8er-Extraktion trotz Nähe zum N.alveolaris
Hintergrund
Eine 19-jährige Patientin wurde zur Entfernung der komplett retinierten verlagerten Weisheitszähne 18, 28, 38 und 48 überwiesen. Die Patientin war anamnestisch unauffällig, war aber Raucherin.
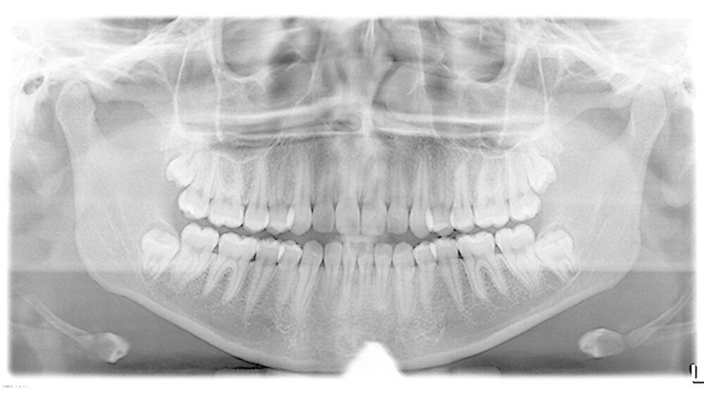
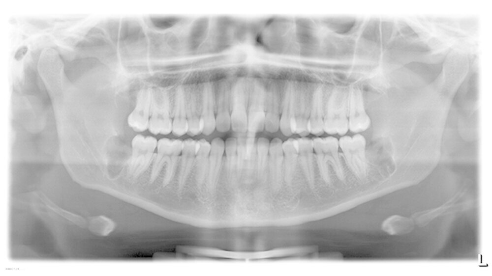
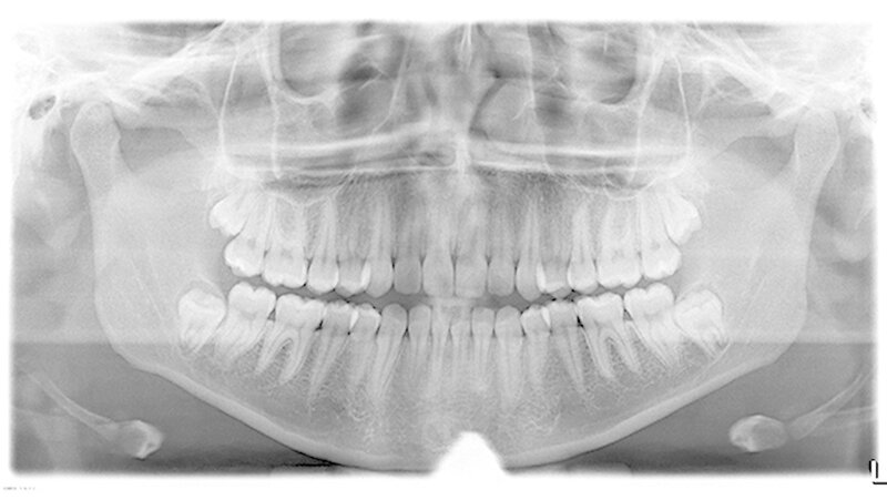
Aufgrund der engen Lagebeziehung der Weisheitszähne 38 und 48 zum Nervus alveolaris inferior (Abbildung 1) wurde zur weiterführenden Diagnostik eine digitale Volumentomografie (DVT) in der Praxis von Dr. Burkard Langenfeld in Friedrichshafen durchgeführt (Abbildungen 2 und 3).
Auf der DVT-Aufnahme zeigte sich vor allem in regio 48 der extrem Nerv-nahe Bezug und eine sehr tief impaktierte Lage des Zahns zum Ramus. Aufgrund dieser Befunde wurde eine Verplattung wegen der möglichen iatrogenen Bruchgefahr des Unterkiefers zur Stabilisierung des Unterkiefers mit der Patientin präoperativ besprochen.
Therapie und Verlauf
Nach mehrmaliger OP-Aufklärung der Patientin und ihrer Einwilligung erfolgte die geplante ambulante Operation unter ITN. Die Schnittführung in regio 38 wurde klassisch gewählt mit einem mesialen Entlastungsschnitt.
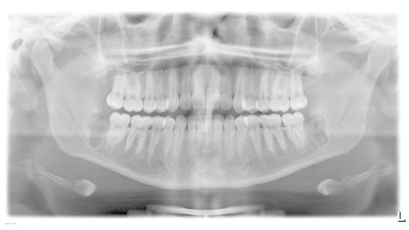
Die Zähne 28 und 18 wurden nach Aufklappung und Osteotomie schonend entfernt. Eine Mund-Antrum-Verbindung konnte intraoperativ ausgeschlossen werden. Für regio 48 wurde eine sulkuläre Schnittführung ab regio 43 gewählt, da eine eventuelle Verplattung vorgesehen war. Intraoperativ ließ sich der Zahn 48 komplikationslos in toto entfernen und die Alveole war klinisch knöchern intakt, der Nerv nicht verletzt (Abbildung 4).
Somit konnte auf eine Verplattung mittels Osteosynthese-Material verzichtet werden. In alle Extraktions-Alveolen wurde Gelatamp, Firma Roeko, eingebracht. Der Nahtverschluss erfolgte atraumatisch mit Vicryl 3/0, Firma Ethicon. Zur Dokumentation wurde postoperativ ein digitales OPG angefertigt.
Die Patientin bekam standardmäßig ein Rezept über Cefuroxim 500 mg 1-0-1,N1 und als Schmerzmedikation Sympal 25 mg ½ ½ ½ ½ (Dexketoprofen). Die operative Nachsorge erfolgte klassischerweise einen Tag postoperativ. Die Nahtentfernung wurde sieben Tage postoperativ komplikationslos durchgeführt.
Ein Tag postoperativ konnten bereits die Schädigungen des Nervus alveolaris inferior und des Nervus lingualis ausgeschlossen werden, da das Gefühl in der Zunge und Lippe komplett wieder vorhanden war, Die Schwellungen waren moderat und die Mundöffnung war nur leicht eingeschränkt. Alle radio-transluzenten Auffälligkeiten im OPG wurden zur Histologie eingeschickt.
Befund
Makroskopie:
1.Regio 18: zwei flache grau-braune bis 6 mm große Präparate
2.Regio 28: zwei grau-weiße, feste bis 12 mm große Präparate
3.Regio 38: zwei grau-braune, feste bis 12 mm große Präparate
4.Regio 48: ein unregelmäßig gestaltetes grau-braunes bis 12 mm großes Präparat
Methodik/Mikroskopie:
Das Material wurde nach standardisierten Verfahren bearbeitet und gefärbt. Färbung, ergänzende Methodik: HE, PAS.
Diagnose:
An den Zähnen 18, 28, 38, 48 gab es deutliche follikuläre Zysten. Es gab keine Annahme für eine Malignität.
Diskussion
Die AWMF-Empfehlungen zur Indikation einer 3-D-Bildgebung besagen, dass generell eine dreidimensionale Bildgebung vor einer Weisheitszahnentfernung nicht erforderlich ist, wenn nativ radiologisch keine Hinweise auf eine besondere Risikosituation vorliegen. Aber eine CT/DVT-Diagnostik kann durchaus indiziert sein, wenn in der nativ-radiologischen Untersuchung Hinweise auf eine unmittelbare Lagebeziehung zu Risikostrukturen vorhanden sind und gleichzeitig aus Sicht des behandelnden Zahnarztes weitere räumliche Informationen entweder für die Risikoaufklärung des Patienten, eine Eingriffsplanung oder auch für die intraoperative Orientierung erforderlich sind [ AWMF, M. Kunkel, 2012]. Im vorliegenden Fall war nach diesen Vorgaben eine 3-D-Aufnahme indiziert.
Simon LehnerPraxisklinik Simon LehnerFachzahnarzt für OralchirurgieSeestr. 43, 88214 Ravensburgpraxis@zahnarzt-lehner.de
Weiterführende Quelle: Prof. Dr. Dr. Martin Kunkel, Bochum, AWMF 2012







