Alles in OBI
Der Fall
Der Patient ist 51 Jahre alt, unverheiratet und von Beruf Fensterbauer. Weil er Zahnschmerzen hatte, kam er Anfang Januar 2005 in die Praxis. Schon damals wurde ihm dringend zu einer konservierenden Behandlung mit nachfolgender Parodontaltherapie und anschließender prothetischer Sanierung seiner mindestens 20 Jahre alten Zahnersatzversorgung geraten. Aber nach der Schmerzbeseitigung betrat er die Praxis bis Ende 2009 nicht mehr.
Der Befund
5. Dezember 2009: Alle Frontzähne zeigten Lockerungsgrad III - abbeißen konnte der Patient deshalb schon seit längerer Zeit nicht mehr richtig. Zahnschmerzen verspürte er jedoch noch nicht, weshalb er auch keine Veranlassung sah, zum Zahnarzt zu gehen.
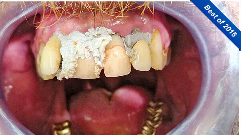
Seine Idee stattdessen: die Zähne selbst zu befestigen. Da er als Handwerker ist er im Umgang mit Baumaterialien versiert ist, sah er sich dieser Herausforderung gewachsen. Er kaufte sich im Baumarkt Fugendichtsilikon und umspritzte damit seine Zähne zur Befestigung. Farblich wählte er "manhattan-grau" und "steingrau" - diese Töne waren billiger als weißes Silikon.
Er achtete auch auf das Biokennzeichen, wie er betonte. Ein halbes Jahr lang war der Patient mit dieser Konstruktion zufrieden. Aber zur Weihnachtszeit gefiel ihm die graue Farbe seiner Silikonbefestigung doch nicht mehr, vielleicht, weil man ihn auch schon auf seine schlechten Zähne angesprochen hatte.
"Er trat nun mit der Bitte an uns heran, alle seine Zähne zu entfernen und ihm doch möglichst eine schöne weiße Prothese anzufertigen. Natürlich mit dem Wunsch, dass alles noch vor Weihnachten fertig wird", schrieben die Zahnärzte. Diesem Wunsch konnte weitgehend entsprochen werden, zumindest was die Entfernung der Zähne betraf.
Therapie und Nachsorge
Die Abbildungen 4 bis 8 zeigen die Situation nach vier monatiger ZE-Tragezeit. Nach ausgiebiger Extraktionstherapie und parodontaler Behandlung der Restzähne wurde im Oberkiefer eine Cover-Denture-Totalprothese inseriert und im Unterkiefer eine parodontal abgestützte Teleskopprothese mit verblendeten Teleskopen 34,35,44,45.
Es sei dazu folgendes anzumerken, schreiben die Behandler: D"ie Einstellung des Patienten zu seiner Mundhygiene hat sich plötzlich grundlegend geändert. Die Prothese zeigt nach vier Monaten einen ausgezeichneten Pflegezustand, obwohl der Patient starker Raucher ist und vorher ja die bekannten parodontalen Probleme hatte. Alle Pfeilerzähne sind absolut fest und ohne Lockerung, obwohl sie vorher noch Lockerungsgrad I zeigten. Auch die Pfeilerteleskope sind sehr gut gepflegt. Der Patient hat seine Recalltermine nun zuverlässig wahrgenommen."
Er sei überglücklich und sagte, dass er nach mehreren Jahren erstmals wieder einen Apfel essen konnte. "Auch der Verzehr von Fleisch und frischem Brot bereitet ihm keine Schwierigkeiten mehr. In Zukunft will er die Behandlung seiner Zähne doch lieber einem Fachmann überlassen."
Dieser Fall wurde eingereicht von Dr. Thorsten und Tanja Becker, Hochstr. 12, 36325 Feldatal und erschien in den zm 16/2010.
Wir suchen Ihre kuriosen Fälle! zm@zm-online.de - mail
Mehr zum Thema: Kuriose Fälle
"Die Ausnahmefälle kommen Freitagabend kurz vor Praxisschluss", heißt es oft in Fortbildungen. Genauso ist es. Und wenn nicht, sind es Fälle, die auch nach der Arbeit im Gedächtnis bleiben.













