"Hochwertiger Zahnersatz zu günstigen Preisen ist heute problemlos machbar"
Inwieweit folgen Sie in Ihrer Praxis den Wünschen Ihrer Patienten nach günstigem Zahnersatz?
Grevener:
Natürlich gehen wir auf die Patientenwünsche ein; so haben wir schon vor längerer Zeit unser Angebot erweitert. Qualitativ hochwertiger Zahnersatz zu günstigen Preisen ist heute problemlos machbar. Möglich wird das einerseits durch eine zunehmende Digitalisierung, Stichwort „monolithisches Zirkon“, und andererseits durch eine mindestens teilweise Fertigung im Ausland.
Arbeiten Sie also gar nicht mehr mit einem deutschen Labor zusammen? Wann und warum haben Sie sich entschieden, mit Auslandszahnersatzanbietern zusammenzuarbeiten?
Grevener:
Das eine schließt das andere durchaus nicht aus. Ich arbeite heute mit einem Labor vor Ort und einem renommierten Anbieter von Auslandszahnersatz zusammen. Allerdings entscheiden sich bei gleicher Qualität die Patienten fast immer für das preiswertere Angebot.
Spielt die Patientenklientel dabei eine Rolle?
Grevener:
Eigentlich nur sekundär. Auch wirtschaftlich besser gestellte Patienten sind heute durchaus sehr preisbewusst. Für sozial schwächere ist es häufig allerdings die einzige Möglichkeit, überhaupt Zugang zu gutem Zahnersatz zu erhalten. Ich behandle auch in der ortsansässigen JVA, da wären viele Versorgungen sonst gar nicht realisierbar.
Wie läuft die Kommunikation mit den Patienten? Wie reagieren sie beim Thema Auslandszahnersatz?
Grevener:
In der Regel wird da heute längst entschieden, wie in anderen Lebensbereichen auch. Kann man eine gleich gute oder sogar bessere Qualität für einen nicht unerheblich geringeren Preis erhalten, ist es klar, wohin der Auftrag geht. Jeder hat sein Budget, und niemand möchte Geld „verschenken“. Das gilt insbesondere für normalerweise sehr kostenintensive Versorgungen.
Beispiel Implantatprothetik: Zwei Drittel der anfallenden Kosten gehen ans Labor. Wie sieht das bei Auslandszahnersatz aus?
Grevener:
Da kehrt sich das Verhältnis einmal komplett um. Das hilft mir natürlich, wirtschaftlicher zu arbeiten. Also fällt die Versorgungswahl des Patienten auch häufiger auf eine Implantatversorgung.
Wie sieht es mit den Kontroll- und Reparaturmöglichkeiten aus? Ist das ein Problem? Klappt das genauso gut wie bei der Zusammenarbeit mit deutschen Laboren?
Grevener:
Ich bin immer noch erstaunt, wie selten es zu einer Nachbesserung kommt. Sollte das aber doch mal nötig sein, werden meine Wünsche von Permadental schnell umgesetzt. Da gibt es keinen
Unterschied zum Labor vor Ort.
Wie läuft beispielsweise die Farbbestimmung?
Grevener:
Viele Patienten entscheiden sich bei uns mittlerweile für größere Versorgungen, also komplette Fronten oder mehr. Aber auch bei einzelnen Kronen und Brücken im anterioren Bereich klappt
es mithilfe von Fotos ganz hervorragend. Smartphone sein Dank.
Welche Art von Versorgungen favorisieren Sie bzw. Ihre Patienten?
Grevener:
Muss herausnehmbar versorgt werden, empfehlen wir unseren Patienten meist einen teleskopierenden Ersatz. Aber wo immer es möglich ist, sind Kronen und Brücken die erste Wahl. Dabei spielen dann natürlich auch wieder Implantate eine immer größere Rolle.
Ist die Wahl auf festsitzenden Zahnersatz gefallen, gehören dann monolithische Kronen aus Silikatkeramik, Oxidkeramik oder Zirkon zum Standard oder verblenden Sie noch?
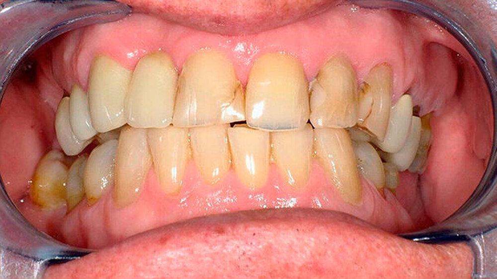
Grevener:
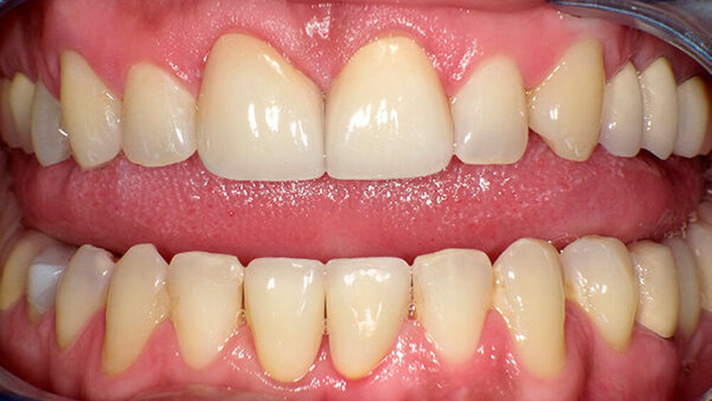
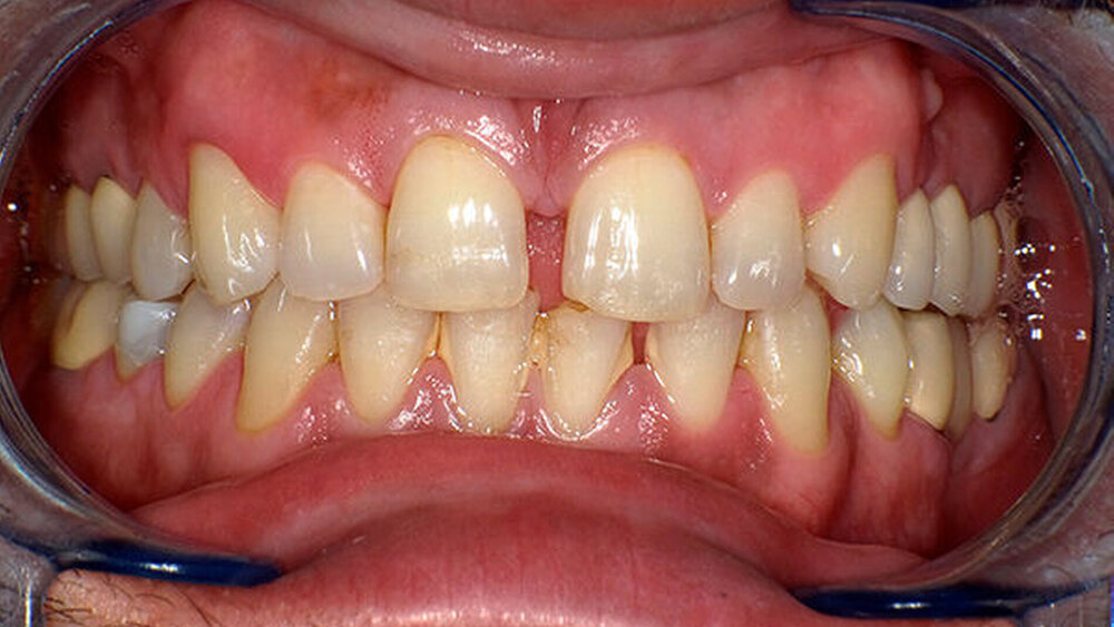
Tatsächlich versuchen wir Verblendungen möglichst zu vermeiden. Sehr viele Patientenfälle können heute mit den modernen Materialien auch durchaus monolithisch versorgt werden. Abb. 1 und Abb. 2 zeigen einen Patienten, der mit monolithischen Kronen von 11 bis 23 versorgt wurde. „Digital“ funktioniert also. Das ästhetische Resultat hat den Patienten überzeugt, die Rechnung auch.
Stichwort „digital“: Sie haben auf die optische Abformung umgestellt. Welche Vorteile bietet das vor allem mit Blick auf die Zusammenarbeit mit Permadental.
Grevener:
Wir verwenden jetzt schon einige Zeit einen TRIOS-Scanner. Nicht ausschließlich, aber doch immer häufiger. Aber egal, ob herkömmlicher Abdruck oder Intraoralscan, die Qualität ist gleichbleibend
gut. Der Scanner hilft aber etwas Zeit zu sparen, und den Patienten gefällt es wirklich sehr gut.
Gibt es denn heute noch Indikationen, die einen traditionell, also rein handwerklich hergestellten Zahnersatz verlangen?
Grevener:
Natürlich ist nicht alles digital. Das handwerkliche Können der Zahntechniker bleibt auch weiterhin wichtig. Nur wer über eine fundierte Ausbildung verfügt, ist in der Lage, zukünftig das digitale
Potenzial auszuschöpfen. Und auch da fühle ich mich bei meinem Laborpartner Permadental sehr gut aufgehoben
Als wirklich ästhetisch galten monolithische Restaurationen bislang nicht...
Grevener:
Die ästhetischen Möglichkeiten mit monolithischen Materialien haben sich in den letzten Jahren enorm verbessert. Besonders gut passen solche Versorgungen auch in den „digitalen Workflow“. Immer häufiger kann schon komplett modellfrei gearbeitet werden. Und besonders für junge Zahnärzte und Existenzgründer wird der Einsatz eines Scanners in absehbarer Zeit keine Besonderheit mehr sein. Von der Patientenakte über bildgebende Verfahren bis hin zum Intraoralscanner – der immer aufgeklärtere Patient erwartet solche Angebote.
Inwieweit hat sich das Image von Auslandszahnersatz geändert? Spricht man überhaupt noch von Auslandszahnersatz?
Grevener:
Eigentlich nicht mehr, bei monolithischen Versorgungen spielt das nur eine untergeordnete Rolle: Qualität und Preis müssen stimmen. Vor allem ist das Chippingproblem bei monolithischen Restaurationen kein Thema mehr. Wissenschaftliche Studien haben zudem gezeigt, dass die Abrasion bei korrekter Anwendung kein klinisch relevantes Problem mehr darstellt.
Mit anderen Worten: Monolithischen Versorgungen gehört die Zukunft?
Grevener:
Für meine Praxis gilt das definitiv. Und dabei ist es gleichgültig, ob sämtliche Fertigungsstätten um die Ecke liegen oder in Fernost. Permadental bietet zum Beispiel beides, die Fertigung vor
Ort und in Shenzhen.
Dr. Knut Grevener arbeitet mit einem deutschen Labor zusammen, doch das Gros seiner Patienten wählt die kostengünstige Alternative mit teilweiser Fertigung im Ausland. Im Interview beschreibt er die Vorteile.









