CMD-Management in der Praxis
Laut DGZMK und AFDT ist die Untersuchung und gegebenenfalls die Behandlung des Kiefergelenks vor jeder kieferorthopädischen Bissumstellung aus therapeutischen und forensischen Gründen unabdingbar (auch bei Kindern und Jugendlichen).
Die Malokklusion (insbesondere Kl II und unilateraler Kreuzbiss) ist ein Teil der multifaktoriellen Genese der CMD. Bewährt hat sich der AquaSplint, insbesondere bei der Ermittlung einer schmerzfreien therapeutischen Bisslage zum Zwecke einer anschließenden kieferorthopädischen Bissumstellung und bei der effektiven CMD-Behandlung/Schmerzlinderung vor, während und nach einer kieferorthopädischen Behandlung oder nach einer chirurgischen Bissumstellung.
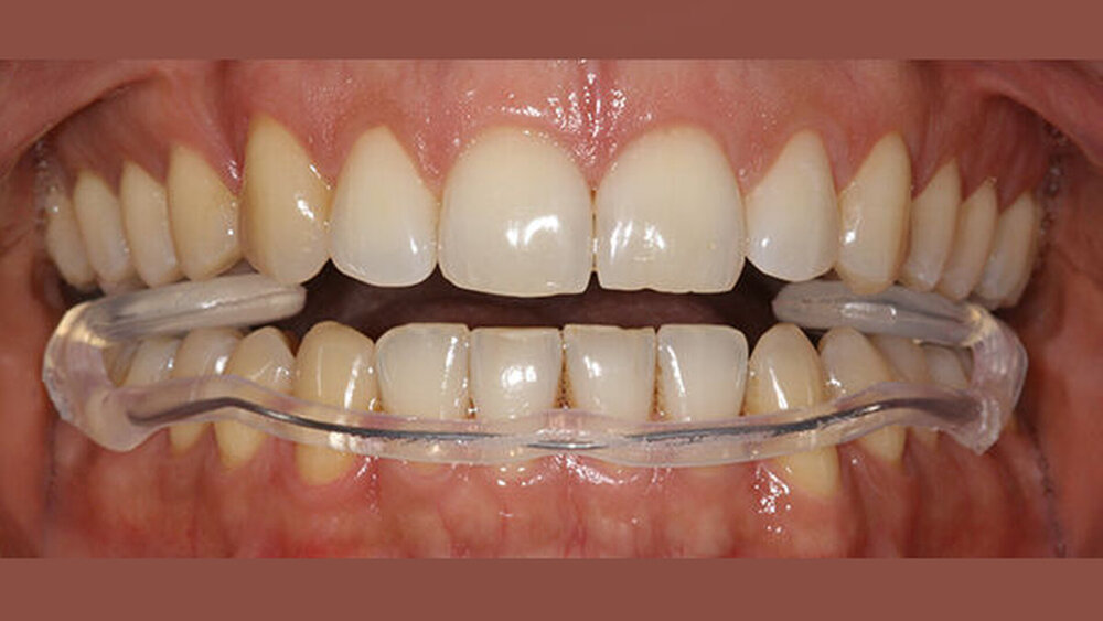
AquaSplint classic
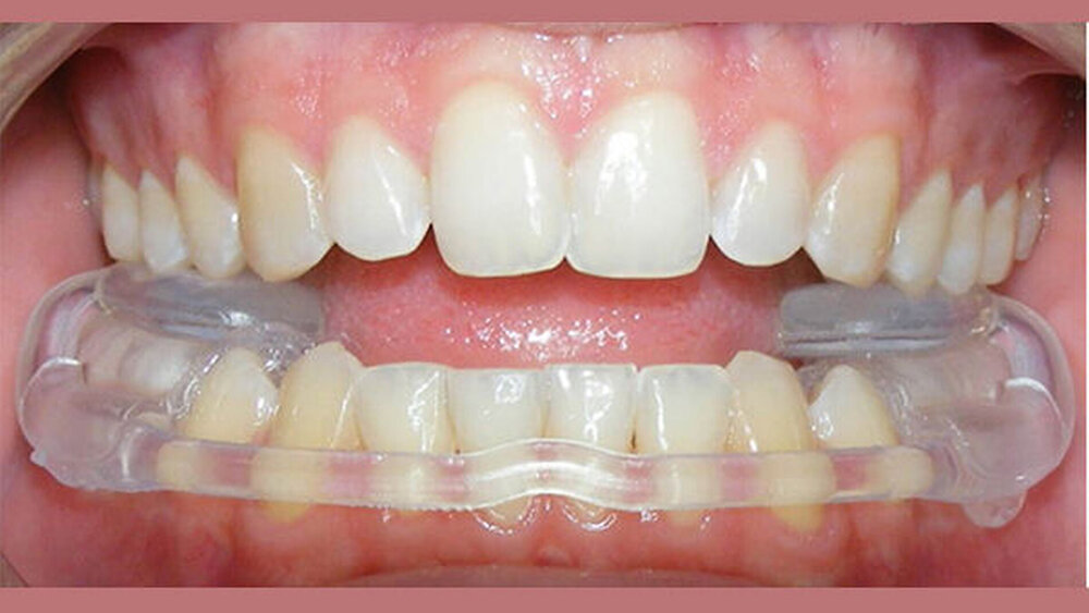
Der AquaSplint classic (Abb. 1) ist eine individualisierbare, selbstjustierende Aufbiss-Schiene, die zu diagnostischen und therapeutischen Zwecken ohne Abdruck oder Registrieren sofort individualisiert eingesetzt werden kann (Abb. 2). Durch den hydrostatischen Aquabalance-Effekt der beiden Wasserkissen entsteht ohne Einschleifen und Anpassen (klassische Aufbiss-Schiene) eine Nivellierung und Harmonisierung der Kondylenposition/Okklusion – der Unterkiefer balanciert sich praktisch selbst in seine zentrische Kondylenposition.
AquaSplint mini
Der AquaSplint mini (Abb. 3) ist eine vereinfachte Version des AquaSplints classic – mit einer niedrigeren Höhe, da ohne Sattel oder Unterfütterungssilikon. Deshalb ist er besonders geeignet bei CMD-Patienten mit offenem Biss. Der integrierte Draht kann individuell an die Zahnbogenform angepasst werden, so dass die Wasserpolster passiv und symmetrisch zwischen den Zahnreihen zu liegen kommen.
Der AquaSplint von Teledenta dient der Ermittlung einer schmerzfreien therapeutischen Bisslage zur anschließenden kieferorthopädischen Bissumstellung und effektiven CMD-Behandlung.





