlauben uns sehr großspannige Brücken zu planen. Es gibt da fast keine Limitierungen mehr. Außerdem gehören ohne manuell aufgebrachte Verblendungen natürlich Sprünge und Chipping der Vergangenheit an. Das bringt besonders für große Brückenversorgungen ein dickes Plus an Sicherheit.
Frau Dr. Schmitz:Nicht zu vergessen die geringere Materialstärke, die benötigt wird. Wir müssen heute für den Zahntechniker nicht mehr so viel Platz schaffen, wie noch vor einigen Jahren bei der VMK-Technik. Das spart Zeit bei der Präparation und schont Zahnhartsubstanz und Pulpa.
Frage: Große Zirkon-Anbieter werben in letzter Zeit mit einer deutlich erhöhten Transluzenz bei ihren monolithischen Materialien. Was sind da Ihre Erfahrungen?Herr Dr. Grevener:Patienten erwarten natürlich im anterioren Bereich auch von preiswerteren Lösungen eine gute Ästhetik. Darum waren wir anfangs ein wenig skeptisch, aber durchaus interessiert. Wir haben es irgendwann einfach ausprobiert. Wenn eine der angebotenen 16 Vita-Standardfarben passt, ist das Ergebnis schon recht gut.
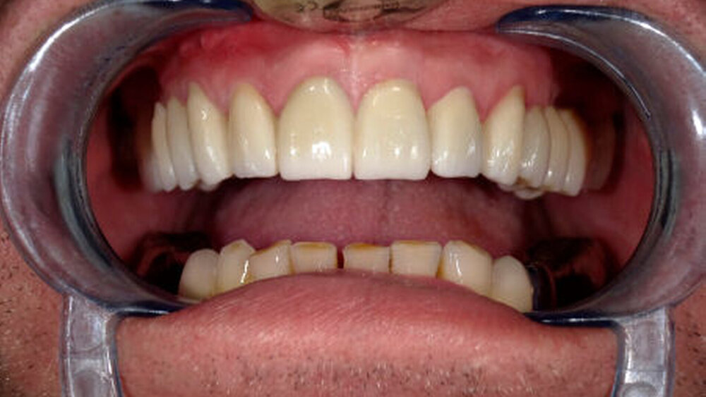
Frage: Sie erreichen also mit monolithischem Zirkon eine Ästhetik, die auch in der Front überzeugen kann?Frau Dr. Schmitz:Für viele Patientensituationen trifft das zu. Durch das Zusammenspiel von erhöhter Transluzenz und einem natürlichen Farbverlauf beim UTML-Zirkon erzielt man jetzt befriedigende Ergebnisse. Aufwändige, und natürlich Kosten produzierende Individualisierungsmaßnahmen, wie zum Beispiel ein cut-back, entfallen einfach.
Frage: Aber für mehr Ästhetik durch das transluzentere UTML-Material akzeptieren Ihre Patienten dann doch wieder einen höheren Preis?Herr Dr. Grevener:Der Preisunterschied zwischen Monozir und Monozir Ultra ist bei unserem Zahnersatzanbieter Permadental so gering, dass sich eigentlich jeder Patient bei einer Versorgung im sichtbaren Bereich für das ästhetisch anspruchsvollere UTML entscheidet.
Frage: Also wird der monolithische Zahnersatz für Ihre Patienten, egal ob ML oder UTML, grundsätzlich im Ausland gefertigt?Frau Dr. Schmitz:Nein, das können wir von Fall zu Fall zusammen mit dem Patienten entscheiden. Außer unserem Labor vor Ort liefert uns auch Permadental je nach Wunsch monolithische Kronen und Brücken aus Ihrem deutschen Fertigungszentrum Modern Dental 3D Solutions in Emmerich, oder eben aus dem Großwirtschaftsraum Hongkong. Der Herstellungsort spielt für unsere Patienten fast keine Rolle mehr. Wirklich wichtig sind gute Qualität und ein interessanter Preis.
Herr Dr. Grevener:Der Indikationsbereich des Materials mit erhöhter Transluzenz (UTML) ist aber zurzeit noch auf 3-gliedrige Brücken beschränkt. Für ML, also multi-layered, gibt es da praktisch keine Einschränkung mehr. Deswegen können wir mit einer Kombination aus beidem schon jetzt sehr viele Versorgungen realisieren: Monozir für den Seitenzahnbereich und Monozir Ultra für die Front. Patienten erhalten in jedem Fall eine tolle Ästhetik und eine hervorragende Passung – und sparen dabei viel Geld.
Frau Dr. Schmitz:… was uns natürlich sehr im Beratungsgespräch hilft. Immer seltener wird eine nötige Versorgung aus rein finanziellen Gründen verschoben oder sogar abgelehnt. Selbst die komplette Sanierung eines Kiefers, oder gar eine zeitgleiche Versorgung von UK und OK nur aus ästhetischen Gründen, findet wieder häufiger statt.
Frage: Auch in diesem Fall ist also nur Monozir und Monozir Ultra zum Einsatz gekommen?Frau Dr. Schmitz:Das ist richtig. Besonders bei so großen Versorgungen ist es wichtig, zum Schutz der Antagonisten, selbst nach einer nur punktuellen Einschleifmaßnahme, wieder eine glatte Oberfläche herzustellen. Das ist aber mit den richtigen Gummipolierern kein Problem.
Herr Dr. Grevener:Alles in allem sind unsere Patienten und wir sehr zufrieden mit den neuen Zirkon-Werkstoffen und den wirtschaftlichen Möglichkeiten, die sich, besonders in Zusammenarbeit mit Permadental, dadurch eröffnet haben.





