8er war ein Doppelwhopper
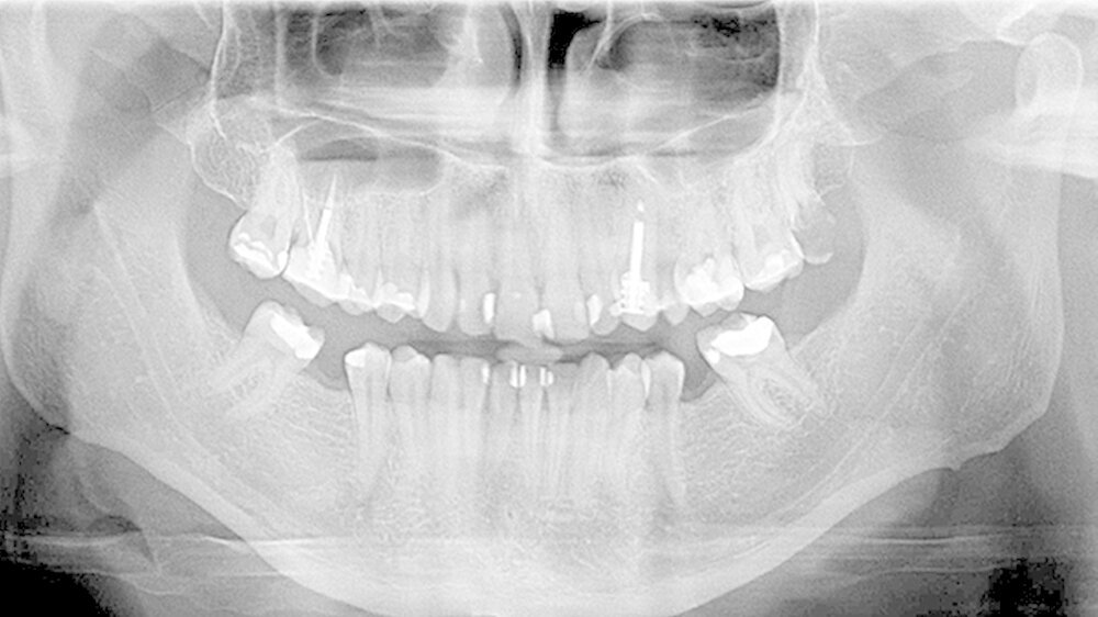
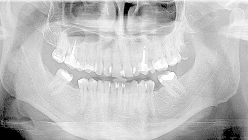
Der 28-jährige Mann wurde von seiner Hauszahnärztin zur Extraktion eines koronal zerstörten 8ers in die oralchirurgische Praxis überwiesen. Ein Röntgenbild wurde nicht mitgeliefert. Erhardt fertigte daher ein OPG an, doch zeigt das (Abbildung 2) nicht, was gleich kommen würde: Am Ende hing ein Doppelwhopper an der Zange!
Dieser kuriose Fall wurde uns von Dr. Ingo Erhardt, Oralchirurg in der Friedhofstraße 10 in 79183 Waldkirch eingereicht.
Wir suchen Ihre kuriosen Fälle! zm@zm-online.de - mail
Mehr zum Thema: Kuriose Fälle
"Die Ausnahmefälle kommen Freitagabend kurz vor Praxisschluss", heißt es oft in Fortbildungen. Genauso ist es. Und wenn nicht, sind es Fälle, die auch nach der Arbeit im Gedächtnis bleiben.







