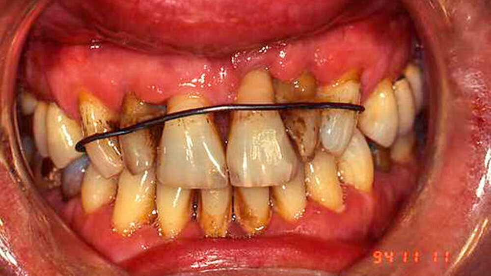
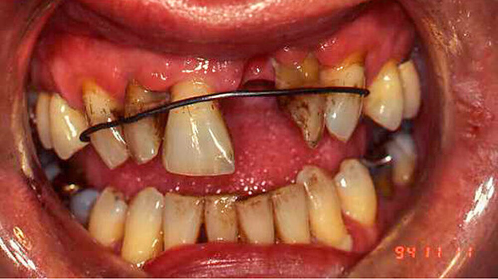
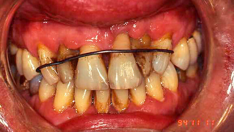
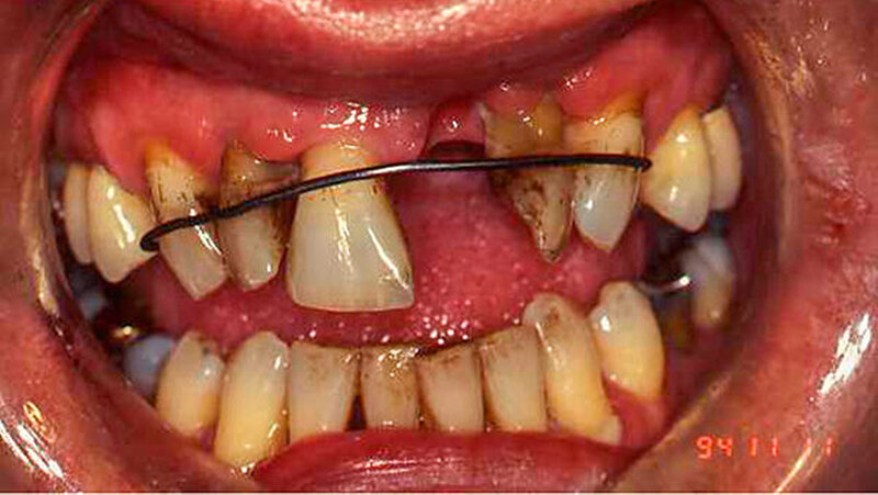
Festgezurrt mit Blumendraht
Dieser Fall wurde eingereicht von Dr. Wilfried Forschner, Köhlestrain 86, in 88400 Biberach
Mehr zum Thema: Kuriose Fälle
"Die Ausnahmefälle kommen Freitagabend kurz vor Praxisschluss", heißt es oft in Fortbildungen. Genauso ist es. Und wenn nicht, sind es Fälle, die auch nach der Arbeit im Gedächtnis bleiben.








